Главная Случайная страница


Полезное:

Как сделать разговор полезным и приятным Как сделать объемную звезду своими руками Как сделать то, что делать не хочется? Как сделать погремушку Как сделать так чтобы женщины сами знакомились с вами Как сделать идею коммерческой Как сделать хорошую растяжку ног? Как сделать наш разум здоровым? Как сделать, чтобы люди обманывали меньше Вопрос 4. Как сделать так, чтобы вас уважали и ценили? Как сделать лучше себе и другим людям Как сделать свидание интересным?


Категории:

АрхитектураАстрономияБиологияГеографияГеологияИнформатикаИскусствоИсторияКулинарияКультураМаркетингМатематикаМедицинаМенеджментОхрана трудаПравоПроизводствоПсихологияРелигияСоциологияСпортТехникаФизикаФилософияХимияЭкологияЭкономикаЭлектроника






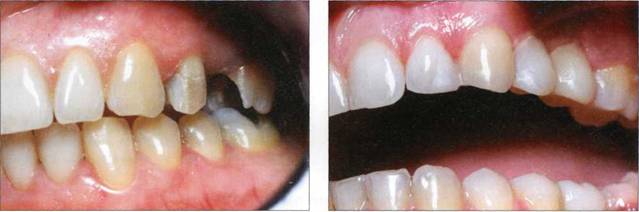
Клинический пример 33





Пациенту 34 года. Вторичная адентия 25 зуба, коронки 24, 26 разрушены на две трети. Реконструкция 24, 25, 26 с использованием материала "GlasSpan", композиционной массы "Charisma", фирмы "Heraeus KULZER".



 


 


Рис. 826. Исходная клиническая ситуация


Рис. 827. Конечный результат


Клинический пример 34

В фантомную модель нижней челюсти в области 46 зуба введен большой коренной моляр, ранее леченный по поводу осложненного кариеса с применением резорцин-формалинового метода. Коронка 46 разрушена на 2/3, отсутствует язычная стенка. Произведено восстановление коронки 46 зуба материалом "Esthet-X" фирмы "DentSply", с применением усиливающей конструкции системы "GlasSpan".



 


 


Рис. 828


Рис. 829


КЛИНИЧЕСКОЕ ПРИМЕНЕНИЕ ОСНОВ ХУДОЖЕСТВЕННОГО МОДЕЛИРОВАНИЯ ♦ 223



 


 


Рис. 830


Рис.831



:сы


Рис. 832


Рис. 833


 


мо-

IH0-

Юс-

гси-








Date: 2015-07-17; view: 871; Нарушение авторских прав



mydocx.ru - 2015-2026 year. (1.446 sec.) Все материалы представленные на сайте исключительно с целью ознакомления читателями и не преследуют коммерческих целей или нарушение авторских прав - Пожаловаться на публикацию