Главная Случайная страница


Полезное:

Как сделать разговор полезным и приятным Как сделать объемную звезду своими руками Как сделать то, что делать не хочется? Как сделать погремушку Как сделать так чтобы женщины сами знакомились с вами Как сделать идею коммерческой Как сделать хорошую растяжку ног? Как сделать наш разум здоровым? Как сделать, чтобы люди обманывали меньше Вопрос 4. Как сделать так, чтобы вас уважали и ценили? Как сделать лучше себе и другим людям Как сделать свидание интересным?


Категории:

АрхитектураАстрономияБиологияГеографияГеологияИнформатикаИскусствоИсторияКулинарияКультураМаркетингМатематикаМедицинаМенеджментОхрана трудаПравоПроизводствоПсихологияРелигияСоциологияСпортТехникаФизикаФилософияХимияЭкологияЭкономикаЭлектроника






Клинический пример 15





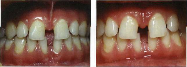
Пациентке 25 лет. Произведена реконструкция премоляров, клыков, резцов верхней челюсти материалом "Esthet-X" фирмы "DentSply".



 


 


Рис. 766. Исходная клиническая ситуация


Рис. 767. Исходная клиническая ситуация


212 ♦ ХУДОЖЕСТВЕННОЕ МОДЕЛИРОВАНИЕМ РЕСТАВРАЦИЯ ЗУБОВ



 


 


Рис. 768. Конечный результат


Рис. 769. Конечный результат


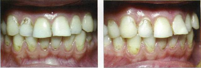
Клинический пример 16

Пациенту 19 лет, диастемы в области верхних и нижних резцов, аномалия прикрепления уздечек губ. Произведены пластика уздечек губ, реконструкция 11,21,31,41 материалами семейства "Filtek", фирмы "3M-ESPE".



 


 


Рис. 770. Исходная клиническая ситуация


Рис. 771. Произведен этап пластики уздечек губ


Рис. 772. Конечный результат


КЛИНИЧЕСКОЕ ПРИМЕНЕНИЕ ОСНОВ ХУДОЖЕСТВЕННОГО МОДЕЛИРОВАНИЯ ♦ 21 3

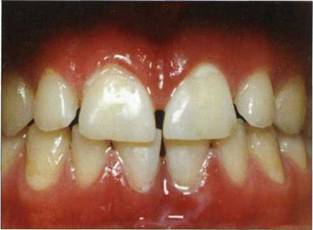
Клинический пример 17

Пациенту 28 лет. Произведена реставрация резцов верхней челюсти материалом "Charisma" фирмы "Heraeus KULZER".



 


 


Рис. 773. Исходная клиническая ситуация


Рис. 774. Конечный результат








Date: 2015-07-17; view: 927; Нарушение авторских прав



mydocx.ru - 2015-2026 year. (0.672 sec.) Все материалы представленные на сайте исключительно с целью ознакомления читателями и не преследуют коммерческих целей или нарушение авторских прав - Пожаловаться на публикацию