Главная Случайная страница


Полезное:

Как сделать разговор полезным и приятным Как сделать объемную звезду своими руками Как сделать то, что делать не хочется? Как сделать погремушку Как сделать так чтобы женщины сами знакомились с вами Как сделать идею коммерческой Как сделать хорошую растяжку ног? Как сделать наш разум здоровым? Как сделать, чтобы люди обманывали меньше Вопрос 4. Как сделать так, чтобы вас уважали и ценили? Как сделать лучше себе и другим людям Как сделать свидание интересным?


Категории:

АрхитектураАстрономияБиологияГеографияГеологияИнформатикаИскусствоИсторияКулинарияКультураМаркетингМатематикаМедицинаМенеджментОхрана трудаПравоПроизводствоПсихологияРелигияСоциологияСпортТехникаФизикаФилософияХимияЭкологияЭкономикаЭлектроника






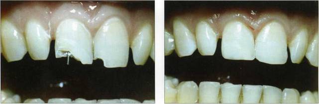
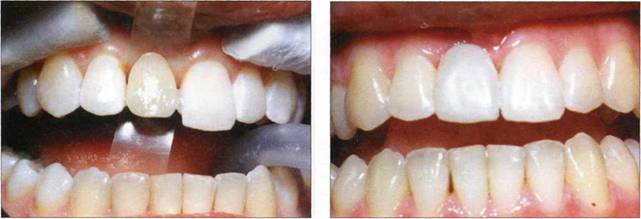
Клинический пример 27





Пациенту 28 лет. Коронки верхних центральных резцов восстановлены материалом "XRV Herculate" фирмы "Кегг", с применением парапульпарных штифтов



 


 


Рис. 799. Исходная клиническая ситуация


Рис. 800. Конечный результат


218 ♦ ХУДОЖЕСТВЕННОЕ МОДЕЛИРОВАНИЕМ РЕСТАВРАЦИЯ ЗУБОВ

Клинический пример 28

Пациенту 32 года. Коронка 12 восстановлена материалом "Te-Econom" фирмы "VIVADENT", с применением парапульпарных штифтов.



 


Рис. 801. Исходная клиническая ситуация Рис. 802. Конечный результат

Клинический пример 29

Пациентке 21 год. Вторичная адентия 11 зуба. Включеный дефект в области 11 восстановлен путем применения материала "GlasSpan" и композиционной массы "Charisma" фирмы "Heraeus KULZER".



 


 


Рис. 803. Исходная клиническая ситуация


Рис. 804. Этап постановки анестезии


 



 


 


Рис. 805. Этап препарирования 12 зуба


Рис. 806. Этап фотополимеризации



 


 


Рис. 807. Этап наложения материала "GlasSpan"


Рис. 808. Этап формирования тела коронки 11 зуба


 



 


 


Рис. 809. Этап фиксации матрицы


Рис. 810. Конечный результат








Date: 2015-07-17; view: 929; Нарушение авторских прав



mydocx.ru - 2015-2026 year. (0.884 sec.) Все материалы представленные на сайте исключительно с целью ознакомления читателями и не преследуют коммерческих целей или нарушение авторских прав - Пожаловаться на публикацию