Главная Случайная страница


Полезное:

Как сделать разговор полезным и приятным Как сделать объемную звезду своими руками Как сделать то, что делать не хочется? Как сделать погремушку Как сделать так чтобы женщины сами знакомились с вами Как сделать идею коммерческой Как сделать хорошую растяжку ног? Как сделать наш разум здоровым? Как сделать, чтобы люди обманывали меньше Вопрос 4. Как сделать так, чтобы вас уважали и ценили? Как сделать лучше себе и другим людям Как сделать свидание интересным?


Категории:

АрхитектураАстрономияБиологияГеографияГеологияИнформатикаИскусствоИсторияКулинарияКультураМаркетингМатематикаМедицинаМенеджментОхрана трудаПравоПроизводствоПсихологияРелигияСоциологияСпортТехникаФизикаФилософияХимияЭкологияЭкономикаЭлектроника






Клинический пример 18





Пациенту 32 года, дисколорит, кариозные полости в области зубов верхней челюсти. Реконструкция премоляров, клыков, резцов верхней челюсти материалами семейства "Filtek", фирмы "3M-ESPE".



 


Рис. 775. Исходная клиническая ситуация Рис. 776. Конечный результат

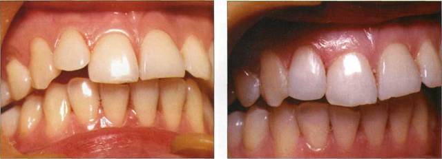
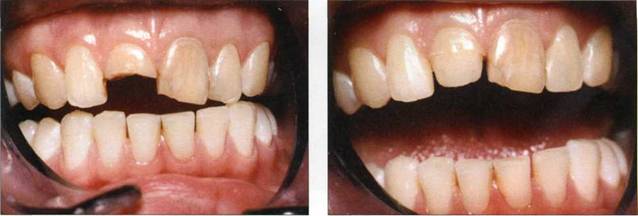
Клинический пример 19

Пациенту 27 лет, травма 11, дисколорит 11, 12. Произведена реставрация центральных резцов материалом "Charisma" фирмы "Heraeus KULZER".



 


 


Рис. 777. Исходная клиническая ситуация


Рис. 778. Этап восстановления 11, 21 зубов


214 ♦ ХУДОЖЕСТВЕННОЕ МОДЕЛИРОВАНИЕМ РЕСТАВРАЦИЯ ЗУБОВ



 


Рис. 779. Конечный результат

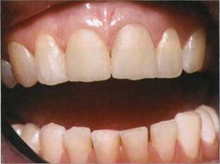
Клинический пример 20

Пациентке 32 года. Произведена реконструкция тортоаномалии 12 материалом "XRV Herculate" фирмы "Кегг".



 


Рис. 780. Исходная клиническая ситуация Рис. 781. Конечный результат







Date: 2015-07-17; view: 908; Нарушение авторских прав



mydocx.ru - 2015-2026 year. (0.952 sec.) Все материалы представленные на сайте исключительно с целью ознакомления читателями и не преследуют коммерческих целей или нарушение авторских прав - Пожаловаться на публикацию