Главная Случайная страница


Полезное:

Как сделать разговор полезным и приятным Как сделать объемную звезду своими руками Как сделать то, что делать не хочется? Как сделать погремушку Как сделать так чтобы женщины сами знакомились с вами Как сделать идею коммерческой Как сделать хорошую растяжку ног? Как сделать наш разум здоровым? Как сделать, чтобы люди обманывали меньше Вопрос 4. Как сделать так, чтобы вас уважали и ценили? Как сделать лучше себе и другим людям Как сделать свидание интересным?


Категории:

АрхитектураАстрономияБиологияГеографияГеологияИнформатикаИскусствоИсторияКулинарияКультураМаркетингМатематикаМедицинаМенеджментОхрана трудаПравоПроизводствоПсихологияРелигияСоциологияСпортТехникаФизикаФилософияХимияЭкологияЭкономикаЭлектроника






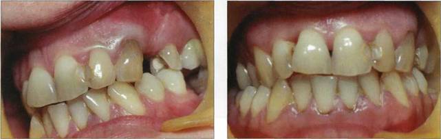
Клинический пример 42





Компромисс между эстетикой и функцией можно достичь различными путями. Хорошему результату способствовала интересная комбинация прямых и непрямых методов восстановления твердых тканей зубов.



 


 


Рис. 888. Исходная клиническая ситуация, вид слева


Рис. 889. Исходная клиническая ситуация, вид спереди


КЛИНИЧЕСКОЕ ПРИМЕНЕНИЕ ОСНОВ ХУДОЖЕСТВЕННОГО МОДЕЛИРОВАНИЯ



Пациент Н. 27 лет обратился в клинику терапевтической стоматологии с жалобами на эстетический дискомфорт, отсутствие зубов, наличие на зубах отложений. При объективном обследовании отмечается отсутствие 24, 36 зубов, осложненное деформацией зубных рядов, смешанная форма (феномен Попова-Годона). Определяются пломбы на контактных поверхностях фронтальной группы зубов, измененные в цвете, с нарушенным краевым прилеганием и нависающими краями. Дисколорация 23, 25 (из анамнеза заболевания выяснилось, что произведено депульпирование зубов около 7 лет назад). Тортоаномалии 11, 12. Наличие над-и поддесневых зубных отложений.



 


Рис. 890. Моделирование воском предполагаемых конструк- Рис. 891. Моделирование воском предполагаемых конструк
ций на гипсовой модели, вид спереди ций в области верхней челюсти

Для прогнозирования результатов лечения были отлиты диагностические модели, которые фиксировались в артикулятор, далее с помощью воска моделировались предполагаемые конструкции.







Date: 2015-07-17; view: 651; Нарушение авторских прав



mydocx.ru - 2015-2026 year. (0.312 sec.) Все материалы представленные на сайте исключительно с целью ознакомления читателями и не преследуют коммерческих целей или нарушение авторских прав - Пожаловаться на публикацию