Главная Случайная страница


Полезное:

Как сделать разговор полезным и приятным Как сделать объемную звезду своими руками Как сделать то, что делать не хочется? Как сделать погремушку Как сделать так чтобы женщины сами знакомились с вами Как сделать идею коммерческой Как сделать хорошую растяжку ног? Как сделать наш разум здоровым? Как сделать, чтобы люди обманывали меньше Вопрос 4. Как сделать так, чтобы вас уважали и ценили? Как сделать лучше себе и другим людям Как сделать свидание интересным?


Категории:

АрхитектураАстрономияБиологияГеографияГеологияИнформатикаИскусствоИсторияКулинарияКультураМаркетингМатематикаМедицинаМенеджментОхрана трудаПравоПроизводствоПсихологияРелигияСоциологияСпортТехникаФизикаФилософияХимияЭкологияЭкономикаЭлектроника






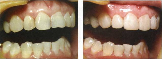
Клинический пример 21





Пациентке 28 лет. Тортоаномалия зубов верхней челюсти. Произведена реконструкция верхних резцов материалами семейства "Filtek", фирмы "3M-ESPE".



 


 


Рис. 782. Исходная клиническая ситуация


Рис. 783. Конечный результат


КЛИНИЧЕСКОЕ ПРИМЕНЕНИЕ ОСНОВ ХУДОЖЕСТВЕННОГО МОДЕЛИРОВАНИЯ ♦ 215



 


 


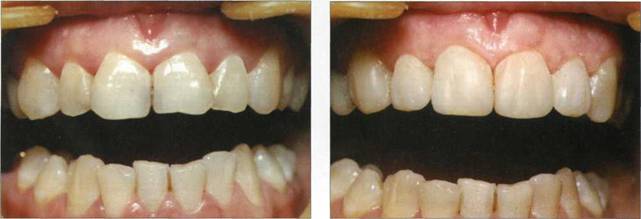
Рис. 784. Исходная клиническая ситуация


Рис. 785. Конечный результат


Клинический пример 22

Пациентке 35 лет. Диеколорит, тортоаномалии фронтальной группы зубов верхней челюсти. Произведена реконструкция верхних клыков, резцов материалом uEsthet-X" фирмы "DentSply".



 


 


Рис. 786. Исходная клиническая ситуация


Рис. 787. Конечный результат


Рис. 788. Конечный результат


216 ♦ ХУДОЖЕСТВЕННОЕ МОДЕЛИРОВАНИЕМ РЕСТАВРАЦИЯ ЗУБОВ

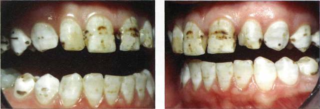
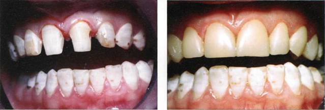
Клинический пример 23

Пациентке 19 лет. Флюороз. Произведена реконструкция первых премоляров, клыков, резцов верхней челюсти материалом "Charisma" фирмы "Heraeus KULZER".



 


 


Рис. 789. Исходная клиническая ситуация


Рис. 790. Исходная клиническая ситуация


 



 


 


Рис. 791. Этап препарирования зубов


Рис. 792. Конечный результат








Date: 2015-07-17; view: 939; Нарушение авторских прав



mydocx.ru - 2015-2026 year. (1.252 sec.) Все материалы представленные на сайте исключительно с целью ознакомления читателями и не преследуют коммерческих целей или нарушение авторских прав - Пожаловаться на публикацию