Главная Случайная страница


Полезное:

Как сделать разговор полезным и приятным Как сделать объемную звезду своими руками Как сделать то, что делать не хочется? Как сделать погремушку Как сделать так чтобы женщины сами знакомились с вами Как сделать идею коммерческой Как сделать хорошую растяжку ног? Как сделать наш разум здоровым? Как сделать, чтобы люди обманывали меньше Вопрос 4. Как сделать так, чтобы вас уважали и ценили? Как сделать лучше себе и другим людям Как сделать свидание интересным?


Категории:

АрхитектураАстрономияБиологияГеографияГеологияИнформатикаИскусствоИсторияКулинарияКультураМаркетингМатематикаМедицинаМенеджментОхрана трудаПравоПроизводствоПсихологияРелигияСоциологияСпортТехникаФизикаФилософияХимияЭкологияЭкономикаЭлектроника






Клинический пример 37





Пациентке 24 года. Дефект твердых тканей центральных резцов верхней челюсти восстановлен путем изготовления композиционных коронок из материала "XRV Herculate" фирмы "Кегг".



 


 


Рис. 869. Исходная клиническая ситуация


Рис. 870. Готовые композиционные коронки на 11, 21 зубы


КЛИНИЧЕСКОЕ ПРИМЕНЕНИЕ ОСНОВ ХУДОЖЕСТВЕННОГО МОДЕЛИРОВАНИЯ ♦ 229



 


Рис. 871. Конечный результат

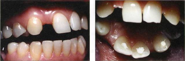
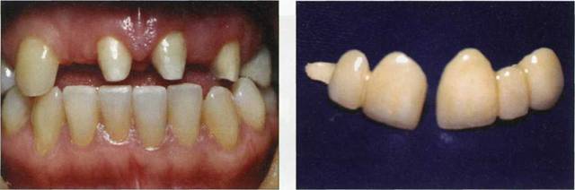
Клинический пример 38

Пациенту 28 лет. Дефект твердых тканей зубов 24, 25, а также зубного ряда в области отсутствующего 26 замещен путем изготовления конструкции из композиционных материалов семейства "Filtek", фирмы "3M-ESPE" в области 24, 25, 26, 27 зубов.



 


 


Рис. 872. Исходная клиническая ситуация


Рис. 873. Изготовленная композиционная конструкция


Рис. 874. Конечный результат


230 ♦ ХУДОЖЕСТВЕННОЕ МОДЕЛИРОВАНИЕ И РЕСТАВРАЦИЯ ЗУБОВ

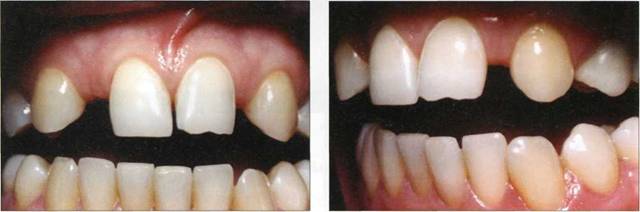
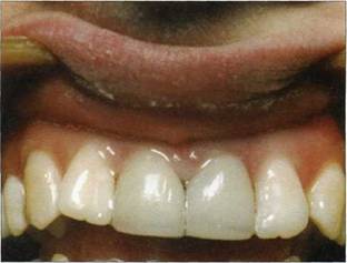
Клинический пример 39

Пациентке 32 года. Первичная адентия верхних боковых резцов. Произведено депульпи-рование группы центральных резцов и клыков верхней челюсти. Восстановление целостности зубного ряда фронтального отдела верхней челюсти произведено путем изготовления композиционных коронок из материала "Charisma" фирмы "Heraeus KULZER".



 


 


Рис. 875. Исходная клиническая ситуация


Рис. 876. Исходная клиническая ситуация, вид слева


 



 


 


Рис. 877. Исходная клиническая ситуация, вид справа


Рис. 878. Произведено депульпирование 13, 11, 21, 23 зубов


Рис. 879. Вид коронок 13, 11, 21, 23 зубов после препариро- Рис. 880. Изготовленная композиционная конструкция вания.


КЛИНИЧЕСКОЕ ПРИМЕНЕНИЕ ОСНОВ ХУДОЖЕСТВЕННОГО МОДЕЛИРОВАНИЯ ♦ 231



 


Рис. 881. Конечный результат


 








Date: 2015-07-17; view: 861; Нарушение авторских прав



mydocx.ru - 2015-2026 year. (0.269 sec.) Все материалы представленные на сайте исключительно с целью ознакомления читателями и не преследуют коммерческих целей или нарушение авторских прав - Пожаловаться на публикацию