Главная Случайная страница


Полезное:

Как сделать разговор полезным и приятным Как сделать объемную звезду своими руками Как сделать то, что делать не хочется? Как сделать погремушку Как сделать так чтобы женщины сами знакомились с вами Как сделать идею коммерческой Как сделать хорошую растяжку ног? Как сделать наш разум здоровым? Как сделать, чтобы люди обманывали меньше Вопрос 4. Как сделать так, чтобы вас уважали и ценили? Как сделать лучше себе и другим людям Как сделать свидание интересным?


Категории:

АрхитектураАстрономияБиологияГеографияГеологияИнформатикаИскусствоИсторияКулинарияКультураМаркетингМатематикаМедицинаМенеджментОхрана трудаПравоПроизводствоПсихологияРелигияСоциологияСпортТехникаФизикаФилософияХимияЭкологияЭкономикаЭлектроника






Клинический пример 7





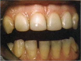
Пациентке 41 год, очень низкий уровень резистентности зубов к кариесу, КПУ-28. Произведена реставрация группы клыков, резцов верхней и нижней челюстей материалом "Filtek Z-250" фирмы "3M-ESPE".



 


 


Рис. 739. Исходная клиническая ситуация


Рис. 740. Конечный результат


КЛИНИЧЕСКОЕ ПРИМЕНЕНИЕ ОСНОВ ХУДОЖЕСТВЕННОГО МОДЕЛИРОВАНИЯ ♦ 207

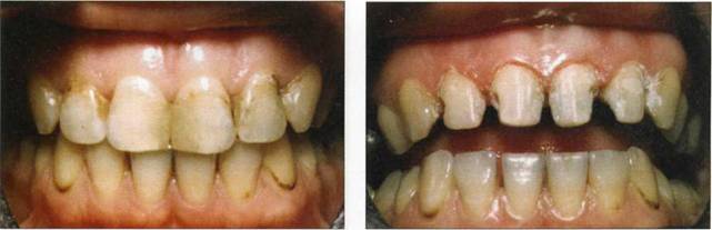
Клинический пример 8

Пациенту 28 лет, низкий уровень резистентное™, произведена реставрация резцов верхней челюсти материалами семейства "Filtek", фирмы "3M-ESPE".



 


 


Рис. 741. Исходная клиническая ситуация


Рис. 742. Отпрепарированы 12, 11, 21, 22 зубы


 



 


Рис. 743. Конечный результат

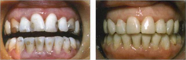
Клинический пример 9

Пациентке 31 год, произведена реставрация фронтальной группы зубов материалом "Esthet-X" фирмы "DentSply".



 


 


Рис. 744. Исходная клиническая ситуация


Рис. 745. Исходная клиническая ситуация


208 ♦ ХУДОЖЕСТВЕННОЕ МОДЕЛИРОВАНИЕ И РЕСТАВРАЦИЯ ЗУБОВ



 


 


Рис. 746. Конечный результат


Рис. 747. Конечный результат








Date: 2015-07-17; view: 1021; Нарушение авторских прав



mydocx.ru - 2015-2026 year. (2.802 sec.) Все материалы представленные на сайте исключительно с целью ознакомления читателями и не преследуют коммерческих целей или нарушение авторских прав - Пожаловаться на публикацию