Главная Случайная страница


Полезное:

Как сделать разговор полезным и приятным Как сделать объемную звезду своими руками Как сделать то, что делать не хочется? Как сделать погремушку Как сделать так чтобы женщины сами знакомились с вами Как сделать идею коммерческой Как сделать хорошую растяжку ног? Как сделать наш разум здоровым? Как сделать, чтобы люди обманывали меньше Вопрос 4. Как сделать так, чтобы вас уважали и ценили? Как сделать лучше себе и другим людям Как сделать свидание интересным?


Категории:

АрхитектураАстрономияБиологияГеографияГеологияИнформатикаИскусствоИсторияКулинарияКультураМаркетингМатематикаМедицинаМенеджментОхрана трудаПравоПроизводствоПсихологияРелигияСоциологияСпортТехникаФизикаФилософияХимияЭкологияЭкономикаЭлектроника






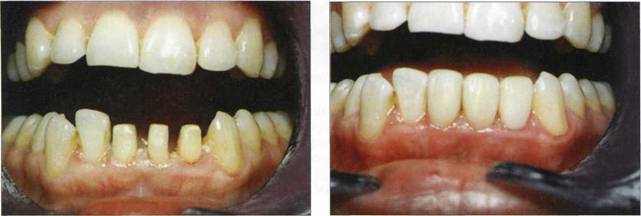
Клинический пример 2





Пациентка 35 лет, в течение 15 лет носила одиночные коронки в области 41, 31, 32. После их снятия произведена прямая реставрация материалом "Charisma" фирмы "Heraeus KULZER" с восстановлением элементов микрорельефа.



 


 


Рис. 722. Исходная клиническая ситуация


Рис. 723. Состояние твердых тканей 41, 31, 32 зубов после снятия ортопедических конструкций


204 ♦ ХУДОЖЕСТВЕННОЕ МОДЕЛИРОВАНИЕ И РЕСТАВРАЦИЯ ЗУБОВ



 


Рис. 724. Вид твердых тканей 41, 31, 32 зубов после препари- Рис. 725. Конечный результат терапевтического лечения рования

Клинический пример 3

Пациентке 14 лет; из анамнеза определяется недостаточная функция щитовидной железы, очень низкий уровень резистентности, КПУ 25. Произведена реставрация 12, 11, 21, 22 материалом "Charisma" фирмы "Heraeus KULZER".



 


 


Рис. 726. Исходная клиническая ситуация


Рис. 727. Вид твердых тканей 12, 11,21,22 зубов после препарирования


 



 


 


Рис. 728. Конечный результат


Рис. 729. Конечный результат


КЛИНИЧЕСКОЕ ПРИМЕНЕНИЕ ОСНОВ ХУДОЖЕСТВЕННОГО МОДЕЛИРОВАНИЯ



Клинический пример 4

Пациентке 17 лет. Из анамнеза: флюороз меловидно-крапчатая форма, проживание в Мордовской республике до 15 лет. Произведена реставрация фронтальной группы зубов верхней челюсти материалами семейства "Filtek", фирмы "3M-ESPE".



 


 


Рис. 730. Исходная клиническая ситуация


Рис. 731. Этап восстановления 11, 21 зубов композиционным материалом


 



 


 


Рис. 732. Конечный результат, вид справа


Рис. 733. Конечный результат, вид слева








Date: 2015-07-17; view: 1165; Нарушение авторских прав



mydocx.ru - 2015-2026 year. (0.296 sec.) Все материалы представленные на сайте исключительно с целью ознакомления читателями и не преследуют коммерческих целей или нарушение авторских прав - Пожаловаться на публикацию