Главная Случайная страница


Полезное:

Как сделать разговор полезным и приятным Как сделать объемную звезду своими руками Как сделать то, что делать не хочется? Как сделать погремушку Как сделать так чтобы женщины сами знакомились с вами Как сделать идею коммерческой Как сделать хорошую растяжку ног? Как сделать наш разум здоровым? Как сделать, чтобы люди обманывали меньше Вопрос 4. Как сделать так, чтобы вас уважали и ценили? Как сделать лучше себе и другим людям Как сделать свидание интересным?


Категории:

АрхитектураАстрономияБиологияГеографияГеологияИнформатикаИскусствоИсторияКулинарияКультураМаркетингМатематикаМедицинаМенеджментОхрана трудаПравоПроизводствоПсихологияРелигияСоциологияСпортТехникаФизикаФилософияХимияЭкологияЭкономикаЭлектроника






Клинический этап





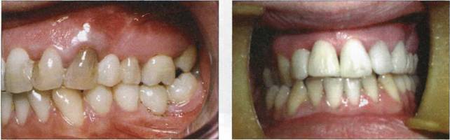
Фиксация конструкции в полости рта на композитный цемент двойного отверждения "RelyX" ARC фирмы "3M-ESPE", проверка окклюзионных взаимоотношений при различ-



 


 


Рис. 899. Конечный результат восстановления зубных рядов верхней и нижней челюсти слева


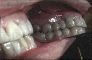
Рис. 900. Конечный результат


КЛИНИЧЕСКОЕ ПРИМЕНЕНИЕ ОСНОВ ХУДОЖЕСТВЕННОГО МОДЕЛИРОВАНИЯ



ных движениях нижней челюсти. В это же посещение удалены старые пломбы с 12, 11, 21, 22, произведено винирование эмали 23, 25, одномоментная реставрация подготовленных зубов материалами семейства Filtek фирмы "3M-ESPE".

Рис. 901. Конечный результат.

Таким образом, нами проведен комбинированный метод восстановления зубов, который объединяет в себе многие преимущества прямого и непрямого методов.

1. Восстановление дефектов зубов, зубных рядов осуществляется с учетом индивиду
альных особенностей зубочелюстной системы пациента (гармония цвета, формы).

2. Лабораторный этап конструкций изготовления на моделях позволяет достичь высоких
результатов:

 

a) Восстановление анатомических форм отсутствующих тканей производится в более
благоприятных условиях (отсутствие влаги, крови, слюны).

b) Нет ограничений во времени.

c) Есть возможность рассмотреть созданную Вами модель с различных сторон, провес
ти коррекцию окклюзионных контактов в артикуляторе.

d) Качественное проведение этапов шлифовки, полировки.

e) Коллегиальность обсуждения, критический анализ полученных моделей.

Желательно, чтобы этим методом владел доктор от начала и до последнего этапа восстановления зубочелюстного аппарата. Чтобы это осуществить, необходимо концентрировать знания и умения как терапевтической так и ортопедической стоматологии, зуботехническо-го дела.


ЗАКЛЮЧЕНИЕ

Авторы книги, делясь своим опытом в области реставрационной техники и моделирования зубов, пытались показать, что многое в этой непростой деятельности можно достичь путем познания, ежедневного труда, терпения, критического анализа своих же работ. Долгие годы моделировались основные элементы коронки зуба (шейка, тело, режущий край, контактные поверхности), при этом не уделялось должного внимания восстановлению микрорельефа поверхностей. Со временем, вникая в тонкости анатомии, физиологии, биомеханики, мы смогли восстанавливать более дифференцированные структуры, раскрывающие индивидуальность личности, ее гармоничность и красоту.

В книге изложен материал по моделированию коронок зубов, с учетом личного видения форм будущих конструкций. Последовательность же действий по их оформлению, на наш взгляд, не должна быть догмой, в связи с этим специально показаны различные приемы и этапность наложения подручного материала. Право выбора той или иной методики остается за профессионалом, личностью, имеющей свой индивидуальный внутренний мир, художником и скульптором в одном лице. Главное — конечный результат, то есть грамотное восстановление формы и функции зубов, зубных рядов, что приведет к нормальному функционированию зубочелюстного аппарата человека.

Материал книги дает возможность изучить основы процесса моделирования, получить определенные знания в этой области. В дальнейшем приобретенные знания необходимо перевести в умения, для чего потребуется систематическая практическая работа, цикл упражнений, цель которых — привить начальные навыки реставрационного творчества.

Эта работа была бы невозможна без фундаментальных исследований А.А.Зубова (1968 г.) в области одонтоскопии. Однако профессионалам при исполнении реставрационных работ, при восстановлении коронок зубов, зубных рядов всегда было недостаточно наглядной информации, иллюстративного материала в области моделирования, в лучшем случае выручал опыт и интуиция. Огромное желание авторов объединить информацию по анатомии, физиологии, моделированию зубов в клинической стоматологии привело к созданию достаточного количества иллюстративного материала и написанию монографии. Выражаем надежду, что данная работа поможет стоматологам, зубным техникам намного быстрее ориентироваться в анатомических особенностях зубочелюстного аппарата, а восстановление формы и функции зубов будет осуществляться осознанно с учетом клинической анатомии, а также конкресцентной теории формообразования зубов.

Хочется поблагодарить фирмы "3M-ESPE", "Heraeus KULZER", "DENTSPLY", которые любезно предоставили возможность использовать свою стоматологическую продукцию в учебном процессе кафедры терапевтической стоматологии Омской государственной медицинской академии.

Теплые слова благодарности выражаем врачам-стоматологам Погадаеву Д.В., Черкашину Д.С., чьи работы были использованы по ходу изложения материала, а также Махорину СВ. и художнику Пономаренко А.Н. за кропотливый труд и терпение при оформлении книги.


ПРИЛОЖЕНИЯ







Date: 2015-07-17; view: 735; Нарушение авторских прав



mydocx.ru - 2015-2026 year. (1.199 sec.) Все материалы представленные на сайте исключительно с целью ознакомления читателями и не преследуют коммерческих целей или нарушение авторских прав - Пожаловаться на публикацию