Главная Случайная страница


Полезное:

Как сделать разговор полезным и приятным Как сделать объемную звезду своими руками Как сделать то, что делать не хочется? Как сделать погремушку Как сделать так чтобы женщины сами знакомились с вами Как сделать идею коммерческой Как сделать хорошую растяжку ног? Как сделать наш разум здоровым? Как сделать, чтобы люди обманывали меньше Вопрос 4. Как сделать так, чтобы вас уважали и ценили? Как сделать лучше себе и другим людям Как сделать свидание интересным?


Категории:

АрхитектураАстрономияБиологияГеографияГеологияИнформатикаИскусствоИсторияКулинарияКультураМаркетингМатематикаМедицинаМенеджментОхрана трудаПравоПроизводствоПсихологияРелигияСоциологияСпортТехникаФизикаФилософияХимияЭкологияЭкономикаЭлектроника






Вопрос: Патологические изменения в клиническом анализе крови





 

Пример №2.

Клинический анализ крови

Показатели 1.08.09 г
Гемоглобин 230 г/л
Лейкоциты 14,5 * 109
Эритроциты 8,05* 1012
Тромбоциты 630* 109
СОЭ 1мм/ч
Э 12%
П 20%
С 43%
Л 20%
М 5%
Баз  
Ht 62%
Другие  

Вопросы: Патологические изменения в клиническом анализе крови.

 

 

Приложение № 1

СХЕМА КРОВЕТВОРЕНИЯ

 

 


 

Приложение № 2

ОСТРЫЕ ЛЕЙКОЗЫ

Острый миелоидный лейкоз: преобладание эритроидных клеток на всех стадиях созревания.

 

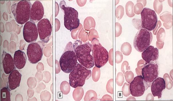
Эозинофильный лейкоз. А - атипичные зозинфилы в мазке крови. Б- эозинофильные бласты, погибшие клетки и кристаллы Шарко – Лейдена в пунктате костного мозга. В - погибшие клетки и кристаллы Шарко – Лейдена в биоптате костного мозга.

Острый миелоидный лейкоз (Б,В): пунктат костного мозга при большом увеличении

 

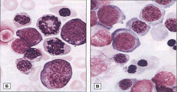
Острый лимфобластный лейкоз (А, Б, В). Бластные клетки сильно отличаются по размеру и количеству цитоплазмы.

 

 

Острый лимфобластный лейкоз (А, Б).

А- редкий вариант, при котором бласты содержат гранулы

Б- редкий вариант с эозинофилией –в мазке крови видны лимфобласт и 2 эозинофила

 







Date: 2015-05-22; view: 1502; Нарушение авторских прав



mydocx.ru - 2015-2026 year. (0.378 sec.) Все материалы представленные на сайте исключительно с целью ознакомления читателями и не преследуют коммерческих целей или нарушение авторских прав - Пожаловаться на публикацию