Главная Случайная страница


Полезное:

Как сделать разговор полезным и приятным Как сделать объемную звезду своими руками Как сделать то, что делать не хочется? Как сделать погремушку Как сделать так чтобы женщины сами знакомились с вами Как сделать идею коммерческой Как сделать хорошую растяжку ног? Как сделать наш разум здоровым? Как сделать, чтобы люди обманывали меньше Вопрос 4. Как сделать так, чтобы вас уважали и ценили? Как сделать лучше себе и другим людям Как сделать свидание интересным?


Категории:

АрхитектураАстрономияБиологияГеографияГеологияИнформатикаИскусствоИсторияКулинарияКультураМаркетингМатематикаМедицинаМенеджментОхрана трудаПравоПроизводствоПсихологияРелигияСоциологияСпортТехникаФизикаФилософияХимияЭкологияЭкономикаЭлектроника






Задача №16





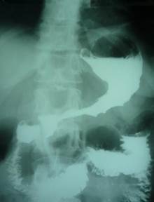
Женщина, 70 лет, 4 года назад перенесла инфаркт миокарда. При контрольном осмотре у кардиолога предъявила жалобы на чувство быстрого насыщения и ощущение полноты в желудке после приема небольших порций пищи. Других желудочных и общесоматических жалоб не предъявляла.

История заболевания. Указанные симптомы возникли без видимой причины 2 месяца назад. Никакой динамики за этот период не наблюдалось.

Врач направила больную на рентгенологическое обследование и ФГС.



Вопросы:

1. Обосновано ли направление больной на эти исследования при наличии столь мало выраженных симптомов?

 

2. Какое заключение должно быть сделано по рентгенограммам?

3. Нуждается ли больная в специальном лечении? Если нуждается, то, в каком?

4. Если в хирургическом, то в какой операции?

5. Нуждается ли больная после излечения в диспансерном наблюдении по поводу желудочного заболевания? Если нуждается, то кто его должен осуществлять и какова его продолжительность и периодичность?

 

Проректор по учебной работе,

профессор Л.А. Суплотова


 







Date: 2015-07-02; view: 462; Нарушение авторских прав



mydocx.ru - 2015-2026 year. (1.348 sec.) Все материалы представленные на сайте исключительно с целью ознакомления читателями и не преследуют коммерческих целей или нарушение авторских прав - Пожаловаться на публикацию