Главная Случайная страница


Полезное:

Как сделать разговор полезным и приятным Как сделать объемную звезду своими руками Как сделать то, что делать не хочется? Как сделать погремушку Как сделать так чтобы женщины сами знакомились с вами Как сделать идею коммерческой Как сделать хорошую растяжку ног? Как сделать наш разум здоровым? Как сделать, чтобы люди обманывали меньше Вопрос 4. Как сделать так, чтобы вас уважали и ценили? Как сделать лучше себе и другим людям Как сделать свидание интересным?


Категории:

АрхитектураАстрономияБиологияГеографияГеологияИнформатикаИскусствоИсторияКулинарияКультураМаркетингМатематикаМедицинаМенеджментОхрана трудаПравоПроизводствоПсихологияРелигияСоциологияСпортТехникаФизикаФилософияХимияЭкологияЭкономикаЭлектроника






Средние величины плотности нормального мозга и его





патологических образований G. Hounsfield, J. Ambrose (1973)

Вещество мозга: серое 35 – 39 H
белое 30 – 33 H
Спинномозговая жидкость 4 – 16 H
Отек белого вещества мозга 18 – 25 H

 

Ликворо-краниальный (ЛКИ) индекс представляет процентное отношение объема ликворных пространств ребенка к объему полости черепа. Методика измерения ликворо-краниального индекса наиболее точно отражает основные внутричерепные взаимоотношения и состояние ликворных пространств.

Объем мозга составляет разницу между объемом краниальной полости и объемом ликвора. У детей в норме ЛКИ составляет 2-3%, на седьмом десятилетии жизни в связи с процессами атрофии достигает 10-15%.

 

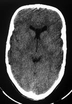
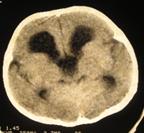
Рис.38. КТ-граммы ребенка с гидроцефалией тяжелой степени, ЛКИ=53%,

после операции нормализация внутричерепных взаимоотношений, ЛКИ= 3,2%.

Магнитно-резонансная томография (МРТ)

Магнитно-резонансная томография (МРТ) томографический метод исследования внутренних органов и тканей с использованием физического явления ядерного магнитного резонанса метод основан на измерении электромагнитного отклика ядер атомов водорода на возбуждение их определённой комбинацией электромагнитных волн в постоянном магнитном поле высокой напряжённости. Применение данного метода позволяет получать графическое изображение с высоким разрешением исследуемого объекта (человеческого тела, головы) в трех проекциях (аксиальной, сагиттальной и фронтальной) без воздействия ионизирующего облучения (в отличии от компьютерной томографии). Метод МРТ позволяет дифференцировать нормальные и патологически измененные ткани организма.

 

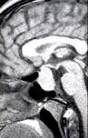
Рис. 39. МРТ исследование у пациентов с внутричерепными кистами

и аневризмой вены Галена.

 

Преимущества МРТ (Васильев А.Ю., Ольхова Е.Б., 2008):

- исследование с использованием постоянном магнитного поля не сопряжено с воздействием ионизирующего излучения, что обуславливает отсутствие данных факторов вредности;

- МРТ высокоинформативна для получения изображения всех органов и систем человеческого тела, особенно мягкотканных структур (возможно получение изображения сосудов крупного и среднего диаметра – МР-ангиграфия);

 

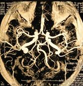
Рис. 40. МР-ангиография сосудов головного мозга.

 

- МРТ позволяет получать срезы исследуемой области в любых плоскостях и создавать 3-мерные реконструкции исследованных объектов.

Существует большое количество адресно ориенти­рованных MP-режи-мов. В числе по­следних можно упомянуть:

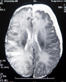
FLAIR – режим «инверсия-восста­новление» с редукцией сигнала от свободной жидкости – незаменим для оптимизации изображения белого ве­щества. Используется в МР-диагностике рассеянного склероза, различ­ных лейкопатий и т. д.

Диффузно-взвешенное изображение применяется для регистрации скры­тых дисциркуляторных нарушений и основано на анизотропном характере движения молекул воды.

GRE – градиентное эхо – может использоваться для повышения спе­цифичности выявленных изменений при интрацеребральных кальцинатах, острых геморрагических нарушениях.

FSPGR – быстрые «очищенные» градиенты – незаменимы в получе­нии утрированного изображения, уси­ливающего рисунок борозд. Важен при суперфициальных (поверхност­ных) кортикальных дисплазиях.

Режимы с подавлением сигнала от жира – оптимальная визуализация липом (в аспекте их дифференциации с острыми или подострыми геморра­гическими субстратами), а также ретробульбарных структур и зрительного нерва.

ПАС – поверхностное анатомиче­ское сканирование – режим трехмер­ной реконструкции кортикальной по­верхности, предназначенный для улучшения идентификации корти­кальных дисплазий.

МР-гидрография – усиление сигна­ла от ликворопроводящих путей – ви­зуализация при окклюзионных гидроцефалиях и т. д.

ИП Propeller – импульсная после­довательность, существенно редуци­рующая двигательные артефакты, что является принципиально важным при обследовании пациентов с непроиз­вольными движениями, автоматизма­ми и детей раннего возраста.

Надо отметить, что ни один из пе­речисленных специальных режимов МРТ не является самодостаточным в диагностическом процессе и в плани­ровании исследования необходимо использовать комплекс перечислен­ных режимов для получения опти­мального результата.

В настоящее время очень популяр­на MP-ангиография; это привело к постепенному вытеснению традици­онной ангиографии как диагностиче­ского метода. Существует два основ­ных типа MP-ангиографии – время-пролетная и фазово-контрастная. В основном используется время-про­летная МРА в артериальном или ве­нозном режиме, при которой анато­мия сосудом представляется линей­ными зонами высокого МР-сигнала. Предметом идентификации становят­ся клинически значимые стенозы со­судов, аномалии развития и неопла­стические сосудистые образования, нарушения архитектоники церебраль­ных артерий или вен, обеднение васкуляризации, изгибы и т. д.


Высокая степень дифференциации мягких тканей при МРТ лежит в ос­нове признания этого метода в каче­стве метода выбора при исследовании больных эпилепсией. Современным стандартом в идентификации потен­циально эпилептогенных структурных нарушений является МРТ с высоким разрешением, при которой толщина среза при сканировании не превыша­ет 2 мм, а шаг томографа не более 0,1 мм. Это тотальное сканирование позволяет верифицировать участки повреждения размерами до 2 мм, практически невидимые при традици­онных режимах томографии.

Функциональная МРТ (фМРТ) имеет ряд преимуществ перед струк­турной, так как на основе специфики метаболических процессов позволяет локализовать внутримозговые, или корковые очаги, возможно, имеющие эпилептическую потентность. Перфузия тканей может исследоваться при помощи введения контрастных препа­ратов (солей гадолиния).

Рис.41. Функциональная МРТ: трактография, функциональная

нейровизуализация с нейрофизиологическими методиками.

Рис.42. (а,б,с). а – МР-томограммы головного мозга пациента с герпетическим менингоэнцефалитом; б, в – МР-томограммы пациентов с гигантскими

абсцессами головного мозга.

Данный метод исследования позволяет проводить исследования при заболеваниях и травмах головного и спинного мозга (аномалии развития, нейроинфекции, демиелинизирующие заболевания и пр.).

МРТ позволяет объективно оценивать степень тяжести черепно-мозговой травмы (в различные периоды течения), а также исследовать компенсаторные возможности внутричерепных «резервных» пространств, своевременно диагностировать развитие декомпенсации и осложнений. Проведение МРТ-исследования позволяет осуществлять дифференцированный подход (с учетом тяжести состояния пациента) к тактике ведения больных с черепно-мозговой и вертеброспинальной травмой, принимать обоснованное решение при выборе методов оперативного лечения.

 

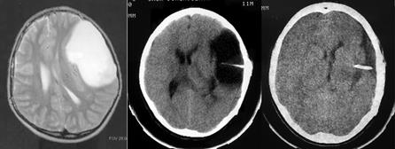
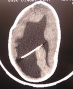
Рис.43 (а, б). аМР-томограмма головного мозга пациента с субдуральной гематомой головного мозга; бКТ пациента с эпидуральной гематомой.

 

Рис. 44. МР-томограммы позвоночника пациента с гнойным эпидуритом

грудного и поясничного отдела (1,2 слева), послеоперационная рана

заживление вторичным натяжением (справа).

 

Рис. 45. МР-томограммы пациента с интрамедуллярной опухолью

на уровне С13, и опухолью средней черепной ямки.

Рис. 46. Опухоль (аденома гипофиза) до и после эндоскопического

эндоназального транссфеноидального удаления. Этап операции.

1 2

 

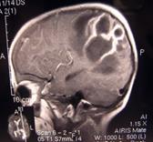
Рис. 47. МР – томограммы (1,2) пациента с хондромой основания черепа. Рис. 48. МР – томограмма головного мозга пациента с кистозной опухолью мозжечка.

1 2 3

Рис. 49. МР-томограммы головного мозга пациента с кистой полушария

головного мозга (1 – до операции, 2 – ранний послеоперационный период,


3 – спустя 3 месяца после операции).

Рис. 50. МРТ пациентов с субдуральной гематомой, субдуральной эмпиемой

и с субдуральным выпотом при герпетическом энцефалите.

Диагностика аномалий краниовертебральной области. При МРТ визуализируются аномалии развития головного мозга, связанные с нарушением формы и строения (архитектоники) серого вещества (в меньшей степени белого вещества). Пороки головного мозга могут развиться на всех этапах эмбрионального и частично в фетальном периоде. Исследование костных и невральных образований задней черепной ямки (ЗЧЯ) при МР-исследовании проводится в сагиттальном сечении (диагностика мальформации основывалась на выявлении расположения миндалин мозжечка на 4-5 мм ниже линии, соединяющей края клиновидной и затылочной костей – линия McRae) и с целью оценки дистопии миндалин мозжечка использовались фронтальные срезы. Размер полушарий мозжечка измерялся от наиболее краниальной части вдоль линии, направленной каудально и параллельно дну IV желудочка. Для изучения краниотопографических признаков расположения намета мозжечка определяется угол, образованный наметом и линией Twining, а также угол между наметом и линией, соединяющей внутренний затылочный бугор и опистион (opisthion, PNA; греч. opisthen сзади – антропологическая точка: середина заднего края большого затылочного отверстия).

 

Рис. 51. Аномалии Арнольда-Киари по типу I, II, III и IV.

Аномалия Киари I типа (аномалия Арнольда-Киари) – опущение миндалин мозжечка через большое затылочное отверстие в позвоночный канал. Часто сочетается с сирингомиелией и костными аномалиями (например, платибазией). Гидроцефалия наблюдается редко. Характерны боли в шейно-затылочной области, усиливающиеся при кашле, физической нагрузке, нистагм, дроп-атаки, обмороки, апноэ во сне, поражение черепных нервов, возможно развитие бульбарного синдрома. При компрессионном поражении спинного мозга (сдавление задних столбов) выявляются нарушения глубоких видов чувствительности. Нередко отмечаются пирамидный синдром и мозжечковая атаксия. Классификация мальформации Киари I типа по степени опущения миндалин мозжечка (Воронов В.Г., 2002):

1 степень – миндалины мозжечка на уровне края затылочного отверстия

2 степень – миндалины смещены до уровня верхнего края дуги атланта

3 степень – миндалины смещены до уровня верхнего края тела С2

4 степень – миндалины смещены до уровня верхнего края С3 и ниже.

 

Аномалия Киари II типа – опущение через большое затылочное отверстие не только миндалин мозжечка, но также продолговатого мозга и четвертого желудочка. Почти у всех больных встречаются сирингомиелия, незаращение дужек позвонков (spina bifida) в пояснично-крестцовом отделе, нередко со спинномозговой грыжей, стеноз сильвиева водопровода с развитием гидроцефалии. Клиническая картина аномалии Арнольда-Киари характеризуется болью в шейно-затылочной области, усиливающейся при кашле, чихании, снижение болевой и температурной чувствительности и мышечной силы в верхних конечностях, спастичностью верхних и нижних конечностей, развитием обмороков, головокружения, снижение остроты зрения, в более запущенных случаях присоединяются эпизоды апноэ, ослабление глоточного рефлекса, непроизвольные быстрые движения глаз.


 

Рис. 52. МРТ картина аномалии Арнольда-Киари I типаопущение миндалин мозжечка ниже линии Чемберлена (линия, проведенная от заднего края

затылочного отверстия до твердого неба (1),

сирингомиелическая киста (2)(Зуев А.А., www.neuro-med.ru).

Аномалия Киари III типа – смещение ствола и продолговатого мозга в сочетании с инфратенториальным менингоэнцефалоцеле. Грыжевое выпячивание содержимого задней черепной ямки (мозжечок, а иногда и ствол мозга) через spina bifida на уровне С1 – С2.

Аномалия Киари IV типа – гипоплазия мозжечка (в настоящее время отнесена к мальформации Dandy-Walkera).

Краниостозы. Термин краниостеноз используется для обозначения преждевременного сращения одного или большего количества швов. Краниосиностоз – это процесс преждевременного слияния швов, а краниостеноз – конечный результат этого процесса (Бельченко В.А., 2006). У детей с краниосиностозами пропорциональный рост черепной коробки ограничен преждевременно синостозированными швами, что приводит к нарушению соотношения между размером головного мозга и внутричерепным объемом, что, в свою очередь, может стать причиной повышения внутричерепного давления.

 

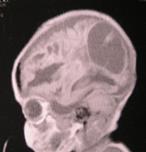
Рис. 53(а,б,в). а,б) КТ больной 3 лет, сочетание плагиоцефалии и гидроцефалии; в) фотография больной.

Плагиоцефалия. Описательный термин, означающий асимметрию черепа или косую, искривленную его форму (перевод с греч.: plagio"косой, наискось", kephale"голова") независимо от этиологии. Такая форма черепа появляется при одностороннем коронарном синостозе, деформации головы плода вследствие сдавления в утробе, без синостозирования шва, деформации головы младенца из-за вынужденного положения головы во время сна или нейромышечных дисфункций. При асимметрии черепа и отсутствии синостоза эту деформацию обозначают как плагиоцефалия без синостоза или деформационная плагиоцефалия. В зависимости от поражения коронарного или лямбдовидного швов, плагиоцефалия может быть лобной или затылочной. Если рассматривать лобную плагиоцефалию, то есть асимметрию лба, этиологически можно определить три подгруп- пы – синостозную, компенсаторную и деформационную. С иностозная лобная плагиоцефалия является следствием одностороннего синостоза коронарного, лобно-решетчатого и лобно-клиновидного швов. В свою очередь, компенсаторная лобная плагиоцефалия является следствием преждевременного закрытия лямбдовидного шва и компенсаторного роста и выбухания лба на стороне, противоположной лямбдовидному синостозу. Третий тип – деформационная лобная плагиоцефалия возникает из-за внутриутробной компрессии или сдавления в постнатальном периоде (вынужденное положение головы ребенка во время сна). У этой категории детей не наблюдается первичного слияния шва (Бельченко В.А., 2006).

Тригоноцефалия. Термин тригоноцефалия был предложен Welcker в 1862 г. В переводе с греческого термин trigonos означает "треугольный". Синостоз метопического шва составляет менее 10% всех форм краниостенозов. В норме метопический шов начинает закрываться в конце первого года жизни и полностью, за редким исключением, исчезает к 8 годам. В результате преждевременного заращения метопического шва образуется характерная треугольная деформация передней части черепной коробки. Обычно синостоз продолжается от глабеллы до переднего родничка. Из-за характерной узости лба, напоминающего киль корабля, в литературе встречается другое название тригоноцефалии: "голова в форме киля". В зависимости от времени и протяженности закрытия метопического шва тригоноцефалия может проявляться по-разному. От самой легкой формы в виде изолированного гребня по срединной линии лба до костного возвышения в форме киля, сопровождаемого двусторонним смещением назад боковых отделов лба и бровей, орбитальным гипотелоризмом, гипоплазией решетчатой кости и сужением передней черепной ямки в височных областях. При этом вследствие компенсаторного роста черепа в коронарных, лямбдовидных и сагиттальном швах происходит расширение мозгового отдела черепа в теменных областях, увеличивающее его клинообразную форму (Бельченко В.А., 2006).

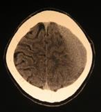
Рис. 54(а,б). а.б) КТ ребенка 3 лет с тригоцефалией (метапическим КС).

 

Рис. 55(а,б).а)КТ ребенка с сагиттальным КС; б) фотография ребенка.

Скафоцефалия. Сагиттальный синостоз – это наиболее распространенный простой краниосиностоз. Он составляет 56-58% от общего числа краниосиностозов и встречается у одного из 2000 новорожденных. Часто встречающийся в специальной литературе при определении этого типа краниосиностоза термин «долихоцефалия» в переводе с греческого означает “длинноголовость” – вариант формы головы, характеризующийся значительным преобладанием ее продольных размеров над поперечными (горизонтальных), характерно сужение черепа в теменных и в височных областях. Гидроцефалия при этой форме краниосиностоза встречается редко. В 1860 г. для описания преждевременного сращения сагиттального шва von Baer предложил использовать термин «скафоцефалия» ( ладьевидная голова, греч.). Причиной такого выраженного пребладания продольного диаметра черепа над поперечным является преждевременное закрытие сагиттального шва и компенсаторный рост костей свода черепа в коронарных, метопическом и лямбдовидных швах. При преждевременном сращении передней половины сагиттального шва у пациентов со скафоцефалией в проекции лобных бугров появляются заметные шишковидные выбухания, а при заращении задней половины шва – затылочные выбухания. В области отсутствующего сагиттального шва появляется срединный костный гребень.

 

Рис. 56. МСКТ-граммы пациента с гемифациальной микросомией

(синдром Гольденхара) до и после операции (Бельченко В.А., 2006).

Брахицефалия, туррибрахицефалия, оксицефалия и акроцефалия. Термин «брахицефалия» означает короткоголовость. Этот вариант формы головы характеризуется относительно большим ее поперечным диаметром. При преждевременном синостозировании коронарных швов череп становится коротким в передне-заднем интервале и широким – за счет компенсаторного выбухания височных областей. Анатомия черепа пациентов с бра-хицефалией отчасти напоминает анатомию синостозной плагиоцефалии.

Однако при брахицефалии из-за поражения всего коронарного кольца деформация черепа возникает с обеих сторон. В некоторых случаях встречается асимметричная форма брахицефалии. Такая деформация возникает вследствие первичного синостоза одной половины коронарного кольца с последующим вторичным поражением остальной его части. При раннем синостозировании коронарных и лямбдовидных швов возникает деформация в виде высокого черепа, имеющая название «акроцефалия» (высокая голова). При преждевременном синостозировании коронарных, продольного и – иногда – лямбдовидных швов возникает деформация в виде острого черепа под названием «оксицефалия» (остроконечная голова).

Рис.57. КТ ребенка К-ой 2 лет с брахицефалией (коронарным КС).

Рис. 58. МСКТ-граммы пациентки с синдромом Saethre-Chotzen до

и после оперативного лечения (Бельченко В.А., 2006).

Туррицефалия (башенный череп) характеризуется «наплывом» лобной области на теменные, ее возвышением над сводом черепа в виде башни и нависанием над лицевым скелетом. Лобная кость при туррицефалии расположена вертикально, без характерной для нормального лба кривизны. Однако туррицефалия не происходит без раннего синостозирования коронарных швов, поэтому правильнее будет обозначать этот вид деформации черепа термином «туррибрахицефалия», а не «туррицефалия». Туррибрахицефалия может наблюдаться при синдромальных краниосиностозах, когда вместе с бикоронарным синостозом происходит преждевременное сращение сагиттального шва. Брахицефалия может встречаться без туррицефалии. В этом случае наблюдается широкий череп без характерного «наплыва». Многие авторы при описании всех вышеперечисленных деформаций черепа используют словосочетание «высокий череп», что не отражает сущности и механизма деформации. В большинстве этих деформаций наблюдается резкое увеличение вертикального размера лба, а удлинение остальной части свода черепа происходит компенсаторно. Полностью весь свод черепа удлиняется при преждевременном синостозе коронарных и лямбдовидных швов, т.е. при акроцефалии (Бельченко В.А., 2006).

 

 







Date: 2015-07-02; view: 1452; Нарушение авторских прав



mydocx.ru - 2015-2026 year. (1.872 sec.) Все материалы представленные на сайте исключительно с целью ознакомления читателями и не преследуют коммерческих целей или нарушение авторских прав - Пожаловаться на публикацию