Главная Случайная страница


Полезное:

Как сделать разговор полезным и приятным Как сделать объемную звезду своими руками Как сделать то, что делать не хочется? Как сделать погремушку Как сделать так чтобы женщины сами знакомились с вами Как сделать идею коммерческой Как сделать хорошую растяжку ног? Как сделать наш разум здоровым? Как сделать, чтобы люди обманывали меньше Вопрос 4. Как сделать так, чтобы вас уважали и ценили? Как сделать лучше себе и другим людям Как сделать свидание интересным?


Категории:

АрхитектураАстрономияБиологияГеографияГеологияИнформатикаИскусствоИсторияКулинарияКультураМаркетингМатематикаМедицинаМенеджментОхрана трудаПравоПроизводствоПсихологияРелигияСоциологияСпортТехникаФизикаФилософияХимияЭкологияЭкономикаЭлектроника






Министерство обороны Российской Федерации





ГОСУДАРСТВЕННЫЙ ЦЕНТР

СУДЕБНО-МЕДИЦИНСКИХ И КРИМИНАЛИСТИЧЕСКИХ ЭКСПЕРТИЗ

ЦЕНТРАЛЬНОГО ВОЕННОГО ОКРУГА

443099, г. Самара, ул. Венцека, д. 48 тел. 339-97-80, 332-47-60

ЗАКЛЮЧЕНИЕ СПЕЦИАЛИСТА № ХХХ 2011г.

Таблица№5

 

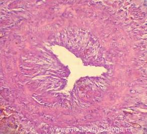
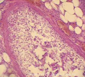
  Труп мужчины, 54 лет. В брюшной полости спаечная болезнь, конгломерат из петель тонкой и толстой кишки, следы хирургического вмешательства, шовный материал, свежие некрозы кишечника. Рис. 1, 2. Стенка тонкой кишки с разрастанием рыхлой соединительной ткани, группами гигантских многоядерных макрофагов (клетки инородных тел), дырчатые дефекты с фрагментами шовного материала в их просветах. Окраска: гематоксилин-эозин. Увеличение х100 и х250.  
  Рис. 3, 4. Стенка тонкой кишки значительно утолщена за счёт выраженного разрастания рыхлой соединительной ткани с умеренной-выраженной пролиферацией фибробластов, наличием лимфоцитов, диффузно расположенными эозинофилами в большом количестве. Окраска: гематоксилин-эозин. Увеличение х100 и х250.
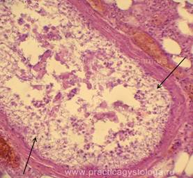
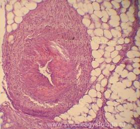
  Рис.5-10. Брыжейка тонкой кишки. Стенки сосудов брыжейки резко циркулярно утолщены за счёт склероза, часть сосудов с выраженной картиной продуктивного эндоваскулита. Окраска: гематоксилин-эозин. Увеличение х100 и х250.  
   
   
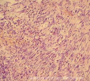
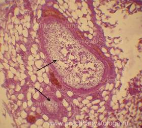
  Рис. 11-14. В просветах ряда сосудов брыжейки наличие грибковой микрофлоры (стрелки). Тонкие бледно окрашенные гифы приращены к эндотелию сосудов, на их вершинах мелкие округлые бледно окрашенные споры. Окраска: гематоксилин-эозин. Увеличение х100 и х250.  

 

 

 

 

 







Date: 2015-07-01; view: 571; Нарушение авторских прав



mydocx.ru - 2015-2026 year. (1.602 sec.) Все материалы представленные на сайте исключительно с целью ознакомления читателями и не преследуют коммерческих целей или нарушение авторских прав - Пожаловаться на публикацию