Главная Случайная страница


Полезное:

Как сделать разговор полезным и приятным Как сделать объемную звезду своими руками Как сделать то, что делать не хочется? Как сделать погремушку Как сделать так чтобы женщины сами знакомились с вами Как сделать идею коммерческой Как сделать хорошую растяжку ног? Как сделать наш разум здоровым? Как сделать, чтобы люди обманывали меньше Вопрос 4. Как сделать так, чтобы вас уважали и ценили? Как сделать лучше себе и другим людям Как сделать свидание интересным?


Категории:

АрхитектураАстрономияБиологияГеографияГеологияИнформатикаИскусствоИсторияКулинарияКультураМаркетингМатематикаМедицинаМенеджментОхрана трудаПравоПроизводствоПсихологияРелигияСоциологияСпортТехникаФизикаФилософияХимияЭкологияЭкономикаЭлектроника






Заключение специалиста № ХХХ 2011г





Таблица № 3

     
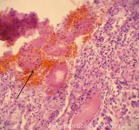
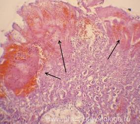
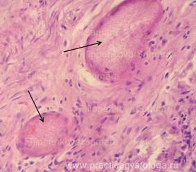
  Рис. 1-8. Стенка пищевода. В слизистой оболочке довольно большое количество мелких конических эпителиальных разрастаний (микрополипов, стрелки) с немногочисленными капиллярами в толще. Слабо-умеренная лимфогистиоцитарная инфильтрация подслизистой основы. Окраска гематоксилин-эозин. Увеличение х100, х250, х400.  

 

Специалист Е. Филиппенкова

 

Государственное учреждение здравоохранения

«САМАРСКОЕ ОБЛАСТНОЕ БЮРО СУДЕБНО-МЕДИЦИНСКОЙ ЭКСПЕРТИЗЫ»

 

К «Акту судебно-гистологического исследования» № 09-8/ ХХХ 2008 год

Таблица № 4

   
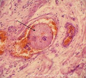
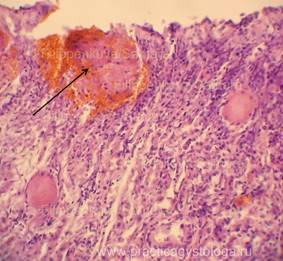
  Рис. 1-10. Труп мужчины, 24 лет. Обнаружен на улице без сознания, умер в приёмном отделении стационара. В крови - метаболиты наркотиков. При внутреннем исследовании трупа спавшиеся, с пустыми просветами желудок, тонкая и толстая кишка. При микроскопии в толще слизистой оболочки желудка различной величины кровоизлияния насыщенно - и тёмно-красного цвета, фибриноидные некрозы с кровоизлияниями (часть из них грибовидной формы). Тромбоз ряда сосудов слизистой оболочки и подслизистой основы. Окраска: гематоксилин-эозин. Увеличение х100, х250, х400.
   
   

Судебно-медицинский эксперт Е.И.Филиппенкова

 







Date: 2015-07-01; view: 569; Нарушение авторских прав



mydocx.ru - 2015-2026 year. (1.199 sec.) Все материалы представленные на сайте исключительно с целью ознакомления читателями и не преследуют коммерческих целей или нарушение авторских прав - Пожаловаться на публикацию