Главная Случайная страница


Полезное:

Как сделать разговор полезным и приятным Как сделать объемную звезду своими руками Как сделать то, что делать не хочется? Как сделать погремушку Как сделать так чтобы женщины сами знакомились с вами Как сделать идею коммерческой Как сделать хорошую растяжку ног? Как сделать наш разум здоровым? Как сделать, чтобы люди обманывали меньше Вопрос 4. Как сделать так, чтобы вас уважали и ценили? Как сделать лучше себе и другим людям Как сделать свидание интересным?


Категории:

АрхитектураАстрономияБиологияГеографияГеологияИнформатикаИскусствоИсторияКулинарияКультураМаркетингМатематикаМедицинаМенеджментОхрана трудаПравоПроизводствоПсихологияРелигияСоциологияСпортТехникаФизикаФилософияХимияЭкологияЭкономикаЭлектроника






Центрального военного округа. К «заключению специалиста» № ХХХ 2011г





443099, г. Самара, ул. Венцека, д. 48 тел. 339-97-80, 332-47-60

 

К «Заключению специалиста» № ХХХ 2011г.

Таблица № 5

 

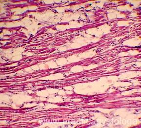
  Рис. 1-4. Пучки мышечных волокон истончённых за счёт слабо и умеренно выраженной атрофии. Сочетаются с очаговым периваскулярным липоматозом, очагово-диффузным интрамуральным липоматозом, участками волнообразной деформации мышечных волокон миокарда. Окраска: гематоксилин-эозин. Увеличение х100 и х250.  
   
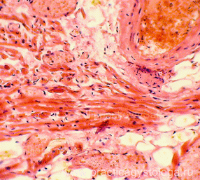
  Рис. 5, 6. Очаги продуктивного межуточного миокардита в виде очагов лимфогистиоцитарной инфильтрации стромы миокарда. Кардиомиоциты преимущественно в состоянии слабой-умеренной гипертрофии. Окраска: гематоксилин-эозин. Увеличение х100 и х250.  
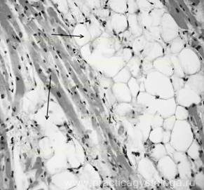
Рис. 7, 8. Очаги интерстициального липоматоза в миокарде. Окраска: гематоксилин-эозин. Увеличение х100 и х250.

 

Таким образом, в изученных микропрепаратах выраженные признаки дистрофии миокарда в виде сочетания групп кардиомиоцитов в состоянии гипертрофии, пучков мышечных волокон в состоянии атрофии, очагов межуточной круглоклеточной инфильтрации, очагового периваскулярного и интрамурального липоматоза.

 

Специалист Филиппенкова Е.И.

 







Date: 2015-07-01; view: 646; Нарушение авторских прав



mydocx.ru - 2015-2026 year. (0.323 sec.) Все материалы представленные на сайте исключительно с целью ознакомления читателями и не преследуют коммерческих целей или нарушение авторских прав - Пожаловаться на публикацию