Главная Случайная страница


Полезное:

Как сделать разговор полезным и приятным Как сделать объемную звезду своими руками Как сделать то, что делать не хочется? Как сделать погремушку Как сделать так чтобы женщины сами знакомились с вами Как сделать идею коммерческой Как сделать хорошую растяжку ног? Как сделать наш разум здоровым? Как сделать, чтобы люди обманывали меньше Вопрос 4. Как сделать так, чтобы вас уважали и ценили? Как сделать лучше себе и другим людям Как сделать свидание интересным?


Категории:

АрхитектураАстрономияБиологияГеографияГеологияИнформатикаИскусствоИсторияКулинарияКультураМаркетингМатематикаМедицинаМенеджментОхрана трудаПравоПроизводствоПсихологияРелигияСоциологияСпортТехникаФизикаФилософияХимияЭкологияЭкономикаЭлектроника






Щитовидная железа





1. Состояние кровенаполнения (очаговое или диффузное венозно-капиллярное полнокровие, умеренное кровенаполнение, слабое кровенаполнение), нарушения реологических свойств крови (эритростазы с диапедезными микрогеморрагиями, лейкостазы, разделение крови на плазму и форменные элементы, плазмостазы). Состояние сосудистых стенок (не изменены, утолщены за счёт склероза, гиалиноза, плазматического пропитывания).

2. Наличие отёка стромы, кровоизлияний.

3. Склероз (очаговый, сетчатый, очагово-диффузный, распространённый фиброз с очагами круглоклеточной инфильтрации).

   
Рис. 1, 2. Крупные очаги склероза (стрелки) на фоне картины микрофолликулярной аденомы. Окраска: гематоксилин и эозин. Увеличение х100 и х250.

4. Состояние фолликулов (средней величины, увеличены или уменьшены в размерах при макро - и микрофолликулярном коллоидном зобе, тиреоциты кубической, призматической формы, уплощены, краевая вакуолизация коллоида, уплотнение коллоида, гидропическая дистрофия тиреоцитов).

 

   
Рис. 3, 4. Краевая вакуолизация коллоида (как признак усиления гормональной активности коллоида; стрелки). Окраска: гематоксилин и эозин. Увеличение х250.
   
Рис. 5, 6. Уплотнённый коллоид (как признак снижения гормональной активности коллоида; стрелки). Окраска: гематоксилин и эозин. Увеличение х100 и х250.
   
   
Рис. 7-10. Гидропическая (вплоть до баллонной) дистрофия, гибель тиреоцитов внутри фолликулов (слущенные тиреоциты резко набухшие, с просветленной цитоплазмой с обилием грубых включений, похожих на глобулы белка, выглядят как «снежки», «снежные шары»; стрелки). Рис. 9 - фолликулы с краевой вакуолизацией коллоида (нижние стрелки). Окраска: гематоксилин и эозин. Увеличение х100 и х250.

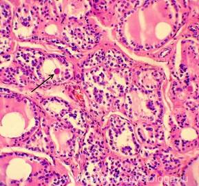
6. Очаги экстра - и интрафолликулярной пролиферации тиреоцитов.

  Рис. 11. Выраженная экстра - и интрафолликулярная пролиферация тиреоцитов. Выраженная десквамация тиреоидного эпителия в просветы фолликулов (стрелки). Окраска: гематоксилин и эозин. Увеличение х250.

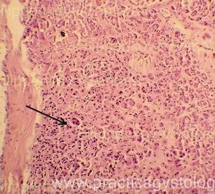
7. Очаги аутоиммунного воспаления.

Аутоиммунный зоб Хасимото с формированием фолликулоподобных структур.

 

   
Рис. 12. Аутоиммунный зоб Хасимото с формированием фолликулоподобных структур (стрелка). Сохранившиеся мелкие фолликулы щитовидной железы с заполнением их просветов гомогенным бледно-розовым коллоидом. Окраска: гематоксилин и эозин. Увеличение х100. Рис. 13. Аутоиммунный зоб Хасимото с формированием фолликулоподобных структур. Выраженное аутоиммунное воспаление с формированием фолликулоподобных структур (стрелка). Окраска: гематоксилин и эозин. Увеличение х100.

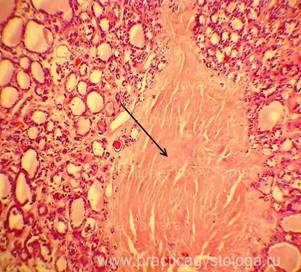
В одном из практических случаев мы столкнулись с сочетанием аутоиммунного зоба Хасимото и склерозирующего зоба Риделя: обширные поля разрастания грубой фиброзной ткани сочетались с крупными очагами густой круглоклеточной (лимфоидной) инфильтрации. Ткань щитовидной железы практически не прослеживалась, в отдельных полях зрения были видны резко сморщенные группы фолликулов (вернее то, что от них осталось; стрелки).

 

   
   
Рис. 14-17. Сочетание зоба Хасимото и зоба Риделя. Окраска: гематоксилин и эозин. Увеличение х100 х250.

 

8. Доброкачественные и злокачественные опухоли щитовидной железы.

   
Рис. 18, 19. Микрофолликулярная аденома щитовидной железы. Окраска: гематоксилин и эозин. Увеличение х100 и х250.

Пример№1.

ЩИТОВИДНАЯ ЖЕЛЕЗА (1объект) -выраженное диффузное венозно-капиллярное полнокровие, эритростазы, диапедезные микрогеморрагии. Умеренно выраженный отёк стромы. Фолликулы средней величины, заполнены гомогенным бледно-розовым коллоидом. Мелкие очаги экстра - и интрафолликулярной пролиферации тиреоцитов.

Пример№2.

ЩИТОВИДНАЯ ЖЕЛЕЗА (1объект, с образованием) - на большей площади срезов картина тубулярной («фетальной») аденомы щитовидной железы. Кровенаполнение слабое. Опухоль построена преимущественно из извитых трубочек различной длины и ширины. Просвет их узкий. Эпителий в основном кубический, со светлой цитоплазмой и пузырьковидным овальным или круглым ядром. Секрета в просветах трубочек нет или он содержится в незначительном количестве в микрофолликулах в виде гомогенной белковой массы, слабо окрашенной эозином. Строма выражена незначительно. Узел аденомы окружает слабо-умеренная соединительнотканная капсула. В подкапсульной области обнаружены единичные небольшие участки перехода «фетальной» аденомы в микрофолликулярную: расположены небольшие группы небольших фолликулов, заполненных бледно-розовым коллоидом.


 

  Рис. 20-22. Картина тубулярной («фетальной») аденомы щитовидной железы (стрелка). Опухоль построена преимущественно из извитых трубочек различной длины и ширины. Просвет их узкий. Эпителий в основном кубический, со светлой цитоплазмой и пузырьковидным овальным или круглым ядром. Секрета в просветах трубочек нет или он содержится в незначительном количестве в микрофолликулах в виде гомогенной белковой массы, слабо окрашенной эозином. Строма выражена незначительно. Окраска: гематоксилин и эозин. Увеличение х100 и х250.
   

 

 







Date: 2015-07-01; view: 690; Нарушение авторских прав



mydocx.ru - 2015-2026 year. (0.325 sec.) Все материалы представленные на сайте исключительно с целью ознакомления читателями и не преследуют коммерческих целей или нарушение авторских прав - Пожаловаться на публикацию