Главная Случайная страница


Полезное:

Как сделать разговор полезным и приятным Как сделать объемную звезду своими руками Как сделать то, что делать не хочется? Как сделать погремушку Как сделать так чтобы женщины сами знакомились с вами Как сделать идею коммерческой Как сделать хорошую растяжку ног? Как сделать наш разум здоровым? Как сделать, чтобы люди обманывали меньше Вопрос 4. Как сделать так, чтобы вас уважали и ценили? Как сделать лучше себе и другим людям Как сделать свидание интересным?


Категории:

АрхитектураАстрономияБиологияГеографияГеологияИнформатикаИскусствоИсторияКулинарияКультураМаркетингМатематикаМедицинаМенеджментОхрана трудаПравоПроизводствоПсихологияРелигияСоциологияСпортТехникаФизикаФилософияХимияЭкологияЭкономикаЭлектроника






Иммунодефицитные состояния специфического иммунитета





Недостаточность специфического звена иммунитета приводит к ослаблению клеточных и гуморальных защитных реакций организма и как следствие, склонности к инфекциям, аутоиммунным расстройствам и возникновению опухолей. Специфические ИД бывают первичными(генетическими или врожденными) и вторичными(приобретенными). Если первые возникают в связи с блокадой созревания лимфоцитов, то вторые – вследствие подавления активности иммунокомпетентных лимфоцитов и/или нарушения регуляции факторами внешней среды или другими заболеваниями.

Первичные ИД группируются следующим образом:

1.Комбинированные ИД –с нарушением клеточного и гуморального иммунитета.

2.Недостаточность клеточного иммунитета.

3.Недостаточность гуморального иммунитета.

Наиболее глубокая форма комбинированного ИД – тяжелая комбинированная иммунологическая недостаточность (ТКИН) встречается редко и характеризуется генетическими аномалиями на уровне гемопоэтических стволовых клеток. В результате нарушаются все следующие этапы созревания лимфоцитов. ТКИН имеет следующие общие признаки:

-очень частые вирусные и бактериальные инфекции,

-высокая летальность больных в течение 1-1,5 лет,

-недоразвитие лимфоидных органов(гипоплазия), прежде всего тимуса(синдром Ди-Джорджи),

-ярко выраженная Т-клеточная лимфопения(низкое содержание Т-клеток), гипогамма-глобулинэмия,

-развивается уже в раннем возрасте.

Первичный ИД гуморального иммунитета проявляется снижением содержания антител одного или нескольких типов в крови и тканях. При этих заболеваниях наблюдаются рецидивирующие бактериальные инфекции. Наследование заболевания происходит по сцепленному с Х-хромосомой типу или по аутосомно-рецессивному. Разновидности первичных ИД гуморального типа:

-болезнь Брутона с низким уровнем иммуноглобулинов всех типов, низким содержанием В-клеток в периферических лимфоидных органах и крови, в клинической картине – рецидивирующие гнойные инфекции, септические артриты, менингиты,

-дефицит IgA(иммуноглобулинов типа Ф) – снижение содержания IgA приводит к рецидивирующим инфекциям верхних дыхательных путей, нарушениям процессов всасывания в кишечнике, часто возникающим ревматоидному артриту и системной красной волчанке.

Вторичные ИД возникают намного чаще, чем первичные. В своем большинстве это не самостоятельные заболевания, а возникающие в результате других болезней. Этиологические факторы, приводящие к возникновению вторичных ИД, принято условно делить на экзогенные и эндогенные.К экзогенным относят физические, химические и биологические факторы, к эндогенным –хронические заболевания, затрагивающие иммунные процессы.

Одна из наиболее тяжелых и распространенных в мире форм вторичных ИД – синдром приобретенного иммунодефицита –СПИД, вот уже более 30 лет является общечеловеческой проблемой. Это заболевание зарегистрировано более чем в 160 страна; наибольшее число инфицированных – в странах Африки и Азии.

Выделено 5 групп риска среди взрослого населения:

-гомосексуалисты и бисексуальные мужчины – до 60% всех больных,

-наркоманы, применяющие внутривенное введение наркотиков –до 23%,

-реципиенты крови, около 2%,

-больные гемофилией, до 1%.

Возбудителем СПИД считается ретровирус из семейства лентивирусов. Он обладает избирательностью в отношении кроветворной и нервной систем и значительно угнетает иммунную систему. Известны две формы вируса СПИД – HIV-1 и HIV-2(англ.HIV-human immunodeficiency virus)/ Первая форма распространена в основном в США, Европе и Центральной Африке, вторая - в основном в Западной Африке.

Вирус СПИД обладает тропизмом(сродством) к субпопуляции Т-лимфоцитов-хелперов, играющих ключевую роль в большинстве реакций клеточного и гуморального иммунитета. Кроме того, вирус инфицирует макрофаги и моноциты и реплицируется в них.По существу, все инфицированные клетки становятся фабриками по производству вирусов, их хранению и переносу по всему телу.

У больных СПИД происходят многочисленные нарушения функции органов, особенно органов защитной системы организма. Клиническая картина характеризуется обязательным прогрессированием тяжести заболевания, как правило с летальным исходом, высокой резистентностью к лекарствам. Выделяют 4 стадии заболевания:

-инкубационная, когда клинических проявлений еще нет. Ее длительность от 1 мес до 1,5-2 лет. В эту стадию вирус адаптируется к условиям существования в тканях инфицированного хозяина,

- стадия первичных проявлений –напоминает стадию типичного инфекционного процесса. В острый период, который длится около 2 нед, отмечается недомогание, лихорадка, боли в мышцах и суставах, диарея, припухлость лимфатических узлов.Затем наступает бессимптомная фаза длительностью 3-4 года,


-стадия вторичных проявлений –возникают вторичные инфекции, лимфаденопатия, появляются опухоли в различных органах, в том числе и в нервной системе,

-терминальная стадия наступает через несколько лет, когда организм истощен и неспособен противостоять многообразным нарушениям в органах и системах. К примеру, поражение нервной системы при СПИД ведет к глубокой деменции(слабоумие) и полному распаду личности.

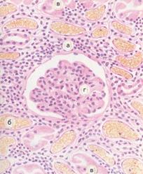
Лечение иммунодефицитов включает восстановительные и заместительные методы, нередко мало-эффективные. Помимо медикаментозного лечения, широко используется и трансплантация вилочковой железы в комплексе с грудиной. Это приводит к улучшению клеточного и гуморального иммунитета у пациентов.Однако успех трансплантации зависит от степени совместимости донора вилочковой железы и реципиента.В случае несовместимости развивается реакция отторжения алло-трансплантата не только вилочковой железы, но и любого несовместимого трансплантированного органа.(Рис.32).

Восстановительная терапия включает не только химиопрепараты, но и экстракт из лимфоцитов вилочковой железы –тимозин. Кроме того, в терапии ТКИН с успехом применяют гамма-глобулин.

 

 

Рис.32 Реакция отторжения аллотрансплантата почки человека а-инфильтраты лимфоидных клеток, б-расширенные и полнокровные сосуды,в-некроз в эпителии канальцев, г-спавшиеся капилляры почечного клубочка

Контрольные вопросы:

1.Взаимоотношения иммунной системы с нервной и нейро-эндокринной

2. Что такое иммунитет? Его основные виды

3. Классификация иммунной недостаточности

4. Классификация и примеры неспецифических иммунодефицитов

5. Классификация и примеры специфических иммунодефицитов

6.СПИД как вторичный иммунодефицит –группы риска, этиология

7. Природа вируса СПИД, патогенез развития заболевания

8. Стадии развития СПИД. Лечение иммунодефицитов







Date: 2015-09-25; view: 502; Нарушение авторских прав



mydocx.ru - 2015-2026 year. (1.221 sec.) Все материалы представленные на сайте исключительно с целью ознакомления читателями и не преследуют коммерческих целей или нарушение авторских прав - Пожаловаться на публикацию