Главная Случайная страница


Полезное:

Как сделать разговор полезным и приятным Как сделать объемную звезду своими руками Как сделать то, что делать не хочется? Как сделать погремушку Как сделать так чтобы женщины сами знакомились с вами Как сделать идею коммерческой Как сделать хорошую растяжку ног? Как сделать наш разум здоровым? Как сделать, чтобы люди обманывали меньше Вопрос 4. Как сделать так, чтобы вас уважали и ценили? Как сделать лучше себе и другим людям Как сделать свидание интересным?


Категории:

АрхитектураАстрономияБиологияГеографияГеологияИнформатикаИскусствоИсторияКулинарияКультураМаркетингМатематикаМедицинаМенеджментОхрана трудаПравоПроизводствоПсихологияРелигияСоциологияСпортТехникаФизикаФилософияХимияЭкологияЭкономикаЭлектроника






Паразитарные поражения





● Шистосомоз. Инфицирование Schistosoma mansoni и S. japonicum приводит к фиброзу печени — самой важной причине портальной гипертензии в эндемических очагах.

● Амёбиаз. Амёбный абсцесс печени, вызванный Entamoeba histolytica, возможен при амёбной дизентерии.

● Малярия. Плазмодии первоначально развиваются в гепатоцитах и иногда паразитируют в них многие годы. В эритроцитарную фазу шизогонии купфферовские клетки фагоцитируют клетки красной крови с созревающим возбудителем. Происходит выраженная гипертрофия и гиперплазия клеток Купффера в них накапливаются многочисленные тёмно-коричневые гранулы малярийного пигмента гемозоина.

● Описторхоз. Происходит поражение желчевыводящих путей ларвами китайского печёночного червя Opisthorchis sinensis. Характерна аденоматозная гиперплазия эпителия жёлчных протоков, что расценивают как фоновое изменение для холангиоцеллюлярной карциномы. Эту опухоль часто встречают в эндемических очагах описторхоза.

● Аскаридоз —результат попадания в кишечник круглого червя Ascaris lumbricoides. Часто находят у детей в Африке, на Дальнем Востоке. Примерно у каждого третьего аскариды проникают в общий жёлчный проток, вызывая его обструкцию и холангит.

Гранулематозные поражения печени возможны при многих заболеваниях с образованием неказеозных гранулём. Некоторые из этих заболеваний первичны для печени (шистосомоз). Однако в большинстве случаев гранулёмы в печени — результат генерализованных процессов, например, саркоидоза, грибковых инфекций, риккетсиозов, паразитарных инвазий. Описаны гранулёмы аллергического и лекарственного генеза.

Неспецифический реактивный гепатит

Неспецифический реактивный гепатит — вторичный гепатит, развивающийся при многих заболеваниях. Он отражает реакцию печени на воздействие негепатотропных вирусов и токсинов.

Этиология. Неспецифический реактивный гепатит могут вызвать эндогенные и экзогенные факторы. Часто он сопровождает заболевания желудочно-кишечного тракта (язвенная болезнь желудка и двенадцатиперстной кишки, демпинг-синдром и другие пострезекционные синдромы, рак желудка, заболевания жёлчного пузыря, неспецифический язвенный колит, панкреатит), системные заболевания (системная красная волчанка, ревматизм, ревматоидный артрит, узелковый периартериит, склеродермия, дерматомиозит), гемолитические анемии, эндокринные заболевания (тиреотоксикоз, сахарный диабет). Реактивные изменения печени возможны при острых и хронических инфекционных заболеваниях, вызываемых бактериями, вирусами, риккетсиями, лептоспирами, гельминтами, токсических повреждениях, ожогах, гранулематозах, после операций. Неспецифический реактивный гепатит описывают также у больных злокачественными опухолями различной локализации до метастазирования в печень.

Патогенез болезни связывают с нарушением обезвреживания в печени разнообразных токсинов и антигенов, поступающих с током крови по воротной вене или печёночной артерии.

Патологическая анатомия. Видны умеренный полиморфизм гепатоцитов, их очаговая белковая (гидропическая, баллонная) и жировая дистрофия, пятнистые или реже сливающиеся некрозы гепатоцитов в третьей зоне ацинуса, очаговая лимфогистиоцитарная инфильтрация с небольшим количеством нейтрофилов. Портальные тракты отёчны, слабо или умеренно инфильтрированы лимфоцитами, гистиоцитами, нейтрофилами, умеренно склерозированы.

Клиническое течение у большинства больных бессимптомное. Возможны незначительные отклонения печёночных проб (аспартатаминотрансфераза, аланинаминотрансфераза, билирубин крови, щелочная фосфатаза). Прогноз благоприятный.

К аутоиммунным поражениям печени относят аутоиммунный гепатит, первичный билиарный цирроз, первичный склерозирующий холангит.

Аутоиммунный гепатит

Аутоиммунный гепатит имеет хроническое течение. Этиология не установлена. В 70% случаев возникает у молодых женщин. Наряду с поражением печени, в сыворотке крови находят аутоантитела (антинуклеарные, к микросомальному антигену печени и почек, специфическому печёночному протеину, гладкой мускулатуре), повышение IgG. В зависимости от выявляемых антител выделяют три типа аутоиммунного гепатита со сходными морфологическими проявлениями. Серологические маркёры вирусных гепатитов отрицательны. Более чем у половины пациентов выявляют HLA-B8. В 10% случаев заболевание начинается как острый гепатит, у остальных начало заболевания стёртое. Признаки декомпенсированного цирроза печени к моменту постановки диагноза имеют 10–20% больных.


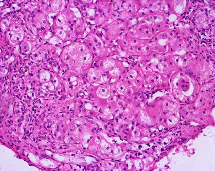
Патологическая анатомия аутоиммунного гепатита чаще соответствует тяжёлому хроническому гепатиту. Выражен полиморфизм гепатоцитов, их гидропическая и баллонная дистрофия, очаговые (пятнистые) некрозы гепатоцитов. Определяют регенерирующие гепатоциты с двумя и более ядрами. Характерно наличие лимфо-макрофагальных инфильтратов с большим количеством плазматических клеток, появление в портальных трактах лимфоидных фолликулов, а рядом с ними — макрофагальных гранулём. Инфильтрат из портальных трактов часто выходит в первую зону ацинуса, разрушая пограничную пластинку и образуя перипортальные (ступенчатые) некрозы. В первой зоне ацинуса образуются розетки гепатоцитов (рис. 14-2). Иногда возникает пролиферация жёлчных протоков и холестаз. В портальных трактах заметна пролиферация фибробластов и склероз. Активное течение аутоиммунного гепатита приводит к развитию мелкоузлового цирроза печени.

Рис. 14-2. Аутоиммунный гепатит. Ступенчатые некрозы, розетки гепатоцитов в первой зоне ацинуса. Окраска гематоксилином и эозином (x200).

Клиническая картина. У большинства пациентов течение заболевания непрерывное от первых симптомов до летального исхода. Обострения проявляются желтухой, анорексией, болью в животе, лихорадкой, геморрагическим синдромом, гепатомегалией, иногда спленомегалией.

Прогноз при аутоиммунном гепатите серьёзнее, а частота перехода в цирроз печени выше, чем у больных хроническим вирусным гепатитом.

Лекарственный гепатит

В печени происходит метаболизм и детоксикация большинства лекарственных препаратов и химических веществ, поступающих из окружающей среды, поэтому всегда существует угроза её повреждения. Механизмы повреждения: прямое токсическое действие на печень (яд бледной поганки), образование активных токсинов из ксенобиотиков (тетрациклин, салицилаты), иммунные механизмы, когда лекарства или метаболиты, действуя как гаптены, превращают обычные белки гепатоцита в иммуногены (галотан).

Повреждение печени может сразу проявиться печёночной недостаточностью в случае некроза гепатоцитов, холестаза, выраженного воспаления. Не исключено постепенное развитие печёночно-клеточной недостаточности, имеющей вначале малосимптомное течение. Хронический лекарственный гепатит неотличим клинически и морфологически от хронического вирусного гепатита. Только серологические маркёры вирусной инфекции позволяют различить эти заболевания. Кроме того, лекарственный гепатит излечим после отмены препарата.







Date: 2015-09-19; view: 686; Нарушение авторских прав



mydocx.ru - 2015-2026 year. (3.247 sec.) Все материалы представленные на сайте исключительно с целью ознакомления читателями и не преследуют коммерческих целей или нарушение авторских прав - Пожаловаться на публикацию