Главная Случайная страница


Полезное:

Как сделать разговор полезным и приятным Как сделать объемную звезду своими руками Как сделать то, что делать не хочется? Как сделать погремушку Как сделать так чтобы женщины сами знакомились с вами Как сделать идею коммерческой Как сделать хорошую растяжку ног? Как сделать наш разум здоровым? Как сделать, чтобы люди обманывали меньше Вопрос 4. Как сделать так, чтобы вас уважали и ценили? Как сделать лучше себе и другим людям Как сделать свидание интересным?


Категории:

АрхитектураАстрономияБиологияГеографияГеологияИнформатикаИскусствоИсторияКулинарияКультураМаркетингМатематикаМедицинаМенеджментОхрана трудаПравоПроизводствоПсихологияРелигияСоциологияСпортТехникаФизикаФилософияХимияЭкологияЭкономикаЭлектроника






Тема 2: Гломерулопатии





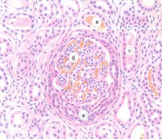
  Экстракапиллярный гломерулонефрит. Препарат №84. Окраска гематоксилин эозином. На малом и большом увеличении посмотреть структуру почки, обратите внимание на клубочки. Уделить внимание на пролиферацию нефротелия капсулы Шумлянского-Боумена. Обнаружить полулунные тельца. а – в полости клубочка пролиферация нефротелия и подоцитов, видны похожие на полумесяц тельца; б – полнокровный капилляр; в – эритроциты в просвете нескольких канальцев; г – цилиндры.
  Интракапиллярный гломерулонефрит. Препарат №85. Окраска гематоксилин эозином. На малом увеличении изучите структуру почки, необходимо обратить внимание на клубочки. В клубочках выявляется пролиферация мезенгиальных клеток.
Вторично сморщенная почка. Препарат №85. Окраска. На малом увеличении найти склерозированный клубочек красного цвета, строму зеленого цвета, канальцы.

 

 







Date: 2015-08-07; view: 1034; Нарушение авторских прав



mydocx.ru - 2015-2026 year. (0.355 sec.) Все материалы представленные на сайте исключительно с целью ознакомления читателями и не преследуют коммерческих целей или нарушение авторских прав - Пожаловаться на публикацию