Главная Случайная страница


Полезное:

Как сделать разговор полезным и приятным Как сделать объемную звезду своими руками Как сделать то, что делать не хочется? Как сделать погремушку Как сделать так чтобы женщины сами знакомились с вами Как сделать идею коммерческой Как сделать хорошую растяжку ног? Как сделать наш разум здоровым? Как сделать, чтобы люди обманывали меньше Вопрос 4. Как сделать так, чтобы вас уважали и ценили? Как сделать лучше себе и другим людям Как сделать свидание интересным?


Категории:

АрхитектураАстрономияБиологияГеографияГеологияИнформатикаИскусствоИсторияКулинарияКультураМаркетингМатематикаМедицинаМенеджментОхрана трудаПравоПроизводствоПсихологияРелигияСоциологияСпортТехникаФизикаФилософияХимияЭкологияЭкономикаЭлектроника






Тема 2: Острые и хронические лейкозы





Миокард при остром лейкозе. Препарат №223. Окраска гематоксилин эозином. На малом увеличении обратите внимание на строение миокарда. Обратите внимание на промежуточную ткань, инфильтрированную одинаковыми недифференцированными тканями. На большом увеличении уточните эти клетки.
  Лейкозная инфильтрация печени. Препарат №229. Окраска гематоксилин эозином. На малом увеличении найти ткань печени, гепатоциты, подвергшиеся дистрофии, лейкозную инфильтрацию. На большом увеличении найти инфильтрированные клетки, определить их степень дифференцировки.
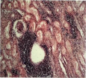
Лейкозная инфильтрация почки. Препарат №153. Окраска гематоксилин эозином. На малом увеличении обратите внимание на строение почки, расположение лейкозной инфильтрации. Обратить внимание на нарушение целостности почечной ткани вокруг масштабной лейкозной инфильтрации. На большом увеличении определить состав лейкоцитарной инфильтрации, т.е. крупные гипохромные ядра, клетки с тонкими полулунноподобными цитоплазмами.

 

Сердечно - сосудистая система

 







Date: 2015-08-07; view: 656; Нарушение авторских прав



mydocx.ru - 2015-2026 year. (0.959 sec.) Все материалы представленные на сайте исключительно с целью ознакомления читателями и не преследуют коммерческих целей или нарушение авторских прав - Пожаловаться на публикацию