Главная Случайная страница


Полезное:

Как сделать разговор полезным и приятным Как сделать объемную звезду своими руками Как сделать то, что делать не хочется? Как сделать погремушку Как сделать так чтобы женщины сами знакомились с вами Как сделать идею коммерческой Как сделать хорошую растяжку ног? Как сделать наш разум здоровым? Как сделать, чтобы люди обманывали меньше Вопрос 4. Как сделать так, чтобы вас уважали и ценили? Как сделать лучше себе и другим людям Как сделать свидание интересным?


Категории:

АрхитектураАстрономияБиологияГеографияГеологияИнформатикаИскусствоИсторияКулинарияКультураМаркетингМатематикаМедицинаМенеджментОхрана трудаПравоПроизводствоПсихологияРелигияСоциологияСпортТехникаФизикаФилософияХимияЭкологияЭкономикаЭлектроника






Тема 1: Заболевания желудка и пищевода





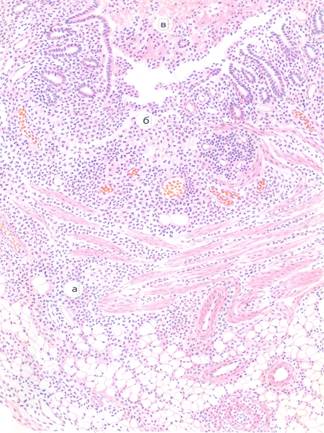
  Фолликулярно-язвенный колит. Препарат №183. Окраска гематоксилин эозином. На малом увеличении обнаруживаются язвенные поражения тонкой кишки, пролиферация лимфоидных фолликул. а – некроз; в -
  Хроническая язвенная болезнь желудка. Препарат №78. Окраска гематоксилин эозином. Изучить на малом увеличении все слои желудка и зарисовать. Изучить состав дна язвы. а – скопление молодых кубических клеток в месте повреждения; в –железа; г - лейкоцитарно-фибринозный экссудат; д – грануляционная ткань; е – рубцовая ткань.
Флегмонозный аппендицит. Препарат №79. Окраска гематоксилин эозином. На большом и малом увеличении обратить внимание на диффузное лейкоцитарное пропитывание стенки отростка. а – пропитывание полиморфно-ядерными лейкоцитами; б – повреждение в слизистой оболочке.  

 







Date: 2015-08-07; view: 954; Нарушение авторских прав



mydocx.ru - 2015-2026 year. (1.888 sec.) Все материалы представленные на сайте исключительно с целью ознакомления читателями и не преследуют коммерческих целей или нарушение авторских прав - Пожаловаться на публикацию