Главная Случайная страница


Полезное:

Как сделать разговор полезным и приятным Как сделать объемную звезду своими руками Как сделать то, что делать не хочется? Как сделать погремушку Как сделать так чтобы женщины сами знакомились с вами Как сделать идею коммерческой Как сделать хорошую растяжку ног? Как сделать наш разум здоровым? Как сделать, чтобы люди обманывали меньше Вопрос 4. Как сделать так, чтобы вас уважали и ценили? Как сделать лучше себе и другим людям Как сделать свидание интересным?


Категории:

АрхитектураАстрономияБиологияГеографияГеологияИнформатикаИскусствоИсторияКулинарияКультураМаркетингМатематикаМедицинаМенеджментОхрана трудаПравоПроизводствоПсихологияРелигияСоциологияСпортТехникаФизикаФилософияХимияЭкологияЭкономикаЭлектроника






Камни мочевого пузыря





Камни мочевого пузыря - одно из первых урологических заболеваний, которое научились диагностировать и лечить хирургическим путем средневековые камнесеченцы. Данная клиническая форма мочекаменной болезни встречается часто, особенно у пожилых мужчин и у мальчиков. У женщин камни в мочевом пузыре встречаются крайне редко ввиду анатомических особенностей уретры. Камни мочевого пузыря могут иметь вторичное происхождение - это камни, спустившиеся по мочеточникам из почек. Часто встречаются первичные конкременты, образовавшиеся в мочевом пузыре.

Застой мочи в мочевом пузыре - одно из главных условий первичного камнеобразования. Ему способствуют пороки развития (фимоз, клапаны уретры и дивертикулы мочевого пузыря, сужение наружного отверстия мочеиспускательного канала), а также нейрогенная дисфункция мочевого пузыря.

Инородные тела, попавшие в мочевой пузырь (металлические осколки, пули, катетеры, лигатуры и др.), могут становиться ядром, на котором формируется камень. Камни мочевого пузыря часто встречаются у мужчин с увеличенной предстательной железой вследствие ее доброкачественной гиперплазии или рака, а также стриктуры мочеиспускательного канала.

Камни мочевого пузыря обычно имеют овоидную форму, бывают одиночными и множественными, отличаются по химическому составу. Известны случаи, когда из мочевого пузыря было удалено несколько тысяч конкрементов.

Симптоматика и клиническое течение. Основные симптомы при камнях мочевого пузыря - боль, дизурия и гематурия. Боли в надлонной области носят тупой характер, связаны с ходьбой, тряской ездой, физической нагрузкой. Боли иррадиируют в головку полового члена, промежность, задний проход. Иногда боли вообще не беспокоят, что наблюдается при крупных камнях.

При камнях мочевого пузыря наиболее выражена дизурия, она часто связана с основным заболеванием - ДГПЖ или стриктурой уретры. Однако если у больного имеется камень в мочевом пузыре, поллакиурия может быть выражена больше в дневное время, когда пациент физически более активен и камень, перемещаясь в мочевом пузыре, раздражает шейку, вызывая ложные позывы на мочеиспускание.

Наиболее характерным симптомом камня мочевого пузыря можно считать дрожание и прерывание струи мочи - внезапное «захлопывание», и восстановление акта мочеиспускания при изменении положения тела. Именно поэтому мужчины, страдающие камнями мочевого пузыря, предпочитают совершать мочеиспускание сидя.

При камнях мочевого пузыря отмечается гематурия (особенно после быстрой ходьбы, тряской езды, физической работы). Травма слизистой оболочки мочевого пузыря приводит к возникновению хронического цистита, который дает частые обострения, вызывает дизурию и сопровождается терминальной гематурией и лейкоцитурией. Камень в мочевом пузыре может травмировать расширенные вены в его шейке, вызывать пузырное кровотечение и даже тампонаду мочевого пузыря.

Диагностика. Камни мочевого пузыря легко распознать по характерным жалобам больных на типичную дизурию и, конечно, на основании данных ультразвукового, эндоскопического и рентгенологического исследований. Наиболее простой и неинвазивный метод, позволяющий получить информацию о состоянии стенок мочевого пузыря и наличии в нем камней, - его ультразвуковое сканирование.

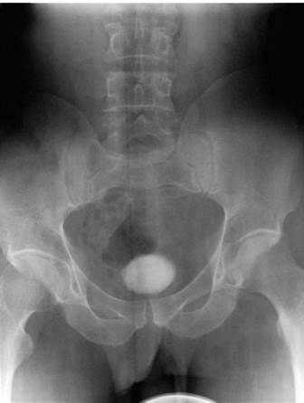
С помощью обзорной рентгенографии таза можно увидеть тень конкремента в проекции мочевого пузыря, оценить его размеры, получить представление о плотности его структуры, что важно для определения способа камнедробления (рис. 10.9).

 

Рис. 10.9. Обзорный снимок мочевой системы. Камень мочевого пузыря

 

Несмотря на важность информации, получаемой при выполнении обзорной рентгенографии, следует помнить, что камни мочевого пузыря, содержащие соли мочевой кислоты (ураты), не задерживают рентгеновские лучи и не выявляются при этом исследовании. Обзорный снимок позволяет определить количество камней и их размеры.

При рентгенонегативных камнях рекомендуют выполнять пневмоцистографию или цистографию со слабым раствором рентгеноконтрастного вещества.

С давних пор для определения камня в мочевом пузыре использовали металлический буж-камнещуп. При введении металлического инструмента в мочевой пузырь возникает характерное ощущение трения металла о камень. Наибольшую информативность представляет инвазивное исследование - цистоскопия, которая позволяет определить вместимость мочевого пузыря, состояние его слизистой оболочки, количество камней, их размер и вид.

Лечение больных с камнями мочевого пузыря не может заключаться только в удалении конкремента, ибо очень часто камень является следствием патологического процесса в мочевых путях. Удалению камня должно предшествовать выявление и устранение причин, вызвавших камнеобразование. Часто эти два вмешательства выполняют одновременно. Так, обычно сочетают удаление камней из мочевого пузыря с чреспузырной простатэктомией при ДГПЖ, осложненной образованием камня в мочевом пузыре; трансуретральную резекцию предстательной железы - с контактной литотрипсией.


Существуют два метода лечения больных, страдающих камнями мочевого пузыря: камнедробление (цистолитотрипсия) и камнесечение (цистолитотомия). Дробят камни мочевого пузыря с применением пузырного литотриптора, который после введения в мочевой пузырь через уретру позволяет под визуальным контролем захватить и разрушить камень до мелких фрагментов, отмываемых через эвакуатор с помощью аспиратора; в мочевой пузырь устанавливают на 2-3 дня уретральный катетер.

Относительным противопоказанием к цистолитотрипсии являются стриктуры мочеиспускательного канала, поэтому проведению литотриптора в мочевой пузырь предшествует оптическая уретеротомия. Цистолитотрипсию, как и другие эндоскопические манипуляции, не выполняют на фоне острого цистита, малой емкости мочевого пузыря и в активной фазе хронического пиелонефрита.

В нашей стране был создан уникальный аппарат «Урат-1» для контактной электрогидравлической цистолитотрипсии. Кроме того, в настоящее время для дробления камней в мочевом пузыре используют и ДУВЛ. Однако этот метод может применяться лишь при отсутствии у больных инфравезикальной обструкции.

При невозможности цистолитотрипсии или противопоказаниях к камнедроблению проводят высокое сечение мочевого пузыря и цистолитотомию.

Если у больного с камнем мочевого пузыря устранены причины, вызвавшие литогенез, рецидивы практически не наблюдаются. Для профилактики образования камней в мочевом пузыре следует санировать мочевые пути с применением уроантисептиков, а также ликвидировать факторы, затрудняющие отток мочи из мочевого пузыря.

Прогноз. При устранении причин, вызвавших камнеобразование в мочевом пузыре (удалении увеличенной предстательной железы при ДГПЖ, рассечении стриктуры уретры и т. п.), прогноз благоприятный, в противном случае возможно повторное образование конкрементов.







Date: 2015-08-06; view: 462; Нарушение авторских прав



mydocx.ru - 2015-2026 year. (1.055 sec.) Все материалы представленные на сайте исключительно с целью ознакомления читателями и не преследуют коммерческих целей или нарушение авторских прав - Пожаловаться на публикацию