Главная Случайная страница


Полезное:

Как сделать разговор полезным и приятным Как сделать объемную звезду своими руками Как сделать то, что делать не хочется? Как сделать погремушку Как сделать так чтобы женщины сами знакомились с вами Как сделать идею коммерческой Как сделать хорошую растяжку ног? Как сделать наш разум здоровым? Как сделать, чтобы люди обманывали меньше Вопрос 4. Как сделать так, чтобы вас уважали и ценили? Как сделать лучше себе и другим людям Как сделать свидание интересным?


Категории:

АрхитектураАстрономияБиологияГеографияГеологияИнформатикаИскусствоИсторияКулинарияКультураМаркетингМатематикаМедицинаМенеджментОхрана трудаПравоПроизводствоПсихологияРелигияСоциологияСпортТехникаФизикаФилософияХимияЭкологияЭкономикаЭлектроника






Характеристика гноя, в зависимости от микрофлоры





Возбудитель Гной
Стафилококки Белесовато-желтый, сметанообразный, иногда с примесью хлопьев фибрина
Стрептококки Жидкий, зловонный, серо-желтого цвета, при попадании эритроцитов приобретает серо-бурый цвет
Кишечная палочка Жидкий, зелено-бурого цвета, имеющий специфический неприятный прогорклый запах
Синегнойная палочка Густой, бледно или серо-зеленый с неприятным запахом
Туберкулезная палочка Жидкий, с белесоватыми хлопьями, так называемый, творожистый гной
Бруцеллы С примесью экссудата, серо-желтого цвета, маслянистый
Актиномицеты Густой, сметанообразный, не пачкает руки при пальпации, без запаха. При пальпации ощущаются крупинки в гнойной массе(это друзы гриба, продуцирующие гной)

Гнойные метастазы в кости (рис. 28).

Гнойный экссудат обладает рядом качеств, определяющих биологическую значимость этой формы воспаления. В частности, в нем содержатся различные ферменты, в первую очередь протеазы, способные расщеплять погибшие и дистофически измененные структуры в очаге повреждения, в том числе коллагеновые и эластические волокна. Наряду с лейкоцитами, способными фагоцитировать и убивать микробы, в экссудате имеются различные бактерицидные факторы, которые секретируются жизнеспособными лейкоцитами, образуются при распаде погибших лейкоцитов и поступают в экссудат с элементами плазмы крови, — иммуноглобулины, компоненты комплемента и др. В связи с этим гной задерживает рост бактерий, возможно даже их полное уничтожение в нем. Полиморфноядерные лейкоциты гноя (хотя иногда в нем бывает много лимфоцитов, эозинофильных гранулоцитов) имеют разнообразную структуру, что связано с разным временем поступления их из крови в зону нагноения. Через 8—12 ч полиморфноядерные лейкоциты в гное превращаются в гнойные тельца.

 

 
 
Рис. 30 гнойное воспаление лимфатического узла верблюда на разрезе

 

 


Гной бывает доброкачественный и злокачественный. Доброкачественность и злокачественность гноя определяется соотношением гнойных телец и гнойной сыворотки. Если гнойных телец больше, то гной доброкачественный, он как правило, очень густой. Если гнойных телец меньше, чем сыворотки, то гной злокачественный. Он жидкой консистенции, содержит примеси фибрина и эритроцитов.

Для гнойного воспаления характерен лизис тканей. Причиной этого воспаления являются гноеродные микробы — стафилококки, стрептококки, гонококки, менингококки, диплококки Френкеля, брюшнотифозная палочка и др. Гнойное воспаление возникает практически в любой ткани и во всех органах. Течение его может быть острым и хроническим.

Основными формами гнойного воспаления являются абсцесс, флегмона, эмпиема, гнойная рана.

Абсцесс — отграниченное гнойное воспаление, сопровождающееся образованием полости (округлой или сложной формы), заполненной гнойным экссудатом. Он возникает или в уже погибших тканях, в которых нарастают микробно-химические процессы аутолиза (например, при травме), или в жизнеспособных тканях, подвергающихся сильному воздействию микробов (например, при инфекциях) (рис. 31). По периферии это скопление гноя окружено валом грануляционной ткани, через сосуды которой в полость абсцесса поступают лейкоциты (в основном полиморфноядерные) и частично удаляются из нее продукты распада.

Рис. 31 Абсцесс в продолговатом мозге у коровы при листериозе.

Эта грануляционная ткань, отграничивающая полость абсцесса от окружающих тканей, называется пиогенной капсулой. Следует отметить, что отграничение гноя в абсцессе носит нестабильный характер, имеется тенденция к прогрессирующему расплавлению окружающих его тканей. Вместе с тем, если абсцесс приобретает хроническое течение, в пиогенной мембране образуются два слоя: внутренний, обращенный в полость и состоящий из грануляций, и наружный, образующийся в результате созревания грануляционной ткани и превращения ее в зрелую соединительную ткань.

Абсцесс обычно заканчивается спонтанным опорожнением и выходом гноя на поверхность тела, в полые органы или полости тела. Прорыв на поверхность тела или в полые органы нередко приводит к ликвидации абсцесса путем рубцевания его полости. Изредка абсцесс подвергается инкапсуляции. При этом гной сгущается, а в его капсуле появляются ксантомные клетки. Абсцессы, возникающие вокруг животных паразитов, иногда петрифицируются. Если сообщение абсцесса с поверхностью тела недостаточно и его стенки не спадаются, то формируется свищ — узкий канал, выстланный грануляционной тканью или эпителием и соединяющий полость абсцесса с поверхностью тела или полым органом. В некоторых случаях под влиянием силы тяжести гной может стекать по ходу мышечно-сухожильных влагалищ, нервно-сосудистых пучков, жировых прослоек в нижележащие отделы и образовывать там вторичные, так называемые холодные абсцессы, или натечники.


Через свищевой ход (фистулу) гной вытекает наружу, например, при параректальной флегмоне или абсцессе у кошек, собак, либо при хронических гнойных бурситах области холки у лошадей.

Флегмона (рис. 32) — гнойное неотграниченное диффузное воспаление, при котором гнойный экссудат пропитывает и расслаивает ткани. Образование флегмоны зависит от патогенности возбудителя, состояния защитных систем организма, а также от структурных особенностей тканей, в которых она возникла и где есть условия для распространения гноя, поэтому флегмона обычно образуется в подкожной жировой клетчатке, межмышечных прослойках и т. п.

Некро-флегмона костного мозга (рис. 32).

Флегмону волокнисто-жировой клетчатки называют целлюлитом. Флегмона может быть мягкой, если отсутствуют очаги некроза в тканях, подвергшихся флегмонозному воспалению, и твердой, когда во флегмоне возникает коагуляционный некроз тканей, не подвергающихся лизису, но постепенно отторгающихся.

Флегмонозное воспаление может осложняться тромбозом кровеносных сосудов, при этом возникает некроз пораженных тканей.

В случае их контакта с внешней средой говорят о вторичной гангрене. Гнойное воспаление может распространиться на лимфатические сосуды и вены, и в этих случаях возникают гнойные тромбофлебиты и лимфангиты. Процесс заживления флегмонозного воспаления начинается с его отграничения с последующим образованием грубого соединительнотканного рубца. При неблагоприятном исходе может наступить генерализация инфекции с развитием сепсиса.

Гнойное воспаление полостей тела или полых органов называется эмпиемой. Причиной развития эмпием являются как наличие очагов гнойного воспаления в соседних органах (при абсцессе легкого), так и нарушение оттока гноя при гнойном воспалении полых органов — желчного пузыря, маточной трубы, мочеточника, сустава и т. д. При этом отмечаются нарушение местных защитных механизмов, к которым относится и постоянное обновление содержимого полых органов, а также поддержание нормального внутриполостного давления, что определяет состояние кровообращения в стенке полого органа, продукцию и секрецию защитных веществ, в том числе секреторных иммуноглобулинов. При длительном течении эмпиемы слизистые, синовиальные или серозные оболочки некротизируются, на их месте развивается грануляционная ткань, которая, созревая, обусловливает образование шварт или облитерацию полостей.

Особой формой гнойного воспаления является гнойная рана, которая возникает либо вследствие нагноения травматической, в том числе хирургической, или другой раны, либо в результате вскрытия во внешнюю среду очага гнойного воспаления и образования раненой поверхности. Различают первичное и вторичное нагноение в ране.

Первичное возникает непосредственно после травмы и травматического отека, вторичное является рецидивом гнойного воспаления. Участие бактерий в нагноении составляет часть процесса биологического очищения раны. В тех случаях, когда имеется раненой канал, по его ходу могут возникать абсцессы, формирование которых связано с нарушением оттока содержимого раневого канала. Своеобразным процессом являются нагноительные девиации раненого канала, которые возникают при наличии в нем осколка или пули. Последние оказывают давление на прилежащие ткани, что вызывает их некроз с последующим распространением в этом направлении нагноения, по ходу которого под действием собственной тяжести смещается и сам снаряд.


Пиемия. Возникает как результат попадания гноеродных микроорганизмов в кровь (вид сепсиса) с образованием множественных метастатических абсцессов в органах и тканях. У животных нередко встречается послеродовая пиемия как осложнение гнойного воспаления в половых органах.

Свищ — осумковаиный ход, соединяюшии глубоколежащий очаг гнойного воспаления с внешней средой.

Фурункул — гнойное воспаление волосяного мешочка, сальной железы, окружающей их рыхлой соединительной ткани. Заболевание, проявляющееся рецидивами фурункулов, носит название фурункулеза. Наблюдают фурункулез вымени у коров, фурункулез холки у рабочих лошадей,

Карбункул — образуется при слиянии нескольких фурункулов. Возникает путем проникновения патогенных стафилококков с поверхности кожи при ее потертости, ссадинах, снижении общей резистентности организма животных.

Последствия гнойного воспаления сводятся к естественному или оперативному вскрытию гнойника, последующей регенерации тканей, образованию рубца. Оно может принять хроническую форму с развитием грануляционной ткани вокруг очага поражения. Гной сгущается, с выпадением кристаллов холестерина.

Гнилостное, или ихорозное, воспаление развивается преимущественно при попадании микрофлоры (чаще всего клостридий) в очаг гнойного воспаления с выраженным некрозом тканей. Обычно воспаление этого вида возникает у ослабленных животных с обширными, длительно не заживающими ранами или хроническими абсцессами. При этом гнойный экссудат приобретает неприятный запах, иногда с оттенком сероводорода или аммиака. В морфологической картине превалирует прогрессирующий некроз тканей, причем без склонности к отграничению. Некротизированные ткани превращаются в зловонную массу, что сопровождается нарастающей интоксикацией, от которой животные обычно и умирают.

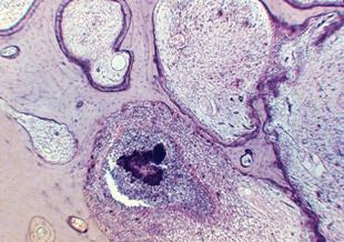
Геморрагическое воспаление (рис. 33, 34, 35) как форма серозного, фибринозного или гнойного воспаления характеризуется примесью эритроцитов к экссудату (например, серозно-геморрагическое или гнойно-геморрагическое воспаление). При распаде находящихся в экссудате эритроцитов и происходящих при этом своеобразных превращениях гемоглобина экссудат может стать черным.

Рис. 33 геморрагическое воспаление с некрозом слизистой оболочки тонкой кишки крупного рогатого скота(кишечная форма)


Рис. 34 Геморрагическая пневмония. Рис. 35 Геморрагическая пневмония подсвинка при пастереллезе.

 

Трактовка экссудата, содержащего примесь крови, как проявления геморрагического воспаления — не всегда простая задача. Так, геморрагическое воспаление характерно для классической и африканской чумы свиней, рожи свиней, пастереллеза, сибирской язвы, натуральной оспы, а также для тяжелых форм гриппа, характеризующихся резким повышением проницаемости стенок сосудов микроциркуляторного русла. Вместе с тем при гнойном воспалении возможны аррозия кровеносного сосуда и кровотечение, но это не означает, что такое воспаление становится геморрагическим. В случае присоединения геморрагического воспаления обычно ухудшается течение болезни, исход которой зависит от вызвавшей ее причины.

Катаральное воспаление (рис. 36) (как и геморрагическое) не является самостоятельной формой воспаления. Оно развивается на слизистых оболочках и характеризуется примесью слизи к любому экссудату. Причиной катарального воспаления могут быть различные инфекции, продукты нарушенного обмена, аллергические раздражители, термические и химичёские факторы. При аллергических ринитах, например, слизь примешивается к серозному экссудату.

Рис. 36. Катаральный синусит.

Рис. 37 Катаральное воспаление прямой кишки теленка    

Часто наблюдается гнойный катар слизистой оболочки трахеи и бронхов, иногда — слизистой оболочки носа (рис) и прямой кишки. Следует отметить, что секреция слизи в физиологических условиях является защитной реакцией, которая при действии патологического раздражителя приобретает резко выраженный характер.

Течение катарального воспаления может быть острым и хроническим. Острые катары продолжаются 2—З недели и, заканчиваясь, обычно не оставляют следов. В исходе хронического катарального воспаления могут развиваться атрофические или гипертрофические изменения слизистой оболочки. Значение катарального воспаления для организма определяется его локализацией и характером течения.

Смешанные формы воспаления наблюдаются в тех случаях, когда к одному виду экссудата присоединяется другой. В результате этого возникают серозно-гнойное или гнойно-фибринозное воспаление либо любые другие комбинации. Такие формы обычно развиваются при присоединении новой инфекции к уже текущему воспалению.

 

5.3 Продуктивное воспаление.

Продуктивное (пролиферативное воспаление). При этом воспалении преобладает фаза
пролиферации.
Причины разнообразны - те же биологические, физические и химические факторы, что и при других типах воспаления. Одним из основных условий возникновения пролиферативного воспаления является устойчивость повреждающих факторов во внутренних средах организма, способность персистировать в тканях. Повреждающие факторы могут быть представлены сами по себе инертными веществами кристаллической природы, частицами дерева, которые попадают, чаще всего при травмах, при вдыхании внутрь организма. Они плохо поддаются уборке, так как практически нерастворимы в воде.

С другой стороны биологические повреждающие факторы могут обладать защитными системами, свойствами - например, капсулами, не поддающимся разрушению (микобактерии туберкулеза). Защиту могут обеспечивать и ферменты патогенности, которыми обладают возбудители (гемолитический стрептококк, токсины которого разрушают защитные клетки организма). При слабом иммунном ответе защита организма несовершенна. Слабый иммунный ответ может быть запрограммирован природой в процессе эволюции, в результате генетических ошибок системы кодирования, определяющих иммунный ответ (так называемая система HLA).

Если у животного преобладают антитела главного комплекса гистосовместимости HLA, относящиеся к классу Д, то часто на некоторых возбудителей развивается недостаточный, слабый иммунный ответ).
Особенности пролиферативного воспаления.

1. Хроническое волнообразное течение.
2. Локализация преимущественно в соединительных тканях и в тканях, клетки которых
сохранили способность к пролиферации (эпителий кожи, кишки). В морфологическом плане наиболее характерной особенностью является образование грануляционной ткани.
Грануляционная ткань - это молодая, незрелая, растущая соединительная ткань. Ее существование определяется классическими биологическими свойствами. Рост и функция ткани - процессы антагонистические. Если ткань хорошо функционирует, то она плохо растет.
В состав грануляционной ткани входят обязательные и необязательные элементы. К
обязательным относятся сосуды, которые обеспечивают трофику, макрофаги - главная задача которых - уборка, расчистка места повреждения, и основные строители - клетки соединительной ткани - фибробласты. Сосуды растут перпендикулярно месту повреждения (это капилляры), и образуют своеобразные коленца. Коленца слегка выступают на поверхность. Пространство между сосудистыми коленцами заполнено основным веществом соединительной ткани, которое вырабатывается фибробластами.
Макроскопическая характеристика. Грануляционная ткань красная, с блестящей зернистой поверхностью и легко кровоточит. Основное вещество полупрозрачное, сквозь него просвечивают наполненные кровью капилляры - поэтому ткань красная. Ткань зернистая, так как коленца приподнимают основное вещество. Кровоточит ткань, потому что является механически непрочной, малейшая травма, наложение повязки приводит к повреждению эпителия коленец и кровь выходит из мелких сосудов - появляются капельки крови.
Макрофаги расчищают место повреждения, со временем их количество уменьшается. По мере заполнения дефектов количество сосудов тоже уменьшается, а оставшиеся
дифференцируются в артериолы и венулы. Фибробласты, которые вырабатывали основное вещество, приступают к синтезу коллагена. Они превращаются в фиброциты и тоже исчезают.
То есть количество всех обязательных компонентов уменьшается, а увеличивается количество коллагена. На месте дефекта формируется соединительнотканный рубец, ткань созревает.
Разновидности продуктивного воспаления:
1. Межуточное (интерстициальное).
2. Гранулематозное.
3. Продуктивное воспаление вокруг животных - паразитов.
4. Гипертрофические разрастания.
Межуточное воспаление обычно развивается в строме паренхиматозных органов. Имеет
диффузный характер. Может встречаться в интерстиции легких, миокарда, печени, почек. Исход: диффузный склероз. При этом орган может деформироваться, например, в
исходе хронических гепатитов формируется цирроз печени. В почках - нефросклероз. Если деформация в почках, легких резко выражена, то говорят о циррозе почек, легкого. Функция органов при диффузных склерозах резко ухудшается. Это хроническая сердечная недостаточность, печеночная, почечная недостаточность.
Гранулематозное воспаление - это очаговое продуктивное воспаление, при котором ткань
образует очаги из клеток, способных к фагоцитозу. Такие очаги получили название гранулем.
Гранулематозное воспаление встречается очень часто: при ревматизме, туберкулезе, при запылении легких различными минеральными и другими веществами.
Макроскопическая картина. Гранулема имеет небольшие размеры, ее диаметр 1-2 мм, то есть она едва различима невооруженным глазом.
Микроскопическое строение гранулемы зависит от фазы дифференцировки фагоцитирующих клеток. Предшественником фагоцитов является моноцит. Моноцит в очагах поражения дифференцируется в макрофаг, который может трансформироваться в эпителиоидную клетку, она, в свою очередь, может трансформироваться в гигантскую многоядерную клетку. Различают 2 типа многоядерных клеток:
1. Гигантская клетка инородных тел. В ней многочисленные ядра лежат бессистемно.
2. Гигантская многоядерная клетка Пирогова - Лангханса.
Многочисленные ядра лежат частоколом у клеточной мембраны, образуя своеобразную
подковку. Все эти клетки сохраняют способность к фагоцитозу в разной степени, она по мере трансформации утрачивается. Трансформация макрофагов в эпителиоидные клетки и клетки Пирогова-Лангханса обычно происходит под действием стимулов иммунной природы.
Исход таких гранулем чаще всего рубцевание. Рубец образуется маленький, но поскольку
заболевание протекает хронически, с каждой новой атакой количество рубцов возрастает, отсюда повышается степень склероза, с каждой атакой все больше нарушается функция (например, сократительная способность миокарда). В редких случаях гранулемы могут подвергается некрозу. Некроз обозначает неблагоприятное течение заболевания.
Продуктивное воспаление вокруг животных – паразитов ( эхинококк, трихинеллы).

Вокруг этих паразитов, обладающих капсулой, разрастается грануляционная ткань, богатая макрофагами и гигантскими клетками инородных тел.

Исход - склероз, рубцевание и с образованием фиброзной капсулы вокруг
паразита. Организм не в состоянии разрушить паразита и пытается отгородиться от него.
Гипертрофические разрастания - это полипы и кондиломы. Эти образования возникают при хроническом воспалении, в котором участвуют соединительная ткань и эпителий. Полипы наиболее часто образуются в слизистой оболочке толстой кишки, в желудке, в носовой полости, а кондиломы - на коже, вблизи анального отверстия, половых путей. И те и другие очень похожи на опухоль, но к ним не относятся, хотя трансформация полипов и кондилом в опухоль сначала доброкачественную, затем в злокачественную вполне возможна.

Отличаются гипертрофические образования от опухолей наличием воспалительной инфильтрации в их строме. Гипертрофические образования удаляют хирургическим путем, важно лечение основного заболевания.
Специфическое воспаление. Специфическим называется особый вариант продуктивного
гранулематозного воспаления, которое вызывается особыми возбудителями и развивается на иммунной основе. К специфическим возбудителям относятся микобактерии туберкулеза, бледная трепонема, грибы - актиномицеты, микобактерии лепры, возбудители риносклеромы.
Особенности специфического воспаления:
1. хроническое волнообразное течение без склонности к самоизлечению.
2. Способность возбудителей вызывать все 3 типы воспалений в зависимости от состояния
реактивности организма.
3. Смена воспалительных тканевых реакций, обусловленная изменением иммунологической реактивности организма.
4. В морфологическом плане - воспаление характеризуется образованием специфических
гранулем, имеющих характерное строение в зависимости от возбудителя.
5. Склонность специфических гранулем к некрозу.

 







Date: 2015-07-22; view: 20349; Нарушение авторских прав



mydocx.ru - 2015-2026 year. (0.882 sec.) Все материалы представленные на сайте исключительно с целью ознакомления читателями и не преследуют коммерческих целей или нарушение авторских прав - Пожаловаться на публикацию