Главная Случайная страница


Полезное:

Как сделать разговор полезным и приятным Как сделать объемную звезду своими руками Как сделать то, что делать не хочется? Как сделать погремушку Как сделать так чтобы женщины сами знакомились с вами Как сделать идею коммерческой Как сделать хорошую растяжку ног? Как сделать наш разум здоровым? Как сделать, чтобы люди обманывали меньше Вопрос 4. Как сделать так, чтобы вас уважали и ценили? Как сделать лучше себе и другим людям Как сделать свидание интересным?


Категории:

АрхитектураАстрономияБиологияГеографияГеологияИнформатикаИскусствоИсторияКулинарияКультураМаркетингМатематикаМедицинаМенеджментОхрана трудаПравоПроизводствоПсихологияРелигияСоциологияСпортТехникаФизикаФилософияХимияЭкологияЭкономикаЭлектроника






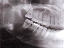
Рентгенологическая картина





 

Возможны следующие варианты амелобластомы:

1. Ряд округлых полостей.

2. Одна костная полость, окруженная множеством более мелких полостей.

3. Ряд округлых полостей, в 1-2 из которых заключен зубной фолликул или сфор­мированный зуб.

4. Многоугольные полости.

5. Крупнопетлистая структура кости за счет множества мелких кист.

6. Несколько единич­ных крупных кистозных полостей.

7. Одна большая кистозная полость с неровными края­ми.

8. Одна большая полость, в которую обра­щены корни зубов (напоминает радикулярную кисту).

9. Одна большая киста, в которую обра­щена коронковая часть непрорезавшегося зуба. Этот вариант напоминает фолликулярную кис­ту.

Важнейшей рентгенологической чертой адамантином является различная степень прозрачно­сти тени полостей особенно четко выраженной в поликистозных адамантино­мах. Центральные отделы кистозных полостей прозрачнее, чем краевые. В однока­мерных адамантиномах удается видеть полоску полутени вдоль костных границ опухоли. Нередко отмечается резорбция корней зубов в области опухоли.

Дифференциальная диагностика проводится с кистами челюстей, остеобластокластомой, остеомой, одонтомой, эозинофильной гранулемой, хроническим остеомиелитом.

Лечение амелобластом заключается в радикальном удалении опухоли в пределах здоровых тканей (отступить на 2см от рентгенологически видимых границ опухоли). Выскабливание опухоли исключается т.к. ведет к возникновению рецидива. В редких случаях при локализации в пределах альвеолярного отростка, допустима щадящая резекция челюсти с сохранением непрерывности кости. При распространении амелобластомы в мягкие ткани выполняют резекцию окружающих ее тканей После проведения оперативного вмешательства на нижней челюсти показана одномоментная костная пластика дефекта.







Date: 2015-07-02; view: 504; Нарушение авторских прав



mydocx.ru - 2015-2026 year. (1.054 sec.) Все материалы представленные на сайте исключительно с целью ознакомления читателями и не преследуют коммерческих целей или нарушение авторских прав - Пожаловаться на публикацию