Главная Случайная страница


Полезное:

Как сделать разговор полезным и приятным Как сделать объемную звезду своими руками Как сделать то, что делать не хочется? Как сделать погремушку Как сделать так чтобы женщины сами знакомились с вами Как сделать идею коммерческой Как сделать хорошую растяжку ног? Как сделать наш разум здоровым? Как сделать, чтобы люди обманывали меньше Вопрос 4. Как сделать так, чтобы вас уважали и ценили? Как сделать лучше себе и другим людям Как сделать свидание интересным?


Категории:

АрхитектураАстрономияБиологияГеографияГеологияИнформатикаИскусствоИсторияКулинарияКультураМаркетингМатематикаМедицинаМенеджментОхрана трудаПравоПроизводствоПсихологияРелигияСоциологияСпортТехникаФизикаФилософияХимияЭкологияЭкономикаЭлектроника






Миксома





Редкая доброкачественная опухоль, построенная из слизистой ткани. Обладает местным инвазивным ростом. Выявляется в любом возрасте, одинаково часто у мужчин и женщин. Быстрый рост опухоли может происходить за счет накопления слизи. Не метастазирует, часто рецидивирует.

Патанатомия. Макроскопически опухоль имеет вид узла, состоящего из желтовато-белой слизистой ткани, без четких границ. Микроскопически в мукоидной строме располагаются клетки звездчатой формы с анастомозирующими отростками. Встречаются пучки коллагеновых волокон. Иногда в опухоли можно обнаружить мелкие островки одонтогенного эпителия, местами окруженного гиалинизированной стромой.

Клиника. Миксома (миксофиброма) растет медленно, безболезненно, проявляется вздутием кости. Пальпаторно определяется плотное, безболезненное выпячивание челюсти с гладкой поверхностью. Слизистая оболочка над опухолью в цвете не изменена. Зубы в границах новообразования подвижные, смещаются. При локализации патологического очага вблизи нижнечелюстного канала возникает симптом Венсана. На верхней челюсти миксома может прорастать в верхнечелюстную пазуху и полость носа.

 

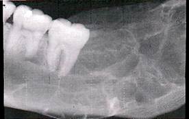
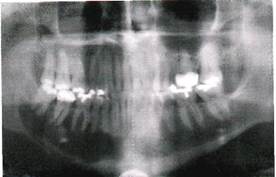
Рентгенологическая картина. Определяется очаг деструкции костной ткани с нечеткими границами. В некоторых случаях может иметь вид мелких ячеистых образований, разделенных костными перегородками.

Лечение миксомы (миксофибромы) хирургическое. Проводится резекция челюсти.







Date: 2015-07-02; view: 726; Нарушение авторских прав



mydocx.ru - 2015-2026 year. (1.021 sec.) Все материалы представленные на сайте исключительно с целью ознакомления читателями и не преследуют коммерческих целей или нарушение авторских прав - Пожаловаться на публикацию