Главная Случайная страница


Полезное:

Как сделать разговор полезным и приятным Как сделать объемную звезду своими руками Как сделать то, что делать не хочется? Как сделать погремушку Как сделать так чтобы женщины сами знакомились с вами Как сделать идею коммерческой Как сделать хорошую растяжку ног? Как сделать наш разум здоровым? Как сделать, чтобы люди обманывали меньше Вопрос 4. Как сделать так, чтобы вас уважали и ценили? Как сделать лучше себе и другим людям Как сделать свидание интересным?


Категории:

АрхитектураАстрономияБиологияГеографияГеологияИнформатикаИскусствоИсторияКулинарияКультураМаркетингМатематикаМедицинаМенеджментОхрана трудаПравоПроизводствоПсихологияРелигияСоциологияСпортТехникаФизикаФилософияХимияЭкологияЭкономикаЭлектроника






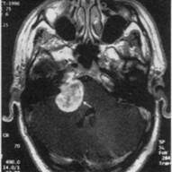
МРТ головного мозга (Т2-взвешенное изображение): глиома больших размеров в правом полушарии, сдавливающая и смещающая его желудочковую систему





Глиобластома - достаточно злокачественная глиальная опухоль. Встречается у взрослых, чаще у мужчин в височной доле головного мозга. Имеет большое количество сосудов, артериовенозных шунтов, быстрое ин-сультоподобное течение, возможны кровоизлияния в опухоль. Продолжи­тельность жизни в таком случае не превышает 9-12 мес.

Олигодендроглиома - доброкачественная опухоль, растет медлен­но в глубине лобной доли мозга. Имеют место петрификаты, определяемые на краниограммах.

Эпендимома это опухоль из клеток эпендимы, которая выстилает желудочки мозга и центральный спинномозговой канал. Внутричерепная локализация встречается у лиц молодого возраста, опухоль растет в полость желудочка, содержит обызвествления, определяется на краниограмме. Спи-нальная эпендимома встречается преимущественно у взрослых, напоминает веретено, распространяется вдоль спинного мозга.

Папиллома хориоидного сплетения растет из нейроэпителия сосудистых сплетений бокового или четвертого желудочка у детей. Добро­качественная, имеет экспансивный рост.

Среди опухолей центральной нервной системы у детей около 20 % со­ставляет медуллобластома. Эмбриональная опухоль червя и полушарий мозжечка прорастает в полость четвертого желудочка. Отличается быстрым инфильтратииным ростом и метастазированием по ликворным путям.

Невринома доброкачественная опухоль из оболочек черепных (VIII пара, реже V пара;) или спиннномозговых нервов. Имеет медленный рост, не склонна к малигнизации.







Date: 2015-07-02; view: 386; Нарушение авторских прав



mydocx.ru - 2015-2026 year. (2.249 sec.) Все материалы представленные на сайте исключительно с целью ознакомления читателями и не преследуют коммерческих целей или нарушение авторских прав - Пожаловаться на публикацию