Главная Случайная страница


Полезное:

Как сделать разговор полезным и приятным Как сделать объемную звезду своими руками Как сделать то, что делать не хочется? Как сделать погремушку Как сделать так чтобы женщины сами знакомились с вами Как сделать идею коммерческой Как сделать хорошую растяжку ног? Как сделать наш разум здоровым? Как сделать, чтобы люди обманывали меньше Вопрос 4. Как сделать так, чтобы вас уважали и ценили? Как сделать лучше себе и другим людям Как сделать свидание интересным?


Категории:

АрхитектураАстрономияБиологияГеографияГеологияИнформатикаИскусствоИсторияКулинарияКультураМаркетингМатематикаМедицинаМенеджментОхрана трудаПравоПроизводствоПсихологияРелигияСоциологияСпортТехникаФизикаФилософияХимияЭкологияЭкономикаЭлектроника






Геморрагический инсульт. В зависимости от локализации кровоизлияния по отношению к веществу и оболочкам головного мозга различают паренхиматозное





В зависимости от локализации кровоизлияния по отношению к веществу и оболочкам головного мозга различают паренхиматозное, субарахноидальное, субдуральное и эпидуральное кровоизлияния. Выделяют также смешанные формы кровоизлияния - субарахноидально-паренхиматозное, паренхиматозно-субарахноидальное, паренхиматозно-желудочковое, желудочковое.

Этиология. Кровоизлияние в вещество головного мозга (паренхима­тозное) чаще всего развивается на фоне гипертонической болезни, симпто­матической артериальной гипертензии, обусловленной заболеваниями по­чек, феохромоцитомой, а также в случае системных сосудистых процессов аллергического и инфекционно-аллергического происхождения. Кровоиз­лияние в мозг может возникнуть в случае врожденной ангиомы, в результа­те разрыва аневризмы (рис. 100). Значительно реже кровоизлияние вызыва­ется атеросклерозом сосудов, заболеваниями крови (тромбоцитопеническая пурпура, лейкозы) и другими факторами.

Патогенез. В патогенезе геморрагического инсульта наибольшее зна­чение имеет артериальная гипертензия. Тяжелое течение гипертонической болезни с кризами является основной причиной анатомических изменений внутримозговых сосудов, а также сосудов сердца и почек. В результате ан-гиодистонических изменений и увеличения проницаемости сосудистых стенок сначала развивается субэндотелиальная серозная инфильтрация, которая сопровождается периваскулярной транссудацией. Такое быстрое внутристеночное насыщение может вызвать острое аневризматическое рас­ширение сосудов, разрыв структурных элементов стенки, ее эластичных мембран. Плазматическое насыщение стенок сосудов может также способ­ствовать их уплотнению за счет фибриноидной субстанции, микрогиали-ноза. В результате фибриноидно-гиалинозной дегенерации артериальных стеиок может развиваться расслаивающая аневризма, которая является основной причиной возникновения кровотечения (per rexis) в случае раз­рыва сосуда. Разрыв артериальных и артериовенозных аневризм может воз­никать и на фоне нормального АД.

В механизме возникновения геморрагии имеет значение диапедез плаз­мы крови и эритроцитов из мелких артерий, капилляров и вен в результате повышенной проницаемости сосудистых стенок, обусловленной дистонией, гипоксией, стазом, престазом или интоксикацией. Кровоизлияние путем диапедеза возникает при наличии уремии и заболеваний, которые проявля­ются геморрагическим диатезом и т. п.

Теперь считают, что основным механизмом развития геморрагического инсульта является разрыв сосудистой стенки (в 85 % случаев). Кровоизлия­ние путем диапедеза случается в 15 % случаев геморрагического инсульта.

В последнее время получены новые данные о патофизиологии спонтан­ного внутримозгового кровоизлияния (ВМК). Повторные КТ-исследования показали, что ВМК имеют три основные патофизиологические фазы: арте­риальный разрыв и формирование гематомы; расширение гематомы; отек перигематомы. Поэтому пересмотрен существующий до недавнего времени взгляд на ВМК как на монофазное событие: считалось, что возникшая ге­матома после церебрального кровоизлияния не расширяется в результате установившегося равновесия между давлением кровоточащего сосуда и по­вышающимся внутричерепным давлением. Повторные КТ-исследования головного мозга в острой стадии геморрагического инсульта показали, что это классическое представление было неправильным; фактически внутри-мозговая гематома (ВМГ) расширяется в первые несколько часов после раз­рыва сосуда; в течение 1 ч в 26 % случаев; в течение последующих 24 ч приблизительно в 40 % наблюдений. Увеличение гематомы связывают с непрерывным кровотечением из разорванной артериолы; рецидивом кро­вотечения из того же источника; кровотечением из сжатых вокруг сосудов, преимущественно вен; местными дефектами свертывания крови.

Патоморфология. В случае геморрагического инсульта различают кровоизлияние типа гематомы и геморрагического пропитывания. Отдель­ную группу составляет кровоизлияние, которое возникает во время разрыва врожденных аневризм сосудов мозга.

Очаги кровоизлияния в основном возникают в бассейне средней мозговой артерии. В случае кровоизлияния типа гематомы в области внутренней капсу­лы и подкорковых узлов образуется полость с четкими краями, заполненная темной жидкостью, сгустками крови. Область геморрагического пропитывания возникает в результате слияния множественных мелких очагов, она не имеет четких границ, характеризуется вялой консистенцией мозгового вещества, на­сыщенной элементами крови. В некоторых случаях одновременно могут возни­кать два и больше очага кровоизлияния. Самые значительные морфологические изменения сосудов средней мозговой артерии и самую частую локализацию кровоизлияния в подкорково-капсулярную область объясняют топографией сосудов: глубокие стриарные артерии отходят от средней мозговой артерии под прямым углом, не имеют анастомозов, коллатерального кровообращения, поэтому не обеспечивается амортизация внезапных повышений АД. Это явля­ется одной из причин развития дегенеративных изменений стенок сосудов со следующим их разрывом. Существует и другая точка зрения. Разрыву сосуда подкорково-капсулярной области способствует очень близкое расположение двух артериальных систем с разным давлением, которые не анастомозируют между собой. Одна система - это поверхностные корковые артерии, вторая глубокие ветви средней мозговой артерии, которые достигают корковых ветвей артерий, но не анастомозируют с ними. Возникает область, границей которой является с внешней стороны полуовальный центр, а с внутренней - чечевице­образное ядро. В этой области чаще всего наблюдается кровоизлияние.


По локализации различают латеральное кровоизлияние, которое рас­положено латеральней от внутренней капсулы, в области полуовального цен­тра и случается чаще (40 %) всего. Второе место по частоте (16 %) занимает смешанное кровоизлияние, которое распространяется на подкорковые узлы, внутреннюю капсулу и таламус. Кровоизлияние в таламус называется меди­альным, оно составляет 10 % общего количества внутричерепных геморрагии. При медиальном, а также смешанном расположении геморрагического очага могут возникать кровоизлияния в желудочковую систему. Кровоизлияния в мозжечок обнаруживают на вскрытии в 6-10 % случаев, в ствол мозга, преи­мущественно в мост - в 5 % всех геморрагических инсультов. Кровоизлияние в кору большого мозга и продолговатый мозг, как правило, не наблюдается. Очень редко возникает первичное кровоизлияние в желудочки мозга.

В случае значительного кровоизлияния развивается отек головного моз­га, в результате которого возникает дислокация мозгового ствола с развити­ем вторичного кровоизлияния в нем. Такие нарушения являются одной из самых распространенных причин смерти больных. В случае кровоизлияния смерть может быть обусловлена массивным очагом с прорывом крови в же­лудочковую систему мозга. Непосредственной причиной смерти могут быть очаги в стволе мозга, которые разрушают жизненно важные центры.

Клиника. Кровоизлияние в вещество головного мозга (паренхи­матозное) начинается остро, без предвестников, чаще всего днем, в периодактивной деятельности больного, после эмоциональной или физической перегрузки, иногда - в состоянии покоя, во время сна. Характеризуется раз­витием общемозговых и очаговых симптомов. Возникают резкая головная боль, рвота, часто многоразовая, иногда с примесью крови. Важным диа­гностическим и прогностическим признаком является нарушение сознания (от легкого оглушения к глубокой коме). Резко выражены вегетативные нарушения: значительное потоотделение, гиперемия кожи лица и цианоз слизистых оболочек; пульс напряжен, ускорен или замедлен, АД повыше­но. Дыхание становится хриплым, по типу Чейна - Стокса, с затрудненным вдохом или выдохом. Наблюдается гипертермия, особенно выраженная при попадании крови в желудочки мозга. Часто изменяется размер зрачков, ино­гда наблюдается расширение зрачка на стороне кровоизлияния. Реакция зрачков на свет отсутствует. Могут быть плавающие, или маятникоподоб-ные движения глазных яблок, расходящееся косоглазие. Глаза, а иногда и голова повернуты в сторону очага поражения: «больной смотрит на очаг» (парез взора). Носогубная складка на стороне, противоположной очагу поражения, сглажена, угол рта опущен, во время дыхания щека «парусит» (симптом паруса). Поднятые конечности падают, «как плети». Следует от­метить также, что на стороне, противоположной очагу поражения, тонус ко­нечностей ниже, стопа повернута кнаружи, возникает рефлекс Бабинского, хотя достаточно часто он двусторонний; глубокие и кожные рефлексы не вызываются. В этом состоянии наблюдаются непроизвольное мочеиспу­скание или дефекация, но возможна также задержка мочи и испражнения. Через несколько часов или на 2-е сутки после кровоизлияния в результате отека мозга и его оболочек возникают менингеальные симптомы Кернига и Брудзинского, заметнее выраженные в непарализованной ноге. Возможно развитие пролежней в областях крестца, ягодиц, пят.


Достаточно частым осложнением кровоизлияния в вещество мозга яв­ляется прорыв крови в желудочки (в 85-90 % случаев), что сопровождается резким ухудшением состояния больного, гипертермией, нарушением дыха­ния, углублением других вегетативных нарушений, развитием горметони-ческого синдрома, который проявляется постоянным изменением тонуса мышц конечностей, когда они из состояния гипертонуса с резким разги­банием переходят в состояние гипотонуса. Пароксизмальное повышение мышечного тонуса, особенно если оно преобладает в мышцах-разгибателях, подобно децеребрационной ригидности, которая наблюдается не только в случае прорыва крови в желудочки мозга, но и при поражении верхних от­делов мозгового ствола. В случае кровоизлияния в правое полушарие мозга могут наблюдаться насильственные движения непарализованных конечно­стей - паракинезы, или синдром автоматизированной жестикуляции.

Кровоизлияние в полушарие большого мозга нередко осложняется вто­ричным стволовым синдромом. Клинически это проявляется изменением размера зрачков, стробизмом, плавающими и маятиикоподобными движениями глазных яблок, нарушением мышечного тонуса, наличием двусто­ронних патологических рефлексов.

Симптомы кровоизлияния в мозговой ствол зависят от уровня поражения: в случае кровоизлияния в области среднего мозга возникают глазодвигатель­ные нарушения, плавающие движения глазных яблок, синдром Парино с вер­тикальным парезом взора, альтернирующие синдромы Вебера и Бенедикта.

Кровоизлияние в мост проявляется миозом, парезом взора в сторону очага поражения (глазные яблоки повернуты в сторону парализованных конечностей), если очаг кровоизлияния локализуется в нижних отделах ствола мозга, нарушаются функции дыхания, кровообращения, возникает мышечная гипотония или атония, могут развиваться тетра- или гемипарез.


Кровоизлияние в мозжечок начинается с головокружения, сильной го­ловной боли в области затылка, безудержной рвоты. Характерны глазодви­гательные нарушения, миоз, синдром Гертвига-Мажанди, который прояв­ляется расходящимся косоглазием в вертикальной плоскости, и синдромом Парино (вертикальный парез взора, нарушение конвергенции и реакции зрачка на свет). Наблюдаются также нистагм, скандированная речь или диз­артрия, мышечная гипотония, атаксия, ригидность мышц затылка. Парез конечностей отсутствует. В случае молниеносного течения кровоизлияния в мозжечок очаговые симптомы «перекрываются» общемозговыми.

У больных с паренхиматозным кровоизлиянием спустя некоторое время от начала заболевания повышается температура тела - 37-38° С. В случае прорыва крови в желудочки мозга она может достигать 40-41° С. Возника­ют также менингеальные симптомы, лейкоцитоз.

Состояние больных с кровоизлиянием в мозг очень тяжелое, большин­ство из них умирает. Смертность достигает 75-95 %. Еще более сложный прогноз кровоизлияния в желудочки головного мозга.

При благоприятном течении заболевания больные постепенно выходят из коматозного состояния, которое переходит в сопорозное. Постепенно восста­навливается сознание. Появляются корнеальные и сухожильные рефлексы. Больной начинает глотать. Общемозговые симптомы постепенно регрессируют и на первый план выходят очаговые, которые зависят от локализации поражения нервной ткани. Учитывая то, что мозговое кровоизлияние чаще всего происходит в области внутренней капсулы, через которую проходят волокна пирамидного пути и корково-ядерные волокна, клинический синдром состоит в основном из капсулярной гемиплегии в сочетании с гемианестезией, гемианопсией, а так­же парезом мышц лица, размещенных ниже глазной щели, и языка на стороне, противоположной очагу поражения. Если поражено левое полушарие головно­го мозга, определяют речевые нарушения: моторную, акустико-гностическую (сенсорную) или тотальную афазию. Кровоизлияние в правое полушарие может сопровождаться изменениями психики, иногда психомоторным возбуждением, апрактоагностическим синдромом, длительность которых ограничивается не­сколькими днями и полностью проходит на фоне терапии.

Постепенно начинается восстановление движений. Сначала они возни­кают в проксимальных отделах нижних конечностей, а затем в верхних. Гемиплегия переходит в глубокий гемипарез. Восстанавливается мышеч­ный тонус парализованных конечностей. Спастические проявления на­растают. В верхней конечности повышается тонус сгибательных мышц, в нижней разгибательных, что приводит к возникновению характерной позы Вернике-Манна. Восстановление мышечного тонуса сопровождается повышением сухожильных рефлексов. На стороне гемипареза наблюдается клонус стопы и колена, вызываются патологические рефлексы Бабинского, Оппенгейма, Гордона, Шеффера, Россолимо. Параллельно возобновлению движений восстанавливается чувствительность: анестезия на стороне ге-миплегии постепенно сменяется гемигипестезией, таламическая анестезия может сопровождаться гемиалгией с гиперпатией. Постепенно исчезают на­рушения речи, восстанавливается психическая деятельность.

Диагностика геморрагического инсульта основывается не на отдель­ных симптомах, а на их сочетании. Когда нарушение мозгового кровообра­щения и коматозное состояние развиваются остро у больного с высоким АД и имеются признаки очагового поражения головного мозга, диагноз паренхиматозного кровоизлияния не составляет сложности. Тяжелее диа­гностировать мозговое кровоизлияние, которое развивается медленно, без потери сознания. В таком случае имеет значение анализ данных лаборатор­ных и инструментальных исследований. В крови обнаруживают лейкоци­тоз, увеличение относительного количества нейтрофильных гранулоцитов и уменьшение содержания лимфоцитов, т. е. повышение индекса Кребса до 6 и более. Уровень глюкозы в крови повышается до 8 10 ммоль/л. Глюкоза может выявляться и в моче. Спинномозговая жидкость во время пояснич­ной пункции вытекает под повышенным давлением, в ней обнаруживают эритроциты. При сочетании паренхиматозного кровоизлияния с желудоч­ковым или субарахноидальным спинномозговая жидкость может быть ин­тенсивно кровянистой. На глазном дне в случае геморрагического инсуль­та можно обнаружить кровоизлияние в сетчатку, картину гипертензивной нейроретинопатии, симптом Сал юса II - III Во время эхоэнцефалографии в случае полушарного инсульта наблюдается смещение срединного отраже­ния на 6-7 мм в сторону, противоположную геморрагическому очагу. ЭЭГ характеризуется грубыми диффузными изменениями биопотенциалов моз­га, появлением патологических 0 и Х-волн. Ангиография дает возможность верифицировать аневризму мозговых сосудов, определить наличие так на­зываемой бессосудистой зоны. КТ позволяет выявить повышенную плот­ность паренхимы мозга.

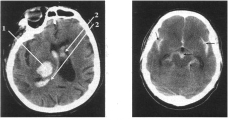
КТ головного мозга: визуализируется инсульт-гематома с прорывом крови в желудочковую систему; дислокация срединных структур влево, компрессия правого бокового желудочка: 1 - гиперденсивный очаг в правой височно-подкорковой области, обусловленный кровоизлиянием; 2 - кровь в боковых же­лудочках мозга КТ головного мозга: спонтанное субарахноидальное кровоизлияние; визуализируется кровь (гиперденсивная) в цистернах мозга, щелях и подпаутинных пространствах (показано стрелками)

Субарахноидальное кровоизлияние.

Этиология. Субарахноиндальное кровоизлияние часто возникает в результате разры на аневризмы сосудов арте­риального круга большого мозга: передней мозговой и передней соединитель-ной артерии (в 40-50 % случаев), внутренней сонной и задней соеликитчмьной артерии (в 15-20 %); средней мозговой артерии (в 15-20 %); основной и задней мозговой артерии (в 3-5 % случаев); другой локализации (в 4-9 %). Способствуют этому физическое или эмоциональное перенапряжение, коле­бание АД, ангиодистонические нарушения. Среди других причин отмечают врожденный дефект сосудистых стенок или системные сосудистые заболева­ния (гипертоническая болезнь, атеросклероз, болезни крови), при наличии которых поражается сосудистая система. Однако нередко они возникают без видимой внешней причины. У детей младшего возраста кровоизлияние в под­паутинное пространство может развиваться на фоне септических состояний, которые обусловливают структурные изменения сосудистой стенки.

Клиника. В клиническом течении субарахноидального кровоизлия­ния различают три периода: догеморрагический (продромальный) - первые 2-5 сут до разрыва стенки аневризмы; геморрагический 3 нед; резидуаль-ный, или послегеморрагический - после 21-х суток. Заболевание начинается остро, инсультоподобно, чаще без предвестников. Возникает резкая голов­ная боль, создается впечатление кинжального удара в затылочную область. Одновременно с головной болью возникают головокружение, рвота. Может быть потеря сознания на непродолжительное время (от нескольких минут, реже - часов). Характерно психомоторное возбуждение.

В течение некоторого времени больной остается дезориентированным, эйфоричным, иногда, напротив, вялым и апатичным. Нередко возникают при­ступы судорог, обусловленные раздражением корковых двигательных участков головного мозга. Через несколько часов или на 2-е сутки развивается менин-геальный симптомокомплекс (ригидность мышц затылка, симптомы Кернига, Брудзинского, скуловой феномен Бехтерева, гиперестезия кожи, зрительная, слуховая гиперестезия). При базальной локализации кровоизлияния отмеча­ются признаки поражения тех или других черепных нервов (птоз, косоглазие, диплопия, парез мимических мышц). Грубых очаговых неврологических сим­птомов обычно не наблюдается. Когда кровоизлияние распространяется на верхнебоковую поверхность мозга, могут быть приступы джексоновской эпи­лепсии, монопарез, афатические нарушения, рефлексы Бабинского, Оппенгей-ма, Гордона, Шеффера, которые быстро проходят. В случае тяжелого течения заболевания наблюдается угнетение сухожильных и периостальных рефлексов.

Характерными являются вегетативные нарушения, которые обусловле­ны дисфункцией диэнцефально-ствольных образований головного мозга: нарушением ритма сердца, повышением АД, гипергликемией.

Почти всегда в случае субарахноидального кровоизлияния на 2-е 3-й сутки заболевания повышается температура тела в пределах 37,5-38 °С. Ги­пертермия сопровождается умеренным лейкоцитозом и сдвигом формулы белой крови влево.

У многих больных развитие симптомов очагового поражения головного мозга может быть обусловлено локальной ишемией, вызванной спазмом ар­терий, который определяется методом транскраниальной допплерографии.

Спазм сосудов чаще развивается на 3-5-й день заболевания и сохраняется в течение 2-4 нед. Спазм артерий в случае субарахноидального кровоизлияния связывают с непосредственным влиянием крови на симпатические сплетения артерий, токсическим действием на артерии продуктов распада гемоглобина. Из гуморальных факторов спазмогенными свойствами обладают катехоламины, продукты распада тромбоцитов. Спазмогенное действие оказывают лейкотрие-ны, эйкозаноиды (простагландины, преимущественно фракция Е, тромбоксан).

Различают три последовательных стадии церебрального ангиоспазма. Первая стадия возникает на 3-5-й день после развития субарахноидаль­ного кровоизлияния. Она проявляется незначительным и непостоянным сокращением гладких волокон (миофибрилл) сосудистых стенок артерии и длится около 2-3 сут. Вторая стадия развивается на 7-12-й день и харак­теризуется стойкой ретракцией миофибрилл, которая повышает мозговое периферическое сопротивление сосудов. Такие нарушения в значительной мере связаны с избыточным накоплением ионов кальция в миофибриллах, поражением других элементов сосудистой стенки: сморщиванием внутрен­ней эластической мембраны, повреждением эндотелия, отеком внутренней оболочки сосудов. Это обусловливает формирование мелких тромбов в спазмируемых артериях и развитие отсроченных инфарктов мозга. В случае третьей, поздней, стадии, которая возникает на 14-21-е сутки, наблюдается фиброзное утолщение стенки артерии со стенозом ее просвета.

Для оценки клинического течения субарахноидального кровоизлияния пользуются шкалой Ганта и Хесса. Она предусматривает выделение пяти степеней тяжести состояния больных: I - характеризуется бессимптомным течением или незначительной головной болью, нерезко выраженными ме-нингеальными знаками; II - проявляется умеренной или резкой головной болью, выраженными оболочечными симптомами, нарушением функции глазодвигательных нервов; III - проявляется угнетением сознания (оглуше­ние), умеренно выраженным неврологическим дефицитом; IV - характери­зуется потерей сознания (сопор), выраженным неврологическим дефицитом (гемипарез или гемиплегия), симптомами вегетативной дисрегуляции; при V степени наблюдаются потеря сознания (коматозное состояние), отсутствие реакций на внешние раздражения, выраженный двигательный дефицит.

Тяжесть состояния больного с субарахноидальным кровоизлиянием оценивается на степень выше, если у пациента определяется артериальная гипертензия, выражены проявления атеросклероза, декомпенсация хрони­ческих заболеваний легких, сахарный диабет, а также церебральный ангио-спазм, верифицированный с помощью ангиографии. Для течения субарах­ноидального кровоизлияния характерны рецидивы. Чаще они отмечаются на 2-4-й недели после первого кровоизлияния. В большинстве случаев по­вторное кровоизлияние обусловлено разрывом аневризмы. Течение его бо­лее тяжелое и нередко заканчивается неблагоприятно.

В случае субарахноидально-паренхиматозного кровоизлияния кроме оболочек процесс распространяется и на вещество мозга. Он, как правило, сопровождается стойкой очаговой неврологической симптоматикой.

Диагностика. Диагноз субарахноидального кровоизлияния устанав­ливают с учетом инсультоподобного начала заболевания, развития в даль­нейшем общемозговых и менингеальных симптомов. Типичным является также отсутствие грубого неврологического дефицита. Решающее значение в диагностике имеет поясничная пункция. Спинномозговая жидкость в пер­вые дни имеет кровянистий вид, вытекает под повышенным давлением. В по­следующем (на 3-й 5-е сутки) она становится желтоватой, ксантохромной. Обнаруживается лимфоцитарный плеоцитоз. На глазном дне нередко можно выявить кровоизлияние в сетчатку, застойные диски зрительных нервов.

КТ дает возможность надежно диагностировать субарахноидальное кровоизлияние (см. рис. 102). Стандартная ангиография, транскраниаль­ная допплерография позволяют выявить локализацию разрыва аневризмы только в области сегмента большого артериального круга мозга. Обычная КТ-ангиография, выполненная в течение первых суток после развития суб­арахноидального кровоизлияния, дает возможность определить лишь лока­лизацию разрыва аневризмы средней мозговой и соединительной артерий. Высокоинформативными методами диагностики являются МР-ангиография и дигитальная субтракционная ангиография. Они позволяют визуализиро­вать небольшие по размеру аневризмы, а также развитие ангиоспазма.

Субарахноидальное кровоизлияние по развитию и клиническому тече­нию необходимо дифференцировать с менингитом. Исследование спинно­мозговой жидкости решает вопрос относительно этиологии заболевания.







Date: 2015-07-02; view: 730; Нарушение авторских прав



mydocx.ru - 2015-2026 year. (1.283 sec.) Все материалы представленные на сайте исключительно с целью ознакомления читателями и не преследуют коммерческих целей или нарушение авторских прав - Пожаловаться на публикацию