Главная Случайная страница


Полезное:

Как сделать разговор полезным и приятным Как сделать объемную звезду своими руками Как сделать то, что делать не хочется? Как сделать погремушку Как сделать так чтобы женщины сами знакомились с вами Как сделать идею коммерческой Как сделать хорошую растяжку ног? Как сделать наш разум здоровым? Как сделать, чтобы люди обманывали меньше Вопрос 4. Как сделать так, чтобы вас уважали и ценили? Как сделать лучше себе и другим людям Как сделать свидание интересным?


Категории:

АрхитектураАстрономияБиологияГеографияГеологияИнформатикаИскусствоИсторияКулинарияКультураМаркетингМатематикаМедицинаМенеджментОхрана трудаПравоПроизводствоПсихологияРелигияСоциологияСпортТехникаФизикаФилософияХимияЭкологияЭкономикаЭлектроника






Особенности, свойственные отдельным формам паралича





Макро- и микроскопические изменения при параличе так многочисленны и разнообразны, что несомненно представляется целесообразным свести их к определенным типам или подвидам и сопоставить их с отдельными разновидностями по течению. Нужно сказать, что корреляции между клиникой и анатомией здесь оказываются не так велики.

В случаях паралича, резко отличающихся друг от друга по клиническим проявлениям, картина под микроскопом может быть одна и та же; это относится прежде всего к маниакальной и депрессивной формам, при которых изменения в мозгу носят банальный характер; табетическая форма в части, касающейся головного мозга, также ничем не отличается от остальных. Галопирующий паралич, столь яркий по своему бурному течению, с анатомической стороны не имеет для себя характерных особенностей. Альцгеймер указывает только, что в таких случаях все изменения одинаково сильно выражены во всех отделах, не приурочиваясь к лобным или каким-нибудь другим извилинам.

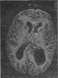
Детский и юношеский параличи с анатомической стороны представляют одну форму. Как известно, юношеская форма выделена Клустоном в 1877 г. Большинство наблюдений описано только с клинической стороны, но и анатомические особенности выяснены достаточно определенно. Первая из них, отмеченная Лафора и Альцгеймером,—это большая частота различных аномалий развития; именно здесь особенно часто наблюдаются двух- и трехъядерные клетки Пуркинье, неправильное расположение нервных клеток и гетеротопии серого вещества. Другая особенность—расширенна МОЗГОЕЫХ желудочков в гораздо более-значительных размерах, чем это наблюдается при параличе на почве приобретенного сифилиса (рис. 92).

Рис. 92. Случаи паралича на почве врожденного сифилиса. Расширение боковых желудочков.

 

Еще более постоянным и важным ввиду их прямого отношения к существу процесса нужно считать облитерирующий эндартериит сосудов основания. Микроскопическое исследование обнаруживает специфический характер поражения сосудов, также и другие, чисто сифилитические изменения.

Таким образом юношеская форма паралича отличается наличием признаков, имеющих значение аномалий развития, а также наличием чисто-сифилитических изменений, чаще всего облитерирующего эндартериита. Все эти особенности зависят не от того, что паралич развился в детском или юношеском возрасте, а от того, что в основе здесь врожденный сифилис. Ввиду этого более точным названием для этой группы был бы паралич на почве врожденного сифилиса, тем более что точно такие же анатомические картины на этой почве описаны и в более поздних возрастах.

Со стационарным параличом впервые познакомились как с клиническим понятием, и патологическая анатомия здесь сыграла очень большую роль для точного его выделения.

Ввиду того, что сифилис помимо паралича помешанных играет большую роль в этиологии артериосклероза, нередко наряду с паралитическими изменениями можно встретить и картину артериосклероза, притом с такими гистологическими особенностями, которые ни в какой мере не указывают на сифилис как их причину. Частоте таких совпадений может способствовать и то, что некоторые моменты, имеющие значение для паралича, как алкоголизм и умственное напряжение, не безразличны и для артериосклероза. С гистологической стороны подобные случаи характеризуются тем, что наряду с паралитическими изменениями обращает на себя внимание утолщение стенок артерий как мелких, так и более крупного калибра с последующим разрежением ткани. От паралитических изменений сосудов картина отличается тем, — что элементы эндотелия хотя также принимают участие в разрастании, но в меньшей степени: нет такого разбухания отдельных элементов, утолщение стенок сосуда идет больше за счет mediae и адвентиции, в которой преобладает гиперплазия волокнистой ткани. Все изменения носят более хронический характер. К особенностям этой формы нужно отнести частые кровоизлияния как микроскопического характера, так и более крупные, ведущие к стойким парезам, афазии и вообще очаговым симптомам. Со стороны нервных элементов преобладают более хронические изменения. Периваскулярная инфильтрация, хотя и носит вполне типический характер, бывает не так обильна. Можно думать, что склеротические изменения сосудов влияют определенным образом на паралитический процесс, придавая ему хронический характер. Поскольку кровеносные сосуды являются носителями и организованных возбудителей болезни и различных ядовитых продуктов, связанных с их жизнедеятельностью, постольку утолщение стенок может препятствовать поступлению их в нервную ткань. Утолщенные и не так легко проходимые стенки сосуда могут играть роль такого же фильтра, каким служат околососудистые глиозные перепонки. Благодаря таким особенностям анатомической картины создаются благоприятные условия для того, чтобы весь процесс протекал менее активно. Этому соответствует длительное течение таких случаев, растягивающееся, как было в наших наблюдениях, на 8, 12 и даже 15 лет. Артериосклероз при анатомическом исследовании во всех этих случаях не был результатом только более позднего возраста, в котором наступала смерть, и большой продолжительности болезни. Из анализа клинических данных можно было убедиться, что артериосклероз здесь был очень ранним симптомом и выступал ясно в возрасте, совсем необычном для артериосклероза,—30—35 лет.


Сущность процесса при прогрессивном параличе (позднем сифилитическом заболевании мозга) и отношение его к сифилису мозге. Современные поколения врачей воспитаны на учении, что прогрессивный паралич, как и сухотка спинного мозга, представляет заболевание, отличающееся по существу от сифилиса мозга, хотя и стоящее в связи с сифилисом. По выражению Фурнье, создавшего концепцию о парасифилисе, соответствующую метасифилису Мебиуса и послесифилитическому заболеванию (Nachsyphilis) Штрюмпеля, прогрессивный паралич—сифилитического происхождения, но не сифилитической натуры. Это учение в свою очередь унаследовано от предыдущих поколений и несомненно вошло в плоть и кровь всех врачей. На этой точке зрения стояли все крупные авторитеты психиатрии и в частности патологоанатомы Ниссль, Альцгеймер, а также Н. Нонне. Но теперь как раз приходится считать учение о метасифилисе пошатнувшимся в своем основании. Новым фактом, заставляющим иначе смотреть на сущность паралича, было открытие при нем шаудиновских спирохет, и притом в смысле более регулярного присутствия их в большом количестве; это сделалось возможным с помощью нового метода импрегнации Янеля. На основании первоначальных исследований можно было считать доказанным их присутствие только в нервной паренхиме, но затем оказалось, что они в большом количестве могут быть и в оболочках, и в окружности сосудов, и в самих стенках (рис. 93).

Рис. 93. Спирохеты в коре паралитика.

 

Их констатировали не только в мозгу, но и в других органах. Присутствие спирохет доказано и в случаях юношеской формы паралича. Спирохеты в стенках сосудов—вообще довольно обычное явление. Споли доказал их присутствие здесь при сифилисе мелких сосудов.

Естественно, что ввиду этих новых фактов, говорящих о присутствии спирохет при прогрессивном параличе приблизительно с таким же постоянством, как и при сифилисе мозга, трудно говорить о принципиальном отличии обоих заболеваний и во всяком случае приходится пересмотреть все те основания, на которых такое разграничение производилось раньше. Одним из признаков считалось более раннее развитие явлений при сифилисе мозга и более позднее при параличе. Эта разница все более стушевывается. Прежде всего возможно развитие полной картины прогрессивного паралича вскоре после заражения. Но самое главное, приходится иначе смотреть на вопрос, какие именно изменения нужно считать начальными для прогрессивного паралича. Серологические исследования показывают, что при вторичном сифилисе спинномозговая жидкость в 80 % бывает измененной. Из таких случаев, когда в спинномозговой жидкости оказываются плеоцитоз и другие изменения, в дальнейшем под влиянием лечения или без него спинномозговая жидкость приобретает иногда нормальные свойства, но остается известная группа, где эти изменения держатся прочно, причем к ним в дальнейшем присоединяются и другие симптомы, уже несомненно указывающие на начало паралича. Когда считать начало болезни в таких случаях? Плеоцитоз может считаться самым ранним симптомом болезни, причем долгое время может оставаться единственным признаком. По исследованиям целого ряда авторов прогрессивный паралич преимущественно развивается у субъектов с такой ранней реакцией со стороны спинномозговой жидкости. При таких условиях нет никаких оснований началом болезни считать только период ясного обнаружения обычных клинических явлений. Изменения, имеющие тесное отношение к его существу, начинаются значительно раньше, именно—могут быть обнаружены уже во вторичном периоде.


С анатомической стороны также нет основания говорить о параличе как о чем-то совершенно ином сравнительно с сифилисом мозга. Естественно поэтому стремление некоторых авторов не употреблять совсем терминов «метасифилис», «парасифилис», «прогрессивный паралич помешанных», а заменить их одним названием—позднее сифилитическое заболевание мозга. Приходится считать, что прогрессивный паралич—это диффузный сифилис мозга со своеобразной локализацией и течением. Но все же нельзя сказать, что можно считать разрешенными все вопросы, касающиеся генеза паралича. Может быть вопросов стало не меньше, только теперь они должны иначе ставиться. Почему в части случаев заражение дает только местные изменения, не обнаруживающие тенденции к прогрессированию, почему в других случаях процесс неудержимо ведет к глубокой и диффузной дегенерации и кончается гибелью? В известном смысле и теперь можно проводить отличив между сифилисом и прогрессивным параличом. В первом случае процесс ограничивается преимущественно оболочками и сосудами, где концентрируются и спирохеты, а при параличе происходит диссеминация спирохет в паренхиме, и нервные элементы изменяются очень глубоко. Штейнер думает, что при сифилисе мозга в отличие от паралича процесс протекает параневрально, т. е. в оболочках и сосудах, рядом с нервной системой, которая страдает только вторично.

Почему в одних случаях специфическое заражение приводит только к соматическим поражениям, в других—к мозговому сифилису, в третьих— к прогрессивному параличу, остается неясным. Несомненно приходится считаться до известной степени с невротропизмом спирохеты. Об этом в особенности говорят те случаи, когда заражение из одного источника приводило целый ряд лиц к заболеванию параличом и сухоткой. За то же говорят нередкие случаи заболевания параличом одновременно мужа и жены. Но еще более несомненно, что необходимы какие-то особые условия со стороны самого организма. Имеет значение и наследственное отягощение. По данным Перне и Кальба у паралитиков оно вообще вдвое больше, чем в населении вообще. Имеет значение при этом и характер этого отягощения: в семьях паралитиков наблюдаются главным образом заболевания с характером слабоумия. Это говорит о возможности врожденной предрасположенности мозга к тому, чтобы специфическое заражение дало именно мозговой процесс. В этом смысле в особенности должны быть истолкованы случаи паралича у ряда кровных родственников, на основании которых Кальб прямо говорит о семейном предрасположении к параличу. Некоторые исследования заставляют думать, что у людей, заболевающих параличом, ослаблена способность вырабатывания антител. Предрасположение к заболеванию параличом по-видимому может быть повышено какими-либо моментами в личной жизни—инфекциями, алкоголизмом, большим физическим и умственным напряжением, травмами головы. На основании опыта последней войны, не давшей несмотря на все ее тяготы, включая и последующие эпидемии, увеличения общей заболеваемости параличом, Бонгеффер и Бумке не склонны придавать значение этим моментам, но это едва ли справедливо.


Не в пользу такого утверждения говорят все прежние статистики, касающиеся связи паралича с профессией, образом жизни и добавочными моментами (алкоголизм). Что общее понижение жизнедеятельности организма небезразлично для заболевания параличом, видно из данных Менгендорфера о связи продолжительности инкубации с возрастом. Им подмечен нашедший себе подтверждение и у других исследователей факт, что чем старше субъект, заразившийся сифилисом, тем короче у него скрытый период от момента заражения до начала паралича. Тот же смысл имеет факт более быстрого наступления летального исхода в позднем возрасте.

Вильманс, строя свои предположения о сущности паралича, исходил из наблюдений, сделанных довольно давно, что при большом распространении сифилиса среди некоторых диких народов и малокультурных народностей прогрессивный паралич сравнительно редок. Отсюда вывод, что культурная жизнь несет с собой какие-то условия, благоприятствующие развитию паралича. Что здесь играет значительную роль большое умственное напряжение, более волнующий темп жизни, алкоголизм и иные излишества, было ясно и прежним исследователям. Но теперь стараются найти какие-либо определенные моменты, делающие понятным преобладание паралича у культурных народов и более культурных слоев населения. Гертнер и Вильманс видят этот момент в факте специфического лечения ртутью и сальварсаном, ослабляющего защитные силы организма. Дарашкевич высказал предположение, что развитию паралича способствуют предохранительные прививки оспенной вакцины, обязательные в культурных странах. Едва ли это предположение справедливо. Несомненны многочисленные случаи, доказывающие возможность развития паралича у лиц, никогда не прививавших себе оспу. Что касается недостаточности лечения, то едва ли она может иметь такое исключительное значение. Если прогрессивный паралич реже встречается у малокультурных народов, то это относится главным образом к жителям Бразилии, Африки и другим народам жарких стран. У различных некультурных народностей Севера при большом распространении сифилиса не представляет редкости и прогрессивный паралич. Видимо играют роль постоянная теплота кожи, повышенная потливость, более энергичный обмен веществ, дающий большую возможность бороться с проникшими в организм спирохетами. Если сифилис благодаря этим условиям лучше протекает, то больше шансов, что дело ограничится симптомами начальных стадий и не дойдет до поздних форм, к каким нужно отнести паралич помешанных. С этим может быть следует сопоставить факт сравнительной успешности лечения сифилиса методом, распространенным в старое время,—декоктами и сарсапарилыо, который вел к нагреванию организма и усиленному потению. Но несомненно имеют значение и расовые отличия, так как среди различных народностей, живущих в одних и тех же климатических условиях, частота паралича может быть очень различна, причем это относится не только к жарким странам.







Date: 2015-07-02; view: 512; Нарушение авторских прав



mydocx.ru - 2015-2026 year. (1.177 sec.) Все материалы представленные на сайте исключительно с целью ознакомления читателями и не преследуют коммерческих целей или нарушение авторских прав - Пожаловаться на публикацию