Главная Случайная страница


Полезное:

Как сделать разговор полезным и приятным Как сделать объемную звезду своими руками Как сделать то, что делать не хочется? Как сделать погремушку Как сделать так чтобы женщины сами знакомились с вами Как сделать идею коммерческой Как сделать хорошую растяжку ног? Как сделать наш разум здоровым? Как сделать, чтобы люди обманывали меньше Вопрос 4. Как сделать так, чтобы вас уважали и ценили? Как сделать лучше себе и другим людям Как сделать свидание интересным?


Категории:

АрхитектураАстрономияБиологияГеографияГеологияИнформатикаИскусствоИсторияКулинарияКультураМаркетингМатематикаМедицинаМенеджментОхрана трудаПравоПроизводствоПсихологияРелигияСоциологияСпортТехникаФизикаФилософияХимияЭкологияЭкономикаЭлектроника






Данные микроскопического исследования





Изменения нервных клеток представляют мало характерного. Могут, особенно в мозжечке, встретиться двухъядерные нервные клетки. Изменения носят как острый, так и хронический характер. Диффузный хроматолиз обычно сопутствует всем другим изменениям. Наряду с острыми изменениями, поражающими более крупные элементы, постоянно приходится наблюдать картину склероза, соединенного с пигментно-жировым перерождением. Обычный спутник такого склероза— неправильное расположение верхушечных отростков — сильно выражено и здесь.

Внутриклеточные фибриллы подвергаются все большему разрежению и в конце концов совершенно исчезают.

Дело не ограничивается одним перерождением клеточной протоплазмы, но часто доходит до полной гибели клетки, причем обычно раньше исчезают отростки. Вследствие гибели значительного количества клеточных элементов, сморщивания и изменения формы сохранившихся клеток внутренняя архитектоника коры большей частью глубоко нарушается. Из отдельных слоев более всего страдают малые и средние пирамиды. Большей атрофии лобных извилин соответствует как правило и более интенсивная гибель нервных элементов в этих же отделах.

Перерождение миелиновых нервных волокон всегда было и будет одним из самых крупных фактов в анатомической картине прогрессивного паралича. Более всего изменяются тангенциальные волокна, особенно в молекулярном слое. Тангенциальные волокна более глубоких слоев вообще меньше страдают; то же еще в большей степени относится к радиальным волокнам, но в конце концов нужно сказать, что ни одна система волокон не остается непораженной (рис. 88).

Рис. 88. Перерождение тангенциальных, частью и радиальных волокон в коре.

 

Белое вещество представляет картину более или менее глубокого разрежения. Помимо перерождения волокон, стоящего в связи с самой сущностью болезни, могут быть картины вторичных перерождений и целых систем и отдельных волокон в них.

Схема распределения изменения волокон по различным отделам, установленная Тютчеком, остается в силе и в настоящее время. Максимум изменений наблюдается в лобных долях, отсюда по направлению кзади интенсивность все убывает.

Ввиду сходства макроскопического вида и микроскопического строения (сохранение осевых цилиндров при исчезновении миелиновых оболочек) авторы говорят об анатомическом сходстве с рассеянным склерозом.

Большое значение имеют изменения со стороны сосудов и вообще мезодермы. Утолщению и мутности мягкой мозговой оболочки при микроскопическом исследовании соответствует увеличение волокнистой соединительной ткани и инфильтрации ее различными клеточными элементами (рис. 89); при этом увеличивается и количество ядер, принадлежащих собственно piae, в частности в порядочном количестве попадаются большие округлые клетки со сравнительно маленьким ядром.

Рис. 89. Утолщение и инфильтрация мягкой мозговой оболочки, инфильтрация периваскулярных пространств и всей коры.

 

В главной массе инфильтрация состоит из лимфоцитов и плазматических клеток, попадаются также так называемые тучные клетки (Mastzellen). Скопления полинуклеаров можно встретить только при наличности флегмоны, начинающемся пролежне, пиелите или другом аналогичном процессе.

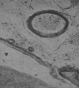
Увеличение волокнистой соединительной ткани наблюдается также вокруг кровеносных сосудов, но более важны изменения самих стенок сосуда и в особенности процессы, происходящие в периваскулярных пространствах и вообще в их окружности. Что касается самих сосудов, то здесь прежде всего можно встретить гиалиноз прекапиляров; но на него нужно смотреть все-таки как на осложнение; менаду тем очень постоянны изменения, имеющие прямое отношение к существу болезни. Здесь прежде всего нужно иметь в виду набухание и разрастание элементов эндотелия мелких сосудов, ведущее к более или менее значительному ограничению просвета (рис. 90).

Рис. 90. Разрастание элементов сосудистой стенки при врожденном сифилисе.

 

Иногда встречаются и картины с характером гейбнеровского эндоартериита, но это тоже можно считать осложнением в картине дегенеративных изменений, свойственных прогрессивному параличу; разрастание же эндотелия отмечается постоянно. Своеобразная инфильтрация периваскулярных пространств принадлежит вместе с перерождением тангенциальных волокон к числу самых важных признаков. В состав инфильтрации входят лимфоциты и плазматические клетки (рис. 91).

Рис. 91. Плазматические клетки.

 

Помимо периваскулярных пространств плазматические клетки в качестве отдельных экземпляров часта попадаются в ткани довольно далеко от сосудов. Инфильтрация с плазматическими клетками, правда гораздо слабее выраженная, встречается и в других отделах нервной системы, в центральных ганглиях и белом веществе.


Чтобы закончить описание изменений, происходящих в мезодермальной ткани, остается упомянуть об увеличении числа сосудов вследствие разрастания их в некоторых случаях и о палочковидных клетках. Все эти изменения придают особенный отпечаток микроскопической картине коры паралитика.

Изменения мозжечка чаще наблюдаются в случаях врожденного паралича, но они довольно обычное явление и при параличе у взрослых, хотя здесь по интенсивности отступают на задний план сравнительно с изменениями больших полушарий.

Особого внимания заслуживает состояние зрительных нервов и сетчатки. Что здесь изменения могут быть не только собственно при табетической форме, это было известно довольно давно, особенно благодаря французским исследователям.

Варолиев мост, продолговатый мозг и вообще вся стволовая часть также следуют общему правилу, что при параличе изменяются все отделы центральной нервной системы. Особенно хорошо изучены дегенеративные изменения ядер черепных нервов, расположенных в этой области. То же самое приходится сказать и относительно спинного мозга.

Если к изложенному добавить, что в периферических нервах, особенно нижних конечностей и преимущественно в дистальных отделах, констатируется перерождение значительного количества волокон, то не останется ни одного отдела, на который паралич не наложил бы свою тяжелую руку.







Date: 2015-07-02; view: 502; Нарушение авторских прав



mydocx.ru - 2015-2026 year. (0.978 sec.) Все материалы представленные на сайте исключительно с целью ознакомления читателями и не преследуют коммерческих целей или нарушение авторских прав - Пожаловаться на публикацию