Главная Случайная страница


Полезное:

Как сделать разговор полезным и приятным Как сделать объемную звезду своими руками Как сделать то, что делать не хочется? Как сделать погремушку Как сделать так чтобы женщины сами знакомились с вами Как сделать идею коммерческой Как сделать хорошую растяжку ног? Как сделать наш разум здоровым? Как сделать, чтобы люди обманывали меньше Вопрос 4. Как сделать так, чтобы вас уважали и ценили? Как сделать лучше себе и другим людям Как сделать свидание интересным?


Категории:

АрхитектураАстрономияБиологияГеографияГеологияИнформатикаИскусствоИсторияКулинарияКультураМаркетингМатематикаМедицинаМенеджментОхрана трудаПравоПроизводствоПсихологияРелигияСоциологияСпортТехникаФизикаФилософияХимияЭкологияЭкономикаЭлектроника






Фистулография (асс.)





Фистулография

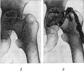
Хронический гнойный коксит, осложнившийся некрозом части головки бедренной кости и образованием свища: 1 — контрольнаярентгенограмма (до фистулографии); 2 — фистулограмма.

Фистулография — методика рентгенологического исследования свищевых ходов путем заполнения их контрастным веществом с последующей рентгенографией (рис.). Основной задачей фистулографии является детальное изучение характера и направления свищевых ходов и их разветвлений, а также установление наличия или отсутствия связи между свищевыми ходами и очагами деструкции (в частности в костях) и инородными телами,секвестрами, абсцессами и другими полостями, расположенными в соседних со свищевым ходом органах. Контрастноерентгенологическое исследование полости абсцесса называется абсцессографией.
В качестве контрастных веществ при фистулографии обычно пользуются масляными растворами органических соединений йода (йодолипол, липийодол) или его водорастворимыми соединениями (дийодон, дийодраст, кардиотраст, урографин и т. п.). При широких свищевых ходах, из которых контрастное вещество может быть легко удалено после фистулографии, пользуются масляными и водными взвесями химически чистого сернокислого бария.
Перед фистулографией производят обзорную контрольную рентгенографиюисследуемой области, по возможности в двух взаимно перпендикулярных проекциях. Затем наружные края свищевого отверстия смазывают 5— 10% спиртовым раствором йода и с помощью шприца отсасывают содержимое свища, после чего вводят контрастное вещество, предварительно подогретое до температуры тела. Если процедура болезненна, следует проводить ее под местным обезболиванием. Добившись по возможности тугого заполнения свищевых ходов (без применения грубого давления), зажимают свищевое отверстие марлевым шариком, извлекают канюлю шприца и быстро заклеивают отверстие вместе с марлевым шариком липкимпластырем или клеолом. Затем производят рентгенографию в необходимых проекциях, выявляющих расположение свищевых ходов, после чего открывают наружное отверстие свища и освобождают свищ от контрастного вещества путем отсасывания, а если этого недостаточно, то путем промывания изотоническим раствором хлорида натрия, 2% раствором соды или стерилизованной водой.

7. Участие в операциях:







Date: 2015-07-01; view: 740; Нарушение авторских прав



mydocx.ru - 2015-2026 year. (0.736 sec.) Все материалы представленные на сайте исключительно с целью ознакомления читателями и не преследуют коммерческих целей или нарушение авторских прав - Пожаловаться на публикацию