Главная Случайная страница


Полезное:

Как сделать разговор полезным и приятным Как сделать объемную звезду своими руками Как сделать то, что делать не хочется? Как сделать погремушку Как сделать так чтобы женщины сами знакомились с вами Как сделать идею коммерческой Как сделать хорошую растяжку ног? Как сделать наш разум здоровым? Как сделать, чтобы люди обманывали меньше Вопрос 4. Как сделать так, чтобы вас уважали и ценили? Как сделать лучше себе и другим людям Как сделать свидание интересным?


Категории:

АрхитектураАстрономияБиологияГеографияГеологияИнформатикаИскусствоИсторияКулинарияКультураМаркетингМатематикаМедицинаМенеджментОхрана трудаПравоПроизводствоПсихологияРелигияСоциологияСпортТехникаФизикаФилософияХимияЭкологияЭкономикаЭлектроника






Диагностика состояния плода

Нарушение функционального состояния плода может быть вызвано различными осложнениями беременности и экстрагенитальными заболеваниями, приводящими, как правило, к гипоксии плода. Методы диагностики гипоксии плода зависят в большей мере от того, в какой период она осуществлена: беременность, 1 период родов или 2 период родов.

Диагностика гипоксии плода во время беременности основывается на результатах оценки его функционального состояния с использованием дополнительных методов.

К одному из признаков гипоксии внутриутробного плода относятся изменение его двигательной активности, ощущаемые беременной. В начальной стадии внутриутробной гипоксии отмечается усиление двигательной активности плода, при прогрессирующей гипоксии движения плода ослабевают, вплоть до их прекращения. Уменьшение числа движений плода до 3 и менее в течение 1 часа служит показанием к срочному дополнительному обследованию.

Одним из ведущих методов оценки состояния плода является кардиотокография.

При расшифровке КТГ анализируют базальную частоту, амплитуду и частоту мгновенных осцилляций, учитывают величину акцелераций, наличие децелераций.

К начальным признакам гипоксии плода во время беременности по данным КТГ относятся:

· снижение вариабельности сердечного ритма

· кратковременная монотонность ритма (до 50% записи)

· отсутствие акцелераций более чем за 40 мин. записи.

Для кардиотокограммы, отражающей, выраженную гипоксию плода, характерно:

· Базальный ритм менее 100 или более 170 в мин.

· Снижение вариабельности базального ритма

· Ареактивный НСТ

· Выраженные вариабельные децелерации

· Синусоидальный ритм продолжительностью 20 мин и более

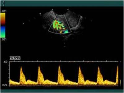
Помимо КТГ, в диагностике гипоксии плода во время беременности важное значение имеет допплерометрической оценке кровотока в системе мать-плацента-плод. Наиболее ценная информация о состоянии фетоплацентарного комплекса может быть получена при одновременном исследовании кровотока в обеих маточных артериях, артериях пуповины, во внутренних сонных или магистральных артериях головного мозга.

Допплерометрия в системе мать-плацента-плод (норма).О нарушении маточно-плацентарного кровообращения свидетельствует уменьшение диастолического кровотока в маточных артериях, о нарушении фетоплацентарного – снижение диастолического кровотока в артериях пуповины, нулевое или отрицательное их значение

Выраженные нарушения гемодинамики в маточной артерии.

«Нулевой» кровоток в артерии пуповины.

Отрицательный кровоток в артерии пуповины.
Для уточнения состояния плода во время беременности применяется амниоскопия – трансцервикальный осмотр нижнего полюса плодного пузыря., а также амниоцентез. При оценке околоплодных вод обращают внимание на цвет, консистенцию, примесь мекония или крови.

Амниоцентез

Диагностика состояния плода в родах основывается на результатах оценки его сердечной деятельности, дыхательной и двигательной активности, КОС крови из предлежащей части, характера околоплодных вод.

При определении состояния плода в родах на КТГ оценивают базальный ритм ЧСС, вариабельность кривой, а также характер медленных ускорений (акцелераций) и замедлений (децелераций) сердечного ритма.

В первом периоде родов к начальным признакам гипоксии плода относятся:

· Периодическая монотонность сердечного ритма

· Брадикардия до 100 ударов в 1 минуту

К признакам выраженной гипоксии плода во 1 периоде родов относятся

· Брадикардия до 80 уд. в минуту

· Стойкая монотонность ритма

· Длительные поздние децелерации.

·

Во 2 периоде родов начальными признаками гипоксии плода служат

· брадикардия до 90 или тахикардия до 180 уд. в мин.

· Периодическая монотонность ритма

· Поздние децелерации

В периоде изгнания к признакам выраженной гипоксии плода относятся

· Брадикардия до 80 уд. в 1 минуту

· Стойкая монотонность ритма

· Длительные поздние децелерации

·

Дыхательная или двигательная активность плода (при УЗИ) в активную фазу родов является дополнительным признаком гипоксии плода. Регулярная выраженная дыхательная активность плода как в первом, так и во втором периоде родов представляет собой угрозу аспирации околоплодных вод, что в дальнейшем может привести к развитию аспирационного синдрома у новорожденного.

О гипоксии плода в родах можно судить по окраске и густоте околоплодных вод. Окрашивание околоплодных вод меконием при головном предлежании всегда указывает на гипоксию плода. Наиболее неблагоприятной прогностическое значение имеют густые зеленые, желтовато-коричневые околоплодные воды, а также нарастание их густоты в процессе родов.


Предложенная с этой целью оценочная шкала позволяет прогнозировать мекониальную аспирацию.

Большой значение в выявлении гипоксии плода имеет исследование КОС крови, полученной из предлежащей части плода (проба Залинга).

 



<== предыдущая | следующая ==>
Обработка и интерпретация результатов. 1. Выясните по ключу, какие стратегии совладающего поведения вы используете чаще всего | ДИАГНОСТИКА степени обученности и уровней обучаемости ученика





Date: 2015-05-19; view: 2105; Нарушение авторских прав



mydocx.ru - 2015-2026 year. (1.152 sec.) Все материалы представленные на сайте исключительно с целью ознакомления читателями и не преследуют коммерческих целей или нарушение авторских прав - Пожаловаться на публикацию