Главная Случайная страница


Полезное:

Как сделать разговор полезным и приятным Как сделать объемную звезду своими руками Как сделать то, что делать не хочется? Как сделать погремушку Как сделать так чтобы женщины сами знакомились с вами Как сделать идею коммерческой Как сделать хорошую растяжку ног? Как сделать наш разум здоровым? Как сделать, чтобы люди обманывали меньше Вопрос 4. Как сделать так, чтобы вас уважали и ценили? Как сделать лучше себе и другим людям Как сделать свидание интересным?


Категории:

АрхитектураАстрономияБиологияГеографияГеологияИнформатикаИскусствоИсторияКулинарияКультураМаркетингМатематикаМедицинаМенеджментОхрана трудаПравоПроизводствоПсихологияРелигияСоциологияСпортТехникаФизикаФилософияХимияЭкологияЭкономикаЭлектроника






Исследование системы опоры и движения





 

 

Рис. 8.41. Методы исследования суставов

 

 

· КТ - компьютерная томография;

· МЯТ - магнитно-ядерная томография.


 

 

 

Рис. 8.42. Термограмма коленных суставов (артроз)

 

 

 

Рис. 8.43. Термограмма коленных суставов (артрит)

 


Тепловое действие невидимых инфракрасных лучей, излучаемых тканями суставов, регистрируется с помощью тепловизоров (термографов). Эти аппараты создают четкую картограмму поверхностной температуры тела, где «теплые» и «холодные» участки имеют различный цвет. Для определения точной количественной характеристики термограмм пользуются специальными стандартными эталонами. Учитываются такие показатели, как площадь симметричных и асимметричных участков, областей гипо- и гипертермии, степень однородности изотермических зон. Термограммы у здоровых людей характеризуются равномерным снижением уровня теплового излучения овальной формы с четкими контурами или наличием одного-двух светлых участков по внутренней стороне сочленения. Различия температуры в симметричных участках не превышают 0,5°С.

 

 

Рис. 8.44. Рентгенологические признаки болезней суставов

 


 

 

 

Рис. 8.45. Контрастная артрограмма

 

 

Все методы контрастного рентгенологического исследования суставов подразделяются на 4 основные группы: 1) пневмоартрография (негативный метод); 2) контрастная артрография (позитивный метод); 3) двойное контрастирование суставов (сочетание методов); 4) контрастная артротомография (сочетание негативной и позитивной артротомографии). · Пневмоартрографию используют для оценки степени выраженности изменений в синовиальных сумках крупных суставов. Кислород вводят в объеме 40-80 см3 (в зависимости от размера сустава). · Метод позитивной артрографии обеспечивает более высокое рентгеновское распознавание повреждений менисков. · При двойном контрастировании жидкие контрастные вещества распространяются во внутреннем пространстве артикулярной полости, а газообразная среда заполняет капсулу сустава. Благодаря такой комбинации обрисовываются все углубления сочленений и создается возможность изучать суставные поверхности хряща. Для двойного контрастирования в суставную полость вводят 20-30 см3 воздуха или кислорода и 8-10 мл жидкого йодистого контрастного вещества. · Во время контрастной артротомографии делают послойные снимки в зависимости от локализации патологического процесса (шаг томографии устанавливают от 5 до 15 мм).


 

 

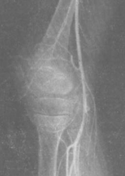
Рис. 8.46. Ангиоартрограмма

 

· Диагностику поражений околосуставных тканей проводят с помощью ангиоартрографии или регионарной артериографии. Данный метод применяют также при подозрении на суставную опухоль. Ангиографию осуществляют через открытый периферический сосуд. Серия рентгенограмм состоит из ~10 снимков, а общая продолжительность съемки составляет 40 секунд (фиксируют все фазы кровотока исследуемой области). Рентгенографию коленного сустава выполняют в боковой проекции. · Для оценки суставов позвоночника применяют компьютерную томографию, которая позволяет различать невидимые изменения мягкотканных и костных структур. Сканирование проводят в краниальном направлении срезами толщиной 2-5 мм. Одновременно изучают 1-2 сегмента в соответствии с рентгенологическими данными. Для обследования одного сегмента выполняют 6-12 срезов в зависимости от их толщины.


 

Рис. 8.47. Сцинтиграмма коленных суставов (левосторонний артрит)

 

 

 

Рис. 8.48. Сцинтиграмма крестцово-подвздошных сочленений

(двусторонний сакроилеит)


 

· К методам лучевой диагностики болезней суставов относится сцинтиграфия, с помощью которой оценивают распределение радиофармацевтического препарата (технеция) в артикулярных тканях. Уровень накопления изотопа в суставах прямо зависит от выраженности в них кровообращения. Радиоиндикатор имеет высокую тропность к кости и синовиальной оболочке. В связи с коротким периодом полураспада технеция (99mТс) лучевая нагрузка на организм незначительна. 99mТс вводят внутривенно из расчета 100 мкКи/кг массы тела больного. Сцинтиартрограммы получают в прямой и боковой проекциях спустя 3 часа после введения изотопа. У больных с сакроилеитом выявляется гиперфиксация радиофармпрепарата в области крестцово-подвздошных сочленений. Сцинтиграфия оказывается полезной для дифференциальной диагностики поражения позвоночника у больных с воспалительными и дегенеративными заболеваниями опорно-двигательного аппарата. · При радиоартрографии после внутрисуставного введения радиоактивных индикаторов скорость их выведения из здоровых и пораженных суставов различна. При данном методе исследования расчитывают следующие показатели: период максимального накопления радиопрепарата в суставах, максимальное количество изотопа, полученное суставом, степень асимметрии поглощения радиоиндикатора, период полувыведения радиопрепарата суставами. · Ультразвуковой метод диагностики болезней суставов обладает высокой информативностью, простотой выполнения и воспроизводимостью. С его помощью возможна оценка отека мягких периартикулярных тканей, количества жидкости в суставной полости и синовиальных сумках, характера изменений синовиальной оболочки, толщины суставного хряща, размеров подколенных кист, контуров костей, образующих сустав, уплотнений и разрывов сухожилий. · Наиболее важным дополнительным методом исследования коленных суставов является артроскопия (осмотр менисков, суставных хрящей и синовиальной оболочки с помощью специального прибора – артроскопа).


 


 







Date: 2015-05-19; view: 592; Нарушение авторских прав



mydocx.ru - 2015-2026 year. (0.443 sec.) Все материалы представленные на сайте исключительно с целью ознакомления читателями и не преследуют коммерческих целей или нарушение авторских прав - Пожаловаться на публикацию