Главная Случайная страница


Полезное:

Как сделать разговор полезным и приятным Как сделать объемную звезду своими руками Как сделать то, что делать не хочется? Как сделать погремушку Как сделать так чтобы женщины сами знакомились с вами Как сделать идею коммерческой Как сделать хорошую растяжку ног? Как сделать наш разум здоровым? Как сделать, чтобы люди обманывали меньше Вопрос 4. Как сделать так, чтобы вас уважали и ценили? Как сделать лучше себе и другим людям Как сделать свидание интересным?


Категории:

АрхитектураАстрономияБиологияГеографияГеологияИнформатикаИскусствоИсторияКулинарияКультураМаркетингМатематикаМедицинаМенеджментОхрана трудаПравоПроизводствоПсихологияРелигияСоциологияСпортТехникаФизикаФилософияХимияЭкологияЭкономикаЭлектроника






Транскрипция





 

 

Для того чтобы хранящаяся в ДНК информация могла быть использована, ее необходимо переписать (транскрибировать) в последовательность РНК. При этом ДНК служит только матрицей, т. е. она не меняется в процессе транскрипции. Транскрибируемые последовательности ДНК, т. е. участки ДНК, которые кодируют определенные белки, называются генами. Установлено, что геном млекопитающих содержит по крайней мере 50000 индивидуальных генов, которые вместе составляют менее 20% суммарной ДНК генома. Функция «избыточных» последовательностей ДНК до конца не установлена.

Транскрипция осуществляется ДНК-зависимыми РНК-полимеразами. Они действуют подобно ДНК-полимеразам, за исключением того, что включают во вновь синтезируемую цепь РНК (RNA) рибонуклеотиды вместо дезоксирибонуклеотидов и не нуждаются в праймерах. Эукариотические клетки обычно содержат по крайней мере три различных типа РНК-полимераз, РНК-полимераза I катализирует синтез РНК с коэффициентом седиментации 45S, которая служит предшественником трех различных рибосомных РНК. РНК-полимеразы II синтезируют гяРНК (hnRNA), которые служат предшественниками мРНК (mRNA) и мяРНК (snRNA). Наконец, РНК-полимераза III транскрибирует гены, которые кодируют тРНК (tRNA), 5S- рРНК (rRNA) и некоторые мяРНК. Эти РНК служат предшественниками функциональных РНК, которые образуются в процессе созревания РНК. РНК-полимераза II ингибируется α-аманитином (ядом бледной поганки).

 

Процесс синтеза РНК можно разделить на четыре основные стадии: 1) связывание РНК-полимеразы с промотором, 2) начало синтеза цепи РНК (инициация), 3) рост цепи РНК (элонгация), 4) завершение синтеза цепи РНК (терминация). Синтез молекул РНК начинается в определенных местах ДНК, называемых промоторами, и завершается в терминаторах. Участок ДНК, ограниченный промотором и терминатором, представляет собой единицу транскрипции (Lewin B., 1980) - транскриптон. В пределах каждого транскриптона копируется только одна из двух нитей ДНК, которая называется значащей или матричной.
Связывание РНК-полимеразы с промотором включает по крайней мере два этапа. На первом РНК-полимераза образует с промотором закрытый комплекс, в к-ром ДНК сохраняет двухспиральную структуру, а РНК-полимераза еще не способна начать синтез РНК. На втором закрытый комплекс превращается в открытый, в к-ром РНК-полимераза расплетает примерно один виток двойной спирали ДНК в районе стартовой точки-нуклеотида, с к-рого начинается комплементарное копирование матрицы.
Транскрипция начинается с 3'-конца промоторного участка и продолжается, пока не достигнет сайта полиаденилирования. РНК-полимераза II связывается с 3'-концом промоторного участка. Последовательность, обеспечивающая это связывание, так называемый ТАТА-бокс, короткий А- и Т-обогащенный участок, последовательность которого слегка варьирует у разных генов. Типичная последовательность (каноническая) —... ТАТААА.... Для взаимодействия полимеразы с этим участком необходимы несколько белков, основных факторов транскрипции. Определяющая черта факторов транскрипции — наличие в их составе одного или более ДНК-связывающих доменов, которые взаимодействуют с характерными участками ДНК, расположенными в регуляторных областях генов. По функциональному признаку принято различать три класса факторов транскрипции. К первому классу относятся основные факторы транскрипции, обеспечивающие нерегулируемый базальный уровень транскрипции и функционирующие в клетках всех типов. Ко второму классу относятся факторы транскрипции, специфически взаимодействующие с определенными последовательностями ДНК, которые являются основными регуляторами транскрипции и обеспечивают тканеспецифическую экспрессию генов. Третий класс факторов транскрипции (в том числе многочисленные TAF-белки (TAB-associated factors)) представлен белками - коактиваторами транскрипции, которые действуют согласованно с основными и тканеспецифическими факторами, обеспечивая более тонкую регуляцию транскрипции. Дополнительные факторы могут либо стимулировать, либо ингибировать процесс транскрипции. После инициации синтеза, РНК-полимераза движется в направлении 3'→5' матричной цепи. В процессе инициации фермент разделяет короткий участок двойной спирали ДНК на две отдельные цепочки. Нуклеозидтрифосфаты связываются комплементарно на кодирующей цепочке ДНК водородными связями и шаг за шагом присоединяются к растущей молекуле РНК (3). Вскоре после начала элонгации 5'-конец транскрипта защищается «кэпом» (от англ. cap). Считают, что в процессе элонгации примерно 13 нуклеотидов РНК образуют гибридную спираль с матричной нитью расплетенной ДНК (всего на этой стадии в ДНК расплетено примерно 18 нуклеотидов). По мере движения РНК-полимеразы по матрице впереди нее происходит расплетание, а позади восстановление двойной спирали ДНК. Одновременно происходит вытеснение очередного звена растущей цепи РНК из комплекса с матрицей. На стадии злонгации в состав транскрибирующего комплекса входит ряд дополнит. белков, от к-рых зависит протекание завершающей стадии транскрипции -терминации. Один из таких белков, кодируемых геном nusA E. coli, занимает в РНК-полимеразе место s-субъединицы. Др. бактериальный фактор терминации r взаимод. с РНК. Терминация транскрипции, как правило, происходит в строго определенных участках матрицы - терминаторах, в к-рых от матрицы отделяются РНК и РНК-полимераза; последняя, объединившись со свободной s-субъединицей, может вступить в следующий цикл транскрипции.
В терминаторах нуклеотидная последовательность характеризуется двумя особенностями: по ходу транскрипции перед точкой терминации расположен участок, богатый парами dG-dC (дезоксигуанозин-дезоксицитидин), а затем участок, состоящий из 4-8 расположенных подряд остатков дезоксиадениловой к-ты (сайт полиаденилирования - …ААТААА…). Предполагают, что после прохождения РНК-полимеразой участка, богатого dG-dC, в РНК возникает шпилька, к-рая препятствует продвижению фермента и разрушает часть спирали РНК-ДНК транскрибирующего комплекса. Оставшаяся часть гибридной спирали, включающая концевую полиуридиловую последовательность РНК, легко плавится (разрушается) ввиду крайней нестабильности комплементарной пары уридин-дезоксиаденозин, что и приводит к освобождению РНК




 

7. НУКЛЕИНОВЫЕ КИСЛОТЫ ДНК и РНК(полинуклеотиды) - биополимеры, осуществляющие хранение и передачу генетич. информации во всех живых организмах, а также участвующие в биосинтезе белков. Первичная структура нуклеиновых кислот представляет собой последовательность остатков нуклеотидов. Последние в молекуле нуклеиновых кислот образуют неразветвленные цепи. В зависимости от природы углеводного остатка в нуклеотиде (D-дезоксирибозы или D-рибозы) нуклеиновые кислоты подразделяют соотв. на дезоксирибонуклеиновые (ДНК) и рибонуклеиновые (РНК) к-ты. В молекуле ДНК гетероциклы, входящие в остаток нуклеотида, представлены двумя пуриновыми основаниями - адeнином (А) и гуанином (G), и двумя пиримидиновыми основаниями - тимином (Т) и цитозином (С); РНК вместо Т содержит урацил (U). Кроме того, в нуклеиновых кислотах в небольших кол-вах обнаруживаются модифицированные (в осн. метилированные) остатки нуклеозидов- т. наз. минорные нуклеозиды, к-рыми особенно богаты транспортные рибонуклеиновые кислоты (тРНК). Отдельные нуклеотидные остатки связаны между собой в полинуклеотидных цепях 3'-5'-фосфодиэфирными связями (см. ф-лу). Стандартная запись нуклеотидной последовательности осуществляется в направлении от 5'-конца к 3'-концу (каждый нуклеотид обозначают буквой, присвоенной основанию, к-рое он содержит; напр., последовательность приведенного участка ДНК записывается как ACGT).

Пространственная структура ДНК описывается как комплекс двух полинуклеотидных антипараллельных цепей (рис. 1), закрученных относительно общей оси, так что углевод-фосфатные цепи составляют периферию молекулы, а азотсодержащие гетероциклы направлены внутрь (д в о й н а я с п и р а л ь У о т с о н а-К р и к а). Антипараллельность полинуклеотидных цепей выражается в том, что на одном и том же конце спирали одна полинуклеотидиая цепь содержит (незамещенную или замещенную) группу 5'-ОН, а другая 3'-ОН. Фундам. св-во двойной спирали ДНК состоит в том, что ее цепи комплементарны друг другу вследствие того, что напротив А одной цепи всегда находится Т другой цепи, а напротив G всегда находится С. Комплементарное спаривание А с Т и G с С осуществляется посредством водородных связей. Классич. двойная спираль Уотсона-Крика получила назв. В-формы ДНК. Она правозакрученная, плоскости гетероциклич. оснований перпендикулярны оси спирали, а число пар остатков нуклеотидов на один виток спирали равно примерно 10; расстояние между витками 3,4 нм. При изменении ионной силы и состава р-рителя двойная спираль изменяет свою форму и даже может превращ. в левозакрученную спираль (т.наз. Z-форму), к-рая содержит в одном витке ок. 12 остатков нуклеотидов. При дегидратации В-формы образуется А-форма ДНК-правозакрученная двойная спираль, содержащая в одном витке ок. 11 остатков нуклеотидов, плоскости гетероциклич. оснований повернуты примерно на 20° относительно перпендикуляра к оси спирали. Двойная спираль ДНК способна денатурировать (напр., при повышении т-ры) с полным расхождением комплементарных цепей, к-рые сохраняют способность к ассоциации с восстановлением (рекатурацией) двойной спирали при возвращении к исходным условиям. Подробно изучены также кон-формации фрагментов ДНК.
Установлено, чго молекула ДНК в клетке представляет собой совокупность генов, регуляторных участков (последовательностей, связывающихся с регуляторными белками и управляющих уровнем экспрессии генов), районов, участвующих в организации генов в хромосомах, а также последовательностей, ф-ции к-рых еще не известны. У прокариот (бактерии и синезеленые водоросли) ДНК организована в виде компактного образования-н у к л е о и-д а, к-рый содержит всю хромосомную ДНК клетки длиной в неск. миллионов пар нуклеотидов (м.п.н.). Кроме того, у мн. прокариот и эукариот (все организмы, за исключением прокариот) обнаружены нехромосомные ДНК (т. наз. плаз-миды)размером от неск. тысяч пар нуклеотидов (т.п.н.) до неск. десятков т.п.н. (м.п.н. и т.п.н.-принятые единицы длины двухцепочечной молекулы нуклеиновых кислот)- Мн. ДНК образуют кольцевые структуры. В том случае, если обе полинуклеотидные цепи ДНК ковалентно непрерывны, ДНК может находиться в сверхспирализованной (сверхскрученной) форме (рис. 2). В клетках сверхспирализация осуществляется ферментами ДНК-гиразами (топоизомеразами II). Хромосомные ДНК эукариот локализованы в клеточном ядре, где вместе с гистонами и негистоновыми белками образуют хроматин -ну-клеопротеид, из к-рого организованы хромосомы. Размеры ДНК в отдельных эукариотич. хромосомах колеблются в широких пределах-от 103 до 105 т.п.н. 3058-15.jpg



 

Рис.2. Сверхспирализация двухцепочечной кольцевой ДНК под действием ДНК-гиразы: 1 - кольцевая форма ДНК; 2 - сверхспирализованная форма ДНК.


 

8. Рибонуклеиновые кислоты РНК принимают участие во всех стадиях процесса генной экспрессии и биосинтеза белка (см. с. 234). Свойства наиболее важных видов РНК приведены в таблице. Кроме того, здесь схематически показаны вторичные структуры молекул РНК. В отличие от ДНК, РНК не образуют двойных спиралей, но содержат короткие участки со спаренными основаниями (см. с. 90). Это приводит к образованию субструктур, которые при двумерном изображении напоминают «шпильки» и петли, образующие фигуру типа «кленового листа». В таких структурах двухцепочечные участки соединены петлями. Множество фрагментов, в которых чередуются структуры типа шпилька—петля, содержится в высокомолекулярных РНК, таких, например, как рибосомная 16S-рРНК (16S-rRNA) (в центре). Кроме того, эти фрагменты образуют трехмерные структуры; следовательно, РНК подобно белкам имеют четвертичную структуру. До настоящего времени установлена четвертичная структура небольших PHK, прежде всего тРНК (tRNA). Из иллюстраций, приведенных на схеме Б и на с. 93 очевидно, что трехмерная укладка структуры типа «кленовый лист» окончательно не установлена. PHK клетки существенно различаются по размерам, строению и продолжительности существования. Преобладающую часть представляют рибосомные РНК [рРНК (rRNA)], которые в различных формах составляют структурный и функциональные части рибосом (см. с. 246). Рибосомные РНК синтезируются в ядре в процессе транскрипции на ДНК, там же подвергаются процессингу и ассоциируют с рибосомными белками, образуя рибосому (см. сс. 210, 240). Приведенная на схеме А бактериальная 16S-рРНК, включающая 1542 нуклеотида, является компонентом малой рибосомной субчастицы, в то время как небольшая 5S-рРНК (из 120 нуклеотидов) входит в состав большой субчастицы. Матричная РНК [мРНК (mRNA)] переносит генетическую информацию из клеточного ядра в цитоплазму. Ее транскрипты также сильно модифицируются в ядре (созревание мPHK, см. с. 242) Так как мРНК считывается на рибосоме кодон за кодоном она не должна складываться в стабильную третичную структуру. Спариванию оснований препятствуют белки, ассоциированные с мРНК. Из-за различного объема информации, которую могут нести мРНК, РНК этого типа сильно варьируют по размерам. Для мРНК характерно короткое время жизни, так как они быстро распадаются после трансляции. В сплайсинге предшественников мРНК (см. с. 242) принимают участие малые ядерные РНК [мяРНК (snRNA, от англ. small nuclear RNA)]. Они ассоциированы c рядом белков, образуя «сплайсомы».

Транспортные РНК (tRNAPhe) участвуют в процессе трансляции в качестве промежуточного связующего звена между нуклеиновыми кислотами и белками. Это небольшие молекулы РНК из 70-90 нуклеотидов, которые с помощью своих антикодонов "узнают" за счет спаривания оснований определенные кодоны на мРНК. На 3'-конце (ССА-3') они несут ту аминокислоту, которая согласно генетическому коду соответствует очередному кодону мРНК (см. c. 244). Последовательность оснований и третичная структура фенилаланинспецифичной тРНК (tRNAPhe) из дрожжей являются типичными для всех тРНК. В молекуле этой тРНК (см. также с. 93) содержится довольно много минорных и модифицированных оснований (1, выделены темно-зеленым цветом). К ним относятся псевдоуридин (ψ), дигидроуридин (D), тимидин (T), встречающийся обычно в ДНК, а также множество метилированных нуклеотидов, таких, например, как 7-метилгуанидин (m7G) и входящий в состав антикодона 2'-О-метилгуанидин (m2G). Конформацию молекулы стабилизируют многочисленные пары оснований, часть из которых не соответствуют общим принципам спаривания оснований (2) (неканонические пары).


 

 

РИБОСОМНЫЕ РИБОНУКЛЕИНОВЫЕ КИСЛОТЫ (рРНК), основные структурные и функцион. компоненты рибосом, в составе к-рых они участвуют в биосинтезе белка. Пространств. структура рРНК определяет форму рибосом, многие их физ.-хим. св-ва, а также специфическое расположение рибосомных белков в субчастицах рибосом. рРНК составляют осн. массу (более 80%) РНК любой клетки. Малые субчастицы рибосом содержат одну молекулу рРНК длиной от 950 до 1900 нуклеотидных остатков (в зависимости от вида организма и размеров малой субчастицы). Напр., субчастица 30S (имеет константу седиментации 30 единиц Сведберга) рибосомы бактерии Escherichia coli (E. coli) содержит 16S рРНК, состоящую из 1542 нуклеотидных остатков. В больших субчастицах рибосом содержится две молекулы рРНК-длиной 120 (т. наз. 5S РНК) и длиной 2000-4800 нуклеотидных остатков (23S рРНК). В 50S субчастице рибосом E. coli 23S рРНК содержит 2094 нуклеотидных остатка. Кроме того, с 28S рРНК эукариот ассоциирована т. наз. 5,88 рРНК, представляющая собой отдельный 5'-кон-цевой фрагмент этой рРНК. Подавляющее большинство известных рРНК представляет собой ковалентно-непрерывную полинуклеотидную цепь. Однако у нек-рых бактерий и простейших обнаружены рРНК, построенные из крупных фрагментов, ассоциированных с помощью вторичных (нековалентных) взаимодействий. Известна полная нуклеотидная последовательность рРНК множества микроорганизмов, растений и животных. Ее обычно устанавливают секвенированием (см. Нуклеиновые кислоты)т. наз. рибосомных ДНК (рДНК). Последние получают клонированием соответствующих генов рРНК, к-рое включает стадию гибридизации хромосомной, мито-хондриальной или хлоропластной ДНК с индивидуальными рДНК. Наряду с обычными основаниями (A, G, С и U-соотв. аденин, гуанин, цитозин и урацил) рРНК содержат небольшое кол-во минорных (метилированных) оснований. Полагают, что рРНК представляют собой совокупность коротких однотяжевых и двухспиральных участков. Последние образуются в результате комплементарного спаривания (см. Комплементарность) соседних или достаточно удаленных друг от друга участков одной и той же полинуклеотид-ной цепи. При этом наряду с канонич. уотсон-криковскими парами в двухспиральных участках встречаются пары G-U, G-A и А-С. Способы укладки полинуклеотидных цепей рРНК в специфич. вторичные структуры отличаются исключит. эволюц. консервативностью. рРНК одного типа независимо от источника выделения и несмотря на большое различие в нуклеотидных последовательностях характеризуется универсальным способом организации вторичной структуры. Во вторичной структуре каждого из типов рРНК можно выявить определенные домены (самостоятельно организованные области), к-рые также универсальны для данного типа рРНК. Исходя из сходства в морфологии субчастиц рибосом разл. организмов, а также из универсальности их ф-ций можно полагать, что каждый из типов рРНК имеет также универсальную третичную структуру. В рибосомных субчастицах рРНК характеризуется исключительно компактной упаковкой, к-рая создается с помощью ионов двухвалентных металлов (гл. обр. Mg2+) и рибосомных белков. При этом осн. часть рРНК располагается внутри рибосомных субчастиц. Отдельные участки рРНК находятся на пов-сти субчастиц. Они выполняют важную биол. роль, формируя функцион. центры рибосом (центры связывания матричных и транспортных РНК и белковых факторов трансляции). Индивидуальные рРНК в препаративных кол-вах получают из изолир. субчастиц рибосом или ультрацентрифугированием суммарной РНК в градиенте концентрации сахарозы. Для аналит. целей индивидуальные рРНК м.б. получены с помощью электрофореза в полиакриламидном геле.

Рибосомная РНК составляет большую долю (до 80%) всей клеточной РНК, такое количество рРНК требует интенсивной транскрипции кодирующих её генов. Такая интенсивность обеспечивается большим количеством копий кодирующих рРНК генов: у эукариот насчитывается от нескольких сотен (~200 у дрожжей) до десятков тысяч (для различных линий хлопка сообщалось о 50 - 120 тыс. копий) генов, организованных в массивы тандемных повторов.

У человека гены, кодирующие рРНК, также организованы в группы тандемных повторов, расположеннных в центральных областях короткого плеча 13, 14, 15, 21 и 22-й хромосом.

Синтезируются РНК-полимеразой I в виде длинной молекулы пред-рибосомальной РНК, которая разрезается на отдельные РНК, составляющие основу рибосом. У бактерий и архей начальный транскрипт обычно включает 16S, 23S и 5S рРНК, между которыми находятся удаляемые в процессе обработки пре-рРНК последовательности. Обычно между 16S и 23S рРНК генами расположен один или несколько генов тРНК; так, у E. coli начальный транскрипт такой группы генов имеет следующую последовательность:

(16S рРНК) - (1-2 тРНК) - (23S рРНК) - (5S рРНК) - (0-2 тРНК)

Такой транскрипт расщепляется на фрагменты пред-рРНК и тРНК ферментом рибонуклеазой III.

У эукариот 18S, 5.8S и 25/28 рРНК ко-транскрибируются РНК-полимеразой I, в то время как ген 5S рРНК транскибируется РНК-полимеразой III.

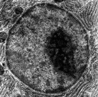
У эукариот места сосредоточения генов, кодирующих рРНК, обычно хорошо заметны в ядре клетки, благодаря скоплению вокруг них субъединиц рибосом, самосборка которых происходит тут же. Эти скопления хорошо прокрашиваются цитологическими красителями и известны под названием ядрышко. Соответственно, наличие ядрышек характерно не для всех фаз клеточного цикла: при делении клетки в профазе ядрышко диссоциирует, поскольку синтез рРНК приостанавливается и вновь образуется в конце телофазы при возобновлении синтеза рРНК.

Рис. Микрофотография клеточного ядра с ядрышком (тёмное образование) - местом синтеза рРНК и сборки рибосомных субчастиц


Рис. Биосинтез белка на рибосоме.

Матричная РНК. Жизненный цикл в клетке: Жизненный цикл молекулы мРНК начинается её «считыванием» с матрицы ДНК (транскрипция) и завершается её деградацией до отдельных нуклеотидов. Молекула мРНК в течение своей жизни может быть также «отредактирована» перед синтезом белка (трансляцией). Эукариотические молекулы мРНК часто требуют сложной обработки и транспортировки из ядра — места синтеза мРНК, в цитоплазму, где происходит трансляция, в то время как прокариотические молекулы мРНК этого не требуют и синтез РНК у них сопряжён с синтезом белка.

 

Схема строения зрелой эукариотической мРНК

 


9. ГЕН (от греч. genos-род, происхождение), участок молекулы ДНК (в нек-рых случаях РНК), в к-ром закодирована информация о биосинтезе одной полипептидной цепи с определенной аминокислотной последовательностью. Ген-единица наследств. материала, обеспечивающая формирование к.-л. признака организма и его передачу в ряду поколений. Контролируют все клеточные процессы на молекулярном уровне, обеспечивая биосинтез белков, в первую очередь ферментов. Если белок состоит из более чем одной полипептидной цепи, синтез каждой из них контролируется самостоятельным геном. Для гена характерна определенная последовательность нуклеотидов, образующих набор триплетов (см. Генетический код). Последние определяют порядок расположения аминокислот в молекуле белка. Сам ген не принимает непосредств. участия в его синтезе. ДНК служит лишь матрицей для построения (транскрибирования) молекулы матричной, или информационной, РНК (соотв. мРНК, или иРНК), в к-рую передается код гена (см. Транскрипция). В рибосомах осуществляется "перевод" кода мРНК в аминокислотную последовательность синтезируемого на них белка (трансляция). Благодаря биол. действию синтезируемых белков осуществляется экспрессия гена, т.е. развитие определяемого им признака. Между геном и признаком организма не существует простого соотношения. Все сложные признаки (напр., способность слышать) контролируются многими генами. Вместе с тем один ген способен оказывать влияние на развитие сразу неск. признаков. Ген может существовать в неск. формах (аллелях), определяющих разл. варианты контролируемого им признака, напр. цвет глаз. Аллели обусловливают явление доминирования, когда качеств. выражение признака у потомства соответствует аллельной форме только одного из родителей. Такая аллель отражает доминантное состояние гена. Альтернативная форма, проявление к-рой подавляется в потомстве, наз. рецессивной. Разные аллели одного и того же гена возникают благодаря мутациям-наследуемым изменениям в структуре исходного гена. В норме ген чрезвычайно стабилен и при удвоении хромосом во время репликации ДНК воспроизводится совершенно точно; вероятность ошибки не превышает 10-8. Мутации происходят редко и обычно влекут за собой неблагоприятные последствия для организма, т. к. нарушается его способность синтезировать нормальный белок. Однако в целом это явление играет положит. роль: накопление редких полезных мутаций создает основу генетич. изменчивости, необходимой для эволюции. Гены, контролирующие разные признаки, иногда передаются потомству независимо друг от друга. Это происходит в том случае, если они находятся в разных хромосомах. Когда гены находятся в одной хромосоме, они обычно передаются потомству вместе (т. наз. сцепление генов). Это правило может нарушаться из-за кроссинговера (см. Рекомбинация генетическая), когда при образовании половых клеток отцовские и материнские хромосомы разрываются и образовавшиеся концы соединяются крест-накрест. После рекомбинации гены, первоначально находившиеся в одной хромосоме, оказываются в разных. Существование кроссинговера между гомологичными хромосомами позволяет определять относительное расположение гена на хромосоме, т.е. составлять генные карты; чем дальше друг от друга в цепи ДНК отстоят к.-н. два гена, тем чаще между ними происходит кроссинговер. Последний возможен не только между хромосомами, но и внутри одного гена. Это явление используется для изучения внутригенной топографии. Ген функционирует в клетке в составе генной регуляторной системы. В зависимости от выполняемой ф-ции различают структурные гены, кодирующие б. ч. белков клетки, и регуляторные, ответственные за синтез белков-регуляторов, контролирующих активность структурных генов. Механизм генетич. контроля синтеза белка окончательно не выяснен. Предполагают, что у бактерий значит. часть генов объединена в группы, контролирующие отдельные метаболич. пути (серии взаимосвязанных обменных р-ций) и образующие единые функциональные блоки. Не все гены хромосомы функционируют одновременно. Существуют механизмы, "включающие" или "выключающие" гены в соответствии с потребностями клетки, к-рые контролируются особыми соед.-репрессорами и индукторами. Их способность одновременно регулировать синтез неск. белков связывают с тем, что соответствующие гены примыкают друг к другу. У эукариот кроме ядерных генов, локализованных в хромосомах, существуют внехромосомные гены, находящиеся в некоторых клеточных органеллах, напр. в митохондриях и пластидах. Эти гены несут информацию для синтеза важных ферментов, ответственных за энергетич. обмен клетки. У бактерий гены содержатся в одной хромосоме и автономных генетич. элементах - плазмидах и эписомах, представляющих собой замкнутые кольцевые молекулы ДНК. В отличие от плазмид, эписомы могут встраиваться в хромосомы и покидать их. Размер плазмид необычайно широко варьирует. Нек-рые из них содержат 1-3 гена, тогда как размеры других составляют 10-20% от величины хромосомы и содержат сотни генов. В плазмидах расположены гены, обеспечивающие устойчивость бактерий к антибиотикам. Бактериальные гены состоят в среднем из 900-1500 нуклеотидов, расположенных линейно. Мол. масса среднего по размеру гена для разл. микроорганизмов колеблется в пределах от 0,5*106 до 1*106. Гены эукариот принципиально отличаются от бактериальных. Внутри них последовательности нуклеотидов ДНК, несущие информацию для синтеза белка, не непрерывны, а разделены в одном или неск. местах участками, не кодирующими последовательность аминокислот. Такой прерывистый ген транскрибируется весь подряд, а из образовавшейся РНК удаляются некодирующие участки. Области, соответствующие кодирующей части гена, сшиваются с образованием мРНК (т. наз. сплайсинг). Термин "ген" впервые предложил В. Иогансен в 1909 для обозначения дискретных наследств. факторов, открытых Г. Менделем в 1865.

Для регулярного правильного считывания информации в гене должны присутствовать: кодон инициации, множество смысловых кодонов и кодон терминации. Три подряд расположенных нуклеотида представляют собой кодон, который и определяет, какая аминокислота будет располагаться в данной позиции в белке. Например, в молекуле ДНК последовательность оснований ТАС является кодоном для аминокислоты метионина, а последовательность ТТТ кодирует фенилаланин. В молекуле иРНК вместо тимина (Т) присутствует основание урацил (У). Таблица генетического кода во всех руководствах представлена именно символами иРНК. Из 64 возможных кодонов смысловыми являются 61, а три триплета - УАА, УАГ, УГА - не кодируют аминокислоты и поэтому были названы бессмысленными, однако на самом деле они представляют собой знаки терминации трансляции.

Для прокариот характерна относительно простая структура генов. Так, структурный ген бактерии, фага или вируса, как правило, контролирует одну ферментативную реакцию. Специфичным для прокариот является оперонная система организации нескольких генов. Гены одного оперона (участка генетического материала, состоящего из 1, 2 и более сцепленных структурных генов, которые кодируют белки (ферменты), осуществляющие последовательные этапы биосинтеза какого-либо метаболита; расположены в кольцевой хромосоме бактерии рядом и контролируют ферменты, осуществляющие последовательные или близкие реакции синтеза (лактозный, гистидиновый и др. опероны).

Эукариотические гены, в отличие от бактериальных, имеют прерывистое мозаичное строение. Кодирующие последовательности (экзоны) перемежаются с некодирующими (интронами). С точки зрения развития организма структура интрон-экзон ценна тем, что позволяет одной нуклеотидной последовательности кодировать синтез более одного белка. Сейчас известны случаи, когда интроны в разных тканях режутся по-разному, и в результате синтезируются разные белки с разными функциями. Поэтому такая структура предоставляет возможность осуществить рост новых типов клеток с минимальным изменением информации.

Еще сложнее закодирована генетическая информация у вирусов. У многих из них обнаружены перекрывающиеся гены: один и тот же участок ДНК может транскрибироваться с разных стартовых точек.

Экспрессию, или «включенность», генов контролируют последовательности на участках ДНК, примыкающих к кодирующей последовательности, но не входящих в нее. Мутации в контролирующих участках могут привести к утрате геном функции, точно так же как и мутации внутри кодирующей последовательности. Поэтому, если выделять ген по критерию мутации, приходится признать, что контролирующие участки тоже относятся к гену.

Наряду со структурными и регуляторными генами обнаружены участки повторяющихся нуклеотидных последовательностей, функции которых изучены недостаточно, а также мигрирующие элементы (мобильные гены), способные перемещаться по геному. Найдены также так называемые псевдогены у эукариот, которые представляют собой копии известных генов, расположенные в других частях генома и лишенные интронов или инактивированные мутациями.







Date: 2015-09-02; view: 1709; Нарушение авторских прав



mydocx.ru - 2015-2026 year. (0.491 sec.) Все материалы представленные на сайте исключительно с целью ознакомления читателями и не преследуют коммерческих целей или нарушение авторских прав - Пожаловаться на публикацию