Главная Случайная страница


Полезное:

Как сделать разговор полезным и приятным Как сделать объемную звезду своими руками Как сделать то, что делать не хочется? Как сделать погремушку Как сделать так чтобы женщины сами знакомились с вами Как сделать идею коммерческой Как сделать хорошую растяжку ног? Как сделать наш разум здоровым? Как сделать, чтобы люди обманывали меньше Вопрос 4. Как сделать так, чтобы вас уважали и ценили? Как сделать лучше себе и другим людям Как сделать свидание интересным?


Категории:

АрхитектураАстрономияБиологияГеографияГеологияИнформатикаИскусствоИсторияКулинарияКультураМаркетингМатематикаМедицинаМенеджментОхрана трудаПравоПроизводствоПсихологияРелигияСоциологияСпортТехникаФизикаФилософияХимияЭкологияЭкономикаЭлектроника






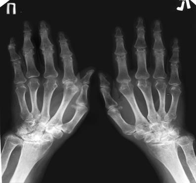
Экзаменационная задача №1. Больная Е. , 34 лет, поступила в клинику с жалобами на интенсивные боли, припухлость и ограничение движения в мелких суставах кисти





Больная Е., 34 лет, поступила в клинику с жалобами на интенсивные боли, припухлость и ограничение движения в мелких суставах кисти, лучезапястных, голеностопных суставах, повышение температуры до 38°С, общую слабость, похудание.

Заболевание началось пять лет назад, когда после перенесенного ОРВИ появились боли и припухлость проксимальных межфаланговых суставах кисти, повысилась температура тела до 37,7°С. Затем постепенно появилась утренняя скованность. Принимала аспирин, ортофен после чего боли несколько уменьшились, однако утренняя скованность сохранялась. Самочувствие ухудшилось около 1,5 месяца назад, когда после охлаждения усилились боли в мелких суставах кисти, появились боль и припухлость лучезапястных, голеностопных суставов, слабость, повысилась температура тела.

Объективно: состояние средней тяжести, температура тела 38,3°С. Пальпируются периферические лимфоузлы, размером с фасоль. Значительная деформация суставов кисти по типу "шеи лебедя", "пуговичной петли", ульнарная девиация кистей. Гиперемия кожи над мелкими суставами кисти, лучезапястными, голеностопными суставами. Объем движений в пораженных суставах ограничен. Мышцы предплечья, кисти, голени атрофированы. На разгибательной поверхности предплечья в области локтевых суставов пальпируются плотные подвижные безболезненные узелки размером 1,5 см. Границы сердца в пределах нормы, тоны ясные, пульс ритмичный, 80 в мин.

OAK: Эр 3,4-10'2/л, Нь 85 г/л, L 15,4-10°/л, СОЭ 50 мм/ч.

Рис.1. Рентгенография кустей рук больной Е., 34 г.

ВОПРОСЫ:

1. Сформулируйте и обоснуйте диагноз.







Date: 2015-07-27; view: 934; Нарушение авторских прав



mydocx.ru - 2015-2026 year. (0.406 sec.) Все материалы представленные на сайте исключительно с целью ознакомления читателями и не преследуют коммерческих целей или нарушение авторских прав - Пожаловаться на публикацию