Главная Случайная страница


Полезное:

Как сделать разговор полезным и приятным Как сделать объемную звезду своими руками Как сделать то, что делать не хочется? Как сделать погремушку Как сделать так чтобы женщины сами знакомились с вами Как сделать идею коммерческой Как сделать хорошую растяжку ног? Как сделать наш разум здоровым? Как сделать, чтобы люди обманывали меньше Вопрос 4. Как сделать так, чтобы вас уважали и ценили? Как сделать лучше себе и другим людям Как сделать свидание интересным?


Категории:

АрхитектураАстрономияБиологияГеографияГеологияИнформатикаИскусствоИсторияКулинарияКультураМаркетингМатематикаМедицинаМенеджментОхрана трудаПравоПроизводствоПсихологияРелигияСоциологияСпортТехникаФизикаФилософияХимияЭкологияЭкономикаЭлектроника






Гигантоклеточная опухоль (остеокластома)





Гигантоклеточная опухоль имеет гистогенетическое различие с другими костными новообразования­ми, может поражать различные кости скелета. Встречается в 25% случаев от всех костных опухолей и опухолеподобных по­ражений челюстных костей. Чаще поражается тело нижней челюсти в области премоляров. Она является истинной доброкачественной опухолью, т.к. для нее характерно: солитарное поражение, по­стояный рост, возможность рецидивов, озлокачествления и метастазирования.

Опухоль развивается внутрикостно, отмечается характерный кровоток с образованием в центре ее кровяных "озера", с замедленным движением крови.

Клиника. На ранних этапах опухоль клинически себя не проявляет. Обнаруживается по выбуханию челюсти (в вестибулярную, реже язычную и небную стороны) и подвижности зубов, или случайно при рентгенологическом обследовании. Опухоль растет медленно, безболезненно. Покровные ткани над опухолью не изменяются, однако возможен цианоз слизистой оболочки. При пальпации определяется плотное, гладкое или бугристое безболезненное образование, подвижность и смещение зубов.

При пункции получают кровянисто-бурую жидкость, без холестериновых кристаллов.

Патанатомия. Макроскопически гигантоклеточная опухоль представлена обильно кровоточащим мягкотканным образованием красно-бурого цвета.

Микроскопически обнаруживается богато васкуляризованная ткань, состоящей из веретенообразных или овоидных клеток и много­численных патологических гигантских клеток типа остеокластов, которые равномерно распределены по опухолевой ткани, небольшое количество коллагена.

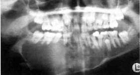
Рентгенологическая картина. Различают три формы остеокластомы. Ячеистая форма представлена множеством мелких полостей, разделенных костными перегородками. При кистозной форме наблюдается очаг разрежения с чет­кими границами. Литическая форма опухоли, представлена бесструктурным очагом разрежения и лизисом корти­кальных пластинок. Возможна промежуточ­ная картина ячеистой и кистозной разновидностей опухоли.

Дифференциальную диагностику проводятсамелобластомой, миксомой, радикулярной кистой, саркомой и другими костными опухолями.

Лечение хирургическое, заключается в удалении опухоли в преде­лах здоровых тканей, по возможности, с одномоментной костной пласти­кой. Лучевая терапия противопоказана.







Date: 2015-07-02; view: 672; Нарушение авторских прав



mydocx.ru - 2015-2026 year. (0.979 sec.) Все материалы представленные на сайте исключительно с целью ознакомления читателями и не преследуют коммерческих целей или нарушение авторских прав - Пожаловаться на публикацию