Главная Случайная страница


Полезное:

Как сделать разговор полезным и приятным Как сделать объемную звезду своими руками Как сделать то, что делать не хочется? Как сделать погремушку Как сделать так чтобы женщины сами знакомились с вами Как сделать идею коммерческой Как сделать хорошую растяжку ног? Как сделать наш разум здоровым? Как сделать, чтобы люди обманывали меньше Вопрос 4. Как сделать так, чтобы вас уважали и ценили? Как сделать лучше себе и другим людям Как сделать свидание интересным?


Категории:

АрхитектураАстрономияБиологияГеографияГеологияИнформатикаИскусствоИсторияКулинарияКультураМаркетингМатематикаМедицинаМенеджментОхрана трудаПравоПроизводствоПсихологияРелигияСоциологияСпортТехникаФизикаФилософияХимияЭкологияЭкономикаЭлектроника






Классификация заболеваний пародонта





Особенности заболеваний пародон­та у детей:

• ведущим признаком является воспаление;

• отложение зубного камня встре­чается редко (в основном у стар­шеклассников);

• с возрастом распространенность заболеваний нарастает;


Км


• у детей почти не встречаются чис­то дистрофические процессы (за исключением наследственного заболевания, сопровождающегося преждевременным старением).

В клинике стоматологии детского возраста до настоящего времени используется классификация болез­ней пародонта, принятая на XVI пленуме Всесоюзного научного об­щества стоматологов в 1983 г.:

I. Гингивит.

Формы: катаральный, гипертро­фический, язвенный.

Течение: острое, хроническое, обострившееся.

Распространенность: локализо­ванный, генерализованный.

II. Пародонтит (воспалительно-
дистрофическое поражение).

Течение: острое, хроническое, обострившееся.

Степень тяжести: легкая, сред­няя, тяжелая.

Распространенность: локализо­ванный, генерализованный.

III. Парадонтоз — дистрофичес­кое поражение пародонта.

IV. Идиопатические заболевания с прогрессирующим лизисом тканей пародонта (на фоне врожденных и приобретенных заболеваний).

V. Пародонтомы — опухолевые и
опухолеподобные процессы в обла­
сти пародонта.

8.2.1. Гингивит

Для гингивита независимо от кли-нико-морфологической формы ха­рактерны следующие признаки:

• наличие того или иного коли­чества неминерализованных и минерализованных зубных отло­жений;

• отсутствие десневых карманов;

• симптом кровоточивости даже при легком мануальном исследо­вании;

308.


 

• выраженная прямая корреляци­онная зависимость между состоя­нием десневого края и индексом гигиены (ИГ);

• отсутствие явлений деструкции межзубных перегородок при рентгенологическом исследова­нии.

В клинической практике наибо­лее часто встречается катаральный гингивит, первой причиной которо­го является микробная бляшка. Наибольшее значение в развитии воспалительных заболеваний при­дают Str. sanguis, Вас. milanogeni-cus, Actinomyces viscosus и др. Че­рез 1—2 дня под влиянием токси­нов микроорганизмов в десне раз­вивается первичное воспаление, через 1—3 нед появляются все кли-нико-морфологические признаки последнего. Позднее эти микробы вызывают разрушение других структур пародонта, в том числе костной ткани альвеолярного отро­стка. По мнению большинства уче­ных рабочей группы ВОЗ, гинги­вит является предшественником пародонтита.

Катаральный гингивит может быть острым и хроническим.

Острый катаральный гингивит чаще всего служит признаком ост­рого инфекционного заболевания (острый герпетический стоматит, ветряная оспа и др. или следствием острой травмы). Дети жалуются на боли, жжение в деснах, спонтанную кровоточивость. Слизистая оболоч­ка десен резко отечна и гипереми-рована. Общее состояние ребенка соответствует тяжести инфекцион­ного заболевания.

Хронический катаральный гинги­вит может возникнуть не только вследствие микробного налета, но и других местных причин — дефектов пломбирования и ортодонтического лечения, аномалий прикуса, при­крепления уздечек и тяжей слизи­стой оболочки, коротких уздечек губ, мелкого преддверия полости


рта, кариозных полостей придесне-вой локализации, изменения соста­ва и уменьшения количества рото­вой жидкости, а также различных видов травм (рис. 8.1).

Снижение резистентности тканей пародонта и развитие гингивита возможны при некоторых общих заболеваниях: эндокринных, хрони­ческих сердечно-сосудистых, легоч­ных с гипоксией в тканях, хрониче­ских заболеваниях желудочно-ки­шечного тракта, сопровождающих­ся эндогенными гиповитаминозами

и др.

Генерализованные поражения десневого края, локализующиеся симметрично на верхней челюсти или в области передних зубов на обеих челюстях, свидетельствуют о преобладающем влиянии общих раздражающих факторов.

Усиление кровоточивости десен отмечается у девочек в предмен­струальный период и после него. У девочек в период полового созре­вания наблюдаются повышение экскреции половых гормонов и уменьшение выработки прогестеро­на. Развитие симптомов гингивита зависит от преобладания того или иного гормона. Ювенильный гин­гивит проявляется у подростков в период полового созревания как катаральный и исчезает через 2— 3 года, но может перейти в гипер­трофический и пародонтит. Наибо­лее распространены гингивиты у девочек 10—11 лет, а у мальчиков 14—15 лет.

Жалобы при хроническом ката­ральном гингивите слабо выраже­ны, основные из них — кровоточи­вость при приеме жесткой пищи и чистке зубов, запах изо рта. Слизи­стая оболочка десны синюшная, слабоотечная, выражен вазопарез (медленно исчезающий след при надавливании пинцетом). Проба Шиллера—Писарева положитель­ная. Степень тяжести гингивита определяется совокупностью об­щих изменений в организме ребен-



Рис. 8.1. Хронический катаральный гингивит.

ка и степенью вовлечения деснево­го края в воспалительный процесс. Гингивит легкой степени тяжести характеризуется вовлечением в па­тологический процесс межзубных сосочков, средней степени — во­влечением в процесс межзубного и маргинального участков десны; тя­желой форме гингивита прису­ще поражение всех отделов дес­ны (межзубных сосочков, марги­нального и альвеолярного участ­ков).

В связи с тем что начало и разви­тие гингивита не сопровождается болью, пациенты за врачебной по­мощью не обращаются, однако для уменьшения кровоточивости они перестают чистить зубы, употребля­ют только мягкую пищу, что ведет к быстрому ухудшению состояния десны.

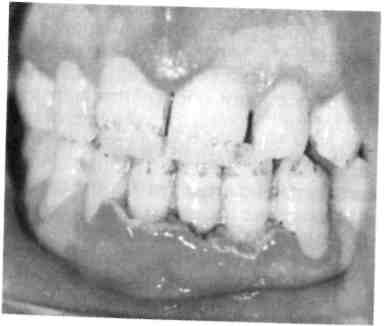
Хронический катаральный гин­гивит в стадии обострения характе­ризуется болевыми ощущениями, резкой спонтанной кровоточиво­стью десен. При этой форме воспа­ления десневого края часто отмеча­ется поражение всех трех участков десны. Из анамнеза можно устано­вить, что ребенок периодически страдал кровоточивостью десен и ранее (рис. 8.2; 8.3).

Язвенный гингивит имеет острое течение. В патогенезе этой формы



Рис. 8.2. Обострение хронического ка­тарального гингивита при лечении не­съемной ортодонтической техникой.

Рис. 8.3. Обострение хронического ка­тарального гингивита.

Рис. 8.4. Язвенный гингивит. 310


Рис. 8.5. Гипертрофический гингивит. Фиброзная форма.

гингивита преобладает снижение общей и местной резистентности. Язвенный гингивит может быть симптомом тяжелого течения ост­рого инфекционного заболевания (острый герпетический стоматит, ветряная оспа и др.). В возрасте до 3 лет выявление язвенного гинги­вита при отсутствии острого ин­фекционного заболевания позволя­ет думать о болезнях крови, в пред-дошкольном и раннем школьном возрасте — о болезнях крови и ре-тикулогистиоцитозе.

У детей среднего и старшего школьного возраста язвенный гин­гивит может встречаться как само­стоятельное заболевание вследствие активизации фузоспирохетарной флоры в условиях снижения реак­тивности организма и плохой гиги­ены полости рта.

Процесс начинается с катараль­ного гингивита, затем происходят некроз и изъязвление десны. При обследовании отмечается гнилост­ный запах изо рта. Некротизиро-ванная десна в виде серой кай­мы покрывает изъязвленный край (рис. 8.4). Характерно отложение зубного камня и налета. У ослаб­ленных детей некротический про­цесс быстро прогрессирует вглубь и по периферии. Заболевание про­текает с выраженной интоксика-


цией, повышением температуры тела. Ребенок отказывается от еды, плохо спит, капризничает. Регио­нарные лимфатические узлы уве­личены и болезненны при пальпа­ции.

Обнаруживаются изменения в форменных элементах крови, повы­шается СОЭ.

Гипертрофический гингивит пред­ставляет собой чаще всего хрони­ческий процесс и характеризуется пролиферацией десны на различных участках. Часто отмечается гипер­трофия передних отделов верхней и нижней челюстей (рис. 8.5).


Существенную роль в развитии такого гингивита играют гормо­нальные сдвиги (пре- и пубертат­ный периоды развития ребенка, во время беременности), дефицит ви­тамина С. Кроме того, гипертрофи­ческий гингивит нередко развива­ется при лечении детей с эпилеп­сией некоторыми препаратами (ди-фенин, гидантоин), реже при бо­лезнях крови (лейкемические рети-кулезы). Наиболее частой местной причиной развития такой патоло­гии является скученное положение зубов в переднем отделе верхней и/или нижней челюсти. Очаговый гипертрофический гингивит разви­вается под действием механической травмы (кламмер ортодонтического аппарата, нависающие края пломб, кариозный процесс придесневой локализации).

Течение гингивита хроническое, сопровождается деформацией рель­ефа десны, увеличением межзубных сосочков и десневого края. Разли­чают 3 формы заболевания: фиб­розную, гранулирующую (отечную) и смешанную.

В большинстве случаев преобла­дает продуктивный фиброзный про­цесс, при котором десневой край слабо кровоточит или не кровото­чит, больных беспокоит лишь нео­бычный вид десны. При гранулиру­ющей (отечной) форме десна темно-красного цвета, отличается значи-


Рис. 8.6. Гипертрофический гингивит после приема дифенина.

тельной пастозностью и кровоточи­востью, иногда отмечается боль при еде. При гранулирующей форме ги­пертрофического гингивита у де­тей, помимо разрастания десневых сосочков, определяется ее цианоз. Наиболее часто эти изменения на­блюдаются во фронтальном участ­ке, реже в области других зубов. При смешанной форме имеются признаки первых двух форм. При гипертрофическом гингивите, вы­званном приемом лекарственных средств, разрастание десны опреде­ляется не только с вестибулярной, но и с оральной поверхности (рис. 8.6).

Все виды гипертрофии сопро­вождаются развитием глубоких ложных карманов, где задержива­ются пищевые остатки; происходит мацерация эпителия, появляются неприятный запах изо рта и косме­тический дефект.

Выделяют 3 степени гиперплазии десны:

I — десневой край слегка утол­щен и приподнят в виде валика, выступая в преддверие полости рта, закрывает коронки на у3;

II — десна покрывает коронки зубов до у2;

III — десна достигает режущего края или жевательной поверхности зубов.


8.2.2. Пародонтит

Пародонтит — это поражение всех тканей пародонта, характеризующе­еся воспалением десны, разруше­нием зубодесневого прикрепления с образованием патологических зу-бодесневых карманов, деструкцией кости альвеолярного отростка, а при развившейся стадии — под­вижностью и выпадением зубов. В практической работе часто выде­ляют такие стадии процесса, как активное течение пародонтита или ремиссию (рис. 8.7).

Пародонтит может быть локали­зованным или генерализованным. Наиболее частыми причинами ло­кализованного пародонтита являют­ся аномалии положения зубов и прикрепления мягких тканей к ли­цевому скелету, функциональная перегрузка отдельных зубов.


Генерализованный пародонтит у здоровых детей встречается после 10 лет. Большую роль в развитии данного заболевания играют дис­функции эндокринных желез, осо­бенно гипогонадизм.


Рис.8.7. Пародонтит фронтального от­дела нижней челюсти.

in

Существуют формы пародонтита, отличающиеся повышенной агрес­сивностью. Отличие их заключается в присутствии во флоре полости рта специфических видов микроорга­низмов и их сочетаний. Препубер-


татный пародонтит характеризует­ся вовлечением в процесс зубов по­стоянного и временного прикуса. Раннее развитие и агрессивное те­чение обусловлены наличием у та­ких пациентов дефектов общей за­щиты — моноцитов и полиморф­но-ядерных лейкоцитов.

Развитие ювенильного пародон­тита наиболее часто отмечается в тех случаях, когда влияние гормо­нов дополняется действием других негативных факторов (негигиени­ческое содержание полости рта, ор-тодонтическая патология, неравно­мерная нагрузка зубов и др.). У по­дростков это заболевание протекает тяжело, с быстрым прогрессирова-нием. Характерны жалобы на зуд и жар в деснах, чувство распирания, желание сжать челюсти, кровоточи­вость десен. Слюна густая, плохой вкус и дурной запах изо рта. Из па­тологических зубодесневых карма­нов появляется гноетечение.

Изучение особенностей кровена­
полнения при пародонтитах пока­
зало, что реографические показате­
ли характеризуются значительной
вариабельностью, неизменной

остается только общая тенденция. Наблюдается снижение реографи-ческого индекса — время подъема восходящей и нисходящей частей кривой незначительно возрастает. Показатель тонуса сосудов может быть увеличен, но часто соответст­вует величине такого показателя у детей с интактным пародонтом. Дикротический индекс (ДИ) при пародонтите повышен (табл. 8.1).

Таблица 8.1. Реографические пока­затели при различных состояниях тка­ней пародонта у подростков 13—14 лет [Гаврилова О.А., 2001]

 

Показа­тель Больные с интакт­ным па­родонтом Больные катараль­ным гин­гивитом Больные пародон- титом
РИ, ом 0,19±0,02 0,16±0,02 0,11+0,03

Тяжесть пародонтита определяет­ся в основном тремя признаками: глубиной зубодесневого кармана, степенью резорбции костной ткани и расшатанностью зубов. При лег­кой форме (I стадия) — атрофия ко­сти до У корня, глубина карманов по 3,5 мм, подвижность зубов мо­жет не наблюдаться; при средней тяжести (II стадия) - атрофии ко­сти до У корня, подвижность зубов I—II степени, глубина кармана 4— 5 мм; при тяжелой форме (III ста­дия) _ глубина пародонтального кармана 6 мм и более, деструкция кости более у и подвижность зубов III—IV степени.

8.2.3. Пародонтоз

Пародонтоз — дистрофическое поражение пародонта. У детей практически не встречается.

8.2.4. Идиопатические заболевания
с прогрессирующим лизисом тканей
пародонта

Особая тяжесть и частота пародон-толизиса установлена у детей, стра­дающих сахарным диабетом, кото­рый чаще встречается в периоды усиленного роста — в 3—6 и 11 — 12 лет. Сахарный диабет приводит к глубоким нарушениям всех видов обмена. Поражение пародонта определяется у 50—51 % больных [Плотников Н.В., 1973]. Считают, что сахарный диабет в молодом возрасте связан не только с нару­шением углеводного обмена. Боль­шую роль в патологии играет повы­шенная функция надпочечников и щитовидной железы, результатом чего являются изменения органиче­ской структуры кости. Учитывая, что симптомы пародонтита возни­кают при диабете раньше других клинических проявлений, необхо­димо считать изменения в тканях пародонта важным диагностиче­ским признаком.


Тяжесть пародонтолизиса зави­сит от тяжести диабета, длительно­сти заболевания и адекватности проводимого лечения. Продолжаю­щаяся резорбция межальвеолярных перегородок у детей, страдающих сахарным диабетом, является вер­ным признаком неправильно про­водимого лечения.

У детей, больных диабетом, рано появляются катаральный гингивит, который быстро переходит в паро­донтит (характерный цианотичный цвет, пастозность и рыхлость десны, обильные, выбухающие из карманов грануляции). Экссудат может быть гнойным и геморрагическим. По­степенно развивается подвижность зубов. Глубина морфологических изменений в кости обычно соответ­ствует тяжести гингивита (рис. 8.8). Наиболее характерный вид рассасы­вания костной ткани лунок — во­ронкообразная резорбция в области моляров. При тяжелой стадии забо­левания подвижность зубов резко выражена и часто не соответствует степени деструкции костной ткани.

Рентгенологическим признаком поражения тканей пародонта при диабете служит «воронкообразный» характер деструкции костной тка­ни, которая никогда не распростра­няется на подлежащие участки тела челюсти.

Нередко изменения в тканях па­родонта сочетаются с поражением других отделов слизистой оболочки полости рта — отмечается яркая ги­перемия на щеках, небе, часто при­соединяется кандидоз.

Пародонтолиз у детей с диабетом течет тяжело, быстро прогрессируя. В дифференциальной диагностике необходимо учитывать анамнез, жа­лобы больных на жажду и сухость во рту, показатели анализов крови и мочи — содержание сахара, изме­нение сахарной кривой.

Пародонтолизис при нейтропении. В настоящее время известны 2 фор­мы наследственной нейтропении: постоянная и циклическая (перио-


Рис. 8.8. Пародонтолиз при сахарном

диабете.

дическая). При постоянной форме число лейкоцитов нормальное или слегка снижено, отмечается резкое уменьшение нейтрофилов вплоть до полного их отсутствия; при цик­лической форме происходит перио­дическое исчезновение нейтрофи­лов из крови.

Во время криза повышается тем­пература тела, резко ухудшается со­стояние ребенка. Число лейкоцитов снижается до 2,0—3,0-109/л, появля­ются моноцитоз и эозинофилия. Фаза минимального количества или отсутствия нейтрофилов в крови продолжается 4—5 дней и повторя­ется через строго определенное вре­мя, чаще через 21 день.

Клинически нейтропения харак­теризуется появлением уже в первые недели и месяцы жизни ребенка гнойничковых поражений кожи и слизистых оболочек. Нередко раз­виваются нагноительные процессы в легких. При такой картине, обу­словленной снижением неспецифи­ческого иммунитета, наличие при­знаков пародонтита может оказать­ся достаточно демонстративным диагностическим критерием. Для обеих форм нейтропении характе­рен пародонтолизис, рано приводя­щий к полной потере зубов.

Прорезывание зубов сопровожда­ется язвенным гингивитом, с 3 лет


гингивит усугубляется образовани­ем патологических зубодесневых карманов, резорбцией кости альве­олярного отростка, подвижностью и ранней потерей молочных зубов.

Наблюдаются поражение паро-донта постоянных зубов, а к 12—14 годам — почти полная потеря зу­бов. В период криза отмечается обострение процесса в области па-родонта, возможно абсцедирова-ние. Однако деструктивный про­цесс в костной ткани челюсти огра­ничен лишь областью альвеолярно­го отростка и, как правило, имеет четкие границы. Пользование про­тезами может приводить к образо­ванию язв в местах прилежания протеза. На языке, небе могут быть эрозии округлой формы диаметром от нескольких миллиметров до 1,5—2 см. Основание этих элемен­тов обычно кровоточит. Заживле­ние ран идет медленно.

Комплексное лечение этих детей проводят гематолог, педиатр и сто­матолог.

Пародонтолизис при Х-гистиоци-тозе. Х-гистиоцитоз чаще встреча­ется у лиц мужского пола, у 40 % больных в возрасте до 10 лет. По характеру течения и степени вовле­чения в патологический процесс костной и лимфоидной ткани и по особенностям висцеральных пора­жений выделяют 4 основные нозо­логические формы.

Болезнь Таратынова, или соли-тарная эозинофильная гранулема, — поражение одной из костей скеле­та. У детей грудного возраста в пе­риод, предшествующий прорезыва­нию молочных зубов, на десневом валике обычно возникают участки некротизированной ткани серова­то-зеленого цвета, после отторже­ния которой остаются незаживаю­щие эрозии и язвы. В дальнейшем на этих участках преждевременно прорезываются молочные зубы, об­ладающие значительной подвижно­стью в результате разрушения их зоны роста патологическим процес-


сом. Однако эта форма заболевания чаше проявляется у детей школьно­го возраста. Процесс развивается хронически, имеет благоприятный прогноз.

Первые проявления заболевания (вялость, сонливость, потеря аппе­тита, нарушения сна) выражены скудно и воспринимаются обычно как детские болезни. Затем на коже может появиться мелкая папулез­ная сыпь. Вначале развивается гин­гивит, затем образуются патологи­ческие зубодесневые карманы, за­полненные грануляциями без при­знаков гноетечения; происходит обнажение шеек зубов; отмечаются запах изо рта, прогрессирующая подвижность и потеря зубов в очаге поражения.

С целью дифференциальной диа­гностики нужно проводить рентге­нографию скелета, особенно плос­ких костей, исследования крови, мочи.

Болезнь Хенда—Шюллера—Крис-чена (хронический ксантоматоз) сопровождается генерализованным поражением костной системы. Из­менения в тканях пародонта при этом заболевании начинаются с ги­пертрофического гингивита, позд­нее на деснах образуются покрытые оранжевым налетом язвы, увеличи­вается глубина зубодесневых карма­нов, из них появляется гнойное от­деляемое. Увеличивающаяся по­движность приводит к выпадению зубов. На рентгенограмме — резор­бция костной ткани округлой или овальной формы с ровными или фестончатыми краями.

Кроме изменений в зубочелюст-ной системе, заболевание имеет и Другие признаки. В связи с тем что в основе этой патологии лежит на­рушение липидного обмена, в кро­ви наблюдается повышенное содер­жание холестерина, а в моче обна­руживается нейтральный жир. Мо­жет быть выражена триада: несахар­ный диабет, экзофтальм, множест­венное поражение костей черепа.


Рис. 8.9. Пародонтолиз при лимфогра­нулематозе.







Date: 2015-07-01; view: 752; Нарушение авторских прав



mydocx.ru - 2015-2026 year. (1.045 sec.) Все материалы представленные на сайте исключительно с целью ознакомления читателями и не преследуют коммерческих целей или нарушение авторских прав - Пожаловаться на публикацию