Главная Случайная страница


Полезное:

Как сделать разговор полезным и приятным Как сделать объемную звезду своими руками Как сделать то, что делать не хочется? Как сделать погремушку Как сделать так чтобы женщины сами знакомились с вами Как сделать идею коммерческой Как сделать хорошую растяжку ног? Как сделать наш разум здоровым? Как сделать, чтобы люди обманывали меньше Вопрос 4. Как сделать так, чтобы вас уважали и ценили? Как сделать лучше себе и другим людям Как сделать свидание интересным?


Категории:

АрхитектураАстрономияБиологияГеографияГеологияИнформатикаИскусствоИсторияКулинарияКультураМаркетингМатематикаМедицинаМенеджментОхрана трудаПравоПроизводствоПсихологияРелигияСоциологияСпортТехникаФизикаФилософияХимияЭкологияЭкономикаЭлектроника






Болжамы. ЖДҚБО болжамы қолайлы (10-жылдық өмір сүру көрсеткіші >95%)





ЖДҚБО болжамы қолайлы (10-жылдық өмір сүру көрсеткіші >95%). Тіпті 131I сіңіретін алыс метастаздардың болуына қарамастан жүйелі емді жүргізу (тиреоидэктомия + терапия 131I + супрессивті терапия L-T4) 95% жағдайда 10-жылдық өмір сүру көрсеткішін көрсетеді. Анапластикалық обырдың болжамы өте нашар: диагностикалаудан бастап өмір сүру көрсеткіші 6 ай, 5-жылдық өмір сүру көрсеткіші — 7%.

 

4 БӨЛІМ

БҮЙРЕК ҮСТІ БЕЗДЕРІНІҢ АУРУЛАРЫ

4.1. БҮЙРЕК ҮСТІ БЕЗДЕРІНІҢ АНАТОМИЯСЫ МЕН ФИЗИОЛОГИЯСЫ

Бүйрек үсті бездері — бүйректердің жоғары полюсінде шажырқай арты кеңістігінде орналасқан жұп ішкі секреция безі. Бүйрек үсті бездері XI–XII кеуде омырқалары деңгейінде орналасқан (4.1сурет).

Бүйрек үсті бездері екі дербес (жеке) морфофункционалдық эндокринді бездерден — эмбриональды шығу тегі әртүрлі милы және қыртысты заттан (тіннен) тұрады.

 

4.1 сурет. Бүйрек үсті бездері

4.1 сурет Яичковые артерии- Атабез артериясы Правая яичковая вена- Атабездің оң жақ венасы Почечная вена- Бүйрек венасы Мочеточник- Несеп ағар Левая яичковая вена- Атабездің сол жақ венасы Почка- Бүйрек Верхняя брыжеечная артерия-Шажырқайдың жоғарғы артериясы Левая почечная артерия- Сол жақ бүйрек артериясы Средняя надпочечниковая вена- Бүйрек үсті безінің ортаңғы венасы Нижняя полая вена- Төменгі қуыс вена Аорта- Қолқа Чревный ствол- Құрсақ бағаны Нижняя диафрагмальная артерия- Көк еттің төменгі артериясы Средняя надпочечниковая артерия- Бүйрек үсті безінің ортаңғы артериясы Верхние надпочечниковая артерии- Бүйрек үсті безінің жоғарғы артериясы Левый надпочечник- Сол жақ бүйрек үсті безі Левая надпочечниковая вена- Бүйрек үсті безінің сол жақ венасы Нижняя надпочечниковая артерия- Бүйрек үсті безінің төменгі артериясы

 

Қыртысты зат екі біріншілік бүйректер арасында орналасатын, мезодерманың бір бөлігі болып табылатын интерреналді тіннен дифференциацияланады (сараланады). Милы заты симпатикалық бағанадан шығып, интерреналді денеге енетін, яғни жүйке жүйесінің шығу тегімен ортақ, симпатобластардан дамиды. Осындай шығу тегі параганглий мен буфуркациялы хромаффинді денешіктерге жататын экстраадренальды хромаффинді тіндерге тән.

Гистологиялық мүше тінінің 80–90%-ын алып жатқан бүйрек үсті безінің қыртысты затында 3 аймақты ажыратуға болады. Капсула (қаптама) астында альдостерон бөлетін шумақты аймақ (зона) орналасады. Одан кейін глюкокортикоидты гормон өндіретін шоғырлы аймақ, ал ішкі жағында андрогендер бөлетін торлы аймақ орналасқан (4.2 сурет).

Бүйрек үсті безінің қыртысты затынан 50 жуық стероидтар бөлінген, бірақ олардың басым көпшілігі белсенді гормондар синтезінің аралық өнімі болып табылады.

4.2 сурет. Бүйрек үсті безінің гистологиялық құрылымы

4.2сурет Капсула надпочечника- Бүйрек үсті безі капсуласы Клубочковая зона- Шумақты аймақ Корковое вещество- Қыртысты заты Ганглиозные клетки, нервные волокна, сосуды- Ганглиозды жасушалар, нерв талшықтары, қантамырлар Пучовая зона- Шоғырлы аймақ Сетчатая зона- Торлы аймақ Соединительно-тканные прослойки- Дәнекер тінді қаттамалар Мозговое вещество- Милы заты Синусоидные капилляры- Синусоидты қылтамырлар

 

 

Стероидты гормондар бүйрек үсті безінің қыртысының жасушаларында жиналмайды, бірден синтез қарқындылығына қарай қан арнасына түсіп отырады. Метаболизмге әсеріне қарай бүйрек үсті безі қыртысының гормондары үш түрге бөлінеді (глюкокортикостероидтар): минералокортикоидтар, глюкокортикоидтар және андрогендер.


Кортикостероидтар, басқа стероидтар секілді холестериннен синтезделеді. Стероидты гормондардың синтезінде алғашқы реакция 6-шы көмірсулы топтың ыдырауы арқылы холестриннің (С27-стероид) прегненолонға (С21-стероид) айналуы болып табылады. Оны катализдейтін ферментті кешен P450scc деп белгіленеді және бүйір тізбектің ыдырауына әкелетін фермент (англ. side chain cleavage enzyme) немесе 20,22-десмолаза деп аталады. Бұдан кейін көптеген стероидты гормондардың түзілуімен сипатталатын стероидты ядроның гидроксильденуі жүреді (4.3сурет).

 

4.3 сурет. Кортикостероидтар биосинтезінің сызбасы

Ферменттердің халықаралық атауы:

P450scc — бүйір тізбекті ыдыратушы фермент (20,22-десмолаза);

P450c17 — 17α-гидроксилаза немесе С 20-22-лиаза;

3β-HSD — 3β-гидроксистероиддегидрогеназа және ∆5,4-изомераза;

P450c21 — 21-гидроксилаза; P450c11 — 11β-гидроксилаза;

P450aldo — альдостеронсинтетаза

 

Осындай стероидогенез аналық және аталық безде де жүреді. Стероидогенездің ерекшелігі осы мүшелерде гидроксилаза гендерінің түрлі экспрессиясымен анықталады. Шумақты аймақта Р450с17 (17-гидроксилаза/С20-22-лиаза) ферментінің болмауына орай, онда кортизол мен андрогендер синтезделмейді. Р450с11 ферменті тек шумақты аймақта болады, сондықтан шоғырлы және торлы аймақта альдостерон синтезделуі мүмкін емес. Басқа стероидты гормондар секілді глюкоркортикостероидты гормондардың әсері түрлі гендердің экспрессиясын ауыстырып отыратын транскрипция факторларымен сипатталатын жасушаішілік рецепторлы ақуыздарға тәуелді.

Бүйрек үсті безінің қыртысты заты функционалды тұрғыдан екі бөлікке бөлінеді: АКТГ — тәуелсіз шумақты аймақ және АКТГ-ға тәкелді шоғырлы және торлы аймақ. Шумақты аймақта альдостерон синтезі ренин-ангиотензин-альдостерон жүйесі, аденогипофиздің АКТГ әсерінен автономды реттеледі. АКТГ тек минералокортикоидтар биосинтезінің алғашқы сатыларына ғана әсер етеді. АКТГ секрециясы түсіп қалғаннан кейін автономды қызмет атқаратын шумақты аймақ (торлы және шоғырлы аймаққа қарағанда) атрофияға ұшырамайды. Осыған байланысты бүйрек үсті безі қыртысты затының барлық аймағының бұзылуымен сипатталатын біріншілік бүйрек үсті безі жеткіліксіздігіне қарағанда, екіншілік бүйрек үсті безі жеткіліксіздігінің ағымы жеңілірек өтеді.


Гипоталамус-гипофизарлы-бүйрекүсті безі жүйесінің бөлігі болып табылатын шоғырлы және торлы аймақтың басты секреторлы және трофикалық ынталандырушысы аденокортикотропты гормон (АКТГ) болып табылады. АКТГ бөлінуі теріс кері байланыс қағидасына сай кортикотропинрилизинг-гормонымен (КРГ) реттеледі. Кортизолдың тәуліктік қан сарысулық концентрациясының динамикасы АКТГ-ның циркадты секрециялау ырғағымен анықталады. Екі гормонның да максимальды мөлшері таңғы сағат 6-ға, ал минимальды мөлшері- 20–24 сағатқа сай келеді. АКТГ жолашары үлкен көлемдегі проопиомеланокортин (ПОМК) ақуызы болып табылады, ол ыдыраған кезде АКТГ, меланоцитстимулдеуші гормон (МСГ) және β-липотропты гормон (β-ЛПГ) түзіледі.

Бүйрек үсті безінің қыртысты заты өмірлік маңызды ағза болып табылады және оның екі басты қызметін ажыратуға болады:

• Ағзада натрийдің ұсталуы мен ішкі ортаның физиологиялық осмолярлығының тұрақтылығын альдостерон қамтамасыз етеді.

• Ағзаның сыртқы ортаның стресстік түрткілерге адаптациясын (ағзаға әсер ететін барлық түрткілер кешені: инфекциялық және жарақаттаушы агенттерден бастап, эмоционалды стресстерге дейін) глюкокортикоидтар қамтамасыз етеді, яғни адам ағзасында бұл қызметті кортизол (гидрокортизон) атқарады.

 

Ренин-ангиотензин-альдостерон жүйесі су, электролиттер гомеостазын реттеп, жүйелік артериялық қысымның тұрақты түрде болуын қамтамасыз етеді. Ангиотензин II өте күшті физиологиялық вазоконстриктор болып табылады және альдостерон синтезін ынталандырады. Оның нысана ағзасы-бүйрек, ангиогензин ІІ бүйректің дисталді және жинақтаушы түтікшелерінде натрийдің кері сіңірілуін күшейтеді (4.4 сурет).

Глюкокортикоидтар зат алмасуға жан-жақты әсер көрсетеді. Бір жағынан бауырда глюконеогенезді белсендіреді, екінші жағынан ақуыз катаболизмінің күшеюінен шеткі тіндерде (бұлшықет, лимфоидты тінде) глюконеогенездің аминқышқылды-субстраттарының бөлінуін ынталандырады.

 

 

4.4 сурет. Ренин-ангиотензин-альдостерон жүйесі

4.4 сурет Вазоконстрикция- Вазоконстрикция Реабсорбция натрия в дистальных отделах нефрона- Нефронның дистальды бөлігінде натридің кері сіңірілуі Альдостерон- Альдостерон Ангиотензин-2- Ангиотензин-2 Ангиотензинпревращающий фермент (легкие)- Ангиотензинге ауыстыратын фермент (өкпе) -++Ангиотензин-1- Ангиотензин-1 Ренин- Ренин Ангиотензиноген (печень)- Ангиотензиноген (бауыр) Юкстагломерулярные клетки почки- Бүйректің юкстагломерулярлы жасушалары Снижение перфузионного давления в почках, гиповолемия, гипонатриемия- Бүйректегі перфузиялы қысымның төмендеуі, гиповолемия, гипонатриемия  

 


Глюкокортикоидтар белок катаболизмдерін күшейте отырып, гипергликемияны дамытады, яғни контринсулярлы гормон болып табылады. Глюкокортикоидтар глюкогеногенезді ынталандырады, нәтижесінде бауырдағы гликоген қоры артады. Глюкокортикоидтардың май алмасуға әсер етуі катехоламиндер мен өсу гормонының липолитикалық әсерін күшейтуімен түсіндіріледі. Артық мөлшерде глюкокортикоидтар дененің бір бөлігінде (аяқ-қолда) липолизді ынталандырса, екінші бөлігінде (бет пен кеудеде) липогенезді ынталандырады, нәтижесінде қан сарысуында бос май қышқылдарының мөлшері артады. Жалпы глюкокортикоидтар бауырда ақуыздар мен нуклеинқышқылдары алмасуына анаболикалық әсер, ал басқа май, бұлшықет, лимфоидты тіндерге, тері мен сүйекке катаболикалық әсер көрсетеді. Фибробласттардың өсуі мен бөлінуін, коллаген өндірілуін тежейді, глюкокортикоидтар қабынулық үрдістің репаративті кезеңін бұзады.

Басты бүйрек үсті безінің андрогені дегидроэпиандростерон (ДЭА) мен андростендион болып табылады. Өзінің андрогендің белсенділігіне байланысты тестостерон олардан 20 және 10 есе басымдылық көрсетеді. Секреция алдында ДЭА-ның 99%-ы ДЭА-С-ке (дегидроэпиандростерон-сульфат) сульфатталады. Әйел ағзасында қан айналымындағы тестостеронның 2/3-і бөлігі ДЭА мен андростендионнан перифериялық түзілу нәтижесінде пайда болады. ДЭА және ДЭА-С мөлшері пубертатты кезеңде үдемелі жоғарлай бастайды (7–8 жастан 13–15 жасқа дейін), бұл адренархе кезеңіне сәйкес келеді. Тестостерон және эстрогендер қалыпты жағдайда бүйрек үсті безімен көп мөлшерде синтезделмейді.

Бүйрек үсті безінің милық затында адреналин синтезделеді. Адреналиннен ерекшелігі норадреналин нейромедиатор болып табылады және симпатикалық жүйке жүйесімен иннервацияланатын барлық тіндерде (80%) кездеседі. Катехоламиндердің жолашары тирозин амин қышқылы болып табылады. Катехоламиндердің жартылай өмір сүру уақыты 10-30 секунд. Адреналиннің басты метаболиті – ванилилминдаль қышқылы (80 %). Адреналиннің аз мөлшері (5%) өзгермеген күйде, оның басқа метаболиттері, яғни (10–15%)метанефрин мен норметанефрин (4.5 сурет) несеппен сыртқа шығарылады.

Кортикостероидтармен салыстырғанда симпатоадреналды жүйе гормондары өмірге аса маңызды емес. Олардың басты қызметі- жедел стресске ағзаның адаптациясы. Адреналин липолиздің белсенуіне, глюкозаның мобилизациясына ықпал етеді және инсулин өндірілуін тежейді. Катехоламиндер мембраналық адренорецепторлардың екі басты классы арқылы әсер етеді (α және β).

 

4.5 сурет. Катехоламиндер биосинтезі мен метаболизмі: 1 — тирозингидроксилаза; 2 — ДОФА-декарбоксилаза; 3 — дофамингидроксилаза; 4 — фенилэтаноламин-N-метилтрансфераза (ФNМТ); 5 — МАО (моноаминоксидаза); 6 — КОМТ (катехол-0-метилтрансфераза)

4.5 сурет 3,4-Дигидрокси миндальная кислота- 3,4-Дигидрокси миндаль қышқылы Гомованилиловая кислота (4-гидрокси-3-метоксифенилуксусная кислота)- Гомованил қышқылы (4-гидрокси-3-метоксифенилсірке қышқылы) Ванилилминдальная кислота (4-гидрокси-3-метоксиминдальная кислота)- Ванилилминдаль қышқылы (4-гидрокси-3-метоксиминдаль қышқылы)  

 

4.2. БҮЙРЕК ҮСТІ БЕЗІ АУРУЛАРЫМЕН СЫРҚАТТАНҒАН НАУҚАСТАРДЫ ЗЕРТТЕУ ӘДІСТЕРІ

 

4.2.1. Физикалық зерттеу әдістері

Анамнез және физикалық зерттеу мәліметтерінің бүйрек үсті безінің патологияларында үлкен диагностикалық маңызы бар. Сырқаттардың басым көпшілігінде клиникалық көріністері айқын болады (Аддисон ауруы, Кушинг ауруы), сондықтан науқасты әрі қарай зерттеу тек диагнозды растайды. Бүйрек үсті безі патологиясының спецификалық зерттеу әдістері болмайды.

 

4.2.2. Зертханалық зерттеу әдістері

Кортикостероидтар деңгейінің біршама тұрақсыздығы, қан сарысуында жартылай өмір сүру кезеңінің қысқалығы, кортикостероидтар секрециясының көп деңгейлі реттеу жүйесінің күрделілігі, бүйрек үсті безі қыртысын зертханалық диагностикалауда бірқатар функционалдық сынақтарды қолдануға себеп болады (4.1 кесте). Бірақ, бірқатар жағдайларда динамикалық сынақтардан басқа қан сарысуындағы кортизол деңгейін бір рет қана анықтаудың ақпараттылығы өте төмен.

 

4.1 кесте. Бүйрек үсті безі гормондары өндірілуі бұзылысының диагностикасы

 

Гормон Артық болуы Жетіспеуі
Кортизол Үлкен және кіші дексаметазон сынақтары АКТГ-мен сынақ, инсулинді гипогликемиямен сынақ
Альдостерон Альдостерон мен рениннің базальды деңгейі, ортостатикалық (марштық) сынақ Альдостерон мен рениннің базальды деңгейі
Бүйрек үсті безі андрогендері ДЭА (ДАЭ-С), 17-гидроксипрогестеоның базальды деңгейі, АКТГ-мен сынақ Клиникалық маңыздылығы жоқ
Катехоламиндер Қан мен несепте метанефриндер, несеппен ванилилминдаль қышқылының экскрециясы Клиникалық маңыздылығы жоқ

 

Егер кортикостероидтар мен катехоламиндер in vitro тұрақты қосылыстар болса, ал АКТГ және ренин қанның формалық элементтерін гемолиздеуші ферменттері әсерінен жылдам ыдырауға ұшырайды. Жоғарыда аталған гормондар деңгейі жөнінде нақты мәлімет алу үшін науқастан қан алғанда, оны антикоагулянты бар түтікке жинап, кейін жылдам плазмадан бөлу қажет.

Гормональды зерттеу әдістерінен басқа электролиттер деңгейін зерттеу диагностика үшін өте маңызды. Себебі, гиперкортизолизм мен гиперальдостеронизмге гипокалиемия және гипернатриемия, ал гипокортицизмге — гиперкалиемия мен гипонатриемия тән. Гемолиздің қанда калий деңгейін жоғарылатуға септігін тигізетінін естен шығармаған жөн.

 

4.2.3. Аспаптық зерттеу әдістері

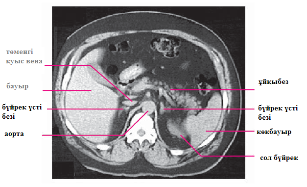
Бүйрек үсті безін визуализациялау үшін КТ және МРТ қолданылады. Бүйрек үсті безі ауруларын диагностикалауда аталған екі аспаптық зерттеу әдісінің ақпараттылығы бірдей. КТ-нің артықшылығы- бағасының арзандылығында. Бүйрек үсті безінің жоғары полюсі томографиялық кесіндіде XI-XII кеуде омыртқасына сәйкес келеді, жиі төменгі қуыс көктамырының артында үлкен емес жолақ ретінде көрінеді. Оның сол жағында диафрагманыңы оң жақ аяқшасы мен қолқаның құрсақтық бөлімінің диафрагмаішілік бөлігі жатыр. Оң жағында бауырдың оң жақ бөлігі орналасқан. Сол жақ бүйрек үсті безі «Y» әріпі немесе үшбұрыш пішіні түрінде көрініп, сол жақ бүйректің жоғарғы полюсінен медиальды, алға қарай орналасады. Сол жақ бүйрек үсті безінің алдында, ұйқыбезі құйрығының артында көкбауыр артериясы жатыр. КТ мен МРТ кезінде бүйрек үсті безінің қыртысты және милы заты ажыратылмайды. Екі әдіс те бүйрек үсті безінің көлемін, онда дамыған патологиялық түзілістерді анықтауға, олардың көлемі мен пішінін бағалауға мүмкіндік береді (4.6 және 4.7сурет).

Ең бірінші бүйрек үсті безінің визуализациясы гиперкортицизммен сипатталатын ауруларға қажет. Бүйрек үсті безінің қатерлі ісіктерінің дамуына күмән туғанда, бүйрек үсті безінің көрші тіндермен қарым-қатынасын бағалауға мүмкіндік беретін МРТ зерттеу әдісін жүргізген орынды. УДЗ барысында диаметрі 3 см болатын ірі ісіктерден басқа жағдайда, бүйрек үсті безі нашар визуализацияланады.

 

4.6 сурет. Қалыпты жағдайдағы бүйрек үсті безінің компьютерлі томограммасы

Феохромоцитоманың топикалық диагностикасында аса маңызды ақпаратты 123I-метайодбензилгуанидинмен (13II-МЙБГ) сцинтиграфия береді. Біріншілік гиперальдостеронизмнің диагностикасында бірқатар жағдайларда зақымдануды латерализациялау мақсатында бүйрек үсті безі көктамырынан селективті қан алумен ангиографиялық зерттеу жүргізу қажет.

 

 

4.7 сурет Правая почка- Оң жақ бүрек Левая ножка диафрагмы- Диафрагманың сол аяқшасы Аорта- Қолқа

 

4.7 сурет. Бүйрек үсті безінің компьютерлік немесе магнитті-резонансті томограммасының сызбалық кескіні

4.3. БҮЙРЕК ҮСТІ БЕЗІ АУРУЛАРЫНЫҢ ЖІКТЕМЕСІ

Гипер- және гипофункция жағдайларынан басқа, бүйрек үсті безі қыртысының патологиясында, басқа ішкі секреция бездерінен айырмашылығы, мұнда ағза дисфункциясымен сипатталатын жеке аурулар тобы ажыратылады. Бүйрек үсті безі дисфункциясы кезінде бір гормонның артық өндірілуі және басқаларының тапшылығы көрініс береді. Бүйрек үсті безі аурулары ағзаның функционалдық жағдайына негізделе отырып жіктеледі: гиперфункция, гипофункция, дисфункция (4.2 кесте).

 

4.2 кесте. Бүйрек үсті безі ауруларының жіктемесі

 

Гиперкортицизм 1. Кушинг ауруы мен синдромы 2. Біріншілік гиперальдостеронизм 3. Андростерома (вирилизациялаушы ісік) 4. Кортикоэстрома (феминизациялаушы ісік) 5. Аралас ісіктер (бірнеше гормондардың гиперпродукциясы)
Гипокортицизм   1. Біріншілік гипокортицизм 2. Екіншілік гипокортицизм
Бүйрек үсті безі қыртысының дисфункциясы 1. StAR-протеиннің тапшылығы (бүйрек үсті безінің липоидты гиперплазиясы, Прадер синдромы) 2.З β-гидроксистероиддегидрогеназа тапшылығы 3. Р450с17 тапшылығы 4. Р450с21 тапшылығы 5. Р450с11 тапшылығы  
Эукортицизм   Бүйрек үсті безінің гормональды белсенді емес ісіктері (қатерлі, қатерсіз)
Бүйрек үсті безі милы затының патологиясы Феохромоцитома (қатерлі, қатерсіз)

 







Date: 2015-07-01; view: 699; Нарушение авторских прав



mydocx.ru - 2015-2026 year. (0.562 sec.) Все материалы представленные на сайте исключительно с целью ознакомления читателями и не преследуют коммерческих целей или нарушение авторских прав - Пожаловаться на публикацию