Главная Случайная страница


Полезное:

Как сделать разговор полезным и приятным Как сделать объемную звезду своими руками Как сделать то, что делать не хочется? Как сделать погремушку Как сделать так чтобы женщины сами знакомились с вами Как сделать идею коммерческой Как сделать хорошую растяжку ног? Как сделать наш разум здоровым? Как сделать, чтобы люди обманывали меньше Вопрос 4. Как сделать так, чтобы вас уважали и ценили? Как сделать лучше себе и другим людям Как сделать свидание интересным?


Категории:

АрхитектураАстрономияБиологияГеографияГеологияИнформатикаИскусствоИсторияКулинарияКультураМаркетингМатематикаМедицинаМенеджментОхрана трудаПравоПроизводствоПсихологияРелигияСоциологияСпортТехникаФизикаФилософияХимияЭкологияЭкономикаЭлектроника






Рентгенозащитные двери





Рентгенозащитные дверные блоки, включающие в себя дверную коробку, встраиваемую в проём, и дверное полотно, обеспечивают 100% защиту от ионизирующего излучения по всей площади дверного проёма.

Типы рентгенозащитных дверей:

  • Металлические распашные рентгенозащитные двери
  • Деревянные распашные рентгенозащитные двери
  • Откатные комбинированные рентгенозащитные двери (как правило, с автоматикой)

Рентгенозащитные операционные оснащаются также всеми необходимыми конструктивными элементами, как и обычная операционная: смотровыми и передаточными окнами, шлюзами. Коструктив данных элементов и материалы, из которых они изготовлены, также обеспечивают полную защиту от рентгеновского излучения. В частности в смотровых окнах применяется специальное рентгенозащитное стекло.

В рентгеноперационной проводят сложнейшие диагностические и лечебные процедуры, такие как:

  • ангиографические исследования сердца и сосудов;
  • эмболизация артерий, питающих опухоль при онкологических заболеваниях, как подготовительный этап к открытой операции, призванный уменьшить риски кровопотери; малотравматичная эндоваскулярная эмболизация артерий при миомах матки путем чрезкожного минидоступа;
  • флебография (исследование вен) и имплантация кава-фильтров при угрозе тромбоэмболии легочной артерии.
  • диагностическая коронарография (для пациентов с острым коронарным синдром)
  • баллонная ангиопластика коронарных артерий
  • стентирование коронарных артерий (имплантации стента из сплава специальных металлов, в том числе и стента с лекарственным покрытием)
  • эндоваскулярное лечение больных перенесших операцию аортокоронарного шунтирования
  • выполнение чрезкожных коронарных вмешательств

В рентгеноперационных проводят сложнейшие хирургические операции (9106) с активным применением рентгеновского оборудования по сращиванию и восстановлению костных тканей пациентам с тяжелыми травмами — чаще всего как результат ДТП.

Коронарография

Материал из Википедии — свободной энциклопедии

Текущая версия страницы пока не проверялась опытными участниками и может значительно отличаться от версии, проверенной 3 февраля 2012; проверки требуют 5 правок.

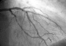
Коронарная ангиограмма (Coronary angiogram)

Коронарография — рентгеноконтрастный метод исследования, который является наиболее точным и достоверным способом диагностики ишемической болезни сердца (ИБС), позволяя точно определить характер, место и степень сужения коронарной артерии.

Этот метод является «золотым стандартом» в диагностике ИБС и позволяет решить вопрос о выборе и объёме проведения в дальнейшем таких лечебных процедур как баллонная ангиопластика (angioplasty (англ.)русск.),стентирование и коронарное шунтирование.

Во время коронарографии интервенционный кардиолог вводит водорастворимое рентгеноконтрастное вещество последовательно в левую и правую коронарные артерии, используя для этого ангиографические катетеры. При каждом таком введении рентгеноконтрастное вещество быстро заполняет просвет артерии на всем ее протяжении. В потоке рентгеновских лучей туго контрастированная артерия отбрасывает тени на детектор ангиографа, отображая информацию о своем внутреннем рельефе. Так, выполнив съемку в нескольких проекциях, можно получить наиболее полное представление об анатомии и степени поражения русла коронарных артерий. Стоит отметить, что во время исследования пациент находится в потоке ионизирующего излучения, и эквивалентная доза облучения может составить, в среднем, 2-10 миллизиверт за одно исследование.







Date: 2015-07-01; view: 778; Нарушение авторских прав



mydocx.ru - 2015-2026 year. (0.101 sec.) Все материалы представленные на сайте исключительно с целью ознакомления читателями и не преследуют коммерческих целей или нарушение авторских прав - Пожаловаться на публикацию