Главная Случайная страница


Полезное:

Как сделать разговор полезным и приятным Как сделать объемную звезду своими руками Как сделать то, что делать не хочется? Как сделать погремушку Как сделать так чтобы женщины сами знакомились с вами Как сделать идею коммерческой Как сделать хорошую растяжку ног? Как сделать наш разум здоровым? Как сделать, чтобы люди обманывали меньше Вопрос 4. Как сделать так, чтобы вас уважали и ценили? Как сделать лучше себе и другим людям Как сделать свидание интересным?


Категории:

АрхитектураАстрономияБиологияГеографияГеологияИнформатикаИскусствоИсторияКулинарияКультураМаркетингМатематикаМедицинаМенеджментОхрана трудаПравоПроизводствоПсихологияРелигияСоциологияСпортТехникаФизикаФилософияХимияЭкологияЭкономикаЭлектроника






Зубная формула





Группа верхних резцов включает в себя два центральных резца и два боковых резца, причем центральные резцы являются ключевыми зубами данного класса, а боковые резцы считаются вариабельными и в большей степени подвержены изменениям, редукции (рис. 552).

Рис. 551

Группа нижних резцов также состоит из 2 центральных и 2 боковых зубов, отличающихся от верхних меньшими размерами, узкими, долотообразными коронками. Однако ключевыми зубами в данном классе являются боковые резцы, они наиболее стабильны. Редукции подвержены центральные резцы нижней челюсти, их размеры являются самыми минимальными из всех представителей зубов (рис. 553, 554). Изящность и грациозность строения коронок нижних резцов требуют от стоматологов применения наиболее тонких подходов в моделировании поверхностей.

Рис. 552

Определенные морфологические показатели, такие как высота, ширина, толщина коронки в соответствующих зонах (шейка, тело, режущий край), задают габаритные очертания зубов. Разнообразие основных морфологических характеристик коронок приводит к существованию определенных форм резцов: квадратной (рис. 555), конической (рис. 556), овальной (рис. 557) (Williams, 1907 г.).

Интересно также проанализировать рельеф поверхностей, который имеет различные варианты, дифференцируя коронку зуба в большей или меньшей степени. Особенно хорошо просматривается дифференциация поверхности резцов в молодом возрасте, когда хорошо выражены мамелоны (эмалево-дентинные валики), которые в свою очередь формируют ре-



ХУДОЖЕСТВЕННОЕ МОДЕЛИРОВАНИЕ И РЕСТАВРАЦИЯ ЗУБОВ


 




 


 


Рис. 553


Рис. 554


 



 


Рис. 555 Рис. 556

жущий край, а также задают контуры контактным поверхностям (рис. 558, рис. 559).

Расположение и степень выраженности мамелонов различны. Это могут быть совершенно невыраженные валики, без углублений, практически плоские поверхности коронок (рис. 560).

Рис. 557

Встречаются четко выраженные 3-4 эма-лево-дентинных валика, имеющие определенную направленность, придающие коронке зуба соответствующую форму. Часто ма-мелоны просматриваются в любых проекциях, выделяясь практически на всех поверхностях (рис. 561). Ход основных (продольный, медиальный, дистальный) валиков может меняться в различных зонах, меняя направление гребней по вертикальной, сагиттальной и горизонтальной плоскостям (рис. 562, 563), тем самым создавая неповторимость и индивидуальность форм и объемов.

Наличие мамелонов имеет значение в формировании цветовой гаммы коронок зубов.


ПРОСТРАНСТВЕННОЕ МОДЕЛИРОВАНИЕ ЗУБОВ



 



 


 


Рис. 558


Рис. 559


 



 


 


Рис. 560


Рис. 561


 




 


 



 


Рис. 562

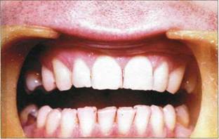
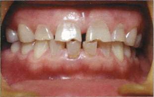
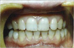
Учитывая, что Homo sapiens существо социальное, определяющим и ведущим звеном внешнего облика является его улыбка. От того, как человек улыбается, насколько гармонирует форма зубов с другими чертами лица зависит его успех в обществе, степень раскрепощенности при общении, наличие или отсутствие психологических комплексов, обворожительность, симпатия и самое главное — здоровье (рис. 564).


Рис. 563


Рис. 564



ХУДОЖЕСТВЕННОЕ МОДЕЛИРОВАНИЕ И РЕСТАВРАЦИЯ ЗУБОВ


Рис. 565
Рис. 566

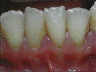
Природа наградила группу резцов очень важными функциями. В основном это захват, отрыв пищи и ее частичное пережевывание. Поверхности зубов с гранями, располагающиеся под соответствующим углом друг к другу, великолепно отрезают соприкасающиеся с ними предметы по принципу "гильотины". Не совершая лишних движений, с минимальным усилием челюсти соприкасаются между собой посредством острых граней противоположно стоящих резцов, срабатывает механизм рассечения поверхностей, а далее происходит переработка пищи, в которой принимает участие весь зубочелюстной аппарат. По истечении определенного времени, при постоянной эксплуатации человеческого организма происходит физиологическое истирание твердых тканей зубов (эмали, дентина), меняется толщина режущего края, кривизна вестибулярных и оральных поверхностей, угол граней и путь соприкосновения контактирующих поверхностей в момент откусывания пищи (рис. 565-567).

Рис. 567

Изменение форм коронок резцов при постоянных нагрузках приводит к нарушению функций зубочелюстной системы. Появляются нагрузки, превышающие предел прочности материала зубов, что приводит к их разрушению, а также к изменению количества и объема нерациональных движений, временной интервал процесса жевания пищи при этом увеличивается, а сам акт жевания для зубочелюстного аппарата затруднен. Не срабатывают острые грани "гильотины", приходится не рассекать откусываемый предмет, а лишь только перетирать его более тупыми гранями, образующимися фасетками на режущих краях. При исполнении реставрационных работ необходимо учитывать естественную изначальную анатомию коронок зубов, геометрию их поверхностей, согласованную с траекторией последующих движений. Важно изучать биомеханические взаимодействия зубочелюстного аппарата, чтобы восстанавливаемые ткани в полном объеме воспроизводили необходимые движения, а механизм взаимодействия органов и тканей полости рта функционировал более рационально.



ПРОСТРАНСТВЕННОЕ МОДЕЛИРОВАНИЕ ЗУБОВ



ПЕРВЫЙ РЕЗЕЦ НИЖНЕЙ ЧЕЛЮСТИ

Центральный резец нижней челюсти имеет наименьшие размерные характеристики по отношению к другим зубам. Он является вариабельным в группе нижних резцов, подвержен изменениям в строении в большей степени, чем ключевой — боковой резец.

Демонстрируется вестибулярная поверхность нижнего левого центрального резца (рис. 568, 569).

Рис. 568
Рис. 569
Рис. 569.1 — продольный валик; 2 — медиальный валик; 3 — дистальный валик; 4 — медиальное углубление; 5 — дисталь-ное углубление; 6 — экватор зуба; 7 — анатомическая шейка; 8 — медиальный угол; 9 — дистальный угол

Узкая и высокая вестибулярная поверхность нижнего центрального резца напоминает долотообразную форму, с тремя валиками: продольным — (1), медиальным — (2), дистальным — (3). Краевые валики выражены более четче, чем продольный. Каждый из валиков заканчивается на режущем крае небольшим вздутием эмали. Признак угла на коронке нижнего центрального резца не просматривается, так как медиальный (8) и дистальный (9) углы мало чем отличаются друг от друга. Валики разделены между собой незаметными канавками (медиальная — (4), дистальная — (5)). В средней трети все три валика сливаются образуя плоский, плохо выраженный экватор (6).

Язычная поверхность коронки нижнего левого центрального резца представлена на рис. 570, 571.

Отмечается малая степень дифференциации язычной поверхности коронки, где просматриваются основные валики: слабо выраженный продольный (1), более выраженные медиальный (2) и дистальный (3). Углубления, разделяющие валики, практически не определяются. Пришеечная и средняя трети представлены единой, слегка округлой в области шейки недифференцированной поверхностью.

Медиальная контактная поверхность (1) напоминает форму клина (рис. 572, 573).



 


 


Рис. 570


Рис. 571


Рис. 572


Рис. 573


 


Рис. 571. 1 — продольный валик; 2 — медиальный валик; 3 — дистальный валик; 4 — анатомическая шейка; 5 — медиальный угол; 6 — дистальный угол


Рис. 573. 1 — медиальная поверхность; 2 — вестибулярный контур; 3 — язычный контур; 4 — анатомическая шейка



ХУДОЖЕСТВЕННОЕ МОДЕЛИРОВАНИЕ И РЕСТАВРАЦИЯ ЗУБОВ


Вестибулярный контур (2) имеет небольшой равномерный наклон от шейки зуба к режущему краю. Линия, обозначающая язычный контур (3), достаточно выпуклая в пришеечной области, в средней трети изгибается и практически вертикально стремится к режущему краю. Таким образом, толщина коронки зуба в области шейки в несколько раз превышает толщину режущего края, что придает зубу устойчивость, возможность противостоять достаточным нагрузкам и создает режущий момент в процессе отрыва пищи.


Рис. 574, 575 представляют дистальную контактную поверхность (1) нижнего левого центрального резца.

Рис. 574
Рис. 575
Рис. 574. 1 — дистальная поверхность; 2 — вестибулярный контур; 3 — язычный контур; 4 — анатомическая шейка

Строение дистальной контактной поверхности аналогично вышеописанной медиальной поверхности коронки 41 зуба. Однако в связи с выраженным диетальным

краевым валиком, который развит в центре коронковой части, небный контур (3) приобретает большую изогнутость, расположенную на границе средней и окклюзионной трети, что делает коронку зуба массивнее.







Date: 2015-07-17; view: 1741; Нарушение авторских прав



mydocx.ru - 2015-2026 year. (0.492 sec.) Все материалы представленные на сайте исключительно с целью ознакомления читателями и не преследуют коммерческих целей или нарушение авторских прав - Пожаловаться на публикацию