Главная Случайная страница


Полезное:

Как сделать разговор полезным и приятным Как сделать объемную звезду своими руками Как сделать то, что делать не хочется? Как сделать погремушку Как сделать так чтобы женщины сами знакомились с вами Как сделать идею коммерческой Как сделать хорошую растяжку ног? Как сделать наш разум здоровым? Как сделать, чтобы люди обманывали меньше Вопрос 4. Как сделать так, чтобы вас уважали и ценили? Как сделать лучше себе и другим людям Как сделать свидание интересным?


Категории:

АрхитектураАстрономияБиологияГеографияГеологияИнформатикаИскусствоИсторияКулинарияКультураМаркетингМатематикаМедицинаМенеджментОхрана трудаПравоПроизводствоПсихологияРелигияСоциологияСпортТехникаФизикаФилософияХимияЭкологияЭкономикаЭлектроника






Постоянные зубы





Для создания правильной конфигурации зубов, зубного ряда врачам-реставраторам необходимы подробные сведения о морфологических параметрах коронок зубов, знания их формы, одонтоглифики и других особенностях строения. Неправильное моделирование формы зуба приводит к нарушению его функции, в результате чего меняется функция как зубного ряда, так и всей зубочелюстной системы в целом.

В настоящее время расширяются возможности и подходы к моделированию твердых тканей зубов. Объем мероприятий уже не ограничивается восстановлением какого-либо одного зуба как функциональной единицы, а при необходимости (истирание эмали, травмы, наличие трем, диастем) возмещаются целые группы зубов. Именно здесь необходимы знания о высоте, мези-



ХУДОЖЕСТВЕННОЕ МОДЕЛИРОВАНИЕ И РЕСТАВРАЦИЯ ЗУБОВ


одистальных, вестибулолингвальных размерах коронок зубов, их интегральных показателей (модуль, индекс, массивность).

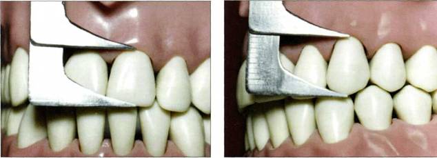
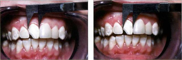
Для объективной морфологической оценки состояния коронок зубов врачу-реставратору необходимо пользоваться одонтометрией. Существует несколько методик проведения одонтометрических измерений. Если объем предстоящих реставрационных работ незначительный, то можно произвести измерения непосредственно в полости рта при приеме пациента в стоматологическом кресле (рис. 81-83).



 


 


Рис.81


Рис. 82


Рис. 83

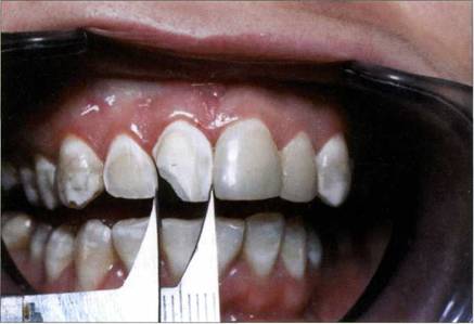
Если реставрации подвергается группа зубов и отсутствует информация о морфологических параметрах зубочелюстной системы, то более правильным, на наш взгляд, считается снятие анатомических слепков, изготовление диагностических моделей с применением супергипса и проведение замеров на моделях. Морфометрия зубов производится с применением штангенциркуля с заостренными ножками (точность измерения до 0,1 мм).

При исполнении реставрационных работ коронку зуба характеризуют наиболее информативные одонтометрические показатели, такие как высота коронки (Н сог), мезиодистальный размер коронки (MD сог), вестибулолингвальный размер коронки (VL сог).


ХАРАКТЕРИСТИКА ЗУБОЧЕЛЮСТНОИ СИСТЕМЫ ПРИ ПРОВЕДЕНИИ ХУДОЖЕСТВЕННОЙ РЕСТАВРАЦИИ ЗУБОВ



МОРФОМЕТРИЯ ВЫСОТЫ КОРОНОК ЗУБОВ

Высотой коронок в группе резцов как верхних, так и нижней челюстей является расстояние от средней точки режущего края до маргинального уровня десны по вертикальной линии на вестибулярной поверхности (рис. 84).

Высотой коронок как верхних, так и нижних клыков является расстояние от вершины рвущего бугра до маргинального уровня десны по вестибулярной поверхности (рис. 85).



 


 


Рис. 84


Рис. 85


Высотой коронок группы премоляров является расстояние от вершины щечного бугра до маргинального уровня десны по вестибулярной поверхности (рис. 86).

Высотой коронок в области моляров является расстояние от наиболее глубокорасположенной точки в фиссуре между передним и задним щечными буграми до маргинального уровня десны по вестибулярной поверхности (рис. 87).



Рис. 86


Рис. 87








Date: 2015-07-17; view: 1399; Нарушение авторских прав



mydocx.ru - 2015-2026 year. (0.828 sec.) Все материалы представленные на сайте исключительно с целью ознакомления читателями и не преследуют коммерческих целей или нарушение авторских прав - Пожаловаться на публикацию