Главная Случайная страница


Полезное:

Как сделать разговор полезным и приятным Как сделать объемную звезду своими руками Как сделать то, что делать не хочется? Как сделать погремушку Как сделать так чтобы женщины сами знакомились с вами Как сделать идею коммерческой Как сделать хорошую растяжку ног? Как сделать наш разум здоровым? Как сделать, чтобы люди обманывали меньше Вопрос 4. Как сделать так, чтобы вас уважали и ценили? Как сделать лучше себе и другим людям Как сделать свидание интересным?


Категории:

АрхитектураАстрономияБиологияГеографияГеологияИнформатикаИскусствоИсторияКулинарияКультураМаркетингМатематикаМедицинаМенеджментОхрана трудаПравоПроизводствоПсихологияРелигияСоциологияСпортТехникаФизикаФилософияХимияЭкологияЭкономикаЭлектроника






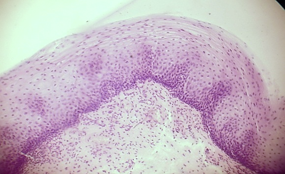
Окраска гематоксилином и эозиом

Щека.Слизистый отдел. Максиллярная зона.

Окраска гематоксилином и эозином.

Среднее увеличение.

Многослойный плоский неороговевающий эпителий слизистой оболочки


Сетчатый слой собственной пластинки слизистой оболочки (плотная неоформленная ткань), внутренний волокнистый слой
сосуды
Сосочковый слой собственной пластинки слизистой оболочки (РСТ), наружный волокнистый слой

Среднее увеличение.

Жировые клетки
Пучки коллагеновых волокон
Секреторные отделы слизисто-белковых щечных желез в подслизистой основе (РСТ)

 

Мягкое небо.

Ротоглоточная поверхность мягкого неба.

Окраска гематоксилином и эозиом.

Многослойный плоский неороговевающий эпителий слизистой оболочки  
Среднее увеличение.

Сетчатый слой собственной пластинки слизистой оболочки (плотная неоформленная ткань), внутренний волокнистый слой  
Сосочковый слой собственной пластинки слизистой оболочки (РСТ), наружный волокнистый слой  

Секреторные отделы слизистых слюнных желез в подслизистой основе (РСТ)  
Жировые клетки в подслизистой основе



<== предыдущая | следующая ==>
Глоссарий. Абсолютное преимущество – возможность государства, региона, компании, возникающая вследствие географического положения | Глава 1. Экономическая теория и современная экономика





Date: 2015-09-22; view: 598; Нарушение авторских прав



mydocx.ru - 2015-2026 year. (2.745 sec.) Все материалы представленные на сайте исключительно с целью ознакомления читателями и не преследуют коммерческих целей или нарушение авторских прав - Пожаловаться на публикацию