Главная Случайная страница


Полезное:

Как сделать разговор полезным и приятным Как сделать объемную звезду своими руками Как сделать то, что делать не хочется? Как сделать погремушку Как сделать так чтобы женщины сами знакомились с вами Как сделать идею коммерческой Как сделать хорошую растяжку ног? Как сделать наш разум здоровым? Как сделать, чтобы люди обманывали меньше Вопрос 4. Как сделать так, чтобы вас уважали и ценили? Как сделать лучше себе и другим людям Как сделать свидание интересным?


Категории:

АрхитектураАстрономияБиологияГеографияГеологияИнформатикаИскусствоИсторияКулинарияКультураМаркетингМатематикаМедицинаМенеджментОхрана трудаПравоПроизводствоПсихологияРелигияСоциологияСпортТехникаФизикаФилософияХимияЭкологияЭкономикаЭлектроника






Изучить и зарисовать следующие препараты





Препарат № 169. Печень свиньи. Окраска: Ван Гизон.

На малом увеличении обратить внимание на четко выраженное дольчатое строение органа благодаря наличию междольковых соединительно-тканных перегородок розового цвета - окраска соединительной ткани. Паренхима окрашена в желтовато-коричневый цвет. В центре дольки видна центральная вена (без мышечного типа). На периферии долек видны триады, состоящие из междольковой артерии (диаметр мал в результате сокращения миоцитов стенки), междольковой вены (имеет зияющий просвет, заполнена эритроцитами, лейкоцитами, стенка вены тоньше, чем артерии); определить и междольковый желчный проток, который можно отличить по круглым ядрам, выстилающих его холангиоцитов. Крупная вена на периферии дольки (не сопровождаемая междольковыми артерией и желчным протоком) представляет собой поддольковую (собирательную) вену. На большом увеличении хорошо видны печеночные пластинки. Составляющие их гепатоциты имеют крупные круглые ядра, встречаются и двуядерные гепатоциты. Область к о нтакта двух рядов гепатоцитов внутри балки представляет собой желчный капилляр. Его просвет на световом уровне изучения не просматривается. Ретикулоэндотелиальные клетки синусоидных капилляров, в отличие от гепатоцитов, имеют темные плоские ядра. Изредка между ретикулоэндотелиоцитами располагаются звездчатые макрофаги - клетки Купфера. Ядра их несколько крупнее ретикулоэндотелиоцитов.

Зарисовать в крупном плане несколько поперечных срезов долек, междольковую соединительную ткань. Обозначения см. в препарате печени человека.

Фотографии:

1) долька. 2) печеночная балка. 3) центральная вена. 4) внутридольковые венозные синусоидные капилляры. 5) междольковая соединительная ткань. 6) триада: а) междольковая артерия, б) междольковая вена, в) междольковый желчный проток.

Препарат № 168. Печень человека. Окраска гематоксилин-эозин.

На малом увеличении микроскопа отметить слабую выраженность дольчатого строения. Так как соединительная ткань между дольками не выражена, границы долек определяются по расположению печеночных пластинок и междольковых сосудов, образующих триаду.

На большом увеличении изучить строение печеночных долек. По периферии долек, где имеются прослойки соединительной ткани, определить триады, а в них: сосуды, желчные протоки. Зарисовать крупным планом 2-3 печеночные дольки, при этом отобразить в рисунке слабо развитую междольковую ткань.

Определить, зарисовать и обозначить:

I. Долька печени: 1. Центральная вена. 2. Печеночные пластинки: а) гепатоциты. 3. Синусоидные капилляры: б) ядра ретикулоэндотелиальных клеток, в) клетки Купфера. II. Междольковая соединительная ткань. 4. Триада: г) междольковая вена, д) артерия, е) желчный проток. 5. Собирательная вена.

Фотографии:

1) центральная вена.2) поддольковая вена. 3) синусоидные каппиляры. 1а) эндотелий. 1б) соединительная ткань.

 

Малое увеличение среднее увеличение

 

Триада: 1. вена, 2. артерия, 3. желчный проток, 4. вена.

 

 

Клетки Купфера (фагоциты) в синусоидных капиллярах

 

 

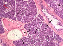
Панкреатические островки (островки Лангерганса) и ацинусы

 

Препарат № 172 Поджелудочная железа. Окраска гематоксилин-эозин.

На малом увеличении микроскопа изучить общий план строения железы. Обратить внимание на то. Что розовые прослойки соединительной ткани делят железу на дольки. В прослойках следует отыскать междольковый выводной проток, выстланный однослойным призматическим эпителием, и кровеносные сосуды, которые легко отличить от протока, так как клетки эндотелия, выстилающие их плоские. Внутри дольки отыскать внутридольковые вставочные протоки. Последние имеют небольшой диаметры и выстланы кубическим эпителием, имеют просвет. Определить интенсивно окрашенные концевые отделы экзокринной части железы. В секреторных клетках концевых отделов изучить базальная часть - гомогенную зону, и апикальную часть - зимогенную зону, содержащую ацидофильные гранулы.

Между секреторными отделами встречаются светлые островки, составляющие эндокринную часть. На большом увеличении в эндокринных панкреатических островках рассмотреть крупные капилляры и ядра инсулиноцитов.

Определить, зарисовать и обозначить:

А Эндокринная часть железы. I. Долька железы. 1. Концевые секреторные отделы. 2. Секреторные клетки: а) гомогенная зона секреторных клеток; б) зимогенная зона секреторных клеток. 1. Внутридольковый выводной проток. II. Междольковая соединительная ткань. 1. Междольковый выводной проток. 2. Сосуды. III. Эндокринная часть железы. 1. Островки Лангерганса: в) клетки продуцирующие гормоны; г) синусоидные капилляры.


Фотографии:

1) соединительные перегородки. 2) панкреатические ацинусы. 3) выводные протоки. 4) островки Лангерганса. 5) кровеносные сосуды. 6) тельца Фатер-Пачини (пластинчатые).

 

Малое увеличение

 

 

Демонстрационные препараты:

Препарат: Макрофаги печени. Введение туши – гематоксилин – кармин.

Препарат: Гликоген в клетках печени. Окраска: ШИК-реакция и гематоксилин

Найти при большом: 1) гепатоциты; 2) ядра гепатоцитов; 3) гранулы гликогена в гепатоцитах.

Препарат: Островок поджелудочной железы.Окраска по методу по ШИК - реакция и гематоксилин.

Найти при большом увеличении: 1) В-клетки; 2) А - клетки; 3) кровеносные капилляры.







Date: 2015-09-19; view: 2652; Нарушение авторских прав



mydocx.ru - 2015-2026 year. (1.379 sec.) Все материалы представленные на сайте исключительно с целью ознакомления читателями и не преследуют коммерческих целей или нарушение авторских прав - Пожаловаться на публикацию