Главная Случайная страница


Полезное:

Как сделать разговор полезным и приятным Как сделать объемную звезду своими руками Как сделать то, что делать не хочется? Как сделать погремушку Как сделать так чтобы женщины сами знакомились с вами Как сделать идею коммерческой Как сделать хорошую растяжку ног? Как сделать наш разум здоровым? Как сделать, чтобы люди обманывали меньше Вопрос 4. Как сделать так, чтобы вас уважали и ценили? Как сделать лучше себе и другим людям Как сделать свидание интересным?


Категории:

АрхитектураАстрономияБиологияГеографияГеологияИнформатикаИскусствоИсторияКулинарияКультураМаркетингМатематикаМедицинаМенеджментОхрана трудаПравоПроизводствоПсихологияРелигияСоциологияСпортТехникаФизикаФилософияХимияЭкологияЭкономикаЭлектроника






Общая часть. Цирроз печени - хроническое прогрессирующее заболевание, проявляющееся нарушением функции печени и повышением давления в системе венозных сосудов печени

Цирроз печени - хроническое прогрессирующее заболевание, проявляющееся нарушением функции печени и повышением давления в системе венозных сосудов печени (портальная гипертензия).

При циррозе печени развиваются необратимые изменения в структуре органа (избыточное разрастание соединительной ткани и формирование ложных долек).

Основными причинами возникновения цирроза печени являются алкоголизм и вирусные гепатиты.

У пациентов с циррозами печени могут возникать различные проявления заболевания, которые зависят от причины, стадии болезни и активности патологического процесса. Примерно в 20% случаев цирроз протекает бессимптомно. У больных циррозами печени наблюдаются носовые кровотечения, слабость, повышенная утомляемость, снижение работоспособности и аппетита, вздутие живота, неустойчивость стула, тупая боль в правой половине живота, кожный зуд, повышение температуры тела.

На поздних стадиях заболевания наблюдаются: портальная гипертензия (повышение давления в системе венозных сосудов печени), асцит (появление в брюшной полости свободной жидкости в больших количествах) и печеночная недостаточность (тяжелые нарушения функции печени) с развитием печеночной энцефалопатии (возникновение нарушений со стороны ЦНС).

Диагноз цирроза печени ставится на основании проявлений заболевания, результатов лабораторных тестов (анализы крови), инструментальных методов обследования (ультразвуковое и компьютерно-томографическое исследование печени), подтверждается данными биопсии печени.

Лечение проводится с учетом имеющихся проявлений заболевания.

  • Что надо знать о циррозе печени?

При циррозе печени в органе формируются узлы. Они могут быть мелкими (мелкоузловой или микронодулярный цирроз печени), когда диаметр узлов не превышает 3 мм, и крупными (крупноузловой или макронодулярный цирроз печени), когда диаметр узлов более 3 мм. В некоторых случаях возникает смешанный цирроз печени, при котором наблюдаются различные размеры узлов.

Циррозы печени, в отличие от гепатитов - необратимые заболевания, то есть вылечить цирроз невозможно, так как структура печени нарушена.

В настоящее время в мире заболеваемость циррозом печени составляет около 20-40 на 100 тыс. населения, и этот показатель растет.

Ежегодно в США от хронических заболеваний печени, в том числе и от цирроза, погибают 350 тыс. человек. Среди причин смерти в этой стране цирроз печени находится на 9-м месте, составляя в структуре смертности 1,2%. В большинстве случаев - это люди в возрасте 50-60 лет.

Среди причин хронических заболеваний печени и развивающегося на их фоне цирроза, на первом месте - злоупотребление алкоголем (35,5 - 40,9% случаев); на втором - вирус гепатита С (19,1-25,1% случаев).

Частота развития цирроза печени в целом у мужчин выше, чем у женщин: (1,5-3):1. Различия определяются причинами заболевания (например, алкогольный цирроз печени чаще возникает у мужчин).

Показатели смертности от цирроза печени: 49:100 000 мужчин в возрасте 65-74 лет; 26,7:100 000 женщин в возрасте 75-84 лет. В структуре смертности от цирроза печени доля алкогольного цирроза составляет 42,8-63,4%; цирроза, развившегося вследствие хронического гепатита С - 8,6-11,8%.

 

  • Причины возникновения цирроза печени

В большинстве случаев наиболее частыми причинами развития цирроза являются вирусы хронического гепатита B и C и злоупотребление алкоголем.

    • Алкоголь.

При ежедневном приёме 80 - 160 мл этилового спирта через 5 - 10 лет может возникнуть алкогольный цирроз печени. Частота цирроза печени у людей, злоупотребляющих алкоголем, достигает 35%. Болеют, в основном, мужчины старше 40 лет. После прекращения употребления алкоголя состояние больных улучшается.

    • Вирусные гепатиты.

Хронические вирусные гепатиты В и С приводят к развитию цирроза в 15-26% случаев. Кроме того, у пациентов с хроническими вирусными гепатитами высока вероятность развития рака печени (гепатоцеллюлярной карциномы): 1-5% через 20 лет от начала возникновения инфекции.

    • Хронический аутоиммунный гепатит.

Хронический аутоиммунный гепатит характеризуется тем, что у пациентов имеются нарушения со стороны иммунной системы, которая начинает вырабатывать антитела, разрушающие ткань печени. Аутоиммунный гепатит в редких случаях может быть результатом ранее перенесенного вирусного гепатита А.

    • Заболевания желчных путей.

Заболевания желчных путей (сужения желчевыводящих путей, склерозирующий холангит, первичный холестатический гепатит), при которых наблюдаются нарушения оттока желчи, могут стать причиной развития первичных и вторичных билиарных циррозов. Билиарные циррозы встречаются в 5 - 10% всех случаев циррозов печени.


    • Болезни обмена веществ.

Существует целый ряд болезней обмена веществ, которые имеют наследственную природу и могут приводить к развитию цирроза печени.

    • Гемохроматоз.

Характеризуется нарушением обмена железа в организме и его накоплением в печени.

    • Болезнь Вильсона-Коновалова (гепатолентикулярная дегенерация).

Характеризуется нарушением обмена железа в организме и его накоплением в печени и ЦНС.

    • Дефицит альфа1-антитрипсина.

Альфа1-антитрипсин - вещество, тормозящее активность ряда ферментов в организме (трипсина, химотрипсина, плазмина, тромбина, гиалуронидазы, протеаз). Недостаточность альфа1-антитрипсина приводит к повышенному накоплению этих ферментов и к повреждению ими тканей легких и печени.

    • Гликогенозы.

Группа болезней, в основе которых - недостаточность ферментов, участвующих в обмене гликогена; в результате происходит накопление избыточных количеств гликогена во внутренних органах, в частности, в печени.

    • Галактоземия.

Характеризуется нарушением углеводного обмена вследствие отсутствия фермента галактозо-1-фосфат-уридилтрансферазы.

    • Муковисцидоз.

Характеризуется нарушением обмена натрия и хлора, в результате чего повышается вязкость желчи и секретов слюнных, потовых, слезных желез, а также желез дыхательного тракта, кишечника, поджелудочной железы. Это приводит к патологическим изменениям во многих органах, в том числе к формированию цирроза печени.

    • Воздействие медикаментозных препаратов.

Цирроз печени может быть вызван приемом таких препаратов, как: метотрексат, альфа- метилдопа, амиодарон, галотан, изониазид. Эти медикаменты способны приводить к молниеносной печеночной недостаточности (острому тяжёлому нарушению функции печени).

    • Кроме того, цирроз печени может развиваться у пациентов с хронической сердечной недостаточностью, с синдромом Бадда-Киари (характеризуется прогрессирующим сужением или закрытием печеночных вен), после шунтирующих операций на кишечнике, при саркоидозе при паразитарных и инфекционных заболеваниях (эхинококкоз, бруцеллез, описторхоз, токсоплазмоз).
    • Частота возникновения циррозов печени с неустановленной причиной (криптогенные циррозы печени) может составлять 20-30%. Они наблюдаются в основном у женщин.
  • Строение печени и ее функции в организме человека

Печень - это самый крупный орган человеческого организма. Его масса достигает 1500 г, что составляет примерно 1/50 часть от массы всего тела.


Строение печени и ее расположение в брюшной полости человека.

В печени выделяют две доли - левую и правую (которая почти в 6 раз больше).

Печень выполняет множество функций: синтезирует белки, факторы свертывающей системы крови, гемоглобин, компоненты иммунной системы; участвует в обмене жиров, углеводов, витаминов; вырабатывает и выделяет желчь для осуществления процесса пищеварения; является местом накопления и хранения жиров, микроэлементов.

Кроме того, печень обезвреживает различные соединения, поступающие в организм из окружающей среды (в том числе - лекарства), а также токсичные вещества (например, аммиак), поступающие к ней с кровью из желудочно-кишечного тракта.


Кровь от органов ЖКТ и селезенки поступает в печень через воротную (портальную) вену. Воротная (портальная) вена, разветвляясь внутри печени, подходит к долькам печени.

Структурной и функциональной единицей печени является печеночная долька. В печени человека примерно 500 000 печёночных долек. Долька имеет форму призмы с максимальным диаметром поперечного сечения от 1,0 до 2,5 мм. Пространство между дольками заполнено небольшой массой соединительной ткани. В ней располагаются междольковые жёлчные протоки, и вены. Каждая долька оплетена густой сетью капилляров из систем печеночной артерии и воротной вены, проникающих внутрь дольки. Обычно междольковые артерия, вена и проток расположены рядом, образуют печёночную триаду.

В течение одной минуты через печень протекает более полутора литров крови.

Портальная (венозная) система печени.

Портальная система печени и, расположение органов в брюшной полости.

Разветвление воротной (портальной) вена внутри печени. Макропрепарат.

Строение печеночной дольки.

Окрашенный микропрепарат печеночной дольки.

При выходе из долек формируются центральные вены, которые, сливаясь между собой, образуют печеночные вены, впадающие в нижнюю полую вену. Таким образом, венозная кровь, идущая из органов ЖКТ к сердцу, проходит систему воротной (портальной) вены печени.

 

  • Изменения в печени при циррозе

При циррозе печени развиваются необратимые изменения в структуре органа: избыточное разрастание соединительной ткани (фиброз) и формирование ложных долек за счет образования узлов.

Узлы могут быть мелкими (мелкоузловой или микронодулярный цирроз печени), когда их диаметр не превышает 3 мм, и крупными (крупноузловой или макронодулярный цирроз печени), когда диаметр узлов более 3 мм. В некоторых случаях возникает смешанный цирроз печени, при котором наблюдаются различные размеры узлов.


Макронодулярный цирроз печени (узлы более 1-2 см в диаметре).

При циррозе печени нарушается нормальный кровоток по кровеносным сосудам. Это происходит из-за нарушения нормальной структуры печени и формирования узлов. Узлы сдавливают кровеносные сосуды печени.

Вследствие структурных нарушений печень уже не способна принимать прежние объемы крови и осуществлять свои многочисленные функции.

Для того чтобы компенсировать эти изменения в ткани печени образуются новые сосуды, которые окружают узлы, обнаруживаемые в печени при циррозе. Благодаря новым сосудам из печени осуществляется отток относительно небольших объемов крови под высоким давлением. Формируются внутрипеченочные шунты, соединяющие систему воротной (портальной) вены с печеночными венами. Давление в воротной (портальной) вене повышается.

Замедляется кровоток в системе воротной (портальной) вены, формируется система коллатерального (обходного) кровообращения. Кровь поступает в кровеносные сосуды желудка, пищевода.


Вены вдоль пищевода и верхней трети желудка, вены вокруг пупка и прямой кишки оказываются переполненными кровью, в них значительно повышается давление. Постоянное повышение давления в этих сосудах приводит к их варикозному расширению, истончению стенок. Поэтому часто возникают разрывы варикозных вен и развиваются кровотечения.

 

  • Как проявляется цирроз печени?

Проявления цирроза печени зависят от причины, вызвавшей цирроз, стадии заболевания и активности процесса.

Примерно в 20% случаев цирроз протекает бессимптомно. Во многих случаях на протяжении длительного времени больные циррозом печени чувствуют себя удовлетворительно, но у них отмечаются метеоризм (усиление процессов газообразования в кишечнике) и повышенная утомляемость. У пациентов с циррозами печени наблюдаются носовые кровотечения, слабость, повышенная утомляемость, снижение работоспособности и аппетита, вздутие живота, неустойчивость стула, тупая боль в правой половине живота, быстрое насыщение при еде с чувством переполнения желудка, кожный зуд, повышение температуры тела.

Боль (или тяжесть в животе) у пациентов с циррозом печени - тупая, преимущественно в области правого подреберья. Облегчения болевого синдрома после приема спазмолитических препаратов не наступает.

У пациентов с циррозом печени наблюдаются также: желтушность кожных покровов, склер и видимых слизистых оболочек, ладонная эритема (покраснение ладоней), обилие мелких нитевидных подкожных сосудов на лице (телеангиэктазии) и теле («сосудистые звездочки»), кожный зуд; деформация концевых фаланг пальцев по типу «барабанных палочек», ногтей по типу «часовых стекол».


Деформация концевых фаланг пальцев по типу «барабанных палочек», ногтей - по типу «часовых стекол».

У мужчин нередко обнаруживается гинекомастия (увеличение молочных желез), уменьшение размеров яичек.


Гинекомастия.

Типично похудание, как вследствие уменьшения жировой ткани, так и в результате атрофии мышц.

    • Течение цирроза печени

Различают три фазы развития цирроза печени: компенсации, субкомпенсации, декомпенсации.

      • В фазе компенсации у пациента можно выявить варикозное расширение вен пищевода и желудка, а также изменение функциональных печеночных показателей в биохимическом анализе крови (увеличение уровней альбумина, холестерина).
      • В субкомпенсированной фазе у больных наблюдаются повышенная утомляемость и усиление процессов газообразования в кишечнике (метеоризм), а также сохраняются проявления, характерные для фазы компенсации.
      • В фазе декомпенсации цирроза печени (в дополнение к уже имеющимся признакам фаз компенсации и субкомпенсации) развиваются осложнения цирроза печени. При декомпенсированном циррозе печени через 3 года остаются в живых 11-40% больных.

 

    • Осложнения цирроза печени
      • Печеночная недостаточность.

Печеночная недостаточность характеризуется появлением нарушений со стороны ЦНС (энцефалопатия).

Возникновение нарушений энцефалопатии связано с избыточным содержанием в крови аммиака и других токсических веществ, образующихся в кишечнике и не обезвреживающихся в печени из-за выраженного нарушения ее функции. В результате аммиак поступает в головной мозг, оказывая отрицательное воздействие.

У пациентов с энцефалопатией наблюдаются: нарушения сна, концентрации внимания; депрессия, тревожность или раздражительность. В дальнейшем (при отсутствии лечения) появляются сонливость, дезориентация, нарушения кратковременной памяти, расстройства поведения. На последней стадии развивается кома. Смертность при печеночной коме составляет 80-100%.

      • Асцит.

Асцит представляет собой скопление жидкости в брюшной полости. В норме этот объем составляет 150 мл. У пациентов с циррозом печени этот показатель повышается значительно (до 2 л и более). У больных отмечается увеличенный живот, отеки на ногах. При наличии асцита продолжительность жизни пациентов составляет 3-5 лет.

      • Портальная гипертензия.

Проявлениями портальной гипертензии являются: увеличение селезенки (спленомегалия), варикозное расширение вен пищевода, желудка (у 90% пациентов с циррозом печени). У пациентов с портальной гипертензией отмечается расширение подкожных вен передней брюшной стенки («голова медузы»), часто возникают кровотечения из варикозных вен пищевода и желудка.


Асцит, «голова медузы» и пупочная грыжа у пациента с циррозом печени и портальной гипертензией.

В 30% случаев возникают кровотечения из варикозно-расширенных вен пищевода, желудка и кишечника. Смертность после первого эпизода кровотечения составляет 30-50%. У 70% пациентов, переживших один эпизод кровотечения из варикозных вен, кровотечения возникают повторно.

      • Инфекции.

Больные циррозом печени подвержены бактериальным и вирусным инфекциям. Чаще всего у таких пациентов возникает спонтанный бактериальный перитонит. Основными проявлениями спонтанного бактериального перитонита являются: повышение температуры тела, озноб, боль в животе. В 30% случаев заболевание протекает бессимптомно.

У больных, перенесших спонтанный бактериальный перитонит, риск повторного возникновения этого осложнения в течение 6 месяцев составляет 43%; в течение 1 года - 69%; в течение 2 лет - 74%.

      • У пациентов с циррозом печени высока вероятность возникновения рака печени (гепатоцеллюлярной карциномы).
      • У пациентов с циррозом печени может развиваться почечная недостаточность.
  • В каких случаях необходимо обратиться к врачу?

Подозрение на цирроз печени может возникнуть, если у пациента, злоупотребляющего алкоголем, перенесшего вирусные или аутоиммунный гепатиты; принимающего лекарственные препараты (например, амиодарон, метотрексат), способные оказать повреждающие воздействие на печень или страдающего болезнями обмена веществ (гемохроматоз, болезнь Вильсона-Коновалова, дефицит альфа-1-антитрипсина, гликогеноз, галактоземия), заболеваниями желчевыводящих путей.

При циррозе печени возникают носовые кровотечения, слабость, повышенная утомляемость, снижение работоспособности и аппетита, вздутие живота, неустойчивость стула; появляется тупая боль в правой половине живота; отмечается быстрое насыщение при еде с чувством переполнения желудка, кожный зуд, повышение температуры тела.

 

  • Как подтверждается или исключается цирроз печени?

Цирроз печени можно заподозрить, если заболевание начинается с проявлений портальной гипертензии (увеличение селезенки, кровотечение из варикозных вен пищевода, желудка, кишечника). Однако во многих случаях, на протяжении длительного времени, больные циррозом печени чувствуют себя удовлетворительно, хотя у них отмечаются метеоризм и повышенная утомляемость.

У пациентов с циррозом печени наблюдаются: желтушность кожных покровов, склер и видимых слизистых оболочек (обусловлена отложением непосредственно под наружными слоями кожи оранжево-коричневого пигмента билирубина), ладонная эритема (покраснение ладоней), обилие мелких нитевидных подкожных сосудов на лице (телеангиэктазии), и теле («сосудистые звездочки»), кожный зуд; деформация концевых фаланг пальцев по типу «барабанных палочек», ногтей - по типу «часовых стекол».

Типично похудание, как вследствие уменьшения жировой ткани, так и в результате атрофии мышц. У мужчин часто обнаруживается гинекомастия (увеличение молочных желез), уменьшение размеров яичек. Печень увеличена, плотная. У 33-46% больных циррозом печени обнаруживаются камни в желчном пузыре. Частота их выявления увеличивается в зависимости от продолжительности и тяжести заболевания.

На поздних стадиях цирроза печени развивается отечно-асцитический синдром (у 50-85% больных): возникают отеки голеней, увеличивается объем живота за счет повышения количества свободной жидкости в брюшной полости (асцит).

Появляются признаки портальной гипертензии (увеличение селезенки, возникновение кровотечений из варикозных вен пищевода, желудка или кишечника). У пациентов с портальной гипертензией отмечается расширение подкожных вен передней брюшной стенки («голова медузы»).

Может развиваться энцефалопатия, характеризующаяся сонливостью, расстройствами поведения, нарушениями памяти; на поздних стадиях возникает кома.

Диагноз ставится на основании результатов клинической оценки, лабораторных анализов (биохимия крови), инструментальных методов обследования (ультразвуковое и компьютерно-томографическое исследование печени). Для точного установления диагноза необходимо проведение биопсии печени.

    • Лабораторные методы исследования
      • Клинический анализ крови.

У больных циррозом печени наблюдается уменьшение количества тромбоцитов. Развитие анемии или других цитопений наблюдается на поздних стадиях заболевания. При гиперспленизме развивается панцитопения (анемия, лейкопения, тромбоцитопения).

Для пациентов с гемохроматозом характерно сочетание высокого содержания гемоглобина с низкими показателями концентрации гемоглобина в эритроцитах.

      • Коагулограмма.

У пациентов с циррозом печени наблюдается снижение протромбинового индекса (отношение стандартного протромбинового времени к протромбиновому времени у обследуемого больного, выраженное и процентах). Референтные значения: 78 - 142 %.

Протромбиновое время (сек) отражает время свертывания плазмы после добавления тромбопластин-кальциевой смеси. В норме этот показатель составляет 15-20 сек.

      • Анализы мочи.

При циррозе печени имеет значение определение параметров, характеризующих почечную функцию (белок, лейкоциты, эритроциты, креатинин, мочевая кислота). Это важно, так как у 57% пациентов с циррозом печени и асцитом выявляется почечная недостаточность (клиренс эндогенного креатинина менее 32 мл/мин при нормальных показателях креатинина в сыворотке крови).

      • Биохимический анализ крови.

В биохимическом анализе крови пациентов с циррозом печени необходимо определять следующие показатели: аланинаминотрансферазу (АлАТ), аспартатаминотрансферазу (АсАТ), щелочную фосфатазу (ЩФ), гамма-глутамилтранспептидазу (ГГТП), билирубин, альбумин, калий, натрий, креатинин.

При компенсированном циррозе печени уровень печеночных ферментов может быть нормальным. Существенное повышение АлАТ, АсАТ, ГГТП наблюдается при алкогольном гепатите с исходом в цирроз, а резкое повышение ЩФ при первичном билиарном циррозе. Кроме того, у больных циррозом печени повышается общий билирубин, снижается содержание альбумина. Активность аминотрансфераз в терминальной стадии цирроза печени всегда снижается (нет функционирующих гепатоцитов и нет ферментов).

Разработана балльная оценка клинических симптомов, позволяющая установить степень тяжести цирроза - шкала Чайльда-Пью (Child-Рugh). Согласно данной шкале различным уровням сывороточного билирубина, альбумина и протромбинового времени, а также имеющимся печеночной энцефалопатии и асциту придают определенные числовые значения. Результаты этой оценки высоко коррелируют с показателями выживаемости больных и результатами трансплантации печени. Определение степени тяжести цирроза печени: индекс Child-Рugh

.

Повышение таких «печеночных» показателей, как билирубин, протромбиновый индекс и альбумин, входящих в критерии шкалы Child- -Pugh, используемой для оценки степени компенсации цирроза и составления краткосрочного прогноза его прогрессирования, отмечаются при циррозе печени классов В и С. Частота превышения нормы ГГТП отмечается при циррозе всех трех классов.

Показатели неблагополучного прогноза: билирубин выше 300 мкмоль/л; альбумин ниже 20 г/л; протромбиновый индекс менее 60%.

      • Определение антител к вирусам хронического гепатита.

Антитела к вирусам, вызывающим хронические гепатиты, должны быть исследованы, даже если цирроз печени имеет прямую зависимость с хронической алкогольной интоксикацией.

        • Диагностика вирусного гепатита В (НВV).

Основной маркер - HbsAg, ДНК НВV. Наличие HBeAg свидетельствует об активности вирусной репликации. Исчезновение HBeAg и появление антител к нему (анти-НВе) характеризует прекращение репликации HBV и трактуется как состояние частичной сероконверсии. Имеется прямая связь между активностью хронического вирусного гепатита В и наличием вирусной репликации и наоборот.

        • Диагностика вирусного гепатита С (НСV).

Основной маркер - антитела к HCV (анти-HCV). Наличие текущей инфекции подтверждается обнаружением РНК HCV. Анти-HCV обнаруживаются в фазе выздоровления и перестают определяться через 1-4 года после острого вирусного гепатита. Повышение этих показателей свидетельствует о хроническом гепатите.

      • Определение концентрации IgA, IgM, IgG в сыворотке крови.

Повышенная концентрация сывороточных IgA, IgM, IgG часто выявляется при алкогольных поражениях печени, первичном билиарном циррозе печени и при аутоиммунных болезнях, но они не всегда закономерно изменяются при лечении, и поэтому результаты этих исследований в ряде случаев трудно оценивать.

      • Определение содержания альфа-фетопротеина (АФП).

Определение АФП пригодно для скрининга гепатоцеллюлярной карциномы в группах риска, особенно на фоне постоянно возрастающей активности таких ферментов, как щелочная фосфатаза, ГГТП, глутаматдегидрогеназа и АсАТ.

Нормальные значения АФП в сыворотке крови здорового человека (у мужчин и небеременных женщин) не превышают 15 нг/мл.

Повышенное содержание АФП обнаруживается при гепатите, но в этом случае его содержание редко превышает 500 нг/мл и носит временный характер.

Повышенное содержание АФП обнаруживается при гепатоцеллюлярных карциномах и тератокарциномах желточного мешка, яичника или яичек. При раке печени уровень АФП повышается ≥ 400 нг/мл. При этом уровень АФП в сыворотке крови (более 1000 нг/мл) коррелирует с размером растущей опухоли и эффективностью терапии. Снижение концентрации АФП в крови после удаления опухоли или лечения до нормального значения служит благоприятным признаком. Повторное повышение уровня или недостаточное его снижение может свидетельствовать о рецидиве заболевания или наличии метастазов.

    • Инструментальные методы исследования
      • Ультразвуковое исследование брюшной полости.

Ультразвуковое исследование брюшной полости позволяет визуализировать желчные пути, печень, селезенку, поджелудочную железу, почки; помогает в дифференциальной диагностике кистозных и объемных образований в печени, более чувствительно в диагностике асцита (выявляет даже 200 мл жидкости), чем физикальное обследование. Использование допплерографии позволяет оценить скорость кровотока в печеночной, портальной и селезе­ночной венах и применяется для диагностики печеночных портальных или селезеночных тромбозов (синдром Бадда-Киари).


УЗИ печени у пациента с циррозом печени. Орган обладает повышенной эхогенностью по сравнению с паренхимой почки (R). Асцит.

      • Радионуклидное сканирование печени.

При радионуклидном сканировании применяют коллоидную серу, меченную технецием (99mТс), которая захватывается клетками Купфера. Изменения структуры печени в виде метастазов или абсцессов выявляются как участки сниженного захвата - «холодные» очаги. С помощью этого метода можно диагностировать диффузные гепатоцеллюлярные заболевания (гепатит, жировой гепатоз или цирроз), гемангиомы, карциномы, абсцессы, скорость печеночной и билиарной секреции, диагностировать острый калькулезный и некалькулезный холецистит.


Снимок 56-летнего пациента с алкогольным циррозом печени. Визуализируется спленомегалия и портальная гипертензия легкой степени.

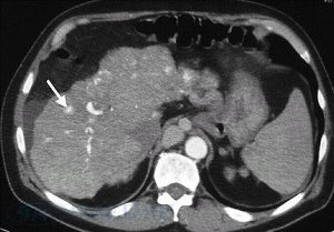
      • Компьютерная томография брюшной полости.

Этот метод позволяет визуализировать контуры и структуру внутренних органов на серийных снимках-срезах.


Узлы регенерации паренхимы печени у пациента с циррозом.


На снимке визуализируется увеличение левой (L) и хвостатой (С) долей печени; фокальный фиброз и атрофические изменения в правой доле (указаны открытой стрелкой). Развитие коллатералей (указаны белыми стрелками).


Снимок пациента с длительным циррозом печени. Визуализируется расширение аорты и правой печеночной артерии (указаны стрелкой внизу). Левая портальная вена также расширена (указана стрелкой вверху). Эти признаки свидетельствуют о наличии крупного артериопортального венозного шунта. Выявляется также спленомегалия.

      • Биопсия печени.

Клинический диагноз должен быть подтвержден биопсией печени, так как лабораторные тесты слабо коррелируют с гистологической картиной цирроза печени и могут не выявлять причины заболевания, которые необходимо учитывать при назначении адекватной терапии. Биопсию можно проводить только при протромбиновом индексе более 60% и количестве тромбоцитов более 60 млн/мл. Процедура проводится под контролем УЗИ.

Противопоказаниями к биопсии печени являются наличие геморрагического синдрома или измененные лабораторные показатели, характеризующие состояние коагуляции (скорость свертывания крови, снижение протромбина, тромбоэластограмма). Биопсию печени необходимо отсрочить до снижения выраженных проявлений активности процесса.

Асцит также является относительным противопоказанием к проведению биопсии печени, так как он может стать причиной осложнений, в частности, кровотечений. Перед проведением биопсии печени с целью профилактики геморрагических осложнений возможно введение 150-200 мл свежезамороженной плазмы. Она является более эффективной в восстановлении коагуляции, чем витамин К (викасол).

При декомпенсированном циррозе печени по показаниям можно воспользоваться методом трансюгулярной биопсии печени, являющимся безопасным для больных и достаточно надежным в получении материала для исследования.

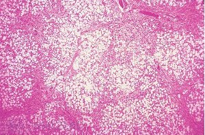
К основным гистологическим критериям цирроза печени относятся: окруженные соединительнотканными септами узлы регенерации паренхимы, не содержащие центральных вен; соединение септами сохранившихся центральных вен и портальных трактов. Нерегулярность архитектоники (наличие гепатоцитов различной величины, утолщение печеночных пластинок, неравномерное изменение просвета сосудов, избыток ветвей печеночной вены по отношению к числу портальных трактов).


Ткань печени в норме.


Микроскопическая картина цирроза печени, развившегося вследствие хронического гепатита С.


Цирроз печени вследствие аутоиммунного гепатита.

Для активного цирроза печени характерны: смазанность границ между септами и паренхимой, ступенчатые некрозы, лимфоидно-клеточная инфильтрация как фиброзной ткани, так и прилежащей паренхимы, набухание гепатоцитов, пролиферация желчных ходов на границе фиброзной ткани и паренхимы.


Гистологические признаки цирроза печени: фиброзные тяжи и микроузлы или псевдодоли. Псевдодоли представляют собой группы гепатоцитов, окруженные участками фиброза. Постепенно микроузлы превращаются в макроузлы.

При неактивном циррозе отсутствует мезенхимально-клеточная инфильтрация как паренхимы, так и соединительной ткани, нет некроза гепатоцитов, выраженной пролиферации желчных ходов, граница между паренхимой и фиброзными тяжами четкая.

    • Дополнительные методы обследования

Дополнительные методы обследования проводятся с целью установления этиологического фактора развития цирроза печени. Можно диагностировать наследственные заболевания (гемохроматоз, дефицит альфа1-антитрипаина, болезнь Вильсона-Коновалова, муковисцидоз) которые могут быть причиной развития цирроза печени.

      • Исследование показателей метаболизма железа.

Исследование показателей метаболизма железа необходимо для выявления лабораторных признаков перегрузки железом и включает определение содержания железа, ферритина и трансферрина сыворотки крови, общей железосвязывающей способности сыворотки (ОЖСС) и расчетного коэффициента насыщения трансферрина железом (НТЖ). Для наследственного гемохроматоза характерно повышение содержания железа и ферритина сыворотки, снижение показателей ОЖСС и трансферрина. Важным лабораторным признаком гемохроматоза служит повышение коэффициента НТЖ у мужчин выше 60%, у женщин - выше 50%.

        • Определение содержания железа сыворотки крови.

Определяемая концентрация железа в сыворотке - это преимущественно Fe (III), связанное с трансферрином сыворотки, за исключением железа, входящего в состав гемоглобина. При гемохроматозе концентрация железа в сыворотке крови повышается.

        • Десфераловый тест.

Десфераловый тест позволяет подтвердить наличие перегрузки железом: после внутримышечного 0,5 г дефероксамина (Десферал) суточная экскреция железа с мочой значительно превышает нормальный уровень (0-5 ммоль/сутки).

      • Определение активности альфа-1-антитрипсина.

Альфа1-антитрипсин - белок, вырабатываемый печенью, который помогает расщеплять трипсин и другие тканевые протеазы. Активность альфа1-антитрипсина определяют методом радиоиммунологического анализа или изоэлектрического фокусирования.

У детей и взрослых установлена связь между циррозом печени и альфа1-антитрипсиновой недостаточностью, при которой наблюдается холестаз. Снижение содержания альфа1-антитрипсина в сыворотке крови и отложение его в гепатоцитах, делают последние более чувствительными к повреждающему действию гепатотоксических веществ, в частности, алкоголя, фармакопрепаратов. Наиболее часто развивается билиарный хронический гепатит и, как исход последнего, первичный билиарный цирроз. Дефицит альфа1-антитрипсина подтверждается, если содержание альфа1-антитрипсина < 80 мг/дл (< 11 ммоль/л).

      • Определение уровня галактозо-1-фосфатуридилтрансферазы.

Врожденное отсутствие фермента галактозо-1-фосфатуридилтрансферазы сопровождается галактоземией. Заболевание редкое и в детском возрасте быстро приводит к циррозу печени. Начало заболевания манифестирует жировой дистрофией печени с последующей очаговой активной регенерацией и часто - макронодулярным циррозом. Клинические проявления заключаются в наличии асцита, портальной гипертензии.

      • Определение содержания церулоплазмина.

Это исследование проводится для диагностики болезни Вильсона-Коновалова. Диагноз может быть установлен на основании таких признаков, как: кольцо Кайзера-Флейшера (симптом роговичного кольца), неврологическая симптоматика, снижение содержания сывороточного церулоплазмина.

При болезни Вильсона - Коновалова наблюдается снижение церулоплазмина в сыворотке крови (в норме 0,2-0,3 мг/мл). Кроме того, при болезни Вильсона-Коновалова снижается содержание мочевой кислоты в сыворотке крови и моче.

Кольцо Кайзера-Флейшера может выявляться у больных хроническими гепатитами, первичным билиарным циррозом, внутрипеченочным холестазом, однако наиболее часто оно обнаруживается у пациентов (в возрасте старше 5 лет) с болезнью Вильсона-Коновалова.


Кольцо Кайзера-Флейшера (отложение меди в роговице) у пациента с болезнью Вильсона-Коновалова.

Неврологическими проявлениями болезни являются: тремор, мышечная дистония, нарушения координациии и тонкой моторики, которые выражаются в невозможности пациентов писать и одеваться самостоятельно. В 10% случаев у больных наблюдаются психические расстройства: депрессия, тревожность.

      • Потовый тест.

Является специфическим диагностическим тестом муковисцидоза. Сбор пота производится после ионофореза пилокарпина. У здоровых людей концентрация натрия и хлоридов в секрете потовых желез не превышает 40 ммоль/л. Положительной потовой пробой считается концентрация хлора > 60 ммоль/л.

  • Как лечат цирроз печени?

Основной целью лечения цирроза печени является остановка прогрессирования заболевания.

В лечении больных циррозом печени большая роль отводится разработанной базисной терапии, направленной на терапию заболеваний, которые привели к развитию цирроза, купирование симптомов болезни, предупреждение осложнений.

Лечение цирроза печени складывается из немедикаментозных мероприятий, медикаментозного лечения и хирургических методов терапии.

    • Немедикаментозная терапия цирроза печени

Мероприятия, относящиеся к немедикаментозной терапии направлены на достижение изменений в питании и образе жизни пациентов с циррозом печени. К ним также относятся ограничения в приеме некоторых лекарственных препаратов, соблюдение определенного уровня физической активности.

Необходимо помнить, что больным циррозом печени должно проводиться активное лечение сопутствующих инфекций; показано профилактическое назначение антибиотиков при проведении любых инструментальных манипуляций (лечение у стоматолога, лапароскопия, катетеризация). При малейших признаках декомпенсации рекомендован постельный режим и стационарное лечение.

Запрещается проведение нагрузочных исследований, бальнеологических и физиотерапевтических процедур, инсоляций.

Пациентам с хроническими заболеваниями печени рекомендуется вакцинация от гепатита А, В, пневмококковой инфекции и гриппа.

      • Питание пациентов с циррозом печени.

Пациентам, находящимся в компенсированной стадии цирроза печени назначается рациональное сбалансированное питание. Следует отказаться от алкоголя. Подробнее: Лечебное питание при заболеваниях печени).

Низкобелковая диета показана больным с высоким риском развития печеночной энцефалопатии. Однако у таких пациентов существует вероятность появления мышечной слабости. При развитии признаков энцефалопатии следует уменьшить белковое питание до 40,0 г в день с равномерным распределением в течение дня.

При асците показана бессолевая диета.

      • Физическая активность.

В компенсированной стадии больные могут выполнять работы, не связанные с вынужденным положением тела, длительной ходьбой или стоянием, колебаниями температуры окружающей среды. Рекомендуются регулярные физические нагрузки (ходьба, плавание).

Пациенты с более тяжелым течением болезни также могут осуществлять специальные комплексы физических упражнений под контролем инструктора.

      • Ограничение приема лекарственных препаратов.

Пациенты с хроническими заболеваниями печени и циррозом должны избегать приема нестероидных противовоспалительных препаратов (индометацин, ибупрофен (Нурофен)), изониазида, вальпроевой кислоты (Депакин, Конвулекс), эритромицина, амоксициллина/клавуланата (Амоксиклав, Аугментин), кетоконазола (Низорал), хлорпромазина (Аминазин), эзетимиба (Эзетрол), аминогликозидов.

У больных декомпенсированным циррозом печени нестероидные противовоспалительные препараты могут приводить к возникновению желудочно-кишечных кровотечений, почечной недостаточности.

Рекомендуется также максимально ограничить применение лекарственных трав и БАДов к пище.

    • Медикаментозная терапия цирроза печени

Специфической противоциррозной терапии не существует. Однако лечение болезней печени, приводящих к циррозу, может остановить прогрессирование цирроза.

      • Лечение алкогольного цирроза печени.

При этом виде цирроза необходима абстиненция, которая повышает пятилетнюю выживаемость с 30 до 70%. Нет достоверных данных об эффективности глюкокортикостероидов при тяжелом алкогольном гепатите и циррозе печени.

      • Лечение цирроза печени, вызванного вирусными гепатитами.

При вирусном циррозе печени, вызванном вирусами хронического гепатита В и С, HBeAg - положительным пациентам и больным активным циррозом вируса гепатита С, проводится интерферонотерапия.

      • Лечение гемохроматоза.

При циррозе печени, развившемся у пациентов с гемохроматозом, кровопускание может улучшить течение и исход болезни.

      • Лечение болезни Вильсона-Коновалова.

При болезни Вильсона-Коновалова пеницилламин (Купренил) может оказать положительное влияние на клинические проявления болезни. Препарат принимается внутрь, натощак. Начальная доза пеницилламина - 1- 1,5 г/сут. Максимальная суточная доза - 2 г. После клинического улучшения возможно снижение дозы. Триентин 1,5 г/сут в 2-4 приема; максимальная доза 2 г/сут) оказывает первичное лечебное действие за счет повышения выведения меди с мочой и имеет равную с пеницилламином эффективность.

      • Лечение первичного билиарного цирроза.

Пациентам, ожидающим трансплантацию печени в предоперационном периоде назначается урсодеоксихолевая кислота (Урсофальк, Урсосан) - 750мг/сут.

      • Лечение вторичного билиарного цирроза печени.

У пациентов с вторичным биллиарным циррозом, имеющим стриктуры, склерозирующий холангит, первичный холестатический гепатит, возможно хирургическое лечение, направленное на улучшение желчеоттока.

      • Лечение аутоиммунного цирроза печени.

При аутоиммунном циррозе печени глюкокортикостероиды назначают только в активной стадии заболевания и при выраженном гиперспленизме. Их применение в терминальной стадии цирроза печени не рекомендовано, так как это укорачивает продолжительность жизни больного.

Азатиоприн (Азатиоприн табл.) применяется только в сочетании с глюкокортикостероидами у больных с начальными проявлениями цирроза.

      • Лечение кардиального цирроза печени.

Кардиальный цирроз, формирующийся в развернутой и терминальной стадии констриктивного перикардита, характеризуется упорным асцитом, сопровождается высоким венозным давлением, резкой одышкой, набуханием шейных вен, цианозом. Наряду с симптоматической терапией и лечением асцита часто необходимо оперативное лечение.

    • Лечение патологических состояний, развивающихся у пациентов с циррозом печени
      • Лечение портальной гипертензии.

Терапия портальной гипертензии проводится по стандартным схемам независимо от причины возникновения.

Если у больного обнаружены варикозно-расширенные вены пищевода и желудка, то ему необходимо начать прием неселективных бета-адреноблокаторов (пропранолол (Анаприлин, Обзидан), надолол - Коргард) до снижения ЧСС на 25%. Эта терапия эффективна и для профилактики кровотечения из варикозно расширенных вен пищевода и желудка. При непереносимости больными бета-адреноблокаторов производится эндоскопическая перевязка варикозных вен.

      • Лечение асцита.

Терапия асцита проводится по стандартным схемам независимо от причины возникновения.

      • Лечение печеночной энцефалопатии.

Терапия печеночной энцефалопатии проводится по стандартным схемам независимо от причины возникновения.

      • Диспепсии.

Недостаточность питания, диспепсические явления устраняются не только с помощью рационального питания, но и путем назначения ферментных препаратов, не содержащих желчные кислоты (панкреатин - Креон, Мезим форте).

По показаниям назначают эубиотики - Бактисубтил, Энтерол, Бифидумбактерин и Лактобактерин.

      • Инфекционные заболевания.

Большое значение имеют профилактика и раннее лечение сопутствующих заболеваний, в том числе инфекционных. Рекомендуется назначать профилактические курсы антибактерильаных препаратов при проведении любых инструментальных манипуляций (экстракция зуба, лапароскопия, катетеризация сосудов).

      • Дефицит цинка.

У пациентов с циррозом печени часто наблюдается дефицит цинка в организме. Поэтому необходимо назначать этот микроэлемент в количестве 220 мг 2р/сут. Кроме того, такое лечение будет способствовать улучшению вкусовых ощущений и повышению аппетита. Цинк эффективен также для лечения мышечных спазмов и как дополнительное средство в лечении печеночной энцефалопатии, так как он может уменьшить проявления гипераммониемии. С этой целью назначается цинка сульфат (Цинктерал) внутрь перед едой взрослым 0,4-1,2 г/сут в 3 приема.

      • Кожный зуд.

Кожный зуд - частая жалоба со стороны пациентов с циррозом печени. Он возникает вследствие повышения содержания желчных кислот в сыворотке крови при холестазе. В большинстве случаев этот симптом удается купировать назначением антигистаминных препаратов.

Кроме того, пациентам с кожным зудом назначается колестирамин, урсодеоксихолевая кислота (Урсосан, Урсофальк), налтрексон (Антаксон), рифампин (Бенемицин, Римактан, Рифадин), габапентин (Нейронтин, Тебантин), ондансетрон (Зофран, Эметрон).

При кожном зуде рекомендуется также ультрафиолетовое облучение или плазмаферез.

      • Гипогонадизм.

У некоторых мужчин возникает гипогонадизм. Поэтому таким больным могут назначаются препараты тестостерона.

      • Остеопороз.

У больных циррозом печени может возникать остеопороз. Рекомендовано дополнительное введение кальция и витамина Д пациентам с высоким риском развития остеопороза, особенно больным с хроническим холестазом, пациентам с первичным билиарным циррозом, а также пациентам с аутоиммунным гепатитом, получающим кортикостероиды. В этих случаях также назначаются аминобифосфонаты (алендронат натрия - Фосамакс, Теванат).

      • Гепатоцеллюлярная карцинома.

Пациентам с установленным диагнозом гепатоцеллюлярной карциномы и отсутствием внепеченочной патологии (что должно быть подтверждено КТ органов грудной и брюшной полости) проводится радикальная терапия. У больных с тяжестью течения заболевания класса А производится резекция печени. Частота рецидивов через 5 лет после резекции печени составляет 50%.

Пациенты с тяжестью течения заболевания классов В и С кандидаты на трансплантацию печени. Показатели 4-летней выживаемости после трансплантации печени составляют 85%, если размеры опухоли были менее 5 см или у пациента было 3 и менее опухолей меньшего размера. В 40% случаев гепатоцеллюлярная карцинома может развиваться в трансплантатах.

В ожидании пересадки органа они должны получать терапию, которая могла бы воспрепятствовать прогрессированию злокачественного процесса: чрескожные инъекции этанола в опухоль, чрескожная радиочастотная термальная абляция, хемоэмболизация печени.

Суть хемоэмболизации заключается во внутриартериальном введении химиотерапевтических препаратов и эмболизации сосудов, кровоснабжающих опухоль, что приводит к созданию высокой местной концентрации химиопрепаратов и ишемии опухоли, а также к уменьшению системного токсического эффекта.

Хемоэмболизация является относительно безопасным и эффективным методом лечения, так как к опухолям печени кровь поступает из печеночной артерии. Уникальное двойное кровоснабжение печени (за счет печеночной артерии и воротной вены) позволяет выполнять безопасную эмболизацию печеночной артерии с небольшим риском развития ишемии печени.


Гепатоцеллюлярная карцинома после хемоэмболизации.

    • Хирургическое лечение

Хирургическое лечение при циррозе печени показано больным с портальной гипертензией, проявляющейся варикозным расширением вен желудка и пищевода, при достаточной сохранности функции печени, отсутствии проявлений энцефалопатии, высокой и выраженной активности патологического процесса.

Противопоказаниями к оперативному лечению больных циррозом печени служат прогрессирующая желтуха, возраст старше 55 лет. В этих случаях применяют мезентерикокавальный анастомоз, спленоренальный анастомоз, в основном без спленэктомии.

Анестезия снижает сердечный выброс у больны циррозом печени, вызывает вазодилатацию внутренних органов и уменьшает на 30-50% кровоток в печени. Риск декомпенсации при этом у пациента с циррозом возрастает. Поэтому перед проведением хирургического лечения необходимо оценить степень тяжести цирроза печени с помощью шкалы Child-Рugh.

Показатели смертности у пациентов с тяжестью течения заболевания класса А составляют 10%, класса В - 30%, класса С - 75%. В некоторых случаях оказывается эффективной операция лапароскопической холецистэктомии у больных со степенью тяжести цирроза классов А и В.

      • Склеротерапия расширенных вен пищевода и желудка.

Склеротерапия может быть более эффективна, чем назначение бета-адреноблокаторов (пропранолол (Анаприлин, Обзидан)) для предотвращения кровотечений, но имеет больше побочных эффектов.

      • Трансплантация печени.

Трансплантация печени в сочетании с химиотерапией эффективна при небольших опухолях печени, развившихся на фоне цирроза. При неоперабельных опухолях химиотерапия может повысить выживаемость больных. Следует оценить необходимость и возможность трансплантации печени при конечной стадии цирроза.


Показания к трансплантации печени.

 

 

  • Что должен знать и делать сам больной циррозом печени?

Пациент с циррозом печени должен быть информирован о возможных осложнениях своего заболевания (асците, печеночной энцефалопатии, кровотечениях из варикозно-расширенных вен пищевода и желудка), и знать их проявления.

Так, печеночная энцефалопатия характеризуется сонливостью, расстройствами поведения, нарушениями памяти; на поздних стадиях возникает кома. Для контроля степени энцефалопатии можно использовать тест с почерком: вести дневник, в котором каждый день записывать короткую фразу. При изменении почерка необходимо обратиться к врачу.Появлению печеночной энцефалопатии способствуют: бесконтрольный прием мочегонных препаратов; рвота и понос (сопровождаются потерей большого количества жидкости и нарушением состава электролитов крови); кровотечения из варикозно-расширенных вен пищевода и желудка; инфекции; запоры (происходит усиленное всасывание токсических веществ в кишечнике); богатая белками пища; употребление алкоголя.

Желудочно-кишечное кровотечение проявляется рвотой, которая выглядит как «кофейная гуща» и жидким стулом, который выглядит как «малиновое желе». При этом возникает или резко усиливается слабость вплоть до потери сознания. При подозрении на желудочно-кишечное кровотечение необходима неотложная медицинская помощь.

Больные циррозом печени подвержены бактериальным и вирусным инфекциям. Чаще всего у них возникает спонтанный бактериальный перитонит. Основными проявлениями спонтанного бактериального перитонита являются: повышение температуры тела, озноб, боль в животе. Поэтому при повышении температуры тела и появлении болей в животе необходимо обратиться к врачу. Необходимо помнить, что в 30% случаев заболевание протекает бессимптомно.

Пациенты с хроническими заболеваниями печени и циррозом должны избегать приема нестероидных противовоспалительных препаратов (индометацин, ибупрофен (Нурофен)), изониазида, вальпроевой кислоты (Депакин, Конвулекс), эритромицина, амоксициллина/клавуланата (Амоксиклав, Аугментин), кетоконазола (Низорал), хлорпромазина (Аминазин), эзетимиба (Эзетрол), аминогликозидов. Рекомендуется также максимально ограничить применение лекарственных трав и БАДов к пище.

 

  • Профилактика цирроза печени

Профилактика заключается в предупреждении и своевременном лечении заболеваний, приводящих к циррозу печени (в первую очередь алкоголизма и вирусных гепатитов), в устранении других причин развития заболевания.

 

  • Как предупредить появление желудочно-кишечных кровотечений?

Кровотечение из варикозно-расширенных вен пищевода и желудка может начаться при резком подъеме давления в брюшной полости, поэтому больным циррозом печение не рекомендуется поднимать тяжести и делать физические упражнения для укрепления мышц брюшного пресса.

 

  • Как контролировать проявления асцита?

При задержке жидкости в организме, которая проявляется отеками голеней, асцитом (появлением свободной жидкости в брюшной полости) необходимо ограничить прием поваренной соли до 0,5 г в сутки, жидкости - до 1000-1500 мл в сутки. Целесообразно исключить употребление минеральных вод, содержащих натрий. Исключаются продукты, содержащие питьевую соду (пирожные, бисквитное печенье, торты, выпечка и обычный хлеб). Необходимо исключить из пищевого рациона соленья, оливки, ветчину, бекон, солонину, языки, устриц, мидии, копченую сельдь, рыбные и мясные консервы, рыбный и мясной паштет, колбасу, майонез, различные баночные соусы и все виды сыров, а также мороженое; соленые консервированные продукты.

Для контроля нарастания объема жидкости в брюшной полости необходимо: ежедневно измерять вес тела; ежедневно измерять объем живота на уровне пупка (увеличение в объеме живота и веса тела свидетельствует о нарастающей задержке жидкости); подсчитывать баланс жидкости за сутки (диурез), вычитая из общего объема всей принятой внутрь жидкости за сутки (чай, коже, вода, суп, фрукты), всю жидкость, выделяемую при мочеиспускании.

Пациент должен добиваться положительного диуреза, то есть больной с отеками или асцитом должен в сутки выделять приблизительно на 200 мл больше жидкости, чем принимать внутрь. При этом необходимо помнить, что большая потеря жидкости с мочой может провоцировать энцефалопатию.

Доза принимаемых мочегонных препаратов должна корректироваться с учетом баланса жидкости. Если мочи выделяется слишком много, то дозу мочегонных препаратов после консультации с врачом необходимо уменьшить.

 

  • Как предупредить возникновение инфекционных заболеваний при циррозе печени?

Больные циррозом печени более подвержены бактериальным и вирусным инфекциям, чем здоровые люди. Чаще всего у таких пациентов возникает спонтанный бактериальный перитонит.

Необходимо помнить, что больным циррозом печени должно проводиться активное лечение сопутствующих инфекций; показано профилактическое назначение антибиотиков при проведении любых медицинских процедур (лечение у стоматолога, лапароскопия, катетеризация).

При малейших признаках ухудшения заболевания рекомендован постельный режим и стационарное лечение.

 

  • Диета при циррозе печени

Алкоголь противопоказан больным циррозом печени. Подробнее: Лечебное питание при алкогольной болезни печени.

Для большинства больных циррозом печени достаточно 80-100 г белка и 2500 ккал в сутки. Пищу следует готовить так, чтобы она возбуждала аппетит. Такие приправы, как лимонный сок, цедра апельсина, лук, чеснок, бессолевой кетчуп и майонез, перец, горчица, шалфей, тмин, петрушка, майоран, лавровый лист, гвоздика и экстракт дрожжей (с низким содержанием соли), помогают сделать блюда более приятными на вкус. Подробнее: Лечебное питание при заболеваниях печени).

Диета при асците. Бессолевая диета показана при циррозе печени, осложненном асцитом (свободная жидкость в брюшной полости). В этом случаев пищу необходимо готовить без добавления соли. В пищевом рационе пациентов с асцитом должны содержаться низкие количества соли (1-1,5 г/сут). Ограничения объемов потребления жидкости (до 1 л/сут) показаны больным с асцитом при условии, что содержание натрия в сыворотке крови не превышает 120 ммоль/л. Целесообразно исключить употребление минеральных вод, содержащих натрий. Исключаются продукты, содержащие питьевую соду (пирожные, бисквитное печенье, торты, выпечка и обычный хлеб). Необходимо исключить из пищевого рациона соленья, оливки, ветчину, бекон, солонину, языки, устриц, мидии, копченую сельдь, рыбные и мясные консервы, рыбный и мясной паштет, колбасу, майонез, различные баночные соусы и все виды сыров, а также мороженое; соленые консервированные продукты. Разрешаются любые овощи и фрукты. Подробнее: Лечебное питание при асците.

Диета при печеночной энцефалопатии. У пациентов с хронической печеночной энцефалопатией содержание белка в пище должно быть ограничено. В большинстве случае больные с умеренно выраженной хронической печеночной энцефалопатией способны переносить диету, содержащую 60-80 г белка в сутки. При улучшении состояния больного содержание белка в диете увеличивают постепенно до 80-90 г/сутки. Суточное потребление белка можно поддерживать на уровне 1,0-1,5 г/кг, в зависимости от состояния пациента и его способности переносить такой пищевой рацион. Разрешается 100 г говядины или мяса домашней птицы, кролика или рыбы и одно яйцо в сутки. Одно яйцо может заменить 50 г мяса. Молоко ограничивается до 1 стакана в сутки. Больным рекомендуется принимать пищу небольшими порциями. Это позволяет предупредить обострение печеночной энцефалопатии. В пищевой рацион рекомендуется включать растительные продукты, содержащие белок. При развитии признаков энцефалопатии следует ограничить белок в пищевом рационе до 40,0 г в день с равномерным распределением в течение дня. Подробнее: Лечебное питание при печеночной энцефалопатии.

 

  • Можно ли пациентам с циррозом печени заниматься спортом?

В компенсированной фазе больные могут выполнять регулярные физические нагрузки (ходьба, плавание).

Пациенты с более тяжелым течением болезни также могут осуществлять специальные комплексы физических упражнений, но после консультации с врачом и под контролем инструктора.

 

  • Прогноз при циррозе печени

Прогноз при циррозе печени трудно предсказуем и определяется многими факторами: причиной болезни, тяжестью течения, наличием осложнений и сопутствующих заболеваний, эффективностью проводимой терапии.

У больных, продолжающих употреблять алкоголь (даже в небольших количествах), прогноз всегда неблагоприятный.

Продолжительнсть жизни при циррозе печени зависит от степени тяжести заболевания. При декомпенсированном циррозе (при наличии осложнений) через 3 года остаются в живых 11-40% больных. У больных, перенесших спонтанный бактериальный перитонит, риск повторного возникновения этого осложнения в течение 6 месяцев составляет 43%; в течение 1 года - 69%; в течение 2 лет - 74%.

Основные причины смерти при циррозе печени - кома и кровотечение из верхних отделов желудочно-кишечного тракта.

Смертность при печеночной коме составляет 80-100%. При наличии перитонита умирает 50% больных. При наличии асцита продолжительность жизни составляет 3-5 лет. Варикозное расширение вен пищевода, желудка и кишечника обнаруживаются у 90% пациентов с циррозом печени. В 30% случаев они осложняются кровотечениями. Смертность после первого эпизода кровотечения составляет 30-50%. У 70% пациентов, переживших один эпизод кровотечения из варикозных вен пищевода, кровотечения возникают повторно.

 

  • Диспансерное наблюдение пациентов с циррозом печени

Если состояние пациента с циррозом печени стабильное, то 3-4 раза в году он должен проходить следующие исследования: общий клинический анализ крови, биохимический анализ крови (с определением показателей печеночной и почечной функций). Необходимо оценивать показатели свертываемости крови.

Эзофагогастродуоденоскопия проводится для выявления варикозно-расширенных вен пищевода и желудка.

Если размеры варикозных вен небольшие, то повторное обследование проводится через 2-3 года для оценки динамики прогрессирования патологического процесса. Если у больного варикозные вены не обнаружены, то повторная эзофагогастродуоденоскопия выполняется через 3-5 лет.

Общая часть

Фиброз печени - заболевание, характеризующееся разрастанием соединительной (коллагеновой) ткани в печени без изменения ее структуры. При фиброзе в печени можно обнаружить неизмененные печеночные дольки, окруженные широкими тяжами фиброзной соединительной (коллагеновой) ткани.

  • Что надо знать о фиброзе печени?

Фиброз печени развивается при хроническом поражении этого органа (например, при вирусных гепатитах), при шистосоматозе. Заболевание также бывает врожденным.

Патологический процесс при фиброзе печени может быть обратимым или стать необратимым, приводя к циррозу печени.

На начальных стадиях фиброза у пациентов может не быть никаких проявлений этой болезни. На поздней стадии прогрессирующего фиброза у пациента выявляются признаки портальной гипертензии (повышение давления в системе венозных сосудов печени с появлением варикозно-расширенных вен пищевода, желудка и кишечника). При этом возникают желудочно-кишечные кровотечения. У больных также часто обнаруживаются признаки поражения селезенки: этот орган увеличивается; снижаются уровни эритроцитов, лейкоцитов, тромбоцитов, что приводит к анемии, кровотечениям и склонности к инфекциям.

Печеночная недостаточность (тяжелое нарушение функции печени) и высокая вероятность возникновения рака печени (гепатоцеллюлярная карцинома) наблюдаются при тяжелом течении фиброза (при переходе в цирроз печени).

Диагноз фиброза печени можно установить на основании результатов биохимических анализов крови и данных визуализирующих методов исследования (например, ультразвукового), свидетельствующих о хроническом поражении печени. Важно установить вид фиброза и выяснить причину, которая привела к образованию соединительной (коллагеновой) ткани в печени. Наиболее информативным и подтверждающим диагноз методом диагностики фиброза печени является биопсия печени.

Лечение заключается в устранении причины, которая привела к фиброзу, и направлено на предотвращение прогрессирования этого заболевания.

 

  • Строение печени и ее функции в организме человека

Печень - это самый крупный орган человеческого организма. Его масса достигает 1500 г, чт



<== предыдущая | следующая ==>
жовчного міхура і жовчних шляхів | ВВЕДЕНИЕ. Печень относится к самому крупному железистому органу (масса до 1600 г, что составляет 1/40 часть веса тела взрослого и 1/18 новорожденного)





Date: 2015-09-18; view: 862; Нарушение авторских прав



mydocx.ru - 2015-2026 year. (0.683 sec.) Все материалы представленные на сайте исключительно с целью ознакомления читателями и не преследуют коммерческих целей или нарушение авторских прав - Пожаловаться на публикацию