Главная Случайная страница


Полезное:

Как сделать разговор полезным и приятным Как сделать объемную звезду своими руками Как сделать то, что делать не хочется? Как сделать погремушку Как сделать так чтобы женщины сами знакомились с вами Как сделать идею коммерческой Как сделать хорошую растяжку ног? Как сделать наш разум здоровым? Как сделать, чтобы люди обманывали меньше Вопрос 4. Как сделать так, чтобы вас уважали и ценили? Как сделать лучше себе и другим людям Как сделать свидание интересным?


Категории:

АрхитектураАстрономияБиологияГеографияГеологияИнформатикаИскусствоИсторияКулинарияКультураМаркетингМатематикаМедицинаМенеджментОхрана трудаПравоПроизводствоПсихологияРелигияСоциологияСпортТехникаФизикаФилософияХимияЭкологияЭкономикаЭлектроника






Фтизиатрия _каз

Каз Фтизиатрия 2 вариант

$$$001

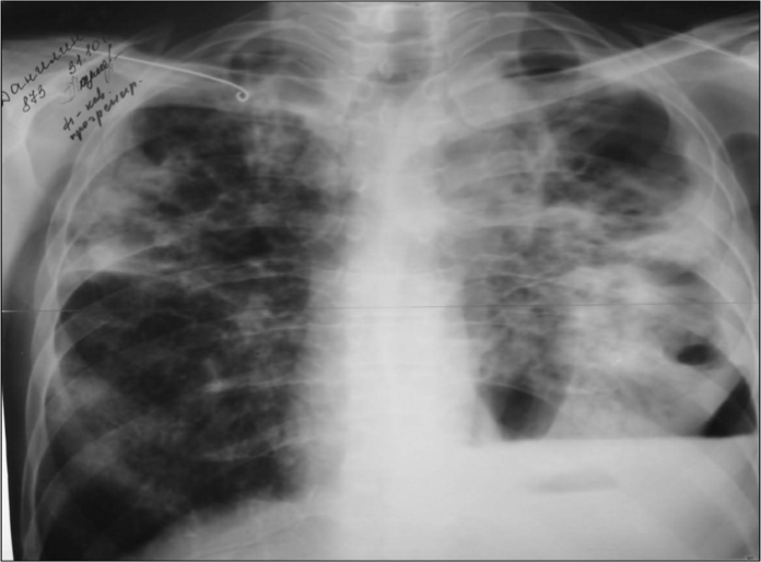
Тамағының ауырғаны, дауысының қарлыққаны, шырышты қақырықты жөтел, әлсіздік, тершендік, 4-5кг жүдеу 42 жастағы Н. науқасты мазалайды. Кеуде торша ағзаларының рентгенограммасына қараңыз:

 

Мүмкін болатын болжам диагнозды таңдаңыз:

А) Фиброзды-кавернозды туберкулез, шашырау фазасы

В) Кавернозды туберкулез, себінді фазасы

С) Жедел диссеминирлі туберкулез

D) Жеделдеу диссеминирлі туберкулез

Е) Созылмалы диссеминирлі туберкулез

{Дұрыс жауап}= D

{Қиындығы}=2

{Оқулық}= («Фтизиатрия», Перельман М.И.. Корякин В.А аударған Момынов Т.Ә., 2006,2012 ж.ж.)

{Курс}= 6

{Семестр}= 12

 

$$$002

Қақырық жағындысы ТМБ оң нәтиже берген соң тексерілгеннен кейін туберку-лезге қарсы күрес жүргізетін диспансердің ауруханасына 44 жастағы Н. науқас жатқызылды (рентгенограммаға қараңыз).

Клиникалық диагнозды және диспансерлік есеп тобын (ДЕТ) анықтаңыз:

А) Оң өкпенің жоғарғы бөлігінің ошақты туберкулезі, 1А ДЕТ

В) Өкпенің диссеминирлі туберкулезі, 1Б ДЕТ

С) Оң өкпенің жоғарғы бөлігінің туберкулемасы, 1В ДЕТ

D) Оң өкпенің жоғарғы бөлігінің инфильтратты туберкулезі, 1А ДЕТ

Е) Оң өкпенің жоғарғы бөлігінің инфильтратты туберкулезі, 1Б ДЕТ

{Дұрыс жауап}= D

{Қиындығы}=3

{Оқулық}= («Фтизиатрия», Перельман М.И.. Корякин В.А аударған Момынов Т.Ә., 2006,2012 ж.ж.)

{Курс}= 6

{Семестр}= 12

 

$$$003

Маскүнемдікпен зардап шегетін науқаста жиі дамытын туберкулездің формасы (рентгенограммаға қараңыз) болады:

А) Өкпенің ошақты туберкулезі

В) Ішек туберкулезі

С) Өкпенің фиброзды кавернозды туберкулезі

D) Өкпенің циррозды туберкулезі

Е) Плевра эмпиемасы

{Дұрыс жауап}=C

{Қиындығы}=2

{Оқулық}= («Фтизиатрия», Перельман М.И.. Корякин В.А аударған Момынов Т.Ә., 2006,2012 ж.ж.)

{Курс}= 6

{Семестр}= 12

 

$$$005

33 жастағы А. деген пациент жалпы әлсіздікке, тершендікке, шырышты іріңді қақырықты жөтелге, кешке температураның 38o дейін көтерілуіне шағымданып поликлиникаға қаралып тексерілді.Оң өкпенің жоғарғы бөлімінің инфильтратты туберкулезі, ыдырау фазасы, ТМБ+ деген диагноз қойылды. Жіктелуге байланыс-ты жаңадан анықталған туберкулез (новый случай), қаралу арқылы анықталған. ТПҰО-ға ауруханалық емге жатқызылды.

Пациентті жүргізу тактикасы қайсы, таңдаңыз?

А) I категория бойынша емдеу

В) II категория бойынша емдеу

С) III категория бойынша емдеу

D) IV категория бойынша емдеу

Е) I Г категория бойынша емдеу

{Дұрыс жауап}= A

{Қиындығы}=2

{Оқулық}= («Фтизиатрия», Перельман М.И.. Корякин В.А аударған Момынов Т.Ә., 2006,2012 ж.ж.)

{Курс}= 6

{Семестр}= 12

 

$$$007

Оң жақтық экссудативті плеврит 18 жастағы науқаста анықталған. Экссудат анализінде - шырышты геморрагиялық сипатта, цитозы (лимфоциттер 88%, нейтрофильдер 8%, эозинофильдер 4 %). Рентгенде – оң жақта төменгі бөлігінде қиғаш орналасқан жоғарғы контурымен қанық гомогенді көленке анықталады. Манту сынамасы 20 мм. 2 ай бұрын полиартриттен емделген. Қандай диагноз болуы мүмкін?

А) Ревматоидты плеврит

В) Туберкулезді аллергиялық плеврит

С) Туберкулезді перифокальды плеврит

D) Бейспецификалық іріңді плеврит

Е) Этиологиясы белгісіз идиопатиялық плеврит

{Дұрыс жауап}= B

{Қиындығы}=2

{Оқулық}= («Фтизиатрия», Перельман М.И.. Корякин В.А аударған Момынов Т.Ә., 2006,2012 ж.ж.)


{Курс}= 6

{Семестр}= 12

 

$$$009

Аз мөлшерде жөтелге, денесінің қызуы 38o дейін жоғарлауына, кеуденің ауырсынуына шағымданып 29 жастағы С. науқас әйел, студентка, дәрігерге қаралады. Бала кезінде туберкулезбен ауырған әжесімен қарым қатынаста болғандықтан тубдиспансерде тексерілген. Химиопрофилактика ішкен. Науқасқа қандай зерттеуді бірінші кезекте жүргізесіз?

А) Жалпы қан анализы

В) ТМБ қақырықты зерттеу анализы

С) Екінші микрофлораға қақырықты зерттеу анализы

D) Өкпенің рентгенограммасы

Е) Фибробронхоскопия

{Дұрыс жауап}=В

{Қиындығы}=3

{Оқулық}= («Фтизиатрия», Перельман М.И.. Корякин В.А аударған Момынов Т.Ә., 2006,2012 ж.ж.)

{Курс}= 6

{Семестр}= 12

 

$$$010

«Өкпенің ошақты туберкулезімен» емделіп жүрген 32 жастағы У. науқастың сол ем тәртібін бұзған кезінде сол жақ бүйірінде ауырсынуы пайда болған, температурасы 38oC көтерілді, жөтелгенде өзгермейтін майда қөпіршікті сырылдар естіледі. Неге күдектенуге болады?

А) Туберкулездің өршуіне

В) Экссудативті плевритке

С) Спонтанды пневмотораксқа

D) Бейспецификалық пневмонияға

Е) қабырғааралық невралгия

{Дұрыс жауап}= D

{Қиындығы}=2

{Оқулық}= («Фтизиатрия», Перельман М.И.. Корякин В.А аударған Момынов Т.Ә., 2006,2012 ж.ж.)

{Курс}= 6

{Семестр}= 12

 

$$$011

Қалыпты жағдайда ентігу, аяқтарында ісік пайда болуына шағымданған 52 жастағы С. науқас туберкулезге қарсы ауруханаға жатқызылды. 10 жыл бойы өкпенің фиброзды кавернозды туберкулезімен ауырады. Қарап тексергенде: перифериялық цианоз, қабырға доғасынан бауырдың төменгі шеті 4 см төмен түскен. Өкпелердің жоғарғы бөлімдерінде орташа көпіршікті сырылдар қатаң тыныстың фонында естіледі. ЖСС -100 рет мин.; АҚ 115/80 мм с.б., жүрек шекарасы кеңейген, өкпе артериясының үстінде екінші тонның бөленуі және акцент естіледі. Науқаста туберкулездің қандай асқыну дамыған?

А) Спонтанды пневмоторакс

В) Өкпеден қан кету

С) Қан түкіру

D) Өкпе ісінуі

Е) Созылмалы өкпелік жүрек

{Дұрыс жауап}=E

{Қиындығы}= 2

{Оқулық}= («Фтизиатрия», Перельман М.И.. Корякин В.А аударған Момынов Т.Ә., 2006,2012 ж.ж.)

{Курс}= 6

{Семестр}= 12

 

$$$001

Туберкулеманың морфологиялық құрылымы?

А) Экссудативті-пневмониялы фокус

В) Фиброзды алаң

С) Инкапсулярлы казеозды фокус

D) Өкпе ішілік қуыс

Е) Ісікті түйін

{Правильный ответ}= C

{Сложность}= 1

{Учебник}= (Перельман М.И., Корякин В.А., Богодельникова И.В. Туберкулез, М.,2004, Кошечкин В.А., Иванова З.А. Туберкулез: учебное пособие, М., ГЭОТАР-Медиа, 2007)


{Курс}=7

{Семестр}=14

 

***

01_06_каз

Терапия 01_

Тема «Фтизиатрия» 06_

$$$002

Туберкулез ошағындағы инфекция жұқтырған жасөспірімдерді химиопрофилактика курсының ұзақтығы?

А) 2 ай

В) 3 ай

С) 4 ай

D) 6 ай

Е) 12 ай

{Правильный ответ}= B

{Сложность}= 1

{Учебник}= (Перельман М.И., Корякин В.А., Богодельникова И.В. Туберкулез, М.,2004, Кошечкин В.А., Иванова З.А. Туберкулез: учебное пособие, М., ГЭОТАР-Медиа, 2007)

{Курс}=7

{Семестр}=14

(сұраққа 2 және одан көп жауап дұрыс А және В, бір вариант белгилеп аппеляция беруге болады)

 

***

01_06_каз

Терапия 01_

Тема «Фтизиатрия» 06_

$$$003

Туберкулинодиагностиканың негізінде иммунитеттің қандай феномені жатыр?

А) ГЧНТ

В) ГЧЗТ

С) Иммунологиялық толеранттылық

D) Аллергия

Е) Иммунологиялық есте сақтау

{Правильный ответ}= B

{Сложность}= 1

{Учебник}= (Перельман М.И., Корякин В.А., Богодельникова И.В. Туберкулез, М.,2004, Кошечкин В.А., Иванова З.А. Туберкулез: учебное пособие, М., ГЭОТАР-Медиа, 2007)

{Курс}=7

{Семестр}=14

(сұраққа дұрыс емес вариант берілген, ГЧНТ және ГЧЗТ расшифровкасы берілмеген және ол ескі аттары, қазіргі кезде ГЧНТ – ол Ig Е зависимый және ГЧЗТ – ол Тх1 зависимый макрофагальный иммунный ответ болу керек, аппеляция беруге болады «неправильно составленный вопрос» деп)

 

***

01_06_каз

Терапия 01_

Тема «Фтизиатрия» 06_

$$$004

Инфильтративті туберкулездің диагностикасында ен тиімді визуальды әдіс болатыны:

А) Шолу рентгенографиясы

В) Түбір арқылы томографиясы

С) Компьютерлі томографиясы

D) Фибробронхоскопия

Е) Рентгеноскопиясы

{Правильный ответ}= С

{Сложность}= 2

{Учебник}= (Перельман М.И., Корякин В.А., Богодельникова И.В. Туберкулез, М.,2004, Кошечкин В.А., Иванова З.А. Туберкулез: учебное пособие, М., ГЭОТАР-Медиа, 2007)

{Курс}=7

{Семестр}=14

 

***

01_06_каз

Терапия 01_

Тема «Фтизиатрия» 06_

$$$007

Қандай микробиологиялық әдiспен өкпенің ошақты туберкулезінде ТМБ-сын жиi табуға болады?

А) Жағындының тура бактериоскопиясы

В) Көректі ортаға себу әдiсi

С) «Bactec»

D) Люминесценттi микроскопия

Е) «Хайн тест»

{Правильный ответ}= В

{Сложность}= 2

{Учебник}= (Перельман М.И., Корякин В.А., Богодельникова И.В. Туберкулез, М.,2004, Кошечкин В.А., Иванова З.А. Туберкулез: учебное пособие, М., ГЭОТАР-Медиа, 2007)

{Курс}=7

{Семестр}=14


Вопрос сформулирован некорректно – поэтому ответ однозначно не дашь – наиболее достоверный тест для очагового туберкулеза – Хайн-тест, но он молекулярно-генетический и выполняется в микробиологической лаборатории. Из чисто микробиологических – культуральный даст выше высеваемость, но результат будет через 2-3 мес, когда уже неактуально.

Поэтому надо ответить и кликнуть аппеляцию – это некорректный вопрос

 

***

01_06_каз

Терапия 01_

Тема «Фтизиатрия» 06_

$$$008

Туберкулин сезімталдығының «Виражы» деген не?

А) 2 ТБ ППД-Л Манту реакциясының оң болуы

В) Алғашқы анықталған гиперергия реакциясы

С) Туберкулин сезімталдығының өршуі

D) Былтырғы теріс мәнді сынаманың оңға айналуы

Е) Алғашқы күмәнді реакциясының болуы

{Правильный ответ}= D

{Сложность}= 1

{Учебник}= (Перельман М.И., Корякин В.А., Богодельникова И.В. Туберкулез, М.,2004, Кошечкин В.А., Иванова З.А. Туберкулез: учебное пособие, М., ГЭОТАР-Медиа, 2007)

{Курс}=7

{Семестр}=14

 

***

01_06_каз

Терапия 01_

Тема «Фтизиатрия» 06_

$$$0010

Халық арасында тыныс алу мүшелері туберкулезінің ерте табу әдістері?

А) Флюорография, ТМБ-на қақырықты бактериологиялық тексеру

В) Флюорография, туберкулиндиагностика, қақырықты БК-ға тексеру

С) ТМБ-на қақырықты бактериологиялық тексеру, туберкулиндиагностика

D) Рентгенотомография, иммуноферментті анализ

Е) Профилактикалық клиникалық тексерулер

{Правильный ответ}= B

{Сложность}= 1

{Учебник}= (Перельман М.И., Корякин В.А., Богодельникова И.В. Туберкулез, М.,2004, Кошечкин В.А., Иванова З.А. Туберкулез: учебное пособие, М., ГЭОТАР-Медиа, 2007)

{Курс}=7

{Семестр}=14

 

01_06_каз

Терапия 01_

Тема «Фтизиатрия» 06_

$$$0012

Фиброзды-кавернозды туберкулездiң ем тиімді алдын алу шаралары:

А) Туберкулезге қарсы вакцинациялау және ревакцинациялау

В) “Қауiптi” топтағыларға химиопрофилактика жүргiзу

С) Әлеуметтiк алдын алу

D) Санитарлы алдын алу

Е) Үнемі флюорографиялы тексеру

{Правильный ответ}= E

{Сложность}= 1

{Учебник}= (Перельман М.И., Корякин В.А., Богодельникова И.В. Туберкулез, М.,2004, Кошечкин В.А., Иванова З.А. Туберкулез: учебное пособие, М., ГЭОТАР-Медиа, 2007)

{Курс}=7

{Семестр}=14

 

 

Фтизиатрия _каз

$$$001

Жұмысқа орналасу кезінде және жыл сайын міндетті түрде туберкулезді табу үшін флюрографиялық зерттеуден (тегін) өтетін адамдардың тізімі:

А) Тамақ өнеркәсібі, қоғамдық тамақтандыру қызметкерлері

B) Тағам өнімдері саудасы кәсіпорындарының қызметкерлері

C) Дәріхана қызметкерлері

D) Емдеу-профилактикалық мекемелерінің қызметкерлері

E) Жоғары және орта арнайы оқу орындарының қызметкерлері

{Дұрыс жауап} = D

{Қиындығы} = 1

{Оқулық}= ҚР ДМ 2011 ж. № 218-шы бұйрығы «Туберкулезге қарсы күрес жөніндегі кейбір нұсқаулықтарды бекіту туралы»

{Курс} = 7

{Семестр}=14

 

$$$002

Қандай аурумен саркоидоздың I сатысы ажыратылады?

A) Диссеминирленген туберкулез

B) Кеуде ішілік лимфа түйіндерінің туберкулезі

C) Ошақты туберкулез

D) Инфильтративті туберкулез

E) Фиброзды – кавернозды туберкулез

{Дұрыс жауабы}=B

{Қиындық}=1

{Оқулық}=(Муминов Т.А. Туберкулез легких и его дифференциальная диагностика (клинико-рентгенологический атлас). Алматы, 2003 г.)

{Курс}=7

{Семестр}=14

 

$$$003

Науқас 42 жаста. Жедел ауырған, температурасы 38ºС-қа дейін, құрғақ жөтел, оң жақ бүйірінің ауырсынуы. Өкпеде перкуторлы дыбыс оң жақта тұйықталған. Аускультативті: оң жақта тынысы естілмейді. Рентгенограммада: оң жақ өкпесінің төменгі бөлімінде жоғары шекарасының қиғашымен гомогенді қараю бар. Қан анализінде айқын лейкоцитоз, ЭТЖ 25 мм/с. Болжам диагноз қандай болады?

A) Өкпенің инфильтративті туберкулезі

B) Экссудативті плеврит

C) Пневмония

D) Өкпенің ісігі

E) Фиброздо-кавернозды өкпе туберкулезі

{Дұрыс жауабы}=В

{Қиындық}=2

{Оқулық}=(Перельман М.И., Корякин В.А., Богадельникова И.В. Фтизиатрия / Мед.унив/т студенттеріне арналған оқу әдебиеті М.,2006.)

{Курс}=7

{Семестр}=14

 

$$$004

Науқаста жоғары температура 40ºС дейін, айқын интоксикация, көп мөлшерде шырышты-іріңді сасық иіспен қақырықты жөтел. Қан анализінде айқын лейкоцитоз, ЭТЖ 30 мм/с. Рентгенограммада: ортаңғы өкпе алаңында инфильтративті көлеңке жарықтану аймағымен және горизантальды денгейдегі сұйықтық көлемімен. Түбірі өзгермеген. Синустары бос. Қандай диагноз болжам болады?

A) Өкпенің инфильтративті туберкулезі

B) Абсцестік пневмония

C) Өкпенің кавернозды туберкулезі

D) Өкпенің туберкуломасы

E) Өкпенің ошақты туберкулезі

{Дұрыс жауабы}=B

{Қиындық}=2

{Оқулық}=(Перельман М.И., Корякин В.А., Богадельникова И.В. Фтизиатрия / Мед.унив/т студенттеріне арналған оқу әдебиеті М.,2006)

{Курс}=7

{Семестр}=14

 

$$$005

Науқас 17 жаста, 1 ай көлемінде мынандай диагнозбен ем қабылдауда: Оң жақ кеуде ішілік лимфа түйіндерінің туберкулезі, туморозды формасы, ТМБ+. Науқастың жағдайы нашарлаған, қинайтын, ұстамалы жөтел, тәулігіне 50,0 мл дейін қақырық, кеуденің ауырсынуы, температурасының 38 дейін көтерілуі. Жөтелдің ұстамасы кезінде бірнеше рет қақырықпен қан болған. Рентгенография жасағанда оң жақ өкпе түбірінде бронхопульмональді топтағы лимфа түйіндерінің ұлғаюы, бронх аралық қуыс кенет тарылған. Диагноз қойю үшін келтірілгендердің қайсысы дұрыс скринингті әдіс бола алады?

A) Фибробронхоскопия

B) Өкпе томографиясы

C) Медиастиноскопия

D) Өкпе түбірі арқылы томограмма

E) Ангиопульмонография

{Дұрыс жауабы}=А

{Қиындық}=3

{Оқулық}=(Перельман М.И., Корякин В.А., Богадельникова И.В. Фтизиатрия / Мед.унив/т студенттеріне арналған оқу әдебиеті М.,2006)

{Курс}=7

{Семестр}=14

 

 

$$$006

Науқас И.22 ж. Рентгеногрммада оң жақ өкпенің жоғарғы бөлігінде гомогенді емес инфильтративті қараю, ыдырау қуыстары анықталады. Жасырын қуысты анықтау үшін қандай рентгенологиялық әдіс қажет?

A) Латероскопия

B) Бүйірлік рентгенография

C) Томография

D) Рентгенография

E) Флюорография

{Дұрыс жауап}= C

{Қиындығы}=2

{Оқулық}= Перельман М.И., Корякин В.А., Богадельникова И.В. Туберкулез - М., 2004.

{Курс}=7

{Семестр}=14

$$$007

60 жастағы науқаста құрғақ жөтел, кеудесінде ауырсыну, қан түкіру бар. Рентгенде сол жақ өкпенің төменгі бөлігінде гомогенді қараю. Қақырықта атипиялық жасушылар анықталған. Сіздің тактикаңыз.

A) Туберкулезге қарсы препараттармен емдеу

B) Диагностикалық фибробронхоскопия

C) Бейспецификалық ем

D) Қақырық анализін қайталау

E) Өкпе томографиясы

{Дұрыс жауап}= B

{Қиындығы}= 3

{Оқулық}= Перельман М.И., Корякин В.А., Богадельникова И.В. Туберкулез - М., 2004.

{Курс}=7

{Семестр}=14

 

$$$008

Науқаста оң жақ өкпенің жоғарғы бөлігінде дөнгеленген қараю, шеттері тегіс емес, бұдыр, ортасында ыдырауы бар:

A) Туберкулома

B) Шеткі ісік

C) Эхинококк

D) Өкпе кистасы

E) Ошақты туберкулез

{Дұрыс жауап}= B

{Қиындығы}=2

{Оқулық}= Перельман М.И., Корякин В.А., Богадельникова И.В. Туберкулез - М., 2004.

{Курс}=7

{Семестр}=14

$$$009

Науқаста оң жақ өкпенің жоғарғы бөлігінде дөнгеленген қараю, шеттері тегіс, ыдырауы шетінде. Маңайында тығыз ошақты қараюлар және фиброз бар. Болжам диагнозыныз қандай?

A) Шеткі ісік

B) Эхинококк

C) Өкпе кистасы

D) Ошақты туберкулез

E) Туберкулема

{Дұрыс жауап}= Е

{Қиындығы}=2

{Оқулық}= Перельман М.И., Корякин В.А., Богадельникова И.В. Туберкулез - М., 2004.

{Курс}=7

{Семестр}=14

 

$$$010

Науқаста жоғары tо, қақырықты жөтел, қақырығы көп, шырышты – іріңді, жағымсыз иісті. Өкпе рентгенограммасында ортанғы өкпе алаңында инфильтратты қараю, ыдырау қуысы және сұйықтың деңгейі байқалады. Болжам диагнозыныз қандай?

A) Өкпенің инфильтратты туберкулезі

B) Абцессті пневмония

C) Өкпенің кавернозды туберкулезі

D) Туберкулома

E) Өкпенің ошақты туберкулезі

{Дұрыс жауап}= B

{Қиындығы}=2

{Оқулық}= Перельман М.И., Корякин В.А., Богадельникова И.В. Туберкулез - М., 2004.

{Курс}=7

{Семестр}=14

 

$$$011

Науқас 27 жаста. 5 ай бұрын мына диагнозбен есепке алынңан: Өкпенің жоғарғы бөлігінің инфильтративті туберкулезі, оң жақ экссудативті плевритпен асқынған. Туберкулез микобактериясы теріс. Емнің интенсивті фазасы изониазидпен, рифампицинмен, пиразинамидпен және этамбутолмен 4 ай көлемінде жүргізілген. Емдеу уақытында қақырықта ТМБ анықталмаған, қақырықты себу нәтижесі теріс. Қазіргі уақытта науқас терапияның интенсивті фазасын аяқтаған, рентгенограммада динамика жоқ. Қақырық анализінде ТМБ анықталды. Науқасты жүргізу кезінде келтірілгендердің ішінде қайсысы сәйкестеу қадам болып табылады?

A) 1 категория тәртібінде сүйемелдеуші фазасына көшу

В) 1 категория тәртібінде 1 айға интенсивті фазасын жалғастыру

C) Науқасты емнің индивидуальді кестесіне ауыстыру

D) «Ем нәтежесі қолайсыз» деп, терапияны 1 категория бойынша жалғастыру

Е) «Ем нәтежесі қолайсыз» деп, терапияны 2 категория бойынша жүргізу

{Дұрыс жауабы}=Е

{Қиындық}=3

{Оқулық}=(Перельман М.И., Корякин В.А., Богадельникова И.В. Фтизиатрия / Мед.унив/т студенттеріне арналған оқу әдебиеті М.,2006)

{Курс}=7

{Семестр}=14

 

Каз

$$$002

Аймақтық дәрігерге науқас бақылануға келген. Анамнезінде туберкулезге қарсы диспансердің хирургия бөлімшесінде оң өкпенің жоғарғы бөлігінің 2 сегментінде орналасқан ыдырау сатысындағы туберкулемаға байланысты ота жасалынған.

Қандай тексеру жүргізу керек?

А) Флюорография

В) Рентгенография

С) Компьютерлі томография

D) ЯМРТ

Е) Бронхография

{Дұрыс жауабы}= В

{Күрделілігі}= 2

{Оқулық}= (Фтизиатрия, Перельман М.И., Корякин В.А., аударған Т.А. Момынов 2006 ж.)

{Курсы}= 7

{Семестрі}= 14

 

$$$003.

Науқас 25 жаста. Жағдайы өте ауыр. Кеуде сарайы мүшелерінің жалпы шолу рентгенограммасында екі өкпенің барлық алаңдарында симметриялы орналасқан аз интенсивті, бір-біріне қосылмайтын көптеген ошақты қараюлар анықталған. Сіздің болжам диагнозыңыз:

А) Карциноматоз

В) Ошақты туберкулез

С) Инфильтратты туберкулез

D) Ошақты бронхопневмония

Е) Милиарлы туберкулез

{Дұрыс жауабы}= Е

{ Күрделілігі}= 2

{Оқулық}= (Фтизиатрия, Перельман М.И., Корякин В.А., аударған Т.А. Момынов 2006 ж.)

{Курсы}= 7

{Семестрі}= 14

 

$$$004.

22 жастағы медицина институтының студенті, шағымы жоқ, профилактикалық тексеру барысында кеуде сарайы мүшелерінің жалпы шолу рентгенограммасында сол өкпенің жоғарғы бөлігінде шеттері айқын емес аз интенсивті ошақты қараю анықталған. Бактерияскопияда қақырығы ТМБ теріс.

Сіздің алғашқы диагнозыңыз:

А) Туберкулема

В) Инфильтративті уберкулез

С) Ошақты туберкулез

D) Кавернозды туберкулез

Е) Циррозды туберкулез

{Дұрыс жауабы}= С

{ Күрделілігі}= 2

{Оқулық}= (Фтизиатрия, Перельман М.И., Корякин В.А., аударған Т.А. Момынов 2006 ж.)

{Курсы}= 7

{Семестрі}= 14

 

$$$006.

Комплекстi терапия тұрақты бактерия бөлмеуіне және қуыстардың 1 жылдан кейiн жабылуына әкелдi. Науқас инженер бағдарламашы болып жұмыс iстейдi. Емі аяқталғаннан кейін науқастын жургізу тактикасы қандай болады?

А) Бұрынғы жұмысына рұқсат беру

В) ВТЭК арқылы мүгедек тобына жіберiлуi

С) Еңбек демалысына шығарылуы

D) Мүгедектiк тобын анықтау

Е) Жұмысқа жарамсыз қағазын жалғастыру

{Дұрыс жауабы}= А

{ Күрделілігі}= 3

{Оқулық}= (Фтизиатрия, Перельман М.И., Корякин В.А.,аударған Т.А. Момынов 2006 ж.)

{Курсы}= 7

{Семестрі}= 14

Каз

Терапия 01

Тема «Фтизиатрия» 06_

$$$001.

ТБ Манту сынамасының папула көлемi қандай болғанда оң деп есептелiнедi?

А) 5 мм және одан үлкен

В) 4 мм және одан үлкен

С) 3 мм және одан үлкен

D) 2 мм және одан үлкен

Е) 1 мм және одан үлкен

{Дұрыс жауабы}= А

{ Күрделілігі}= 1

{Оқулық}= (Фтизиатрия, Перельман М.И., Корякин В.А.,аударған Т.А. Момынов 2006 ж.)

{Курсы}= 7

{Семестрі}= 14

 

$$$002.

Флюорографиялық тексеруде науқастың сол өкпесінің жоғарғы бөлігінде аз және орташа интенсивті ошақты көлеңкелер анықталған. Бактериоскопияда қақырығынан туберкулез микобактериясы табылмаған. Науқас әйелімен және 3 жасар баласымен бір бөлмелі пәтерде тұрады. Сіздің қолданатын тактикаңыз:

А) Науқасты ауруханаға жатқызу, қатынаста болғандарды тексеру

В) Науқасқа және қатынаста болғандарға амбулаториялы ем тағайындау

С) Санаторий - курорттық емге жіберу

D) Науқасқа амбулаториялық ем тағайындап, баланы санаторияға жатқызу.

Е) Науқасты жұқпалы ауруханаға жатқызу

{Дұрыс жауабы}= А

{ Күрделілігі}= 3

{Оқулық}= (Фтизиатрия, Перельман М.И., Корякин В.А.,аударған Т.А. Момынов 2006 ж.)

{Курсы}= 7

{Семестрі}= 14

 

$$$003.

С. науқас 22 жаста, бұрын туберкулезбен ауырмаған. Жыл сайын жүргізілетін кезекті тексеруде оң өкпенің жоғарғы бөлігінде 3 см шеттері айқын гомогенді түзіліс анықталған. Қақырық жағындысында туберкулез микобактериясы жоқ. Тиімді ем:

А) Сәулелі терапия

В) ІІІ категория бойынша ем

С) Радикалды сегментэктомия

D) І категория бойынша ем

Е) ІІ категория бойынша ем

{Дұрыс жауабы}= В

{ Күрделілігі}= 2

{Оқулық}= (Фтизиатрия, Перельман М.И., Корякин В.А., аударған Т.А. Момынов 2006 ж.)

{Курсы}= 7

{Семестрі}= 14

 

$$$004.

Рентгенограммада өкпеде екi жақты көп, ұсақ, шашыранды ошақтар табылған. Сiздiң алғашқы болжам диагнозыңыз:

А) Милиарлы туберкулез

В) Туберкулездi менингит

С) Шашыранды туберкулез

D) Ошақты туберкулез

Е) Генерализацияланған туберкулез

{Дұрыс жауабы}= А

{ Күрделілігі}= 2

{Оқулық}= (Фтизиатрия, Перельман М.И., Корякин В.А., аударған Т.А. Момынов 2006 ж.)

{Курсы}= 7

{Семестрі}= 14

(сұраққа дұрыс дауап диссиминирленген туберкулез болу керек, шашыранды туберкулез деген казіргі классификацияда жоқ, қазақшаға дисиминирленген дегенді дұрыс емес және тура аударған. Сондықтан «неправильный вопрос» деп апиляция беруге болады)

 

$$$005.

Науқас 30 жаста. Ұзақ жөтелге, кеуде қуысының ауыратынына, тершеңдік, тез шаршағыштыққа, дене салмағын жоғалтқанына шағымданады. Кеуде қуысы мүшелерінің рентгенограммасында инфильтратты қараю болған. Туберкулезге қарсы ем қабылдаған. Инфильтраттың орынында дөңгелек пішінді 2,5-3 см көлемді, айналасы аздаған фиброзды өзгерістер түзілген. Қақырығында туберкулез микобактериясы жоқ. Осы жағдайдағы ен тиімді ем болатыны:

А) Гормонды терапия

В) Коллапсотерапия

С) Физиотерапиялық ем

D) Хирургиялық ем

Е) Препараттарды эндобронхиалды жіберу

{Дұрыс жауабы}= D

{ Күрделілігі}= 3

{Оқулық}= (Фтизиатрия, Перельман М.И., Корякин В.А., аударған Т.А. Момынов 2006 ж.)

{Курсы}= 7

{Семестрі}= 14

 

$$$006.

Туберкулезбен ауырытын науқастың әйелi перзентханада нәрестесiмен жатыр. Нәрестенiң денi сау, салмағы-3200 гр. Неонатолог-дәрігердің нәрестеге қолданатын шарасы қандай?

А) БЦЖ вакцинациясын жасау қажет

В) БЦЖ ревакцинациясын жасау қажет

С) БЦЖ вакцинациясын жасамау қажет

D) Манту сынамасын жасау қажет

Е) 2 айдан соң қосымша вакцинациясын жасау қажет

{Дұрыс жауабы}= А

{ Күрделілігі}= 3

{Оқулық}= (Фтизиатрия, Перельман М.И., Корякин В.А., аударған Т.А. Момынов 2006 ж.)

{Курсы}= 7

{Семестрі}= 14

 

$$$001

Екі өпке алаңында диффузды пневмосклероз фонында әр түрлі өлшемді және интенсивті ошақты қараюлар туберкулездің қандай түріне тән?

A) Созылмалы шашыранды

B) Ошақты

C) Инфильтративті

D) Фиброзды-кавернозды

E) Милиарлы

{Дұрыс жауап}= A

{Денгейі}= 1

{Оқулық}= (Фтизиатрия, Перельман М.И, Корякин В.А./аударған Т.Ә. Момынов, 2012 ж.)

{Курс}=7

{Семестр}=14

 

$$$002

Бактерия бөлмейтін белсенді, ыдыраусыз алғашқы анықталған өкпе туберкулезінің (категория III) химиотерапия ұзақтығы:

A) 4 ай

B) 6 ай

C) 8 ай

D) 10 ай

E) 12 ай

{Дұрыс жауап}= B

{Денгейі}= 1

{Оқұлық}= (Фтизиатрия, Перельман М.И, Корякин В.А./аударған Т.Ә. Момынов, 2012 ж.)

{Курс}=7

{Семестр}=14

 

$$$003

Егер қақырықта ТМБ болмаса, онда инфильтративті туберкулезді және бейарнамалы пневмонияны ажырату анықтамада аурудың этиологиясын анықтауға неғұрлым көп мүмкіндік беретін келесі:

A) Бактерия бөлушімен анамнезінде қатынас

B) Объективті мәліметтер

C) Зақымдалудың орналасуы

D) Жалпы қан анализі

E) Қабыну өзгерістерінің сіңу жылдамдығы

{Дұрыс жауап}= E

{Денгейі}= 2

{Оқұлық}= (Фтизиатрия, Перельман М.И, Корякин В.А. / аударған Т.Ә. Момынов, 2012 ж.)

{Курс}=7

{Семестр}=14

 

$$$004

Клиникалық симптомокомплексі неге неғұрлым сәйкес: кенеттен кеуде шаншуы, үдемелі ентігу, көгеру, өкпеде қорапты перкуторлық дыбыс, өте әлсіз тыныс?

A) Пневмония

B) Плеврит

C) Спонтанды пневмоторакс

D) Миокардтың инфаркті

E) Қабырға аралық невралгия

{Дұрыс жауап}= C

{Денгейі}= 2

{Оқұлық}= (Фтизиатрия, Перельман М.И, Корякин В.А. / аударған Т.Ә. Момынов, 2012 ж.)

{Курс}=7

{Семестр}=14

 

$$$005

13 жасар науқаста мына рентгенологиялық көрініс туберкулездің қандай түріне тән: өкпе түбірімен жолмен байланысқан, оң өкпенің ортаңғы бөлігінде орташа интенсивті шеті айқын емес диаметрі 3 см инфильтративті сипатты қараю көрінеді. Төменгі бөліктік қолқаның проекциясы тарылған. Қандай болжам диагнозыныз?

A) Кеуде ішілік лимфа бездерінің туберкулезі

B) Инфильтративті өкпе туберкулезі

C) Бөлік аралық плеврит

D) Алғашқы туберкулезді кешені

E) Өкпе туберкулемасы

{Дұрыс жауап}= D

{Денгейі}= 2

{Оқұлық}= (Фтизиатрия, Перельман М.И, Корякин В.А. / аударған Т.Ә. Момынов, 2012 ж.)

{Курс}=7

{Семестр}=14

$$$006

Деструктивті туберкулезді абсцестен ажырату диагностикасы кезінде тиімді ем жүргізу:

A) Саңырау құлақтарға қарсы препараттармен

B) Кең спектрлі әсерімен антибиотиктермен

C) Туберкулезге қарсы препараттармен

D) Жүрек гликозидтерімен

E) Ұлануға қарсы дәрілермен

{Дұрыс жауап}= B

{Денгейі}= 2

{Оқұлық}= (Фтизиатрия, Перельман М.И, Корякин В.А. / аударған Т.Ә. Момынов, 2012 ж.)

{Курс}=7

{Семестр}=14

 

$$$007

Науқас 38 жаста, соңғы 1,5 айдан бері кешке қарай тұрақсыз t – 37,2°С дейін, тәулігіне 10-15 мл қақырықты жөтел, әлсіздік. Дәрігерге қаралмаған, үйде емделгеннің әсері болмаған. Біртіндеп көңіл-күйі және жалпы халі нашарлаған – ентігуі өршіген, қақырығы көбейіп, қанды жөтел пайда болған. Жалпы шолу R-граммасында оң өкпенің ұшынан ІІІ қабырғаға дейін көптеген әртүрлі өлшемдегі және интенсивтіліктегі әр жерінде бірігіп жатқан түйінді және фокусты дақтар. Сол жағында өкпе ұшынан ІV қабырғаға дейін гомогенді емес фокус түріндегі қалың қабынулы инфильтрация, көптеген жарықтанулар; полиморфты ошақтар. Манту 2 ТБ – 8 мм. Осы деректердің негізінде қандай диагноз болжанады?

A) Инфильтративті өкпе туберкулезі

B) Казеозды пневмония

C) Кавернозды өкпе туберкулезі

D) Шашыранды өкпе туберкулезі

E) Фиброзды-кавернозды өкпе туберкулезі

{Дұрыс жауап}= D

{Денгейі}= 2

{Оқұлық}= (Фтизиатрия, Перельман М.И, Корякин В.А. / аударған Т.Ә. Момынов, 2012 ж.)

{Курс}=7

{Семестр}=14

 

$$$008

43 жастағы науқас С., кешке қарай дене ыстығының 37,2°С дейін көтерілуімен, әлсіздік, ірінді қақырықпен жөтел, тәбетінің төмендеуімен (салмағы 5 кг түскен), шағымдарымен ауруханаға түскен. Соңғы 5 ай бойы ауырады. Дәрігерге екі мәрте қаралған: Созылмалы бронхиттің қозуы (науқаста ұзақ уақыт шылымқорлық анамнез), антибиотикотерапияның қайталанған курсы жүргізілді. Науқастың хал-күйі жақсармады. Бір ай бұрын дәрәгерге қайта қаралған. Рентгенде – оң өкпенің ортанғы бөлігі проекциясында диаметрі 3 см контуры айқын емес, сақина тәрізді дақ анықталған. Қуыс қабырғасының қаттылығы – орташа. Оң өкпенің жоғарғы бөлігінде жұмсақ түйіндер көрінеді. Осы мәліметтердің негізінде қандай диагноз қоюға болады?

A) Оң өкпенің кавернозды туберкулезі

B) Оң өкпенің фиброзды-кавернозды туберкулезі

C) Оң өкпенің ыдырау фазасындағы инфильтративті туберкулез

D) Ыдырау фазасындағы шашыранды өкпе туберкулезі

E) Оң өкпенің ыдырау фазасындағы туберкулемасы

{Дұрыс жауап}= A

{Денгейі}= 2

{Оқұлық}= (Фтизиатрия, Перельман М.И, Корякин В.А. / аударған Т.Ә. Момынов, 2012 ж.)

{Курс}=7

{Семестр}=14

 

$$$009

19 жасар, Н. науқаста, идиопатикалық оң жақты плевритпен экссудат анализі жасуша құрамында лимфоциттер басым болуы анықталды. Ең нәтижелі дәрігерлік іс-әрекеттер болуы мүмкін:

A) Кең спектрлі антибиотиктерді плевра ішіне енгізу

B) Плевра қуысының бейне торакоскопиясы

C) Өкпенің ультра дыбысты зерттеуі

D) Іш қуысы мушелерінің рентгенографиясы

E) Тамыр арқылы урография

{Дұрыс жауап}= B

{Денгейі}= 3

{Оқұлық}= (Фтизиатрия, Перельман М.И, Корякин В.А. / аударған Т.Ә. Момынов, 2012 ж.)

{Курс}=7

{Семестр}=14

 

$$$0010

Шашыранды өкпе туберкулезі ыдырау фазасы ТМБ+, науқасқа I категория бойынша ем жүргізілді. Изониазид тамырына 6% ертінді түрінде енгізілді. 3 есе аса препараттың дозасы қате жіберілгеніне байланысты, науқаста жеке бұлшық тобында сіреспе, сана сезімін қысқа мерзімге жоғалту пайда болды. Бірінші ретте жедел дәрігерлік көмек беруге сіздің нұсқауларыңыз:

A)Пирацетам тағайындау

B) Кардиостимуляторлар тағайындау

C) 2,5 г дозада В6 витаминді тамырға жіберу

D) Жан сақтау бөлімшесіне науқасты аудару

E) Миорелаксанттар жіберу және басқарулы тыныс алуға көшу

{Дұрыс жауап}= C

{Денгейі}= 3

{Оқұлық}= (Фтизиатрия, Перельман М.И, Корякин В.А. / аударған Т.Ә. Момынов, 2012 ж.)

{Курс}=7

{Семестр}=14

 

$$$0011

Науқас В., 36 жаста, СОӨА (ХОБЛ) ауыратын, ыдыраусыз ошақты өкпе туберкулезімен ауруханада ем қабылдауда. 3 күнде клиникалық жақсару байқалғаннан кейін, дене қызуы 38°С дейін көтерілуі, аз бөлінетін жөтел пайда болды. Науқас жағдайы нашарлауының себебін дәлелдеу үшін, қандай тексеру әдістерін жүргізу қажет?

A) Брашбиопсияны

B) Провокациялық туберкулин сынамасы

C) Өкпе спирографияны

D) Фибробронхоскопияны

E) Қосымша микрофлораға қақырықты себу

{Дұрыс жауап}= E

{Денгейі}= 3

{Оқұлық}= (Фтизиатрия, Перельман М.И, Корякин В.А. / аударған Т.Ә. Момынов, 2012 ж.)

{Курс}=7

{Семестр}=14

 

$$$0012

Науқас В., 50 жаста, жедел жәрдем бригадасымен туберкулезге қарсы диспансерге қан аралас қақырық және жөтелге шағымданумен жатқызылды. Ыдырау фазасы келесі зерттеу кезінде объективті дәләлденді:

A) Клиникалық

B) Сәулелік әдістер

C) Бронхоскопиялық

D) Лабораторлық

E) Иммунологиялық

{Дұрыс жауап}= B

{Денгейі}= 3

{Оқұлық}= (Фтизиатрия, Перельман М.И, Корякин В.А. / аударған Т.Ә. Момынов, 2012 ж.)

{Курс}=7

{Семестр}=14

 

$$$001

Науқас әйел, 42 жаста. Бала кезінде туберкулезбен ауырған. Қақырықты жөтелге, жүдеулікке, тершеңдікке, температурасының 37,20С-ге көтерілуіне шағымданады. Рентгенологиялық: оң жақ өкпенің жоғары бөлігінде массивті қараю, ағару бөлігімен бірге анықталады. Өкпе түбірі ұлғаймаған. Диагноз қойыңыз:

A) Ошақты туберкулез. Жаңа жағдай.

B) Кавернозды туберкулез. Басқалар.

C) Инфильтративті туберкулез. Қайталану.

D) Диссиминирленген туберкулез. Жаңа жағдай.

E) Туберкулема. Қайталану.

{Дұрыс жауабы}=С

{Күрделілігі}=2

{Оқулық}=Фтизиатрия/ Игембаева К.С, Игембаева Р.С. – Семей.: 2007.

{Курс}=7

{Семестр}=14

 

$$$002

ТМБ- корд - факторы – бұл:

A) Ядролық субстанцияның қабығы

B) Микрокапсуланың компоненті

C) Ядролық субстанцияның ядрошығы

D) Клетка қабырғасының компоненті

E) Мезосома фрагменті

{Дұрыс жауабы}= D

{Күрделілігі}=1

{Оқулық}=Фтизиатрия/ Игембаева К.С, Игембаева Р.С. – Семей.: 2007.

{Курс}=7

{Семестр}=14

 

$$$003

Науқас, 37 жаста. Кеш түскен кезде тершеңдікке, әлсіздікке, дене қызуынын көтерілуіне шағымданады. Өкпенің жиынтық зерттеуі барысында өкпенің жоғары бөлігінде диаметрі 5-10 мм болатын шеттері айқын емес, симметриялы орналасқан көптеген көлеңкелер анықталды. Манту реакциясы 2 ТБ теріс. Қақырықта ТБ анықталмайды. Диагноз қойыңыз.

A) Инфильтративті туберкулез

B) Диссиминирленген туберкулез

C) Кавернозды туберкулез

D) Ошақты туберкулез

E) Фиброзды-кавернозды туберкулез

{Дұрыс жауабы}=В

{Күрделілігі}=2

{Оқулық}=Фтизиатрия/ Игембаева К.С, Игембаева Р.С. – Семей.: 2007.

{Курс}=7

{Семестр}=14

 

$$$004

Науқас 39 жаста. Жұмысқа тұруға профилактикалық қарауда өкпесінде өзгерістер анықталды. Жасөспірім кезінде туберкулезге қарсы препараттардың толық емдеу курсын алған. Кеуде клеткасының жалпы шолу рентгенограммасында оң жақ өкпенің бұғана асты аймағында сыртқы контуры айқын емес, дұрыс емес пішенді, гомогенді емес фокусты қараю анықталды. Микроскопиялық қақырықта ТМБ табылған жоқ. Клиникалық жіктелу бойынша диагноз қойыңыз:

A) Оң жақ өкпенің жоғарғы бөлігінің инфильтративті туберкулезі, ТМБ +. Қайталану, 2 санат.

B) Оң жақ өкпенің жоғарғы бөлігінің инфильтративті туберкулезі ТМБ -, жаңа жағдай, 1 санат.

C) Оң жақ өкпенің жоғарғы бөлігінің инфильтративті туберкулезі, ТМБ -, басқа жағдай, 2 санат.

D) Оң жақ өкпенің жоғарғы бөлігінің кавернозды туберкулезі, ТМБ +. Қайталану, 1 санат.

E) Оң жақ өкпенің жоғарғы бөлігінің кавернозды туберкулезі, ТМБ -. Басқа жағдай, 2 санат.

{Дұрыс жауабы}=С

{Күрделілігі}=2

{Оқулық}=Фтизиатрия/ Игембаева К.С, Игембаева Р.С. – Семей.: 2007.

{Курс}=7

{Семестр}=14

(сұраққа 2 жауап та сәйкес келеді, негізі сұрақ толық емес қажет мәліметтер жоқ (анамнез, клиникасы, 2 жағдай қалай басталды?). 2 және одан көп жауап деп апиляция беруге болады)

 

$$$005

Жасөспірім 16 жаста. Рентгенограммада: оң жақ өкпенің жоғарғы бөлігінде интенсивтілігі орташа, диаметрі 2,5 см, контуры айқын емес, өкпе түбіріне қарай бағытталған, созылыңқы формалы қарайған фокус анықталады, синустары бос. Микроскопиялық қақырықта ТМБ табылған жоқ. ЖҚА: гемоглобин 126 г/л, лейкоциттер 9,4х109/л,Тя 5 %, Ся 64%, эозинофилдер 5%, моноциттер 4%, лимфоциттер 22%, ЭТЖ 18 мм/сағ. Диагноз қойыңыз:

A) Ошақты туберкулез

B) Фиброзды-кавернозды туберкулез

C) Дисеминирленген туберкулез

D) Инфильтративті туберкулез

E) Кавернозды туберкулез

{Дұрыс жауабы}= D

{Күрделілігі}=2

{Оқулық}=Фтизиатрия/ Игембаева К.С, Игембаева Р.С. – Семей.: 2007.

{Курс}=7

{Семестр}=14

 

$$$006

Науқас 23 жаста. 5 жасында туберкулезге қарсы химиотерапияның толық курсын алған. Рентгенде: барлық өкпе алаңында өлшемі 1-2 мм, аз интенсивті, мономорфты көлеңке анықталды. Қақырықта микроскопиялық зерттегенде ТМБ анықталған жоқ. Демеуші фаза емін тағайындаңыз:

A) 4HR

B) 5HR

C) 4HE

D) 4HRE

E) 5HRE

{Дұрыс жауабы}= Е

{Күрделілігі}=3

{Оқулық}=Фтизиатрия/ Игембаева К.С, Игембаева Р.С. – Семей.: 2007.

{Курс}=7

{Семестр}=14

 

$$$007

Науқас, 33 жаста. Екі ай шамасында науқасты әлсіздік, шырышты сипаттағы қақырықты жөтел, кеудеішілік лимфа түйіндерінің туберкулезіне байланысты химиотерапия қабылдаған. Рентгенологиялық: екі өкпенің жоғарғы бөліктерінде аз және орташа интенсивті, диаметрі 1 см-ге дейінгі көптеген көлеңкелер, сол жақта- жұқа қабырғалы қуыс анықталды. ЖҚА-да: лейкоциттер-12,6х10х9\л, ЭТЖ -31мм\сағ. Қақырық микроскопиясында ТМБ анықталды. Диагноз қойыңыз.

A) Кавернозды туберкулез

B) Цирротикалық туберкулез

C) Инфильтративті туберкулез

D) Диссеминирленген туберкулез

E) Фиброзды-кавернозды туберкулез

{Дұрыс жауабы}= D

{Күрделілігі}=2

{Оқулық}=Фтизиатрия/ Игембаева К.С, Игембаева Р.С. – Семей.: 2007.

{Курс}=7

{Семестр}=14

 

$$$008

Науқас 27 жаста. Шағымдары: тез шаршағыштық, тұрақты емес құрғақ жөтел, терлегіштік. 2 жыл бұрын эксудативті плевритпен ауырған. Шолу рентгенограммасында: сол жақ өкпенің жоғарғы алаңында сыртқы контуры анық, диаметрі 3 см, дөңгелек, бір келкі қараю анықталды. Микроскопиялық қақырықта ТМБ табылған жоқ. Диагноз қойыңыз.

A) Ошақты туберкулез

B) Инфильтративті туберкулез

C) Кавернозды туберкулез

D) Өкпе туберкулемасы

E) Фиброзды-кавернозды туберкулез

{Дұрыс жауабы}= D

{Күрделілігі}=2

{Оқулық}=Фтизиатрия/ Игембаева К.С, Игембаева Р.С. – Семей.: 2007.

{Курс}=7

{Семестр}=14

 

 

$$$010

Науқас, 18 жаста. Бала кезінде бірінші туберкулездік комплекс болғандықтан химиотерапия алған. Әлсіздікке, дене температурасының 38 С көтерілуіне, кеуде қуысының оң жақ бөлігінде ауырсынуға шағымданады. Рентгеногаммада: оң жақ өкпенің S1S2 проекциясында диаметрі 3 см шеттері айқын емес, гомогенді емес структуралы қараюлар анықталған. V қабырғадан диафрагма күмбезіне дейін – жоғарғы шеті қиғаш біркелкі интенсивті қараю бар. Микроскопиялық қақырықта ТМ анықталмған. Диагноз қойыңыз?

A) Оң жақ өкпенің S1S2 деңгейінің ошақты туберкулезі, инфильтрация фазасы, плевритпен асқынған

B) Оң жақ өкпенің S1S2 деңгейінің инфильтративті туберкулезі, тоқырау фазасы, пневматоракспен асқынған

C) Оң жақ өкпенің S1S2 деңгейінің ошақты туберкулезі, тоқырау фазасы, ателектазбен асқынған

D) Оң жақ өкпенің S1S2 деңгейінің инфильтративті туберкулезі, тоқырау фазасы, плевритпен асқынған

E) Оң жақ өкпенің S1S2 деңгейінің инфильтративті туберкулезі, себілу фазасы, ателектазбен асқынған

{Дұрыс жауабы}= D

{Күрделілігі}=2

{Оқулық}=Фтизиатрия/ Игембаева К.С, Игембаева Р.С. – Семей.: 2007.

{Курс}=7

{Семестр}=14

$$$001

Өкпе туберкулезімен ауыратын адамдардағы ен жиі кеуделік шағымдар:

A) Апта бойы ќұрғаќ, ќаќырыќсыз жөтел

B) 2 апта бойы аз мөлшердегі ќаќырыќ аралас жөтел

C) Танғы уаќыттағы, төсектен тұрған кезде көп мөлшерде ќаќырыќ аралас жөтел

D) Көп жылдар бойы женіл бөлінетін шырышты-ірінді ќаќырыќ аралас жөтел

E) 1 апта бойы ұстамалы жөтел

{Дўрыс жауап}= B

{ауырлыєы}= 1

{оќулыќ}= (Фтизиатрия. Петренко В.И., 2008 г.)

{Курс} = 7

{Семестр} = 14

 

$$$002

Балалар мен жасөспірімдердегі туберкулездін негізгі түрінін ќайсысы біріншілік туберкулезге жатады:

A) Ошаќты туберкулез

B) Кеудеішілік лимфа түйіндерінін туберкулезі

C) Туберкулема

D) Инфильтративті туберкулез

Е) Милиарлы туберкулез

{Дұрыс жауап}= B

{Ауырлығы}= 1

{Оќулыќ}= (Фтизиатрия. Петренко В.И., 2008 г.)

{Курс} = 7

{Семестр} = 14



<== предыдущая | следующая ==>
 | 





Date: 2015-08-22; view: 1564; Нарушение авторских прав



mydocx.ru - 2015-2026 year. (1.434 sec.) Все материалы представленные на сайте исключительно с целью ознакомления читателями и не преследуют коммерческих целей или нарушение авторских прав - Пожаловаться на публикацию