Главная Случайная страница


Полезное:

Как сделать разговор полезным и приятным Как сделать объемную звезду своими руками Как сделать то, что делать не хочется? Как сделать погремушку Как сделать так чтобы женщины сами знакомились с вами Как сделать идею коммерческой Как сделать хорошую растяжку ног? Как сделать наш разум здоровым? Как сделать, чтобы люди обманывали меньше Вопрос 4. Как сделать так, чтобы вас уважали и ценили? Как сделать лучше себе и другим людям Как сделать свидание интересным?


Категории:

АрхитектураАстрономияБиологияГеографияГеологияИнформатикаИскусствоИсторияКулинарияКультураМаркетингМатематикаМедицинаМенеджментОхрана трудаПравоПроизводствоПсихологияРелигияСоциологияСпортТехникаФизикаФилософияХимияЭкологияЭкономикаЭлектроника






Блок информации





Рентгенологическое исследование занимает значительное место в диагностике заболеваний и повреждений органов пищеварительной системы, а открытие и внедрение в широкую практику таких высокоинформативных методов как УЗИ, КТ, МРТ, ПЭТ, значительно повысило диагностическую достоверность лучевой диагностики.

Желудочно-кишечный тракт представляет из себя непрерывную полую трубку, которая может быть визуализирована только в условиях искусственного контрастирования. Несмотря на это, каждое исследование органов ЖКТ обязательно начинается с обзорной рентгеноскопии органов груди и живота, т.к. многие заболевания и повреждения живота могут вызвать реакцию легких и плевры, а также сместить соседние органы и деформировать средостение. Кроме просвечивания рентгенисследование органов ЖКТ обязательно включает в себя серийную рентгенографию (обзорную и прицельную), выполненную как в стандартных так и в нестандартных проекциях.

Общие принципы традиционного рентгенологического исследования:

- сочетание рентгеноскопии с обзорной и прицельной рентгенографией;

- полипозиционность и полипроекционность исследований;

- исследование всех отделов ЖКТ при тугом и частичном заполнении рентгеноконтрастным средством (РКС);

- исследование в условиях двойного контрастирования в виде сочетания бариевой взвеси и газа.

При контрастировании исследуют положение, форму, размеры, смещаемость, рельеф слизистой оболочки и функцию органа. При этом изображение самой стенки органа отсутствует.

В последние годы стали широко использовать другие методы лучевой диагностики, такие как УЗИ, КТ, МРТ, позволяющие расширить диагностические возможности. УЗИ, например, помогает выявить подслизистые образования и распространенность процесса в стенке органа. При КТ и МРТ можно установить не только локализацию процесса, но и его распространенность в стенке самого органа и за ее пределами.

 

ПИЩЕВОД

 

Для рентгенологического исследования пищевода больной должен явиться в кабинет натощак, чтобы в пищеводе не оказалось остатков пищи. Больному производят обзорное исследование органов грудной полости, после чего предлагают принять (проглотить) контрастную массу. В качестве контрастного вещества для изучения пищевода, желудка и кишечника применяется водная взвесь сернокислого бария. Барии имеет высокий атомный номер (56) и поэтому поглощает рентгеновское излучение, давая интенсивную тень на флюороскопическом экране и снимках. Он практически нерастворим в воде и соках организма, а, следовательно, совершенно безвреден при приеме внутрь. В смеси с водой барий образует взвеси различной вязкости, что обеспечивает возможность изучения всех отделов пищеварительного тракта. Прием сернокислого бария не нарушает функции пищевода, желудка и кишечника.

Исследование проводят с помощью просвечивания и снимков при вертикальном и горизонтальном положении больного в разных проекциях — прямой, косых, боковых. После прохождения комка бариевой пасты по пищеводу на поверхности его слизистой оболочки, в межскладочных промежутках, остается налет контрастной массы. Эти ее остатки на последующих снимках обрисовывают складки слизистой оболочки пищевода. Следовательно, рентгенологическое исследование пищевода включает «тугое» наполнение контрастным веществом для изучения анатомии и функции органа и малое наполнение для изучения рельефа слизистой оболочки.

Нормальный пищевод, заполненный контрастным веществом, представляет как бы трубку, являющуюся продолжением глотки. В шейном отделе пищевод располагается у передней поверхности тел позвонков, позади трахеи. В грудной полости пищевод находится в заднем средостении. Брюшная часть пищевода идет наискось влево до впадения в желудок.

Коьтрастная масса равномерно продвигается по пищеводу, задерживаясь на короткий срок в области пищеводно-желудоч- кового преддверия. При вдохе пищеводная щель диафрагмы замыкается и движение бария приостанавливается. Во время выдоха диафрагмальный жом расслабляется и барий переходит в желудок.

По ходу пищевода выявляются физиологические сужения. Первое из них находится у входа в пищевод, второе — на уровне дуги аорты, третье — на уровне пищеводного отверстия диафрагмы. После прохождения основной части контрастной массы вырисовываются 2 — 4 продольные параллельные друг другу складки слизистой оболочки, идущие на всем протяжении пищевода. Контуры тени контрастной массы в норме всегда ровные, слегка водянистые из-за перистальтических движений.


Заболевания пищевода Металлические инородные тела выявляются без труда. Необходимо лишь установить, в каком отделе пищевода задержалось инородное тело, на каком примерно расстоянии от края зубов. Отломки костей при достаточной величине также видны на снимках. Распознаванию помогает то, что больные обычно точно указывают на уровень расположения инородного тела. В случае прободения стенки пищевода концом кости в прилежащих мягких тканях могут обнаруживаться пузырьки газа.

Если на рентгенограммах инородное тело не определяется, приступают к исследованию пищевода с помощью контрастной массы. Больному дают проглотить одну полную чайную ложку густой водной взвеси сернокислого бария. При наличии инородного тела контрастная масса задерживается на нем. Затем больному предлагают выпить 2—3 глотка чистой воды. В норме этого количества воды достаточно, чтобы смыть со слизистой оболочки пищевода все остатки бария. Если же на стенке пищевода остается скопление контрастной массы, то оно указывает на наличие и местоположение инородного тела. При подозрении на внедрение маленькой рыбьей косточки больному предлагают проглотить ватку, смоченную взвесью бария. Ватка, зацепившись за выступающий конец косточки, обозначит ее местоположение.

Дивертикулы пищевода представляют собой частую находку при рентгенологическом исследовании, особенно у пожилых и старых людей. Под пульсионным дивертикулом понимают ограниченное мешковидное выбухание стенки пищевода, возникающее под действием проходящей пищи (пульсионное действие). В это выбухание заходит контрастное вещество. Поэтому на одном из контуров тени пищевода обнаруживается дополнительная округлая тень, имеющая ровные дугообразные контуры, связанная с изображением пищевода широким основанием или ножкой, в которой прослеживаются складки слизистой оболочки. Дивертикул может располагаться в любом отделе пищевода и иметь самую различную величину. Иногда дивертикулы множественны.

Деформация стенки пищевода может быть обусловлена сращениями с соседними органами. В этих случаях иногда на контуре тени пищевода заметны треугольные или неправильной формы выпячивания с заостренными концами. Такие ограниченные деформации вполне точно называют тракционными дивертикулами. Они чаще всего находятся на уровне корня легкого, так как генетически обычно связаны с хроническим лимфаденитом и периаденитом.

Из различных видах нарушений двигательной функции пищевода наибольшее практическое значение имеет кардиоспазм. Патологический процесс, называемый ахалазией, выражается в спазме кардии и расширении вышележащей части пищевода.

Первоначально спазм кардии непостоянен и непродолжителен. Однако с течением времени спастическое состояние кардии становится стойким, в брюшной части пищевода развиваются рубцовые изменения, а грудная часть его, пораженная хроническим воспалительным процессом, резко расширяется. Контрастная масса быстро заполняет расширенный пищевод. Брюшная часть его представляет собой симметричную воронку с заостренным нижним концом. В желудок контрастная масса не поступает, пока не прекратится спазм, что продолжается от нескольких минут до нескольких часов. Затем контрастное вещество внезапно «проваливается» в желудок.


Наибольшее практическое значение имеют органические сужения пищевода. Они возникают в результате сдавления пищевода извне, ожога его слизистой оболочки или развития в нем опухоли. Давление на стенку пищевода извне всегда сопровождается некоторым смещением пищевода. Сужение при этом имеет неравномерный характер, так как сильнее выражено со стороны давления. Контуры пищевода остаются ровными и четкими, а складки слизистой оболочки не прерываются. Ожог слизистой оболочки пищевода приводит к ее омертвению с последующим реактивным воспалительным процессом и рубцовым сужением просвета пищевода. Рубцовые перетяжки чаще всего образуются в местах физиологических сужений, так как именно здесь длительно задерживаются химические вещества, вызвавшие ожог. При рентгенологическом исследовании обнаруживается сужение пищевода различной протяженности и степени. Контуры суженного участка неровны, но четки. Над сужением всегда наблюдается расширение просвета пищевода. Решающее значение в диагностике имеют анамнестические данные.

Рак пищевода исходит из слизистой. Ранним рентгенологическим симптомом опухоли является инфильтрация слизистой оболочки: на рентгенограммах в области поражения уже не видно нормальных продольных складок слизистой оболочки, а имеется лишенный складок участок или определяется обрыв складок. В связи с инфильтрацией стенки пищевода раковыми клетками возникает второй ранний симптом опухоли. В норме в момент прохождения пищевого комка просвет пищевода на уровне комка равномерно расширяется. При раковой инфильтрации устанавливается потеря эластичности стенки пищевода на уровне опухоли. Здесь просвет пищевода в момент прохождения комка бария остается суженным. Третьим ранним признаком считают неровность контуров пищевода на ограниченном участке. Для выявления этого симптома надо обязательно добиться «тугого» наполнения пищевода и исследовать его в разных положениях, ибо опухоль может располагаться на любой поверхности стенки пищевода.


При дальнейшем росте опухоли обнаруживаются три других признака, которые считаются «классическими», но появляются сравнительно поздно. Первый из них — значительное, сужение пищевода на уровне опухоли, второй признак—задержка продвижения контрастной массы, по пищеводу; наконец, третий самый важный признак — дефект наполнения. В месте опухоли контрастное вещество уже не может выполнить просвет пищевода, так как он занят опухолевым узлам. Поэтому в тени контрастного вещества появляется дефект. По положению, величине и форме этот дефект примерно соответствует размерам и форме опухоли. Для рака типичен дефект наполнения неправильной формы, с неровными контурами. По характеру изменений тени пищевода в ряде случаев можно определить тип опухоли. При скирре обычно имеется более или менее равномерное концентрическое сужение пищевода. При мозговидном раке обнаруживается большой дефект наполнения неправильной формы. При блюдцеобразном (чашеподобном) раке также возникает дефект наполнения, но в центре его определяется скопление контрастного вещества (оно находится в углублении, образованном распадом опухоли).


Рентгенологическое исследование широко применяется для контроля за результатами операций на пищеводе. Предложив больному проглотить контрастную массу, можно следить за ее продвижением по сохранившейся части пищевода или по искусственному пищеводу, а затем за переходом контрастной массы по анастомозу в желудок или тонкую кишку.

 

Эндофитный рак пищевода нормальный пимщевод

 

ЖЕЛУДОК И ДВЕНАДЦАТИПЕРСТНАЯ КИШКА

Для исследования желудка больной должен явиться в рентгеновский кабинет натощак. При нормальном стуле нет надобности в специальном очищении кишечника. Если больной страдает запорами, ему необходимо сделать две промывные клизмы: одну вечером накануне и другую — утром, в день исследования.

До приема контрастного вещества производят просвечивание и обзорный снимок органов брюшной полости. Это позволяет приблизительно оценить положение и величину печени и селезенки, нижний контур которых обычно дифференцируется на фоне окружающих органов. Затем устанавливается распределение таза в пищеварительном тракте. В норме газ содержится в желудке и толстых кишках. При вертикальном положении тела исследуемого воздух собирается в области свода желудка. Под левой половиной диафрагмы обрисовывается округлый, с ровными очертаниями желудочный воздушный пузырь. В толстых кишках (при том же положении больного) газ скапливается главным образом в печеночной и селезеночной кривизнах. Обзорные снимки дают возможность обнаружить тени конкрементов или инородных тел, что очень важно именно до приема контрастной массы.

Для исследования желудка применяется жидкая водная взвесь сернокислого бария. Больному предлагают сделать один- два небольших глотка этой взвеси. Контрастное вещество быстро пробегает по пищеводу и поступает в желудок. С помощью пальпации или посредством давления на брюшную стенку особым тубусом врач распределяет бариевую взвесь по поверхности слизистой оболочки. Контрастное вещество заполняет межскладочные промежутки, и на экране (снимке) появляется изображение складок слизистой оболочки. Врач определяет число складок, их направление, прерывистость, форму, толщину и высоту, контуры, податливость при пальпации (эластичность).

После изучения рельефа слизистой оболочки больному предлагают выпить содержимое всей кружки, т. е. добиваются массивного наполнения желудка. При этом определяют положение, форму и величину желудка, его тонус, характер контуров, смещаемость, наличие болевых точек, двигательную функцию (перистальтика, «игра» привратника, ход опорожнения). Далее контрастное вещество переходит в двенадцатиперстную кишку. Это позволяет по тому же плану рассмотреть все отделы двенадцатиперстной кишки, т. е. установить ее положение, форму и величину, тонус, очертания, смещаемость, болезненность, двигательную функцию.

При просвечивании желудка и двенадцатиперстной кишки обязательно используют метод многоплоскостного исследования, все время прибегая к поворотам больного за экраном, а также к изменению его положения из вертикального в горизонтальное и обратно. По ходу исследования делают обзорные и прицельные снимки. Снимки с дозированной компрессией облегчают выявление отдельных деталей рельефа слизистой оболочки, контуров желудка и двенадцатиперстной кишки.

Для изучения двигательной функции этих органов прибегают к изготовлению серии снимков.

Нормальный желудок и двенадцатиперстная кишка. Порция контрастной массы, поступившая в желудок, постепенно опускается из кардиального отдела в тело и антральный отдел желудка, что свидетельствует о нормальном тонусе органа. При повышенном тонусе барий длительно задерживается в верхней части желудка, а при пониженном тонусе сразу падает в дис- тальный отдел. Складки слизистой оболочки желудка представляют собой подвижные образования. Складки малой кривизны являются прямым продолжением продольных складок слизистой оболочки пищевода. В области тела желудка определяется 4-5 прямых продольных складок, идущих параллельно друг другу. Только у большой кривизны отмечаются косо идущие складки — здесь происходит переход складок слизистой оболочки с передней на заднюю стенку желудка. В области антрального отдела складки имеют продольное и частью слегка косое направление; они сходятся к каналу привратника. Ширина складок в рентгеновском изображении колеблется от 0,3 до 0,8 см, высота — от 0,4 до 0,8 см. Складки слизистой оболочки луковицы двенадцатиперстной кишки являются продолжением складок желудка и имеют продольное направление.

При массивном заполнении желудок по форме напоминает крючок и располагается в верхней части брюшной полости, в основном слева от средней линии. При повышенном тонусе желудок находится высоко в подложечной области, занимая там косое или почти поперечное положение. При пониженном тонусе он принимает форму удлиненного крючка, нижний полюс которого опускается под межгребешковую линию (линию, соединяющую гребни подвздошных костей). При перемене положения исследуемого положение желудка сильно меняется, в особенности за счет его дистальных отделов. Одновременно наблюдается перемещение контрастной массы в полости желудка. Контрастное вещество всегда занимает наиболее низко расположенные отделы желудка: при вертикальном положении это антральный отдел и нижняя треть тела желудка, при горизонтальном положении на спине — область свода и кардиального отдела. При массивном заполнении хорошо видны все отделы желудка и двенадцатиперстной кишки. В желудке различают свод, кардиальный отдел, тело, антральный отдел и привратник. Место на малой кривизне, отделяющее тело от антрального отдела, называют углом желудка. Канал привратника имеет в длину 1 см, в ширину — 0,5 см. Он виден только в момент прохождения по нему контрастной массы. В промежутках двенадцатиперстная кишка и антральный отдел желудка как бы отделены друг от друга мышечным жомоМ, не дающем тени в рентгеновском изображении.

В двенадцатиперстной кишке выделяют луковицу, верхнюю или горизонтальную часть, нисходящую и нижнюю части. Луковица в функциональном отношении очень близка к желудку. Она имеет форму треугольника с выпуклыми боковыми гранями, в котором различают основание и вершину. Углы у основания луковицы называют ее карманами. Контуры желудка и луковицы всегда ровные и четкие. Некоторая зубчатость контура наблюдается лишь на большой кривизне тела желудка, где происходит пересечение складок передней и задней стенок. Зубчаты также контуры нисходящей и нижней частей двенадцатиперстной кишки в связи с наличием здесь поперечно идущих складок слизистой оболочки (керкринговы складки).

Проявлением двигательной функции желудка служат перистальтические волны — отдельные ритмические сокращения его круговой мускулатуры. Они начинаются в кардиальном отделе и следуют, постепенно углубляясь, к привратнику. Можно установить скорость движения перистальтических волн, их глубину, промежуток времени между отдельными волнами (ритм перистальтики), частоту сокращений. О моторной функции желудка судят по времени и характеру его опорожнения, В норме контрастное вещество сразу начинает поступать в двенадцатиперстную кишку. Переход бария через канал привратника совершается отдельными порциями, ритмично. При обычной консистенции контрастной массы полное опорожнение желудка происходит в течение 1-3 часов.

Хронический гастрит. Хронический гастрит представляет собой заболевание, при котором наблюдается нарушение функции желудка и хроническое воспаление его слизистой оболочки, сопровождающееся гипертрофией или атрофией складок. Главным условием рентгенологического распознавания гастрита является тщательное исследование слизистой оболочки желудка. При гипертрофических формах гастрита отмечается увеличение числа складок и их объема (ширина складок достигает 0,8-1,2 см). Складки становятся малоподвижными, почти не меняют форму при пальпации и на повторных снимках. Контуры, их неровные, прерывистые, изменяется нормальный ход складок. У ряда больных выявляется «зернистый» рельеф слизистой оболочки; вместо четких продольных складок виден ячеистый рисунок, вызванный мелкими разрастаниями на их вершинах. Иногда разрастания на поверхности складок достигают значительной величины и обусловливают крупные круглые дефекты наполнения в тени контрастной массы (бородавчатый, или полипозный, гастрит).

При атрофическом гастрите отмечается истончение складок слизистой оболочки желудка. Иногда на большом протяжении складки отсутствуют и внутренняя поверхность желудка представляет собой гладкую слизистую оболочку. Атрофические изменения обнаруживаются преимущественно в какой-либо части желудка, но могут захватить и всю слизистую оболочку. В некоторых случаях гастрит имеет смешанный характер, и участки гипертрофии слизистой оболочки чередуются с атрофическими.

У больных хроническим гастритом постоянно определяются нарушения функции желудка. При катаральных гастритах, когда изменения в слизистой оболочке не улавливаются рентгенологическим методом, функциональные нарушения являются единственным симптомом болезни. Эти функциональные нарушения крайне разнообразны. У одних больных натощак обнаруживается большое количество жидкости в желудке (на фоне газового пузыря виден горизонтальный уровень жидкости еще до приема контрастной массы); отмечается понижение тонуса желудка, ослабление перистальтики, замедление опорожнения желудка. В других случаях устанавливается углубление перистальтики, повышение тонуса, ускорение эвакуации контрастной массы.

Язвенная болезнь. Рентгенологическое исследование считается одним из основных объективных методов распознавания язвы желудка и двенадцатиперстной кишки. Рентгенологические признаки язвы разделяют на прямые и косвенные. Самым важным прямым симптомом язвы является ниша. Нишей называют ограниченный выступ на силуэте тени желудка. Этот выступ образуется в результате заполнения язвенного дефекта стенки желудка контрастной массой. Величина ниши отражает размеры язвы. При поверхностных язвах неровность контура тени желудка едва заметна даже на очень хороших снимках. При глубоких язвах ниша вырисовывается отчетливо и имеет округлую форму. При пенетрирующих язвах ниша достигает очень большой величины; одновременно отмечается фиксация стенки желудка на уровне язвы. В больших язвах определяется скопление не только контрастного вещества, но также жидкости и газа, проникающих сюда из желудка. Содержимое язвы при вертикальном положении больного может представляться трехслойным.

Если ниша видна в профиль, т. е. является краеобразующей, она имеет треугольную или округлую форму. По ее краям отмечаются углубления на контурах тени контрастной массы. Эти углубления обусловлены а воспалительным набуханием слизистой оболочки вокруг язвы. В периоды, обострения углубления увеличиваются. В фазе рубцевания язвы они постепенно исчезают; при этом определяется схождение (конвергенция) складок слизистой оболочки к нише. Сама ниша уменьшается, контуры ее становятся неровными. В конце концов она пропадает.

Иногда нишу трудно вывести на контур желудка, и тогда язва видна как скопление контрастного вещества на фоне рельефа слизистой оболочки — так называемая ниша на рельефе.

В желудке язва располагается преимущественно на малой кривизне или на задней стенке вблизи малой кривизны. В луковице язва может находиться на любой стенке.


 

 

Язва малой кривизны желудка

Путем поворотов больного всегда стремятся вывести язву на контур, сделать ее краеобразующей.

Вторым прямым симптомом язвенной болезни является деформация желудка или луковицы на почве рубцевания язвы. Если сморщивание желудка на уровне язвы происходит главным образом в поперечном направлении, возникает деформация желудка по типу «песочных часов». Рубцовая перетяжка располагается обычно в области тела желудка и делит его как бы на две половины, сообщающиеся узким каналом. Если язва находилась в субкардиальной части желудка, то иногда свод и кардиальный отдел нависают над телом желудка, подтянутым кверху. Такую форму желудка называют каскадной. Следует лишь помнить, что каскад иногда бывает вариантом формы нормального желудка у лиц с гиперстенией.

Обычно деформация желудка сопровождается нарушением его функции. Это особенно резко проявляется при рубцовом стенозе привратника. В подобных случаях желудок расширяется и изменяется При рентгенологическом исследовании можно видеть, что желудок порой представляет собой громадный мешок, заполненный жидкостью и остатками принятой раньше пищи, которая не проходит в двенадцатиперстную кишку через суженный канал привратника. Контрастная масса также длительно задерживается в желудке, иногда на 1—2 или даже несколько дней. Рубцовые деформации луковицы бывают самого причудливого характера. Наиболее часто определяется выпрямление и укорочение малой или большой кривизны, перетяжка луковицы в средней трети и увеличение карманов.

Прямые симптомы язвы удается обнаружить далеко не всегда. Все это увеличивает значение косвенных признаков язвы. На основании совокупности косвенных признаков можно, как правило, установить правильный диагноз. Косвенные признаки многочисленны. Ниже перечисляются лишь важнейшие из них.

Частым косвенным признаком язвы является регионарный спазм стенки желудка. В результате спазма на большой кривизне возникает стойкое втяжение с ровными очертаниями. Оно локализуется на уровне язвы или несколько ниже ее. Спастическое втяжение, подобно пальцу, указывает на язву. При язве луковицы появляется спазм привратника. Он представляет собой защитный рефлекс, предохраняющий воспаленную слизистую оболочку луковицы от попадания на нее пищевых масс.

К частым косвенным признакам относится ускоренное продвижение контраста, он не задерживается, немедленно «перебрасывается» дальше. Подобное ускоренное перемещение контрастного вещества, между прочим, наблюдается при воспалительном поражении любых других полых органов: кишок, бронхов, мочеточников и пр.

Большое диагностическое значение имеет симптом точечной болезненности, наблюдающийся при язве желудка и двенадцатиперстной кишки. Надо лишь учитывать, что в ряде случаев язва оказывается безболезненной при пальпации. У многих больных обнаруживается нарушение секреторной функции желудка — гиперсекреция. Натощак у них наблюдается большое скопление жидкости в желудке. Перистальтика при язвенной болезни часто усилена. Вместе с тем, перистальтические волны прерываются в области язвы, где стенка желудка инфильтрирована. Совокупность косвенных признаков и клинических данных позволяет почти всегда правильно распознать язву желудка.

Самым грозным осложнением язвы является се прободение. Через отверстие в стенке желудка или кишки в брюшную полость переходит газ. Наиболее достоверный и специфичный симптом перфорации — наличие свободного газа в брюшной полости (пневмоперитонеум).

Лучшим способом распознавания пневмоперитонеума является рентгенологическое исследование. Больного доставляют в рентгеновский кабинет и на каталке помещают между экраном и штативом рентгеновского аппарата. Исследуют больного в том положении, в котором он привезен. Обычно он лежит на спине. Свободный газ скапливается под передней стенкой брюшной полости, над печенью и петлями кишок и обусловливает здесь серповидное просветление. При положении больного на левом боку газ собирается между наружной поверхностью печени и боковой стенкой брюшной полости. При вертикальном положении больного газ скапливается под куполом диафрагмы, чаще справа но иногда слева или с обеих сторон. Одним словом, газ всегда занимает самые верхние отделы брюшной полости, где его и следует искать при рентгенологическом исследовании. При перемене положения тела больного газ также перемещается.

Опухоли желудка. Раковая опухоль развивается из эпителия слизистой оболочки желудка. Самым ранним симптомом болезни является уплотнение и ригидность складок слизистой оболочки. В области поражения складки не меняют своей формы и положения при пальпации, поскольку они инфильтрированы клетками опухоли. Затем очертания складок начинают исчезать. В связи с этим определяется рентгенологический симптом отсутствия складок и прерыва складчатости. Далее появляется так называемый злокачественный рельеф — вместо нормальных складок определяется причудливое скопление различных по величине и форме пятен бария, разделенных светлыми промежутками. Эти скопления находятся в углублениях поверхности опухоли.

Опухоль растет не только в полость желудка, но и прорастает его стенку. Симптомом инфильтрации мышечного слоя является нарушение перистальтики, потеря эластичности стенки желудка. Возникает, как говорят, аперистальтическая зона. В этой зоне перистальтическая волна прерывается, стенка желудка обычно выпрямлена, а контур ее неровен. Неровность контура стенки желудка — очень важный и порой ранний признак рака. Он обнаруживается в начальной стадии только на снимках, причем только в том случае, если опухоль краеобразующая. Поэтому так важны снимки в разных проекциях.

Классическим симптомом рака желудка считается дефект наполнения, который встречается в более поздней стадии развития опухоли и бывает двух видов — краевой и центральный. В первом случае дефект виден по краю силуэта заполненного барием желудка и его форма представляет не что иное, как прямое изображение опухоли, вдающейся в просвет желудка. Во втором случае, когда опухоль расположена на передней или задней стенке желудка, она может обусловить дефект наполнения внутри силуэта желудка. Для выявления такого дефекта иногда приходится применять дозированную компрессию путем давления рукой или тубусом на брюшную стенку. Вторым сравнительно поздним симптомом рака является сужение просвета желудка. Третьим поздним признаком является палъпируемостъ опухоли.

Перечисленные признаки относятся к числу наиболее постоянных и общих для всех типов рака желудка. Но в зависимости от характера и локализации опухоли рентгенологическая картина сильно варьирует.

При бляшковидной форме рака определяется небольшой плоский дефект наполнения с ровными контурами. В других случаях опухоль имеет вид неглубокой плоской язвы с неровными очертаниями. При полипозной форме первоначально наблюдается раздвигание складок слизистой оболочки и появление округлого дефекта наполнения, иногда состоящего из нескольких частей. Контуры дефекта в течение длительного времени могут оставаться ровными, и опухоль кажется четко отграниченной от соседних участков слизистой оболочки. Лишь в дальнейшем происходит распространение опухоли с разрушением складок и появлением неровности ее очертаний.

Чашеподобная (блюдцеобразная) карцинома, т. е. опухоль с приподнятыми в виде валика краями и распадающимся центром, дает круглый или овальный дефект наполнения, в центре которого находится неправильной формы скопление контрастной массы. Для инфильтрирующих опухолей характерно отсутствие четкого дефекта наполнения. При этом виде опухоли не удается различить границу между нормальной и пораженной слизистой оболочкой. Скирроз- ная форма инфильтрирующего рака приводит к циркулярному сужению желудка, который превращается в зоне опухоли в неподатливую узкую трубку, не принимающую участия и перистальтике. Контуры желудка на снимке слегка неровны; на границе с непораженным участком отмечается небольшой уступ.

 

 

 

Рак желудка

 

 

Раковая опухоль, находящаяся в кардиальном отделе, может быть непосредственно видна на фоне желудочного пузыря. Нередко она приводит к нарушению проходимости брюшной части пищевода. Барий длительно задерживается в пищеводе, иногда с силой разбрызгивается, проходя через суженный участок пищевода и кардии, и обтекает опухоль. Рак привратникового отдела приводит либо к постоянному зиянию пилорическюго канала и ригидности его стенок, либо к непроходимости привратника и задержке пищевых масс в желудке. В последнем случае развивается картина стеноза привратника, которая внешне не отличается от наблюдаемой при рубцовом стенозе привратника.

В желудке довольно часто встречаются доброкачественные опухоли. В большинстве случаев это полипы, т. е. образования, растущие на слизистой оболочке и сидящие на ножке. Опухоль обусловливает дефект наполнения. В отличие от рака при полипе не наблюдается разрушения складок слизистой оболочки и перерыва перистальтики. Дефект наполнения всегда является центральным, а не краевым, имеет правильную округлую форму и ровные контуры. Стенка желудка остается эластичной, ровной, а сама опухоль не прощупывается. Полипы могут быть множественными.

На основании рентгенологических данных исключить злокачественное превращение полипа крайне трудно. Симптомами такого превращения являются быстрый рост опухоли, разрушение окружающих ее складок слизистой оболочки, неровность контуров дефекта, пальпируемость его. Поэтому все неоперированные больные с полипами желудка, должны периодически подвергаться контрольному рентгенологическому исследованию.

КИШЕЧНИК

 

Контрастное вещество, принятое внутрь, из двенадцатиперстной кишки поступает в тощую, потом в подвздошную кишку. Благодаря этому создается возможность рентгенологического исследования тонких кишок. Через 10-15 минут после приема бария видна тень первых петель тощей кишки, через, \'/2-2 часа — всех остальных отделов тонких кишок. Так как барий заполняет их не сразу, приходится производить повторные просвечивания с интервалами в 30-60 минут. Исследование необходимо производить в первую очередь при горизонтальном положении больного на спине. При этом врач получает возможность путем пальпации отделить петли кишок одну от другой и тщательно изучить каждую петлю в отношении ее положения, формы, диаметра, контуров, смещаемости, болезненности, рельефа слизистой оболочки, двигательной функции.

В целях ускорения пассажа контрастной массы больному иногда, предлагают выпить 200 мл молока или холодной воды. Прием молока способствует более быстрому заполнению кишок барием. Дополнительным методом исследования является вливание контрастного вещества в тонкие кишки через зонд, введенный в двенадцатиперстную кишку. Такой способ применяют в тех случаях, когда желают добиться одновременного «тугого» наполнения всей тонкой кишки в течение 5-10 минут.

Для рентгенологического исследования толстых кишок используют три метода: 1) метод контрастного завтрака, 2) метод контрастной клизмы (ирригоскопия), 3) метод двойного контрастирования (комбинированный). При первом способе контрастная масса принимается больным через рот и поступает в толстую кишку, пройдя все вышележащие отделы пищеварительной трубки. В слепую кишку барий проникает спустя 3-4 часа после его приема. Через 6-9 часов контрастная масса заполняет слепую, восходящую и частично поперечную кишки. Тонкие кишки к этому времени в норме свободны от бария. Через 20-24 часа контрастная масса у здорового человека заполняет все отделы толстой кишки. Затем барий начинает выделяться с испражнениями, и через 48 часов кишечник не содержит контрастного вещества. Метод контрастного завтрака — наиболее физиологический способ исследования толстой кишки. Он служит для ориентировочного изучения морфологии толстых кишок и углубленного изучения их функции. К сожалению, этот метод не позволяет получить картину рельефа слизистой оболочки, так как кишка заполнена густыми скоплениями бария, не отражающими структуры слизистой оболочки.

При втором способе толстые кишки заполняют контрастной массой посредством клизмы (для этого можно использовать кружку Эсмарха или специальный прибор, устроенный по принципу аппарата Боброва). Предварительно больной должен быть подготовлен. Накануне вечером ему делают очистительную клизму, утром (не менее чем за 2 часа до исследования) -повторную очистительную клизму. Больной является в рентгеновский кабинет натощак. Медленно размешивают 300-400 г сернокислого бария в 200-300 мл теплой кипяченой воды, пока масса не станет совершенно однородной. Затем ее разбавляют до общего количества 1,5-2 л. При горизонтальном положении больного на спине, обычно под контролем просвечивания, начинают заполнение толстой кишки теплой взвесью контрастного вещества. Когда вся кишка заполнена, производят обзорный снимок. С помощью просвечивания и прицельных снимков изучают положение, форму и величину кишечных петель, их контуры, смещаемость, болезненность при пальпации. Затем предлагают больному опорожнить толстую кишку. В результате дефекации основная масса контрастной взвеси удаляется из кишечника, но небольшой налет бария остается на слизистой оболочке, что позволяет изучить ее рельеф.

Комбинированный метод заключается в том, что после опорожнения толстой кишки от части бария, введенного с помощью клизмы, в кишку вдувают некоторое количество воздуха (до 1 л). Создается двойной контраст. Покрытые барием складки слизистой оболочки или какие-либо патологические образования (опухоли) рельефно выделяются на фоне газа (метод Фишера).

Таким образом, ведущим методом изучения морфологии толстой кишки является метод ирригоскопии с исследованием рельефа слизистой оболочки. Основным способом изучения функции толстой кишки служит метод контрастного завтрака. Применение обоих этих методов позволяет получить полное представление о состоянии толстых кишок. Метод двойного контрастирования используется главным образом для выявления мелких полипов в толстой кишке.

Нормальный кишечник. Петли тонких кишок равномерно заполняются контрастной массой. Они имеют вид узких лент шириной 1-2 см. Петли тощей кишки находятся преимущественно в центральных отделах живота, больше слева от средней линии. На их контурах видна зубчатость — отражение поперечных складок слизистой оболочки. Петли подвздошной кишки расположены большей частью в тазу, контуры их ровные. После прохождения контрастной массы по тощей кишке выявляется своеобразный перистый рисунок ее рельефа. Во время просвечивания заметны живые перистальтические и маятникообразные движения содержимого тонких кишок.

Толстая кишка, заполненная контрастной массой, занимает периферические отделы брюшной полости. В правой подвздошной области расположена слепая кишка — самый широкий отдел толстой кишки. У ее нижнего полюса нередко заметен червеобразный отросток в виде узкой извилистой полоски длиной 8-10 см. Слепая кишка переходит в восходящую ободочную, которая поднимается до печени, образует печеночную кривизну и переходит в поперечную ободочную кишку. Последняя в поперечном направлении пересекает брюшную полость, иногда довольно низко опускаясь в сторону таза. В левом подреберье находится селезеночная кривизна, от которой вдоль левой боковой стойки живота идет нисходящая ободочная кишка. В левой подвздошной области она переходит в сигмовидную кишку, образующую один — два изгиба. Из сигмовидной кишки контрастная масса поступает в прямую.

Диаметр толстой кишки постепенно уменьшается от слепой кишки к сигмовидной. В области прямой кишки он вновь возрастает. Контуры толстой кишки в норме всегда четкие, причем на них выделяются симметрично расположенные углубления — га- устры. На внутренней поверхности кишки гаустрам соответствуют полулунные складки слизистой оболочки. Гаустры не являются постоянными анатомическими образованиями. Их количество, распределение и глубина зависят от сократительной функции мышечного слоя кишки. В различных фазах пищеварения, а также под влиянием различных фармакологических средств характер гаустрация существенно меняется. Гаустры особенно четко видны при использовании метода контрастного завтрака. При ирри- госкопии гаустры выражены слабее.

Рельеф слизистой оболочки толстых кишок также очень изменчив. В основном отмечаются продольные, косые и поперечные складки небольшого калибра. В тех отделах, где пищевые массы задерживаются сравнительно долго, например в слепой кишке, преобладают косые и поперечные складки. Наоборот в тех отделах, которые выполняют роль выведения каловых масс, например в сигмовидной и прямой кишках, преобладают продольные складки.

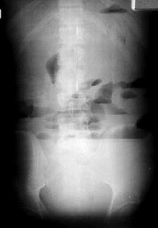
Острая непроходимость кишечника. Больной, у которого предполагается острая непроходимость кишечника, должен быть подвергнут срочному рентгенологическому исследованию. Ему следует произвести просвечивание и обзорный снимок брюшной полости при вертикальном положении тела и без применения контрастного вещества. Если состояние больного тяжелое, просвечивание и снимок производятся в горизонтальном положении на боку.

 

 

 

 

При любом виде острой непроходимости наблюдается вздутие кишечных петель и появление в них скоплений газа и жидкости. Источником метеоризма могут быть проглоченный воздух и газы крови, тогда как жидкое содержимое составляется пищеварительными соками и секретом кишечной стенки. Вздутые и растянутые петли кишок отчетливо вырисовываются на рентгенограммах; на фойе заключенного в кишках газа видны горизонтальные уровни жидкости (так называемые уровни, или чаши Клойбера). Эти рентгенологические признаки обнаруживаются уже через 1-2 часа после начала заболевания.

Когда диагноз кишечной непроходимости установлен, необходимо определить ее тип, т. е. провести дифференциацию между динамической и механической непроходимостью. Это сделать нетрудно. При динамической непроходимости вздуты все кишечные петли, по всех петлях содержится газ и жидкость. При механической непроходимости резко вздуты все петли, расположенные выше места закупорки или сдавления кишки, но находятся в спавшемся состоянии и не содержат газа и жидкости все петли дистальнее места закупорки. Последний признак позволяет не только распознать механическую непроходимость, но и определить ее уровень. Например, если на снимках определяется вздутие тонких кишок, а толстая кишка находится в спавшемся состоянии, можно с уверенностью установить непроходимость тонкой кишки.

Кроме того, при динамической непроходимости обращает на себя внимание постоянство рентгенологической картины, отсутствие перистальтических движений кишок. При механической непроходимости уровни жидкости все время меняют свое положение в связи с энергичными перистальтическими движениями, а на повторных снимках определяется изменение положения вздутых петель и уровней жидкости в них. В тех случаях, когда подозревается непроходимость толстой кишки, показано вливание в нее контрастной массы с помощью клизмы. Такое исследование позволяет не только подтвердить наличие непроходимости, но и определить ее причину, а в некоторых случаях способствовать восстановлению проходимости кишки (при завороте сигмовидной кишки, при инвагинации толстой кишки).

Энтериты и колиты. Воспалительное поражение кишечника обусловливает возникновение анатомических и функциональных симптомов. Анатомические признаки обнаруживаются в первую очередь при изучении рельефа слизистой оболочки. В тонких кишках исчезает перистый рисунок слизистой оболочки; контрастное вещество неравномерно распределяется по внутренней поверхности кишки в виде отдельных хлопьев. В толстых кишках воспалительное набухание и отек слизистой оболочки приводят к утолщению и деформации складок, а в ряде случаев — и к полной бесструктурности внутренней поверхности кишок. Барий, заполняющий язвенные дефекты, дает неправильной формы мелкие тени на общем смазанном фоне слизистой оболочки. В дальнейшем когда в слизистой оболочке развиваются грануляции, рельеф принимает «зернистый» вид, образуя мелкоячеистый рисунок.

Если в процесс вовлекаются более глубокие слои стенки кишки, может определяться деформация отдельных петель, неровность их контуров, стойкое сужение просвета, ограничение смещаемости кишок. Петля тонкой кишки может сузиться до поперечника в 0,2-0,5 см (симптом «веревочки»).

Функциональные изменения выражаются в нарушениях тонуса и двигательной способности кишок. Участки, находящиеся в спастическом состоянии, чередуются с расширенными. В кишечных петлях появляются небольшие пузыри газа с короткими уровнями жидкости. Продвижение контрастного вещества происходит неравномерно, оно резко ускорено в местах воспалительного поражения кишок. При пальпации по ходу кишечника определяется болезненность. Гаустральные втяжения теряют свою симметричность. Они распределены неравномерно, местами очень глубоки, в других частях кишки отсутствуют. Контуры гаустр становятся выпрямленными, неровными.

Туберкулез кишечника. Туберкулезные изменения в 85-90% случаев возникают в илеоцекалыюй области, причем поражается дистальный отдел подвздошной кишки и слепая кишка. Заболевание приводит к нарушению функции не только пораженного отдела, но и всего желудочно-кишечного тракта. Контрастная масса значительно дольше, чем в норме, задерживается в петлях тонкой кишки. К тому же эти петли имеют различный калибр в разных отделах, складки слизистой оболочки в них утолщены, в просвете кишок находятся небольшие скопления газа, которых у здоровых людей в тонких кишках не бывает. В тех участках, где развился туберкулезный процесс, бариевая взвесь не задерживается. Поэтому хорошее заполнение пораженного отдела кишечника получить трудно. В частности, у большинства больных отмечается резкое ускорение продвижения контрастной массы по слепой кишке. Последняя находится в спастическом состоянии и не содержит большого количества бария (симптом Штирлина).

Анатомические изменения выражаются в инфильтрации складок слизистой оболочки, их утолщении или отсутствии. Контуры кишок делаются неровными, дистальная петля подвздошной кишки нередко превращается в малоподвижную выпрямленную трубку. В толстой кишке исчезает гаустрация. В местах изъязвлений отмечается зубчатость контуров кишки, а иногда заметны ниши. Крупные туберкулезные инфильтраты дают дефекты наполнения, которые могут напоминать картину опухоли. В результате сморщивания и рубцевания пораженный отдел кишечника

укорачивается и деформируется, а просвет его уменьшается.

Между кишечными петлями возникают сращения. Особенно характерны для туберкулеза множественные ограниченные сужения тонких кишок, а также укорочение и значительная деформация слепой и восходящей кишок. При пальпации пораженных отделов отмечается болезненность.

Рак толстой кишки. Ранним рентгенологическим признаком рака является инфильтрация слизистой оболочки в области олухоли и перерыв складок слизистой оболочки. Этот признак устанавливается только при исследовании рельефа слизистой. На уровне опухоли стенка кишки становится ригидной (неподвижной) и при пальпации не меняет своей конфигурации. Затем растущая опухоль приводит к неровности контура кишки и сужению ее просвета. Сама опухоль обусловливает дефект наполнения в тени контрастного вещества.

В случае полипообразного рака дефект наполнения отграничен от соседних отделов, имеет более или менее ровные контуры. При инфильтрирующем раке дефект имеет неровные контуры, нерезко отграничен.

Скирр вызывает циркулярное сужение кишки. В области опухоли кишка превращается в узкую неподвижную трубку, лишенную гаустр. Соответственно дефекту наполнения часто прощупывается опухоль, что подтверждает правильность рентгенологического диагноза.

 

ТЕСТЫ

 

1. Складки слизистой пищевода лучше выявляются

А.при тугом заполнении бариевой взвесью

Б. после прохождения жидкой бариевой взвеси при частичном спадении пищевода

В. при двойном контрастировании

Г. при использовании релаксантов

 

2. Наиболее простым способом введения газа в пищевод для его двойного контрастирования является

А. введение через тонкий зонд

Б. проглатывание больным воздуха

В. проглатывание больным воздуха вместе с бариевой взвесью (в виде нескольких следующих друг за другом глотков)

Г. прием больным содового раствора и раствора лимонной кислоты

 

3. Достоверным симптомом перфорации полого органа является

А.нарушение положения и функции диафрагмы

Б. свободный газ в брюшной полости

В.свободная жидкость в отлогих местах брюшной полости

Г. Метеоризм

 

4. Трехслойная ниша, выступающая за контур желудка, рубцовая деформация желудка и воспалительная перестройка рельефа слизистой характерны

А.для острой язвы

Б. для пенетрирующей язвы

В.для озлокачественной язвы

Г. для инфильтративно-язвенного рака

5. Компьютерную томографию толстой кишки применяют как дополнительную методику у больных

А. с неспецифическим язвенным колитом

Б. с общей брыжейкой кишечника

В. с опухолевыми заболеваниями

Г. с болезнью Гиршпрунга

 

6.Дифференциальная рентгенодиагностика хронических (пенетрирующих) и острых язв желудка возможна на основании одного из приведенных ниже симптомов

А.рубцовая деформация желудка с центром рубцевания соответственно локализации язвы

Б. диаметр язвенного кратера более 2 см

В. симптом трехслойности в язвенной нише

Г. конвергенция складок слизистой к язве

 

 

7. При подозрении на прободную язву желудка или 12- перстной кишки больному необходимо произвести в первую очередь

А. бесконтрастное исследование брюшной полости

Б. двойное контрастирование желудка

В. исследование желудка с водорастворимыми контрастными препаратами

Г. исследование желудка и 12-перстной кишки с дополнительным введением газа

 

8. Ведущим рентгенологическим симптомом атрезии пищевода является

А.сужение пищевода

Б. наличие слепого мешка

В.деформация пищевода

Г. расширение пищевода

 

9. При химических ожогах пищевода рубцовое сужение просвета чаще наблюдается

А.в верхней трети

Б. в средней трети

В. в дистальной трети

Г. в местах физиологических сужений

 

10. Наиболее важными техническими и методическими условиями для выявления тонкого рельефа слизистой желудка (желудочных полей) являются

А.рентгеноскопия с использованием рентгенотелевидения

Б. специальные усиливающие экраны, рентген.исследование в условиях пневморельефа

В. микрофокус рентгеновской трубки, жесткое излучение

Г. короткая экспозиция, мелкодисперсная бариевая взвесь,

дозированная компрессия

 

11. Остроконечная ниша малой кривизны тела желудка до 1 см в диаметре, выступающая за контур, с симметричным валом, эластичной стенкой вокруг может быть

А. при доброкачественной язве

Б. при пенетрирующей язве

В. при озлокачественной язве

Г. при инфильтративно-язвенном раке

 

12. Стойкое циркулярное сужение ободочной кишки с подрытыми краями и неровными контурами наблюдается

А.при дивертикулезе

Б. при стенозирующем раке

В.при язвенном колите

Г. при болезни Гиршпрунга

 

13. Остроконечная ниша малой кривизны тела желудка до 1 см в диаметре, выступающая за контур, с симметричным валом, эластичной стенкой вокруг может быть

А. при доброкачественной язве

Б. при пенетрирующей язве

В. при озлокачественной язве

Г. при инфильтративно-язвенном раке

 

14. Основной методикой рентгенологического исследования ободочной кишки является

А.пероральное заполнение

Б. Ирригоскопия

В. водная клизма и супервольтная рентгенография

Г. методика Шерижье

 

15. Одиночный дефект наполнения желудка размерами 2 см и более неправильно округлой формы, со структурной поверхностью и широким основанием — рентгенологические симптомы, характерные

А. для полипа

Б. для неэпителиальной опухоли

В. для полипозного рака

Г. для безоара

 

16. Множественные дефекты наполнения желудка 0,5-1 см в диаметре правильной округлой формы, с четкими контурами и гладкой поверхностью на фоне неизменной слизистой — рентгенологические симптомы

А. варикозного расширения вен

Б. избыточной слизистой

В.полипов

Г. полипозного гастрита

17. Для любого вида механической кишечной непроходимости общими рентгенологическими признаками являются

А. свободный газ в брюшной полости

Б. свободная жидкость в брюшной полости

В. арки и горизонтальные уровни жидкости в кишечнике

Г. нарушение топографии желудочно-кишечного тракта

 

Ответы: 1-Б, 2-В, 3-Б, 4-Б, 5-В, 6-В, 7-А,Г, 8-Б, 9-Г, 10-Г, 11- А, 12-Б, 13-А, 14-Б, 15-В, 16-В, 17-В.

 

 

КОНТРОЛЬНЫЕ ВОПРОСЫ

 

1. Какие реитгеноконтрастные вещества применяются для рентгенологического исследования желудочно-кишечного тракта.

2. Методика исследования глотки и слюнных желез.

3. Лучевая анатомия пищевода. Особенности лучевой анатомии пищевода у детей.

4. Лучевая диагностика инородных тел пищевода у детей.

5. Дивертикулы пищевода, их классификация и рентгеновская картина.

6. Дифференциальная диагностика сужений пищевода.

7. Рентгеносемиотика при врожденных пороках развития пищевода (атрезии, халазии,ахалазии).

8. Лучевая анатомия и методика исследования желудка у детей.

9. Какие морфо- функциональные данные могут быть получены при рентгенологическом исследовании.

10. Рентгеносемиотика при стенозе привратника и двенадцатиперстной кишки.

11. Каковы прямые и косвенные признаки язвенной болезни желудка при рентгенологическом исследовании.

12.Рентгенологическая картина при доброкачественных опухолях желудка у детей.

13. Методика исследования глотки и слюнных желез.

14. Лучевая анатомия пищевода. Особенности лучевой анатомии пищевода.

15. Лучевая диагностика инородных тел пищевода.

16. Лучевая анатомия и методика исследования желудка.

17.Рентгенологическая картина при доброкачественных опухолях желудка.

18. Методика исследования тонкой и толстой кишки.

19. Рентгеносемиотика кишечной непроходимости.


 







Date: 2015-08-06; view: 626; Нарушение авторских прав



mydocx.ru - 2015-2026 year. (0.884 sec.) Все материалы представленные на сайте исключительно с целью ознакомления читателями и не преследуют коммерческих целей или нарушение авторских прав - Пожаловаться на публикацию