Главная Случайная страница


Полезное:

Как сделать разговор полезным и приятным Как сделать объемную звезду своими руками Как сделать то, что делать не хочется? Как сделать погремушку Как сделать так чтобы женщины сами знакомились с вами Как сделать идею коммерческой Как сделать хорошую растяжку ног? Как сделать наш разум здоровым? Как сделать, чтобы люди обманывали меньше Вопрос 4. Как сделать так, чтобы вас уважали и ценили? Как сделать лучше себе и другим людям Как сделать свидание интересным?


Категории:

АрхитектураАстрономияБиологияГеографияГеологияИнформатикаИскусствоИсторияКулинарияКультураМаркетингМатематикаМедицинаМенеджментОхрана трудаПравоПроизводствоПсихологияРелигияСоциологияСпортТехникаФизикаФилософияХимияЭкологияЭкономикаЭлектроника






Визуальная диагностика_каз





АЗАҚСТАН РЕСПУБЛИКАСЫ БІЛІМ ЖӘНЕ ҒЫЛЫМ МИНИСТРЛІГІ

Арағанды мемлекеттік медицина университеті

 

«Бекітемін»

ҚММУ ректоры, профессор

Досмаѓамбетова Р.С._________

 

 

«5В130100 – Жалпы медицина» мамандыѓы,

Хирургия» дайындау баѓыты ‰шін

Визуалды диагностика» пәні бойынша тест тапсырмалары

 

Құрастырушы: Визуалды диагностика кафедрасының доценті, м.ғ.к. Питель Е.С.

 

 


Визуальная диагностика_каз

 

$$$001

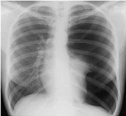
Науқас 32 жаста, кеуде жасушасы сол бөлігіндегі ауырсынуға шағымданды, дем алу қиындығымен демікпе көрсетілген. Кенеттен ауырған, жөтелдін әсерінен кеуде жасушасының сол жақ бөлігінде ауырсыну пайда болды, тездетіп демікпе үдей бастады. Объективті: ерін цианозы, кеуде жасушасының сол жақ жартысы үлкейгені соншама, тыныс алу актісінен қалып қояды, мойын тамырларының ісінуі белгіленді. Перкуссияда: сол жақта дыбыстын тимпаникалық түрі, перкуторлы сол жақ өкпенің төменгі шегі төмен түскен (аурудын ауыр жағдайына байланысты төменгі шетінің қозғалғыштығы анықталмаған). Аускультацияда везикулярлық тыныс алу кенеттен босаңсыңғаны байқалады. Кеуде қуысы шолымды рентгенографиясы таѓайындалды.

Нақты клиникорентгенологиялық сурет қандай патологияѓа үзінді:

A) Пневмоторакс

B) өкпе циррозы

C) Кавернозды туберкулез

D) Пневмония

E) Гидроторакс

{Дұрыс жауабы} = A

{Күрделілігі} = 2

{Оқулық} = (Сәулелік диагностика.- том 1,2.- Хамзин Ғ.- Алматы, 2001)

{Курс} = 7

{Семестр}=14

 

$$$002

Науқас 25 жаста, жіті ауырып қалды. Безгектік және құрѓақ жөтел пайда болды, оң жақ бүйірінен ауырсыну қосылды. Оң жақ өкпенің астын перкуссиялағанда өкпе дыбысы женіл әлсіреді, аускультацияда дем алуы бәсең. Кеуде қуысы мөшелеріне 2-і стандартты проекцияда рентгенография тағайындалды.

 

Нақты клиникорентгенологиялық сурет қай ауруға сәйкес келеді:

A) Кавернозды өкпе туберкулезіне

B) өкпенің орталық обыры

C) үптенген пневмония

D) Ошақты пневмония

E) өкпенің инфильтративті туберкулезі

{Дұрыс жауабы} = C

{Күрделілігі} = 2

{Оқулық} = (Сәулелік диагностика.- том 1,2.- Хамзин Ғ.- Алматы, 2001)

{Курс} = 7

{Семестр}=14

 

$$$003

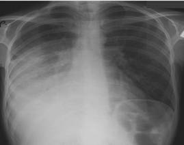
Науқас 28 жаста, 1,5 жұма бұрын дене температурасы 38,6 С дейін көтеріліп жіті ауырып қалды, құрғақ жөтел, дем алғанда кеуде жасушасының сол жақ бөлігінде қатты ауырсыну бар. Кеуде қуысы ағзалары рентгенограммасында жоғарғы қисық контурымен сол жақ өкпе шеттеріне дейін, гомогенді субтотальды қарайған анықталды, көкірек мүшелері оңға ығыстырылған.

Қандай патология нақты рентгенологиялық синдромда көрсетіледі:

A) Жіті пневмония

B) өкпе ателектазы

C) Экссудативті плеврит

D) өкпе циррозы

E) Пульмонэктомии кейінгі фиброторакс

{Дұрыс жауабы} = C

{Күрделілігі} = 2

{Оқулық} = (Сәулелік диагностика.- том 1,2.- Хамзин Ғ.- Алматы, 2001)

{Курс} = 7

{Семестр}=14

 

$$$004

Науқас Е., 42 жаста, дисфагияға және эпигастрияда ауырсынуға шағымданады. өнешті рентгенологиялық зерттеуде асқазан бөлігі кеуде қуысына ауытқуы байқалады, ол өнештін саңылауындағы абдоминальды артқы қабырғасындағы бөлігінде өңештін саңылауы бекіген, дөңгелек шығыңқы барийлік жүзінді – қуыс, қуыстын шетіндегі өңештін қабырғасы ригидті. Нақты рентгенологиялық сурет өнештін қандай ауруына сәйкес:


A) өнеш ахалазиясы

B) өнеш обыры

C) өнештін химиялық кұйюі

D) өнештін тыртықты деформациясы

E) өнеш ойықжарасы

{Дұрыс жауабы} = E

{Күрделілігі} = 2

{Оқулық} = (Сәулелік диагностика.- том 1,2.- Хамзин Ғ.- Алматы, 2001)

{Курс} = 7

{Семестр}=14

 

$$$005

Ер адам 57 жаста. ұйыған қанмен қақырықтын бөлінуіне, кеуде жасушасында ілеспелі ауырсынуға қоса, қатты жөтел, дене температурасының ұзақ 37,6оС көтерілуіне, орташа жүктеме демікпе пайда болатынына шағымданады. Жыл ағымында 15 кг арықтаған. Жағдайынығ кұрт төмендеуін соңғы 2 айда байқаған. 25 жылдан аса уақыт темекі тартады. Кеуде жасушасының 2-і стандартты проекциясының рентгенограммасында, оң жата 2 сегменттін аймағында сәулелі контурымен және өкпе тамырына жолмен дөнгелек көленке бар.

Жоғарыда берілген анамнездін және рентгенологиялық зерттеулердін қайсысы

мейлінше қай ауруға үзінді

A) өкпенің жоғарғы оң жақ бөлігі

B) оң жақ өкпе ателектазы

C) пневмоторакс

D) созылмалы бронхит

E) өкпе эмфиземасы

{Дұрыс жауабы} = A

{Күрделілігі} = 2

{Оқулық} = (Сәулелік диагностика.- том 1,2.- Хамзин Ғ.- Алматы, 2001)

{Курс} = 7

{Семестр}=14

 

$$$006

Науқас 76 жаста. Рентгенограммада оң жақ өкпе тамырында сәулелі пішіндегі интенсивті дөнгелек түзу емес пішінде көлеңке, рентгенологилық белгілері өкпе гиповентиляциясы. Гиповентиляцияда көкірекортасы қайда жылжиды?

A) қалыпты жағдайда қалады

B) зақымдалу жағына қарай ығысады

C) сау жағына қарай ығысады

D) жоғарыға ығысады

E) төмен ығысады

{Дұрыс жауабы} = B

{Күрделілігі} = 2

{Оқулық} = (Сәулелік диагностика.- том 1,2.- Хамзин Ғ.- Алматы, 2001)

{Курс} = 7

{Семестр}=14

 

$$$007

Науқас 59 жаста, кеуде қуысы ағзасының шолымды рентгенограммасында оң жақ өкпе төбесінде қарауытуы белгіленген, төменгі шегі доға тәріздес, дөнестігімен жоғарыға бағытталған, көленкенін жоғарғы бейнесі бақыланбайды, 2-ші қабырға деструкциясы белгіленеді. Нақты рентгенологиялық сурет қандай патологияға типті:

A) Орталық обыр (рак)

B) Пэнкоста ісігі

C) Қалталанған плеврит

D) Ателектаз

E) Біліктік пневмония

{Дұрыс жауабы} = B

{Күрделілігі} = 3

{Оқулық} = (Сәулелік диагностика.- том 1,2.- Хамзин Ғ.- Алматы, 2001)

{Курс} = 7

{Семестр}=14

 

$$$008

Науқас 67 жаста. 52 темекі тартады. Рентгенограммада өкпенің оң жақ тамырында дұрыс емес қарқынды сопақ пішінді сәулелі контурымен көленке бар. Рентгенологиялық сурет оң жақ өкпе орталық экзобронхиалды обырына күдік тудырады. Қандай рентгенологиялық әдіс диагнозды анықтауға және ауру сатысын анықтауға артықшылықты болады:


A) Бойлық томография

B) КТ

C) Бронхография

D) МРТ

E) Сонография

{Дұрыс жауабы} = B

{Күрделілігі} = 3

{Оқулық} = (Сғулелік диагностика.- том 1,2.- Хамзин Ғ.- Алматы, 2001)

{Курс} = 7

{Семестр}=14

 

$$$009

Науқас 26 жаста. Анамнезде бронхоэктатикалық ауру. Сол жақ өкпе алаңының төменгі бөлігі рентгенограммасында перибронхиальды склероз байқалады, өкпе суреті қарқынды, деформацияланѓан, ұялы. Қандай заманауи сәулелік зерттеу әдістері, бронхоэктазды анық визуализациялауѓа мүмкіндік береді:

A) Магнитті-резонансты томография

B) Рентгеноскопия

C) Шолымды рентгенография

D) Пневмомедиастинография

E) Компьютерлік томография

{Дұрыс жауабы} = E

{Күрделілігі} = 3

{Оқулық} = (Сәулелік диагностика.- том 1,2.- Хамзин Ғ.- Алматы, 2001)

{Курс} = 7

{Семестр}=14

 

$$$010

Науқас 18 жаста. Құрсақүстілік аумақта түнгі уақытта және тамақтын алдында жергілікті ауырсынуға, қышқыл кекіріктін, жүрек айнуына шағымданады. Рентгенологиялық зерттеулерде нығыздалып толтырылған асқазанда 0,5 см үшбұрыш пішінді асқазан денесінің кішкентай қисықтығы бойынша «қуыс» анықталды, қарама-қарсы жаѓында жергілікті түйірілу байқалады. Нақты клиникалы рентгенологиялық кµрініс қай ауруға сәйкес келеді:

A) эрозиялық гастрит

B) асқазан обыры

C) асқазан ойықжарасы

D) жараға айналған асқазан обыры

E) полип

{Дұрыс жауабы} = C

{Күрделілігі} = 3

{Оқулық} = (Сәулелік диагностика.- том 1,2.- Хамзин Ғ.- Алматы, 2001)

{Курс} = 7

{Семестр}=14

 

$$$011

Науқас Д., 56 жаста. Дисфагия шағымданды. өңештін рентгенологиялық зерттеуінде 3х4 см көлемде адыр-бұдырлы пішінде шеттік толу дефектісі белгіленді. Осы бөлімдегі сілемей іркістері қайта құрылған, перистальтика жоқ. Нақты рентгенологиялық сурет өнештін қай ауруы сәйкес:


A) өнеш ахалазиясы

B) өнеш обыры

C) өңештің химиялық кұюі

D) өңештің тыртықты деформациясы

E) өңеш ойық жарасы

{Дұрыс жауабы} = B

{Күрделілігі} = 3

{Оқулық} = (Сәулелік диагностика.- том 1,2.- Хамзин Ғ.- Алматы, 2001)

{Курс} = 7

{Семестр}=14

 

$$$012

Науқас Т. 22 жаста. Ауырлықсезіміне, тамақ ішер алдындағы және эпигатральді аймақтағы түнгі ауырсыну, қышқылды кекірік, құсқысы келуіне шағымданады. Асқазанды тығыз толтырып рентгенологиялық зерттеу кезінде асқазанның кіші иіні бойынша «қуыс» анықталды, үшбұрыш пішінді, 0,5 см, қарама – қарсы бетте жергілікті тарылу, зақымдану аумағында контрастын өтуінің жеделдеуі байқалады. үлкен иін бойынша аймақтық спазм. Ойық жара ауруының қандай рентгенологиялық симптомдары жанама белгілеріне не жатады:

A) рельефегі қуыс, қабынбалы белдік

B) гиперсекреция, сілтеуші жүзік симптомы, гипермотильдік

C) контурдағы қуыс, іркістер конвергенциясы

D) қабынбалы белдік, іркістер конвергенциясы, қуыс

E) іркістер конвергенциясы, жергілікті ауырсыну

{Дұрыс жауабы} = B

{Күрделілігі} = 3

{Оқулық} = (Сғулелік диагностика.- том 1,2.- Хамзин Ғ.- Алматы, 2001)

{Курс} = 7

{Семестр}=14







Date: 2015-07-22; view: 1117; Нарушение авторских прав



mydocx.ru - 2015-2026 year. (0.051 sec.) Все материалы представленные на сайте исключительно с целью ознакомления читателями и не преследуют коммерческих целей или нарушение авторских прав - Пожаловаться на публикацию