Главная Случайная страница


Полезное:

Как сделать разговор полезным и приятным Как сделать объемную звезду своими руками Как сделать то, что делать не хочется? Как сделать погремушку Как сделать так чтобы женщины сами знакомились с вами Как сделать идею коммерческой Как сделать хорошую растяжку ног? Как сделать наш разум здоровым? Как сделать, чтобы люди обманывали меньше Вопрос 4. Как сделать так, чтобы вас уважали и ценили? Как сделать лучше себе и другим людям Как сделать свидание интересным?


Категории:

АрхитектураАстрономияБиологияГеографияГеологияИнформатикаИскусствоИсторияКулинарияКультураМаркетингМатематикаМедицинаМенеджментОхрана трудаПравоПроизводствоПсихологияРелигияСоциологияСпортТехникаФизикаФилософияХимияЭкологияЭкономикаЭлектроника






Перечислите основные симптомы на представленной рентгенограмме





*дефект наполнения

-ниша

-депо бария

-смещение органа

*локальное сужение органа

-супрастенотическое расширение

-чаши Клойбера

-деформация

 

 

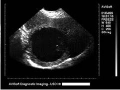
Укажите, для какого заболевания характерны изменения на сонограмме

-цирроз печени

-острый гепатит

-жировая дистрофия печени

-киста печени

-гемангиома

*гепатоцеллюлярный рак

-метастазы

 

 

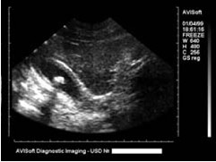
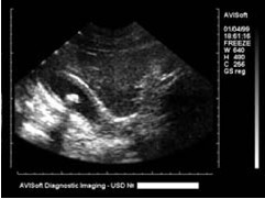
Перечислите основные симптомы на представленной сонограмме

-округлая форма образования

*неправильная форма образования

-четкие контуры образования

*неоднородная структура образования

-однородная структура образования

*нечеткие контуры образования

 

 

Укажите, для какого заболевания характерны изменения на сонограмме

-цирроз печени

-острый гепатит

-жировая дистрофия печени

*киста печени

-гемангиома

-гепатоцеллюлярный рак

-метастазы

 

 







Date: 2015-07-24; view: 652; Нарушение авторских прав



mydocx.ru - 2015-2026 year. (0.738 sec.) Все материалы представленные на сайте исключительно с целью ознакомления читателями и не преследуют коммерческих целей или нарушение авторских прав - Пожаловаться на публикацию