Главная Случайная страница


Полезное:

Как сделать разговор полезным и приятным Как сделать объемную звезду своими руками Как сделать то, что делать не хочется? Как сделать погремушку Как сделать так чтобы женщины сами знакомились с вами Как сделать идею коммерческой Как сделать хорошую растяжку ног? Как сделать наш разум здоровым? Как сделать, чтобы люди обманывали меньше Вопрос 4. Как сделать так, чтобы вас уважали и ценили? Как сделать лучше себе и другим людям Как сделать свидание интересным?


Категории:

АрхитектураАстрономияБиологияГеографияГеологияИнформатикаИскусствоИсторияКулинарияКультураМаркетингМатематикаМедицинаМенеджментОхрана трудаПравоПроизводствоПсихологияРелигияСоциологияСпортТехникаФизикаФилософияХимияЭкологияЭкономикаЭлектроника






Лучевая диагностика портальной гипертензии





Анамнез и объективные данные клинического исследования с учетом преобладающей частоты внутрипеченочной формы блока позволяют поста­вить в большинстве случаев правильный предварительный диагноз в диагностике синдрома портальной гипертензии. Среди инструментальных исследований в первую очередь применяют рентгеноло­гическое исследование пищевода и желудка для выявления варикозного расширения вен в дистальной части пищевода (рис. 12.6). О наличии его свидетельствуют множественые округлые или овальные дефекты наполне­ния при контрастировании пищевода. Более полную информацию о состоя­нии вен пищевода дает эндоскопическое исследование. Важное значение в определении уровня препятствия для оттока крови из воротной вены имеют инструментальные методы исследо­вания.

Венография.

Если при циррозе печени каким-либо методом установлена проходимость воротной вены, подтвер­ждение с помощью венографии не является обя­зательным; она показана при планировании транс­плантации печени или операции на воротной вене. Если по данным сцинтиграфии предполагается тромбоз воротной вены, то для верификации ди­агноза необходима венография.

Флебография может выявлять также дефект на­полнения воротной вены или её ветвей, свидетель­ствующий о сдавлении объёмным образованием.

 

 

Нормальная ангиографическая картина ворот­ной вены при введении контрастного вещества с помощью чрескожной пункции селезёнки. Всё введённое контраст­ное вещество проходит через селезёночную и воротную вены в печень. С — часть контрастного вещества, задержавшаяся в селезёнке; СВ — селезёночная вена; ВВ — воротная вена; ЛсПВВ — левая сегментарная ветвь правой ветви воротной вены; ВПСР — внутрипеченочный сосудистый рисунок.

 

 

 

Спленопортограмма при циррозе печени. Вид­но желудочно-пищеводное коллатеральное кровообращение, внутрипеченочный рисунок воротной вены нарушен (кар­тина «дерева зимой»). С — пульпа селезёнки; СВ — селезё­ночная вена; ВБВ — верхняя брыжеечная вена; ВВ — во­ротная вена; ВП — вены пищевода: ПВ — пупочная вена, ДЗ — картина «дерева зимой».

 

 

 

Спленопортограмма при внепеченочной обструк­ции воротной вены. Вместо воротной вены выявляются многочисленные мелкие сосуды. С — селезёнка; СВ — се­лезёночная вена; К — группа мелких коллатералей; П — венозные коллатерали пищевода.

 

Для диагностики надпеченочной формы синдрома портальной гипертензии применяют кавографию (введение контраста в нижнюю полую вену че­рез вены бедра по Сельдингеру).Кавография позволяет определить уровень препятствия для оттока крови из печеночных вен, место сужения или окклюзии нижней полой вены. Воз­можны также селективная катетеризация печеночных вен и их контрасти­рование с выполнением серии рентгеновских снимков.

Артериография — безопасный метод, который до­вольно часто используют для получения портограмм. Безопасность его возрастает, если использо­вать артериальные катетеры малого диаметра. Низкоосмолярное контрастное вещество не вызы­вает боли, поэтому достаточно провести местную анестезию. Современные контрастные вещества менее токсичны для почек и других органов, ал­лергические реакции на них развиваются редко.

Катетеризацию чревного ствола производят зара­нее отмоделированным рентгеноконтрастным кате­тером через бедренную артерию. Вводят 50—60 мл контрастного вещества. Попав в селезёночную ар­терию, контрастное вещество оттекает по селезё­ночной и воротной венам, благодаря чему можно получить их рентгеновское изображение. Таким же образом введение контрастного вещества в верх­нюю брыжеечную артерию, отток из которой про­исходит по верхней брыжеечной и воротной ве­нам, обеспечивает их визуализацию на рентгено­граммах, полученных через определённые интервалы времени.

При ангиографии внутренних органов визуали­зируется система печёночной артерии; это даёт возможность выявить в печени объёмные образо­вания. Особенности кровообращения в опухоли позволяют выявить ГЦК и другие виды опухолей.

Значительное увеличение печёночной артерии при циррозе свидетельствует о более благоприят­ном прогнозе, чем уменьшение кровотока одно­временно по ней и по воротной вене. Изучение анатомических особенностей селезёночной и печё­ночной артерий имеет большое значение при ре­шении вопроса об операции. Ангиография позво­ляет обнаружить гемангиомы, аневризмы и другие объёмные образования. При этом методе исследо­вания сосудистый рисунок воротной вены выявля­ется хуже, чем при селезёночной венографии.


 

Селективная целиакограмма. Виден внутрипече­ночный сосудистый рисунок.

 

 

Венозная фаза при селективной целиакографии. Видны расширенная воротная (указана стрелкой) и селезё­ночная вены. К — катетер в чревном стволе.

 

 

При целиакографии удается отдифференцировать внутри- и предпеченочную формы синдрома. Обычно при первой форме отмечаются расширение и извитость селезеночной артерии, сужение печеночной ар­терии, обеднение внутрипеченочного сосудистого рисунка. В венозную фазу видны селезеночная и воротная вены.

Спленопортография

Контрастное вещество вводят в пульпу селезён­ки, после чего оно попадает в портальный крово­ток с достаточной скоростью, чтобы можно было увидеть контуры селезёночной и воротной вен.

Особенно хорошо визуализируется коллатераль­ное кровообращение, поэтому спленопортография — метод выбора при подозрении на внепеченочную обструкцию воротной вены. Метод позволяет измерить давление в селезёноч­ной вене внутри селезёнки.

УЗИ.

Ультразвуковое исследование позволяет выявить тромб в просвете нижней полой вены или в печеночных венах. Кроме того, с помощью этого метода можно обнаружить признаки диффузного поражения печени.

Допплеровская ультрасонография.

Чувствительность и специфичность метода составляет 85%.Возможно визуализировать тромб в просвете нижней полой вены или в печеночных венах. В ходе этого исследования можно обнаружить нарушения кровотока в пораженных сосудах, сеть коллатералей.

Компьютерная томография - КТ.

Проводится с контрастированием. Отмечается неравномерное распределение контрастного вещества. Так, хвостатая доля у пациентов с синдромом Бадда-Киари гипертрофирована, и в ней определяется более высокая концентрация контрастного вещества, по сравнению с другими отделами печени.

В периферических отделах органа отмечается обеднение кровотока. У 18-53% больных можно выявить тромбоз печеночных вен и нижней полой вены.

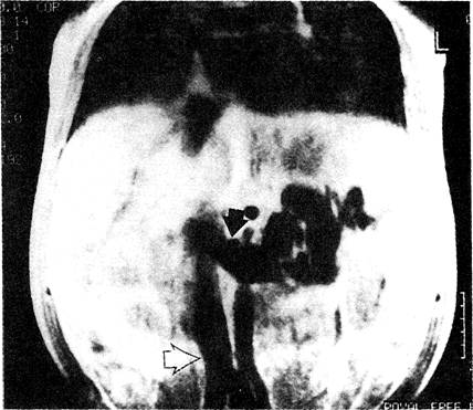
Магнитнорезонансная томография - МРТ.

Чувствительность и специфичность метода составляет 90%. Проводится в комбинации с ангио-, вено- и холангиографией. С помощью этого исследования можно обнаруживать нарушения перфузии печени, участки атрофии, гипертрофии, некроза, признаки жировой дистрофии.

 

Магнитно-резонансная томо­грамма. Выявлен спонтанный спленоренальный шунт, впадающий в нижнюю полую вену. Видны почечная (указана чёр­ной стрелкой) и нижняя полая (указана светлой стрелкой) вены.

 

Радионуклидные методы исследования.

При радионуклидном сканировании применяется коллоидная сера, меченная технецием (99mТс). У пациентов с синдромом Бадда-Киари отмечается повышенное накопление изотопа в хвостатой доле печени. В остальных отделах печени может быть нормальное, пониженное, неравномерное накопление изотопа или полное его отсутствие.

 







Date: 2015-07-24; view: 1629; Нарушение авторских прав



mydocx.ru - 2015-2026 year. (0.629 sec.) Все материалы представленные на сайте исключительно с целью ознакомления читателями и не преследуют коммерческих целей или нарушение авторских прав - Пожаловаться на публикацию