Главная Случайная страница


Полезное:

Как сделать разговор полезным и приятным Как сделать объемную звезду своими руками Как сделать то, что делать не хочется? Как сделать погремушку Как сделать так чтобы женщины сами знакомились с вами Как сделать идею коммерческой Как сделать хорошую растяжку ног? Как сделать наш разум здоровым? Как сделать, чтобы люди обманывали меньше Вопрос 4. Как сделать так, чтобы вас уважали и ценили? Как сделать лучше себе и другим людям Как сделать свидание интересным?


Категории:

АрхитектураАстрономияБиологияГеографияГеологияИнформатикаИскусствоИсторияКулинарияКультураМаркетингМатематикаМедицинаМенеджментОхрана трудаПравоПроизводствоПсихологияРелигияСоциологияСпортТехникаФизикаФилософияХимияЭкологияЭкономикаЭлектроника






Ріст і поширення пухлин в організмі





Залежно від ступеня диференціації розрізняють експансивну, апозиційну та інфільтративну (інвазивну) форми росту пухлин. Перша форма притаманна доброякісним пухлинам, друга і третя - злоякісним.

Пухлина, що росте експансивно, збільшується у вигляді вузла, відсуваючи навколишні тканини. Клітини, які оточують її, атрофуються, а строма піддається колапсу, що зумовлює утворення псевдокапсули і чіткість меж пухлини


Фіброміома матки. Експансивний ріст. Чітко видно псевдокапсулу.

 

Апозиційний ріст - проміжний між експансивним та інфільтративним. Пухлина росте із множинних точок росту - вогнищевих проліфератів, які складають “пухлинне поле”. Пухлинна трансформація (малігнізація) здійснюється послідовно з центра до периферії і завершується злиттям вогнищ малігнізації у єдиний вузол.

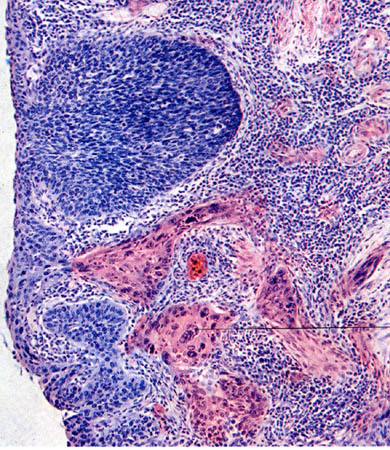
Інфільтративний ріст характеризується тим, що пухлинні елементи поширюються у напрямках найменшого опору і вростають у навколишні тканини, руйнуючи їх. Межі пухлини в такому випадку не чіткі, стерті.


Саркома стегна. Інфільтративний ріст. Патологічний перелом, крововиливи, некрози.

 

По відношенню до порожнини органа виділяють ендофітний ріст пухлини:







Date: 2015-07-23; view: 580; Нарушение авторских прав



mydocx.ru - 2015-2026 year. (0.329 sec.) Все материалы представленные на сайте исключительно с целью ознакомления читателями и не преследуют коммерческих целей или нарушение авторских прав - Пожаловаться на публикацию